Acute Appendicitis Due to Intussusception Secondary to Endometriosis. Case report
Resumen
Introducción. La intususcepción del apéndice corresponde a su invaginación en el ciego. Existen varias causas, pero la endometriosis ha sido informada pocas veces.
Aunque el diagnóstico se debe sospechar clínicamente, por lo general su causa solo se determina en el intraoperatorio, donde se deben tener en cuenta causas oncológicas que requieran una resección amplia.
Caso clínico. Mujer de 21 años que consultó por dolor abdominal agudo generalizado. Se practicó una tomografía computarizada de abdomen, observando una intususcepción del apéndice en el ciego, estriación de la grasa pericecal y adenomegalias. Se realizó laparoscopia diagnóstica encontrando intususcepción casi completa del apéndice cecal, de aspecto neoplásico. Y se convirtió a laparotomía para proceder a hemicolectomía derecha, con vaciamiento ganglionar y anastomosis del íleon al colon transverso.
Discusión. La sospecha clínica de intususcepción debe corroborarse mediante ecografía, tomografía o estudios baritados. El tratamiento siempre es quirúrgico, como en el caso de nuestra paciente, quien evolucionó de forma adecuada y continuó asintomática después de un año de seguimiento.
Conclusión. El diagnóstico temprano de la intususcepción permite realizar tratamientos quirúrgicos menos agresivos y disminuye el riesgo de filtración de la anastomosis. Se debe tener en cuenta el diagnóstico de endometriosis como posible causa. Se debe realizar el manejo complementario por parte de ginecología.
Palabras clave: intususcepción; apendicitis; neoplasias del apéndice; endometriosis; colectomía.
Abstract
Introduction. The intussusception of the appendix corresponds to its invagination in the cecum. There are several causes, endometriosis being rarely reported. Although the diagnosis must be suspected clinically, its cause is generally only determined intraoperatively, where oncological causes that require extensive resection must be taken into account.
Clinical case. A 21-year-old woman who consulted due to acute generalized abdominal pain, an abdominal tomography was performed, finding an intussusception of the appendix in the cecum, striation of pericecal fat, and lymph nodes. A diagnostic laparoscopy was performed, finding almost complete intussusception of the appendix, with a neoplastic appearance. She was converted to laparotomy to perform a right hemicolectomy, with lymph node dissection and ileal to transverse anastomosis.
Discussion. Clinical suspicion of intussusception should be confirmed by ultrasound, abdominal tomography, or barium studies. Treatment is always surgical, as in the case of our patient, who evolved adequately and remained asymptomatic after one year of follow-up. Conclusion. Early diagnosis of intussusception allows for less aggressive surgical treatment and decreases the risk of anastomosis leakage. The diagnosis of endometriosis should be taken into account as a possible cause. Complementary management by gynecologists should be performed.
Keywords: intussusception; appendicitis; appendiceal neoplasms; endometriosis; colectomy.
Introducción – Intususcepción del Apéndice
La intususcepción del apéndice cecal se produce cuando un segmento de este se invagina en sí mismo o hacia el ciego. El primer reporte de apendicitis por esta causa fue descrito por Mc Kidd en 1858 y, desde entonces, son pocos los reportes de caso documentados 1.
Corresponde al 0,01 % de las causas de apendicitis aguda y su presentación clínica puede simular otras patologías abdominales 2,3.
El diagnóstico suele realizarse durante la apendicectomía, no obstante, un diagnóstico temprano con imágenes puede favorecer la planeación quirúrgica. Por el riesgo de perforación y peritonitis, el manejo de elección es la apendicectomía temprana; sin embargo, debido a la asociación frecuente con neoplasias malignas, es importante considerar una resección oncológica 4,5.
El objetivo de este artículo fue presentar el caso de una paciente con diagnóstico preoperatorio de intususcepción del apéndice, secundaria a endometriosis.
