Hiatal Hernia: Respiratory And Gastrointestinal Symptoms in COVID-19 era
Palabras clave: hernia hiatal; vólvulo gástrico; COVID-19; virus del SRAS; pandemia; insuficiencia respiratoria.
Keywords: hiatal hernia; stomach volvulus; COVID-19; SARS virus; pandemic; respiratory insufficiency
Introducción
La COVID-19 ha mostrado una gran variedad de manifestaciones, que clasifica a la enfermedad en leve o grave. Síntomas gastrointestinales como náusea, vómito, anorexia y dolor abdominal han sido reportados, con una prevalencia entre 3 a 21 % de los casos.1,2
Caso clínico
Presentamos el caso de un paciente de 51 años que acude al servicio de Urgencias por disnea y dolor torácico persistente.
El paciente reportó también sensación de náusea, disfagia, hiporexia, dolor abdominal moderado y ausencia de evacuaciones en 72 horas.
La exploración inicial reveló 20 respiraciones por minuto, saturación de oxígeno 96%, y no se documentó fiebre, a pesar de cursar con síntomas de enfermedad grave.
La radiografía de tórax evidenció zona de opacidad basal derecha. La prueba de antígeno y PCR resultaron positivas para COVID-19.
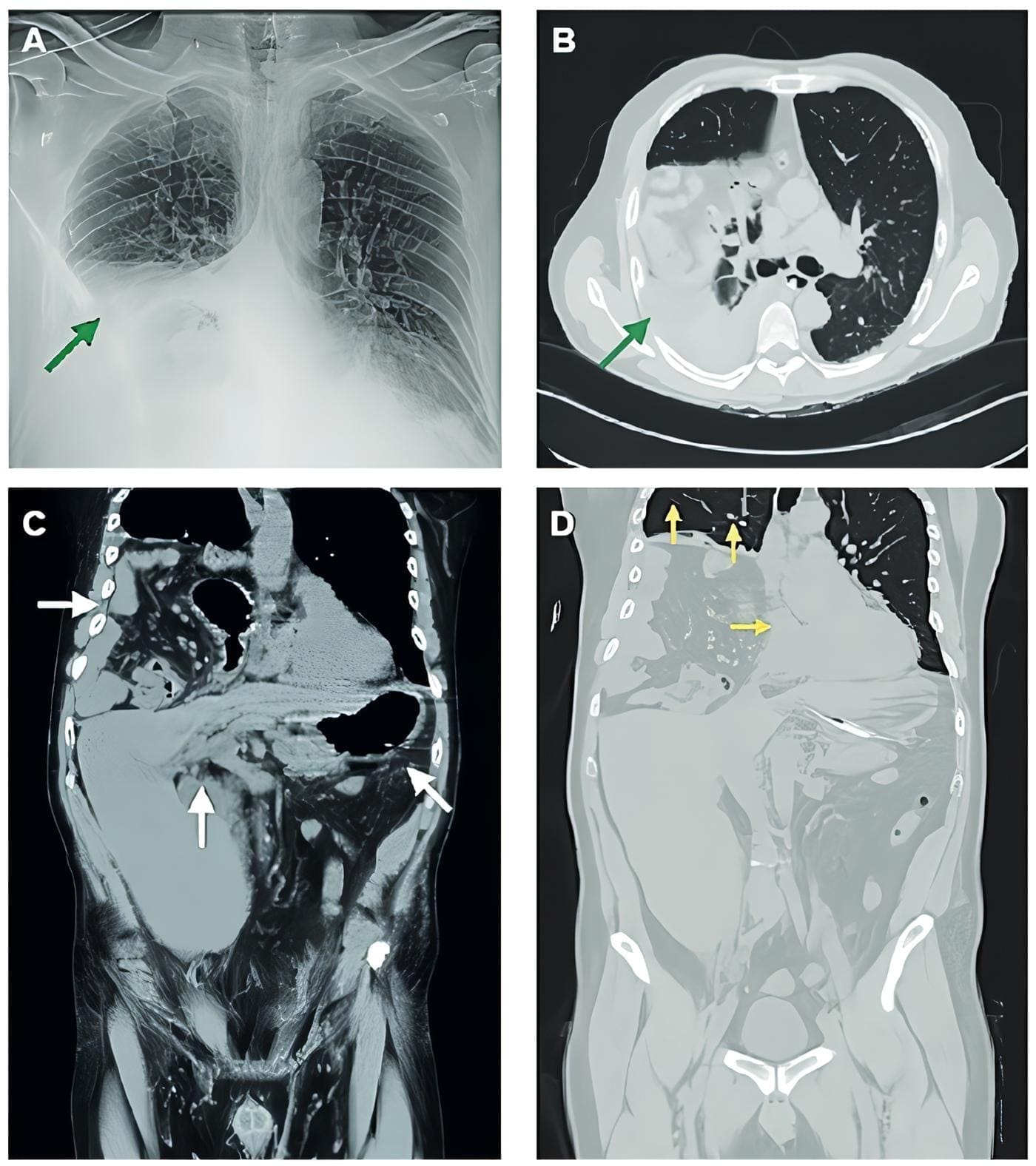
Se realizó una tomografía tóraco abdominal la cual demostró la presencia de hernia hiatal mixta y vólvulo gástrico; en el parénquima pulmonar no se observaron cambios sugestivos de neumonía por SARS-CoV-2 (Figura 1).

