Atypical Presentation of Glomus Tumor in the Airway: Case report and literature review
Resumen
Introducción. Los tumores glómicos provienen de los cuerpos glómicos, que son estructuras con función de termorregulación y se encuentran distribuidas por todo el cuerpo humano, principalmente a nivel distal de las extremidades, donde es común encontrar lesiones características, aunque hay reportes de casos que se presentaron como neoformación en localizaciones más inusuales.
Su etiología aun es desconocida. No se sospechan en muchos pacientes y el diagnostico se realiza de manera incidental, por estudios imagenológicos o anatomopatológicos.
Caso clínico. Paciente femenina de 66 años, con presencia de tumor glómico en vía aérea, diagnosticado por histopatología e inmunohistoquímica, que fue sometido a resección quirúrgica, con buena evolución posterior.
Discusión. Esta presentación atípica de tumor glómico en vía aérea se manifiesta principalmente con síntomas y signos relacionados con obstrucción de la vía aérea.
El manejo oportuno es primordial y el diagnóstico definitivo es por histopatología e inmunohistoquímica, donde se observan las características de las células glómicas, estructuras vasculares, músculo liso y la positividad en la inmunotinción de marcadores como actina del músculo liso, CD34, y actina específica del músculo, entre otras.
Conclusión. Los tumores glómicos son neoformaciones benignas raras, con presentación más común en zonas distales. Su aparición depende de factores intrínsecos y extrínsecos de los pacientes. Su tasa de recidiva es muy baja en comparación de otros tumores.
Palabras claves: tumor glómico; vía aérea; tráquea; neoplasias de la tráquea; biopsia; inmunohistoquímica.
Abstract
Introduction. Glomus tumors originate from glomus bodies, which are structures with thermoregulatory function and are distributed throughout the human body, mainly at the distal level of the extremities where it is common to find these characteristic lesions.
Although, there are case reports of neoformation presentations with more unusual locations. Their etiology is still unknown. Many times when there is evidence of lesions in atypical areas they are not suspected in many patients and the diagnosis is made incidentally by imaging and/or anatomopathological studies.
Clinical case. A 66-year-old female patient with the presence of a glomus tumor in the airway diagnosed by histopathology and immunohistochemistry, underwent surgical resection and presented good evolution after surgery.
Discussion. This atypical presentation of glomus tumor in the airway presents mainly with symptoms and signs related to airway obstruction.
Timely management is paramount in these patients, and the definitive diagnosis is by histopathology and immunohistochemistry where the presence of the characteristics of glomus cells, vascular structures, smooth muscle and immunostaining positivity towards some markers such as smooth muscle actin, CD34, muscle specific actin, among others, are seen.
Conclusion. This type of tumors are rare benign neoformations, with common presentations in distal areas. Their appearance depends on intrinsic and extrinsic factors of the patients and their recurrence rate is very low compared to other tumors.
Keywords: glomus tumor; airway; trachea; tracheal neoplasms; biopsy; immunohistochemistry.
Introducción – Presentación Atípica de Tumor Glómico en Vía Aérea
El tumor glómico se define como una neoformación vascular proveniente de las células musculares lisas modificadas del cuerpo glómico, con una unión anastomótica arteriovenosa de la dermis, que posee como función la termorregulación y manejo de la vasculatura cutánea1.
Fue descrito por primera vez en 1812 por William Wood como un nódulo de consistencia firme, con cambios de sensibilidad a la temperatura, acompañado de dolor intenso2.
En 1924, Paul Masson determinó su nombre, describió las características clínicas y la importancia del manejo quirúrgico. Han derivado su etiología a la mutación del gen de la glomulina y desregulación en la liberación de sustancias moderadoras de la sensibilidad en receptores térmicos, pero todo ha sido poco concluyente1.
Es poco frecuente y en su presentación, una de las características más relevantes es la localización; el 75 % se presenta a nivel distal de las extremidades, como la zona plantar, interdigitales y ungueal de los pies, y las manos, dado por la concentración focal de cuerpos glómicos en esas zonas.
También, se han reportado casos en zona poco frecuentes, como vasos del cuello, tracto digestivo, tráquea, riñón y vías urinarias. Respecto al sexo, los hombres manifiestan lesiones únicas y las mujeres tienden a consultar por lesiones múltiples3-6.
El objetivo de este artículo fue presentar el caso de una paciente de 66 años con un tumor glómico en una localización poco frecuente dentro de nuestra epidemiología y hacer una revisión de la literatura respecto a las diferentes manifestaciones clínicas y estudios de patología e inmunohistoquímica.