Caso Clínico – Intususcepción del Apéndice
Mujer de 21 años, con antecedentes de hipotiroidismo y un aborto, que consultó por un día de dolor abdominal generalizado, tipo cólico, asociado a cambios en el flujo vaginal. Se realizaron exámenes de laboratorio encontrando leucocitos de 11.900 células por microlitro, con prueba de embarazo y uroanálisis negativo.
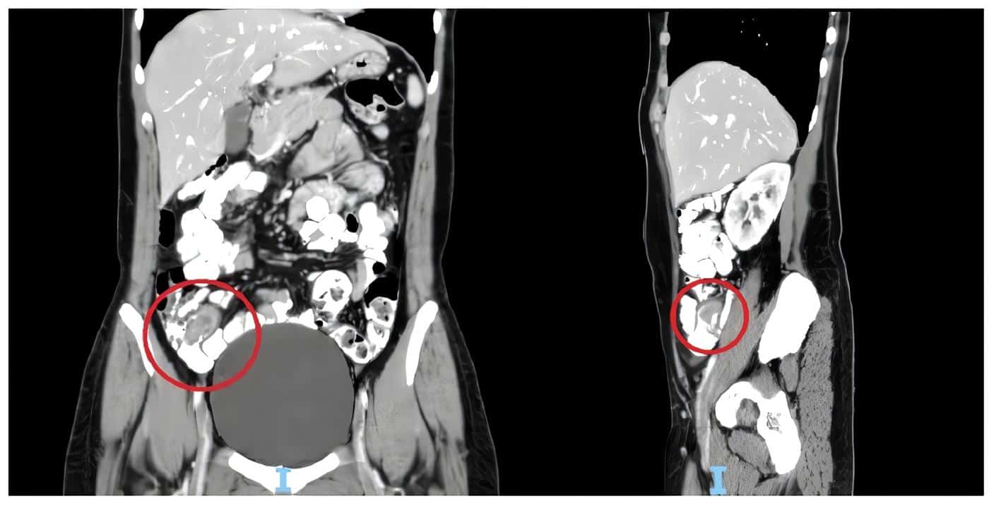
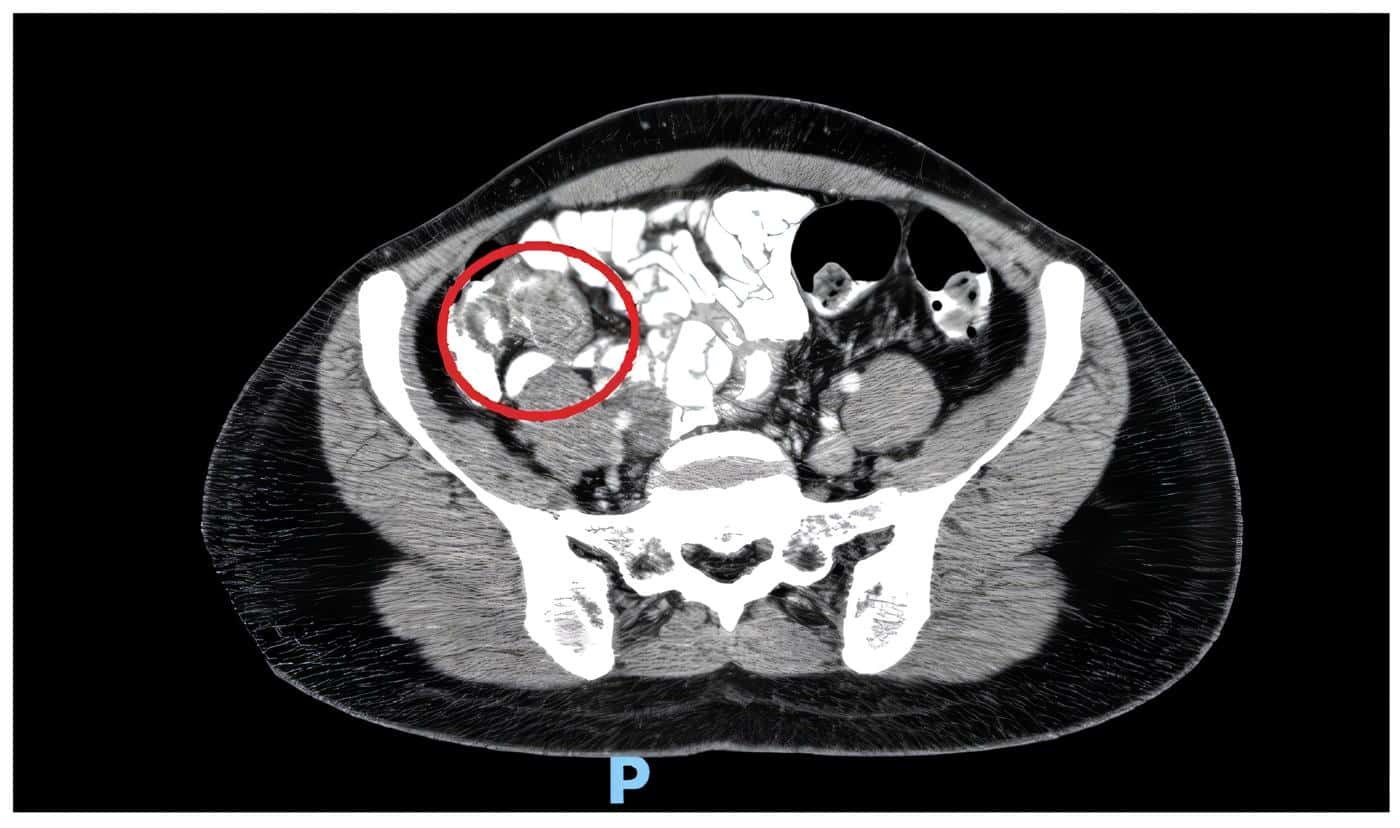
La ecografía transvaginal informó la presencia de ovarios de aspecto poliquístico. El control de las pruebas de laboratorio no mostró elevación de reactantes inflamatorios pero la paciente persistía sintomática, por lo que se realizó una tomografía computarizada de abdomen, en la que se observaron intususcepción del apéndice sobre el ciego y estriación de la grasa pericecal, así como adenomegalias de la cadena ilíaca derecha de aspecto reactivo (figuras 1 y 2).

Figura 1. Tomografía computarizada de abdomen. A la izquierda, corte coronal con signo de doble halo e inflamación de las paredes del ciego sin poder identificar el apéndice. A la derecha, corte sagital donde se observa la invaginación parcial del apéndice hacia el ciego, que impide el ingreso del medio de contraste. Fuente: Elaboración propia de los autores.

Figura 2. Tomografía computarizada de abdomen, corte axial donde se observa el signo de la doble diana, inflamación de la grasa pericecal, y sin paso del medio de contraste al ciego, en el sitio de la invaginación. Fuente: Elaboración propia de los autores.
Con estos hallazgos, se planeó una laparoscopia diagnóstica, donde se identificó la intususcepción casi completa del apéndice sobre el ciego, de consistencia pétrea y de aspecto neoplásico, con ganglios pericecales aumentados de tamaño. Por lo anterior, se convirtió a laparotomía para realizar hemicolectomía derecha con vaciamiento ganglionar y anastomosis intestinal del íleon al colon transverso (figura 3).

Figura 3. Pieza quirúrgica, producto de hemicolectomía derecha; se observa la intususcepción del 80 % del apéndice sobre el ciego, focos hemorrágicos y nódulos pericecales que hacían sospechar compromiso tumoral secundario. Fuente: Elaboración propia de los autores.
