Generalidades
En 1996, la OMS describió dos tipos de tumores quísticos mucinosos: el tumor papilar intraductal mucinoso del páncreas y las neoplasias quísticas mucinosas, las cuales se caracterizan por la presencia de estroma de tipo ovárico y ausencia, en la mayoría de los casos, de comunicación con los conductos pancreáticos. Estas neoplasias quísticas del páncreas productoras de mucina son una entidad bastante reconocida; de hecho, en centros experimentados se diagnostican en 10 a 20 %, aproximadamente, del total de las pancreatectomías practicadas 21 y en la histopatología, los tumores papilares intraductales mucinosos y las neoplasias quísticas mucinosas presentan un amplio espectro de atipia celular que va desde la hiperplasia mucinosa leve al adenocarcinoma invasivo.
Las neoplasias quísticas mucinosas se presentan comúnmente en mujeres (proporción 20:1), con una edad media de 45 años, y se ubican en el cuerpo o en la cola del páncreas en el 95 % de los casos. Menos del 10 % de los casos se presenta en hombres, con una edad media de presentación más tardía, a los 70 años.
Clasificación
Las neoplasias quísticas mucinosas del páncreas son una entidad totalmente distinta a los tumores papilares intraductales mucinosos, representan el 10 % de los quistes pancreáticos y el 1 % de los tumores del páncreas exocrino y son clasificados histológicamente por la OMS como adenomas, tumores limítrofes o carcinomas (in situ o invasivos) 23,24. Histológicamente se caracterizan por la presencia de un revestimiento epitelial de células cilíndricas altas productoras de mucina, que están dispuestas en una capa ordenada única y que, abruptamente, se transforman en un epitelio papilar estratificado 25. Las células caliciformes se encuentran frecuentemente. Dentro de una misma lesión, pueden existir diferentes configuraciones en distintas porciones, con zonas de epitelio con apariencia relativamente benigna y cercanas a lesiones malignas, de tipo carcinoma invasivo 12.

Manifestaciones clínicas
La mayoría de las pacientes no presentan síntomas, solamente un vago dolor abdominal acompañado de sensación de plenitud, y en el examen físico sólo en un pequeño número de las pacientes es posible palpar alguna masa abdominal, acompañada en ocasiones de fiebre e ictericia.
Diagnóstico
En este tipo de neoplasia es muy raro que se presente alguna comunicación con el sistema de conductos pancreáticos y, cuando se presenta, sugiere un proceso maligno. Aunque se presumía que eran solitarios, se sabe que, generalmente, se presentan con un quiste dominante y varios quistes más pequeños alrededor del llamado “quiste madre” 26, con un rango de tamaño que va desde los 1,5 cm hasta los 36 cm y que la mayoría son multilobulares 27 con paredes gruesas. También es frecuente encontrar en el estroma ovárico característico de estas neoplasias, receptores de progesterona y estrógenos, en el 61,8 % de los casos; estos tumores también “marcan” en la inmunohistoquímica para la gonadotropina coriónica humana 28.
Las neoplasias quísticas mucinosas han sido divididas en aquellas con algún grado de displasia (bajo, moderado y alto) y el adenocarcinoma invasivo. La prevalencia de este último suele variar en un rango que va desde 6 % hasta 36 % 27. Para determinar esto, en varios estudios se ha demostrado que el perfil de expresión de la mucina se correlaciona con la agresividad y con el pronóstico del tumor pancreático 29. El hecho de que el marcador MUC5AC se exprese en las neoplasias quísticas mucinosas, los tumores papilares intraductales mucinosos y en algunas lesiones hiperplásicas del conducto pancreático, indica que no es específico para ningún tumor en particular y que no orienta al diagnóstico cuando se utiliza solo 28. Sin embargo, es posible afirmar que una neoplasia quística mucinosa no invasiva puede ser distinguida de un tumor papilar intraductal mucinoso y de un adenocarcinoma ductal por un perfil de mucina caracterizado por la expresión constante de MUC5AC, mientras que la expresión de MUC2 se presenta exclusivamente en las células caliciformes (productoras de moco). La expresión de MUC1 es característica de los adenocarcinomas ductales, por lo que su presencia indica que la neoplasia se encuentra en una fase invasiva.
Algunos grupos consideran que la citología debe ser parte de la evaluación diagnóstica de una neoplasia quística mucinosa para diferenciarla de un pseudoquiste pancreático o de otras neoplasias quísticas (tabla 3). El análisis del contenido del quiste, obtenido por biopsia con aguja fina guiada por ecografía, comprende la evaluación de la viscosidad, la citología y la medición de niveles de amilasa y marcadores tumorales, en particular del antígeno carcinoembrionario (ACE) 30. Los niveles elevados de antígeno carcinoembrionario indican una lesión neoplásica mucinosa, sin determinar si es benigna o maligna; los niveles bajos de antígeno carcinoembrionario sugieren cistadenomas serosos o pseudoquistes 31. Los niveles altos de amilasa se asocian a los pseudoquistes; los niveles menores, a tumores papilares intraductales mucinosos, y los niveles mucho más bajos, a neoplasias quísticas mucinosas 30.