Caso clínico – Presentación Atípica de Tumor Glómico en Vía Aérea
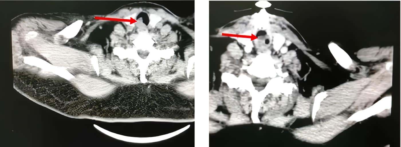
Paciente femenina de 66 años con cuadro clínico de tos persistente, acompañada de hemoptisis, a quien se le solicitó tomografía computarizada, la cual mostró una lesión que comprometía el 100 % de la circunferencia traqueal (Figura 1).

Figura 1. Tomografía axial computarizada de la paciente. Se evidencia lesión endoluminal (flecha roja) que compromete gran porcentaje de la circunferencia de la tráquea que explicaría la manifestaciones respiratoria de nuestro paciente. Fuente: Autores.
Por esta razón, se tomó la decisión de realizar traqueostomía de protección. Seguidamente, se practicó resección de la lesión endoluminal pediculada, con posterior reconstrucción de la tráquea con anastomosis termino terminal (Figura 2).

Figura 2. Imágenes captadas durante la intervención quirúrgica de la paciente. La fotografía A muestran los detalle de la resección de la lesión endoluminal pediculada durante el procedimiento quirúrgico. En las fotografías B y C se aprecia la lesión después de la resección (flecha negra) para posterior envio a estudios por patología. Fuente: Autores.
La paciente tuvo una buena evolución, sentada fuera de cama a las 24 horas del posoperatorio. Dos semanas después de la intervención, se hizo decanulación guiada bajo fibrobroncoscopia, con buena evolución e integridad de la tráquea.
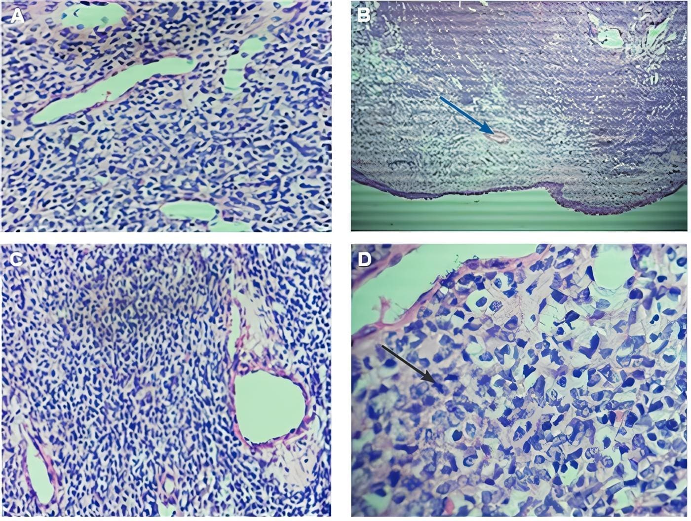
El espécimen quirúrgico se envió a patología, que identificó una lesión tumoral representada por una proliferación de células redondas de tamaño intermedio, regulares, levemente hipercrómicas, sin área de necrosis (Figura 3).

Figura 3 A-D. Imágenes microscópicas. Tinción de hematoxilina-Eosina. Ampliación microscópica con objetivo de 5x, 10x y 40x. A nivel histopatológico, se muestra un aumento en números de células redondas de tamaño intermedio (Flecha negra), levementes hipercromicas con márgenes celulares característicos, núcleos perforados localizados a nivel central con un llamativo y ligero citoplasma anfófilo sin presentar áreas necróticas acompañadas de la presencia de la trama vascular delgada del tumor (Flecha azul). Fuente: Laboratorio de patología del hospital.
La marcación inmunohistoquímica reveló positividad difusa para vimentina, actina de musculo liso y CD34; había presencia de la trama vascular del tumor, índice de proliferación Ki67 5 %, sinaptofisina y desmina negativo, por lo que se diagnosticó tumor glómico.
Discusión – Presentación Atípica de Tumor Glómico en Vía Aérea
El tumor glómico es una lesión que se presenta comúnmente en la edad adulta, con pocos reportes de caso en pediatría7. Las manifestaciones clínicas documentadas para esta neoplasia dependen de la localización, el tamaño y el porcentaje de ocupación (vías, cavidades y vasos). Se ha propuesto una triada clásica de sensibilidad intensa, dolor paroxístico e intolerancia al frio.
Además, en las zonas distales de las extremidades se ve la presencia de edema en la superficie ungueal, irregularidades en la morfología de la uña y cambios en la coloración. Por esto, se inicia sospechando enfermedades inflamatorias o afectaciones musculoesqueléticas con lesiones nodulares acompañadas de signos inflamatorios locales8.