La evolución posoperatoria fue adecuada, aunque al quinto día presentó varios episodios de rectorragia, que se autolimitaron. El informe de patología concluyó que la apendicitis fue producto de endometriosis, asociada a una intususcepción del apéndice sobre el ciego. Después de un año de seguimiento, la paciente seguía asintomática.
Discusión – Intususcepción del Apéndice
La intususcepción del apéndice cecal por endometriosis es una complicación que actualmente sigue considerándose rara y de muy baja incidencia; para el año 2014 no se contaban con más de 200 reportes en las bases de datos médicas del mundo 6.
La endometriosis produce invasión de la cavidad abdominal y aunque se reporta una ocurrencia del 8-15 % de las mujeres en edad reproductiva, la endometriosis del apéndice representa el 3 % de las localizadas en el intestino. Este hallazgo puede aumentar el riesgo de apendicitis, aunque pocas veces asociado a intususcepción 7,8.
Se ha propuesto la clasificación anatómica de McSwain para la intususcepción apendicular en cinco tipos, desde el I que corresponde a la intususcepción de la punta apendicular hacia la base del apéndice, hasta el V donde la invaginación del apéndice llega hasta la base del ciego 9,10.
El diagnóstico de la intususcepción del apéndice no es fácil. Dentro de los estudios que se utilizan para el diagnóstico está la ecografía de abdomen, donde se puede ver el “signo de diana” y la tomografía computarizada de abdomen que puede mostrar una inflamación del ciego; sin embargo, es difícil encontrar la intususcepción apendicular por tomografía y es un reto diagnostico incluso para el radiólogo.
Los estudios baritados, como el colon por enema, también pueden ser de ayuda, pero con menor sensibilidad y especificidad diagnóstica. En cuanto a las pruebas de laboratorio, el CA-125 puede ser útil para confirmar la endometriosis 10,11.
El tratamiento quirúrgico de la endometriosis es controvertido, no obstante, en la variante intestinal, donde hay invasión colorrectal sin respuesta al manejo médico, existe la alternativa del tratamiento quirúrgico en conjunto con ginecología, realizando resecciones intestinales por vía laparoscópica 11.
El tratamiento de la intususcepción del apéndice debe ser quirúrgico. Pacientes no complicados se sugiere la apendicectomía con resección del ciego.
En casos complicados puede ser necesaria una resección más amplia, como la del íleon y ciego o una hemicolectomía derecha 9.
En el caso de nuestra paciente, la intususcepción con consistencia pétrea de la masa hacía sospechar un origen neoplásico, por lo que se decidió realizar una hemicolectomía derecha, con anastomosis del íleon al colon transverso, que es el procedimiento recomendado por la literatura 1.
Conclusiones – Intususcepción del Apéndice
La apendicitis por intususcepción es una entidad poco frecuente. Si bien la endometriosis profunda tiende a comprometer la región colorrectal, que se produzca una endometriosis intestinal en el apéndice y que esta lleve a una apendicitis por intususcepción es algo pocas veces descrito en la literatura, lo que resalta la importancia de esta presentación.
El tratamiento siempre debe ser quirúrgico y de forma conjunta con ginecología.
Cumplimiento de normas éticas – Intususcepción del Apéndice
Consentimiento informado: Se cuenta con el consentimiento informado de la paciente, autorizando la publicación de su caso y de las imágenes correspondientes.
Conflicto de interés: ninguno declarado por los autores.
Fuente de financiación: estudio financiado por los autores.
Contribución de los autores:
– Concepción y diseño del estudio: Andrea Hernández- Restrepo.
– Adquisición de datos: María Adelaida Arbeláez-Salgado.
– Análisis e interpretación de datos: María Adelaida Arbeláez-Salgado, Federico López-Uribe.
– Redacción del manuscrito: María Adelaida Arbeláez- Salgado, Federico López-Uribe.
– Revisión crítica: Andrea Hernández-Restrepo.