En el ultrasonido del tumor quístico mucinoso se encuentra una masa quística bien circunscrita en el cuerpo y la cola del páncreas en el 70 % de los casos 11. Dependiendo de su tamaño y composición, pueden tener contornos irregulares en su pared, tabiques, nódulos murales y calcificaciones. Sin embargo, estos hallazgos tienden a semejarse con los encontrados en otros tipos de tumores quísticos. Por lo tanto, es necesaria la evaluación con tomografía o resonancia magnética 12.
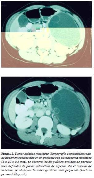
En la tomografía computadorizada, las neoplasias quísticas mucinosas se evidencian como lesiones hipodensas rodeadas de parénquima pancreático. Se encuentra que los quistes, usualmente, tienen una forma redonda. La lesión, generalmente, se aprecia bien circunscrita y con morfología blanda. Pueden observarse, además, calcificaciones curvilíneas en la periferia de la lesión o en su interior. Luego de la infusión del material de contraste, se observan tabiques o quistes murales en la pared quística. La presencia de tabiques y calcificaciones sugieren un proceso maligno.
En la resonancia magnética de las neoplasias quísticas mucinosas se observa una lesión quística hiperintensa en T2, con diferentes grados de intensidad en T1 por el contenido proteico contenido en la mucina. Posterior a la infusión de gadolinio, se pueden ver la pared quística, los tabiques y los nódulos. Las calcificaciones, si son visibles, son hipointensas en T1 y T2.
La presencia de tabiques, calcificaciones, múltiples lóbulos y proyecciones papilares se asocia frecuentemente con un proceso maligno 25 (figura 2).

Manejo
Todas las neoplasias quísticas mucinosas deben resecarse por completo, a menos de que exista alguna contraindicación quirúrgica 3. Las bases para esta afirmación se encuentran en que la mayoría de los pacientes con neoplasias quísticas mucinosas son relativamente jóvenes en el momento en el que se hace el diagnóstico y, consi derando la expectativa de vida y el riesgo permanente de progresión hacia la neoplasia maligna, se determina que la mejor conducta es la resección quirúrgica (usualmente pancreatectomía izquierda) por laparoscopia para aquellas lesiones ubicadas en el cuerpo y la cola del páncreas 33. En caso de que exista duda de las características de las lesiones, se debe practicar una resección oncológica (pancreatoduodenectomía, pancreatectomía izquierda, pancreatectomía total) con vaciamiento de los ganglios linfáticos regionales 3,34.
Desde el pasado suele existir una firme recomendación para resecar todas las neoplasias productoras de mucina, por el temor de que finalmente progresen hasta desarrollar cáncer 27,34.
El desempeño de la quimioterapia y de la radioterapia como tratamiento adyuvante aún es indeterminado y se requieren muchos más estudios para lograr hacer una recomendación 21. Los pacientes con neoplasias quísticas mucinosas benignas no requieren seguimiento, ya que muchos estudios han demostrado convincentemente que el riesgo de recurrencia de nuevas lesiones luego de la resección es cero 3. Contrario a esto, los pacientes con neoplasias quísticas mucinosas malignas deben someterse a un seguimiento cada seis meses para determinar recurrencias locales y metástasis (principalmente, hematógenas) por imágenes de tomografía computadorizada o resonancia magnética 3. A cinco años, las tasas de supervivencia para las neoplasias quísticas mucinosas malignas son de 50 a 60 %, aproximadamente 28, y para las lesiones benignas con displasia (incluyendo displasia de alto grado) la tasa de supervivencia es cercana al 100 % 3.