Las localizaciones extradigitales, se relaciona la sintomatología con la zona anatómica afecta por la masa, como por ejemplo, estomago, dolor epigástrico y reflujo gastroesofágico; riñón, cólico renal; musculoesquelético, astenia, adinamia, debilidad muscular, alteraciones en pruebas de laboratorio como la fosfatasa alcalina, fosfato sérico y parámetros relacionados con la parte ósea; cuello, tumefacción, dificultad a la deglución, ronquera, protuberancia en zona faríngea o parálisis de nervios craneales9,10.
En nuestro caso, la relación de la neoplasia con la vía aérea, comprometió la totalidad de la circunferencia de la tráquea, afectó el flujo de aire entre atmosfera y alveolos, dificultando el intercambio gaseoso, la homeostasis celular a nivel pulmonar y el estado acidobase, obligándonos a realizar una intervención quirúrgica de manera oportuna.
En este tipo de pacientes con obstrucción de vía aérea es primordial la preparación para realizar un procedimiento con éxito.
Inicialmente, se debe enfocar en la evaluación del estado clínico del paciente, la gravedad de la obstrucción, la ubicación de la lesión, el posible diagnóstico y la identificación de los factores que impidan un correcto seguimiento u obstruyan el progreso de la intervención de manera exitosa.
Hay que tener en cuenta que el diagnóstico definitivo de esta entidad es histopatológico11, donde se pueden observar características morfológica a nivel macroscópico, como una o múltiples lesiones de tamaño variable, que suelen ser de menos de 1 cm a nivel de las extremidades y mayor tamaño en zonas menos frecuentes, con apariencia nodular azul-rojizo, consistencia firme y bien delimitadas12,13. A la microscopia, se aprecian las células glómicas, células musculares lisas y estructura vascular.
La lesión clásica benigna es bien delimitada pero no se presenta encapsulada. En las diferentes áreas del tumor se observan vasos sanguíneos de calibre pequeño dilatados y en otras zonas se observan estructuras como el estroma circundante de características hialina o mixtas.
Con mayor aumento al microscopio se alcanzan a ver los vasos sanguíneos de pequeño calibre rodeados por células glómicas con un fondo de tejido estromal. En la zona periférica, se pueden ver bordes de componentes de matriz extracelular, como bordes de colágeno, rodeado de otros vasos y tejido nervioso14, características similares a las referidas en nuestro caso.
Se ha publicado también la presencia de células neoplásicas por fuera del límite de la lesión15,16.
En los hallazgos citológicos de reportes de casos se han observado células agrupadas, uniformes, con núcleos circulares a ovalados y escaso citoplasma17
. También se han descrito características atípicas en estos tumores, como el alto recuento mitótico, la morfología atípica mitótica, células fusiformes o con forma de pequeños fascículos10,17.
En los últimos años se ha clasificado dependiendo de la atipia, tanto arquitectónica como citológica, en tumor glómico con potencial maligno incierto, tumor glómico simplásico y tumor glómico maligno17-19.
Los tumores glómicos clasificados como malignos y la presentación atípica marcada pueden progresar con metástasis hasta un 40-50 %19.
En la inmunohistoquímica, esta neoplasia da positividad a vimentina y desmina, que son estructuras de tipo filamentos intermedios localizadas en músculo liso, una de las características de este tumor.
También se utilizan CD34 y actina de musculo liso, que son altamente específicas para tumor glómico19,20. De las tinciones mencionadas anteriormente, en nuestro caso hubo positividad a vimentina, actina de musculo liso y CD34.
Los tumores glómicos tiene un porcentaje bajo de malignidad, atipia y metástasis, lo cual es favorable para el pronóstico de la mayoría de los pacientes, que puede ser adecuado para su calidad de vida21-23.
Sin embargo, se debe tener en cuenta que estos tumores tienen un riesgo de recurrencia entre 5 y 17 %, cuando no se realiza un procedimiento optimo y se deja restos neoplásico en la zona.
Conclusión – Presentación Atípica de Tumor Glómico en Vía Aérea
Los tumores glómicos son neoformaciones benignas poco frecuentes; hay pocos casos reportados con malignidad a nivel mundial. Su presentación depende de la localización del tumor, edad, sexo y genética de cada paciente. Es importante siempre mantener la sospecha clínica y recordar que se requiere biopsia para el diagnóstico definitivo.
Cumplimiento de normas éticas
Consentimiento informado: Se obtuvo el consentimiento informado por parte de la paciente para la presentación del caso.
Conflicto de interés: Ninguno declarado por los autores.
Financiación: Este trabajo fue autofinanciado por los autores.