Referencias – Intususcepción del Apéndice
1. Park BS, Shin DH, Kim D Il, Son GM, Kim HS. Appendiceal intussusception requiring an ileocecectomy: A case report and comment on the optimal surgery. BMC Surg. 2018;18:18-22. https://doi.org/10.1186/s12893-018-0380-9
2. Sun P, Jiang F, Sun H, Zhao X, Ma J, Li C, et al. Minimally invasive surgery for appendiceal intussusception caused by mucocele of the appendix: Case report and review of the literature. J Gastrointest Oncol. 2020;11:102-7. https://doi.org/10.21037/jgo.2019.12.01
3. Xiong Y, Marshall C, Yang M. Complete appendiceal intussusception associated with endometriosis. J Gastrointest Surg. 2019;23:179-80. https://doi.org/10.1007/s11605-018-3803-0
4. Langsam LB, Raj PK, Galang CF. Intussusception of the appendix. Dis Colon Rectum. 1984;27:387-92. https://doi.org/10.1007/BF02553007
5. Rodriguez-Lopez M, Bailon-Cuadrado M, Tejero-Pintor FJ,Choolani E, Fernandez- Perez G, Tapia-Herrero A. Ileocecal intussusception extending to left colon due to endometriosis. Ann R Coll Surg Engl. 2018;100:e62-3. https://doi.org/10.1308/rcsann.2017.0225
6. Costa M, Bento A, Batista H, Oliveira F. Endometriosis- induced intussusception of the caecal appendix. BMJ Case Rep. 2014;2014:e200098,1-4. https://doi.org/10.1136/bcr-2013-200098
7. Lee DJ, Kim HC, Yang DM, Kim SW, Ryu JK, Won KY, et al. A case of intussusception of the appendix secondary to endometriosis: US and CT findings. J Clin Ultrasound. 2015;43:443-6. https://doi.org/10.1002/jcu.22188
8. Avila MJ. Apendicitis aguda: revisión de la presentación histopatológica en Boyacá, Colombia. Rev Colomb Cir. 2015;30:125-30. https://doi.org/10.30944/20117582.338
9. Mehmood S, Phair A, Sahely S, Ong A, Law A, Onwudike M, et al. Appendiceal intussusception caused by endometriosis. Lancet. 2012;380:1202. http://dx.doi.org/10.1016/S0140-6736(12)60819-8
10. Chaar CIO, Wexelman B, Zuckerman K, Longo W. Intussusception of the appendix: comprehensive review of the literature. Am J Surg. 2009;198:122-8. https://doi.org/10.1016/j.amjsurg.2008.08.023
11. Oliveira A, Costa M, Amaro P, Sofia C. Appendiceal submucosal mass as presentation of intestinal endometriosis. Asian J Endosc Surg. 2015;8:337-9. https://doi.org/10.1111/ases.12186
Autores – Intususcepción del Apéndice
1 Andrea Hernández-Restrepo, María Adelaida Arbeláez-Salgado, Médica, especialista en Cirugía general, Clínica CES, Medellín, Colombia.
2 Federico López-Uribe, Médico, residente de Cirugía General, Universidad CES, Medellín, Colombia.
Fecha de recibido: 22/12/2022 – Fecha de aceptación: 25/01/2023 – Publicación en línea: 23/06/2023
Correspondencia: María Adelaida Arbeláez-Salgado, Carrera 30 # 16B-110, Medellín, Colombia. Teléfono: +57 3117490293 Dirección electrónica: mariarbes@hotmail.com
Citar como: Hernández-Restrepo A, Arbeláez-Salgado MA, López-Uribe F. Apendicitis aguda por intususcepción secundaria a endometriosis. Reporte de caso. Rev Colomb Cir. Rev Colomb Cir. 2023;38:759-63. https://doi.org/10.30944/20117582.2223
Este es un artículo de acceso abierto bajo una Licencia Creative Commons – BY-NC-ND https://creativecommons.org/licenses/by-nc-nd/4.0/deed.es