Contribución de los autores
– Concepción y diseño del estudio: Luis E. Herrera-Zabaleta, Yuly Tatiana Villegas-Rodríguez, Leonardo Lora-Acuña, Alyi A. Arellano-Cabeza.
– Adquisición de datos: Luis E. Herrera-Zabaleta, Yuly Tatiana Villegas-Rodríguez, Leonardo Lora-Acuña, Edgard E. Gutiérrez-Puente.
– Análisis e interpretación de datos: Luis E. Herrera-Zabaleta, Yuly Tatiana Villegas-Rodríguez, Leonardo Lora-Acuña, Edgard E. Gutiérrez-Puente, Alyi A. Arellano-Cabeza.
– Redacción del manuscrito: Luis E. Herrera-Zabaleta, Alyi A. Arellano-Cabeza.
– Revisión crítica: Luis E. Herrera-Zabaleta, Yuly Tatiana Villegas-Rodríguez, Leonardo Lora-Acuña, Edgard E. Gutiérrez-Puente, Alyi A. Arellano-Cabeza.
Referencias – Presentación Atípica de Tumor Glómico en Vía Aérea
1. Taverna C, Franchi A. Glomus Tumor. In: Raspollini MR, Lopez-Beltran A (eds). Uropathology. Encyclopedia of Pathology. Nueva York: Springer, Cham; 2020. https://doi.org/10.1007/978-3-030-41894-6_5002
2. Morales-Piñeiro S, Mata-Cuevas R, Morales-Morera T. Tumor glómico. Presentación de dos pacientes. Medi-centro Electrónica. 2014;18:183-8.
3. Dagur G, Warren K, Miao Y, Singh N, Suh Y, Khan SA. Un-usual glomus tumor of the penis. Curr Urol. 2016;9:113-8.https://doi.org/10.1159/000442864
4. AlNuaim B, Binsulaiman N, Alkohlani A, Al-Ghannam A, AlMohsen Z, Al-Saati M. Diagnosis of glomus tu-mor of the elbow: A case report. Int J Surg Case Rep. 2022;90:106709. https://doi.org/10.1016/j.ijscr.2021.106709
5. Raj R, Hasanzadeh S, Dashtizadeh M, Kalantarhormozi M, Vahdat K, Dabbaghmanesh MH, et al. Glomus tumor: An unusual cause of hypophosphatemic osteomalacia. J Endocrine Soc. 2021;5(suppl 1):A195-6. https://doi.org/10.1210/jendso/bvab048.397
6. Patel J, Vaish A, Vaishya R, Singhal S. Reappearance of a glomus tumor of the finger after nine years- A rare case report and literature review. J Orthopaedic Rep. 2022;1:38-41. https://doi.org/10.1016/j.jorep.2022.03.014
7. Bouayyad S, Abdelaty M, Mishra A. A 15-year mystery resolved: a large bone-boring glomus tumor mistaken as dermatitis. J Surg Case Rep. 2020; 2020(2): rjaa013. https://doi.org/10.1093/jscr/rjaa013
Bibliografías – Presentación Atípica de Tumor Glómico en Vía Aérea
8. Dhorajiya P, Samuel J, Mahabir R, Sharabi A. Gastric glo-mus tumor: a rare gastric tumor featuring small round blue cell; diagnostic pitfall for carcinoid tumor. Am J Clin Pathol. 2018;150(suppl 1):S29. https://doi.org/10.1093/ajcp/aqy090.072
9. Nwanze J, Shih J, Rolf N, Halat SK. Malignant glomus tumor of the kidney: A case report and review of the literature. Am J Clin Pathol. 2021;156:S73. https://doi.org/10.1093/ajcp/aqab191.152
10. Wood TR, McHugh JB, Siegel GW. Glomus tumors with malignant features of the extremities: a case series. Clin Sarcoma Res. 2020;10:20. https://doi.org/10.1186/s13569-020-00142-8
11. Haro GJ, Seeley EJ, Jablons DM, Kratz JR. Central airway obstruction due to tracheal glomus tumor. Thorac Car-diovasc Surg Rep. 2018;7:e43-5. https://doi.org/10.1055/s-0038-1675411
12. Oukessou Y, Abdulhakeem B, Regragui M, Hammouda Y, El Bouhmadi K, Rouadi S, et al. An unusual combined glomus vagale and jugular tumor: A case report. Ann Med Surg. 2021;70:102918. https://doi.org/10.1016/j.amsu.2021.102918
13. Zheng Y, Liu X, Mao Y, Lin M. Glomus tumor of the cris-sum: A case report and review of literature. Indian J Pathol Microbiol. 2022;65:164-6. https://doi.org/10.4103/IJPM.IJPM_1237_20
14. Pizzillo IA, Fang C, Sun W, Brandler TC. Gastric glomus tumor diagnosed by fine needle aspiration of the sto-mach: A report of two cases and review of the litera-ture. Diagn Cytopathol. 2022;50:E100-6. https://doi.org/10.1002/dc.24914
Lecturas Recomendadas – Presentación Atípica de Tumor Glómico en Vía Aérea
15. Palmisano F, Gadda F, Spinelli MG, Maggioni M, Rocco B, Montanari E. Symplastic glomus tumor of the uri-nary bladder treated by robot-assisted partial cystec-tomy: A case report and literature review. Urologia J. 2018;85:130-2. https://doi.org/10.5301/uro.5000214
16. Hwang J, McDowell S, Cole B, Huber AR, Reyes C. Cyto-logic analysis of a glomus tumor in the left second toe: Case report. Am J Clin Pathol. 2021;156(suppl 1):S38. https://doi.org/10.1093/ajcp/aqab191.075
17. Chiarpenello J, Fresco A, Baella A, Corbacho-Re MF, Fanelli B, Gorosito V, et al. Tumor glómico maligno sin-crónico con carcinoma papilar clásico de tiroides: a propósito de un caso. Rev Méd Rosario. 2021;87:89-96.
18. Garcia CA, Restrepo CA, Rugeles AR. Tumor glómico en mucosa bucal: Reporte de caso. Rev Otorrinolaringol Cir Cabeza Cuello. 2020;80:166-71. https://doi.org/10.4067/S0718-48162020000200166
19. He T, Hu J, Jin Lu, Li Y, Liu J, Ding Y, et al. Glomus tumor of the anterior urethra: A rare case report and review of the literature. Mol Clin Oncol. 2016;4:1057-9. https://doi.org/10.3892/mco.2016.832
20. Luzar B, Martin B, Fisher C, Calonje E. Cutaneous malignant glomus tumours: applicability of currently established malignancy criteria for tumours occurring in the skin. Pathology 2018;50:711-7. https://doi.org/10.1016/j.pathol.2018.08.005
21. Toti L, Manzia TM, Roma S, Meucci R, Blasi F, Ferlosio A, Tisone G, Orlacchio A. Rare malignant glomus tumor of the stomach with liver metastases. Radiol Case Rep. 2019 Feb 2;14(4):463-467. doi: 10.1016/j.radcr.2019.01.012. PMID: 30766648; PMCID: PMC6360248.
22. Park ES, Kim J, Jun SY. Characteristics and prognosis of glomangiopericytomas: A systematic review. Head Neck. 2017;39:1897-909. https://doi.org/10.1002/hed.24818
Autores – Presentación Atípica de Tumor Glómico en Vía Aérea
1 Luis E. Herrera-Zabaleta, Médico, especialista en Cirugía general, Hospital Serena del Mar, Cartagena, Colombia.
2 Leonardo Lora-Acuña, Médico, Especialista en Cirugía General, Fellow en Cirugía Oncológica, Pontificia Universidad Javeriana, Cali, Colombia
3 Yuly T. Villegas-Rodríguez, Médico, Residente en Cirugía General, Universidad del Sinú, Cartagena, Bolívar, Colombia.
4 Alyi A. Arellano-Cabeza, Estudiante de Medicina, Universidad del Magdalena, Santa Marta, Colombia.
5 Edgard E. Gutiérrez-Puente, Médico, especialista en Cirugía general y Cirugía de tórax; Hospital Serena del Mar, docente de Cirugía, Universidad de Cartagena, Cartagena, Colombia.
Fecha de recibido: 24/12/2021 – Fecha de aceptación: 22/04/2022 – Publicación en línea: 03/02/2023
Correspondencia: Alyi A. Arellano-Cabeza, Calle 29 # 50-50, Zaragocilla, Cartagena de Indias, Colombia. Teléfono: +57 304-5747146
Dirección electrónica: alyi260428@gmail.com
Citar como: Herrera-Zabaleta LE, Lora-Acuña L, Villegas-Rodríguez YT, Arellano-Cabeza AA, Gutiérrez-Puente EE. Presentación atípica de tumor glómico en vía aérea: Reporte de caso y revisión de literatura. Rev Colomb Cir. 2023;38: 357-62. https://doi.org/10.30944/20117582.966
Este es un artículo de acceso abierto bajo una Licencia Creative Commons – BY-NC-ND https://creativecommons.org/licenses/by-nc-nd/4.0/deed.es