Figura 1: A) Radiografía posteroanterior con opacidad en hemitórax derecho. B) Tomografía de tórax en plano axial que revela estómago, intestino delgado, colon y mesenterio en situación intratorácica derecha; no se observan cambios en parénquima pulmonar compatibles con neumonía viral. C) Tomografía tóraco-abdominal (plano coronal) que demuestra hernia hiatal con hemidiafragma derecho de situación alta y vólvulo gástrico. D) Tomografía en plano coronal que muestra restricción mecánica del pulmón derecho con desplazamiento contralateral de estructuras mediastinales. Imagen original, fuente: los autores.ADADCB
Discusión – Hernia Hiatal en la era COVID-19
La discordancia entre el cuadro clínico, la exploración física y los hallazgos radiográficos iniciales, puede ser objeto de confusión en una enfermedad emergente y multisistémica2.
Los hallazgos por tomografía de tórax han demostrado una buena correlación con la severidad de la enfermedad3.
En este caso, los síntomas (incluyendo la disnea y dolor torácico) fueron secundarios a la restricción mecánica del parénquima pulmonar, probablemente en un paciente con enfermedad COVID-19 leve o asintomática.
Conclusión
La presencia de síntomas extrapulmonares o atípicos en COVID-19 debe ser objeto de investigación en el paciente para descartar otra posible etiología.
Cumplimiento de normas éticas – Hernia Hiatal en la era COVID-19
Consentimiento informado: Se obtuvo la autorización del paciente y familiar para la publicación de este caso con fines de investigación.
Conflictos de interés: Los autores declararon no tener ningún conflicto de interés relacionado directa o indirectamente con los contenidos del manuscrito.
Financiamiento: Los autores declaran no haber recibido financiación externa.
Contribución de los autores
– Concepción y diseño del estudio: Oscar Miguel Marín-Landa.
– Adquisición de datos: Oscar Miguel Marín-Landa.
– Redacción del manuscrito: Tania Rojas-Murillo.
– Revisión crítica: Tania Rojas-Murillo
Referencias – Hernia Hiatal en la era COVID-19
1. Moreno-Madrigal LG, Hernández-Lima AE. Manifes-taciones extrapulmonares de COVID-19. Med Int Méx. 2022;38:1025-40. https://doi.org/10.24245/mim.v38i5.4745
2. Mao R, Qiu Y, He JS, Tan JY, Li XH, Liang J, et al. Mani-festations and prognosis of gastrointestinal and liver involvement in patients with COVID-19: a systematic review and meta-analysis. Lancet Gastroenterol Hepa-tol. 2020;5:667-78. https://doi.org/10.1016/S2468-1253(20)30126-6
3. Gupta A, Madhavan MV, Sehgal K, Nair N, Mahajan S, Sehrawat TS, et al. Extrapulmonary manifestations of COVID-19. Nat Med. 2020;26:1017-32. https://doi.org/10.1038/s41591-020-0968-3
Autores – Hernia Hiatal en la era COVID-19
1 Oscar Miguel Marín-Landa, Médico, especialista en Medicina de Urgencias, Servicio de Urgencias Adultos, Instituto Mexicano del Seguro Social HGZ 1A, Ciudad de México, México.
2 Tania Rojas-Murillo, Médica, especialista en Anestesiología, Servicio de Anestesiología, Centro Médico Naval, Ciudad de México, México.
Fecha de recibido: 16/11/2022 – Fecha de aceptación: 24/12/2022 – Publicación en línea: 21/01/2023
Correspondencia: Oscar Miguel Marín-Landa, Avenida Municipio Libre s/n. Colonia Portales Norte, Código postal 03300, Delegación Benito Juárez, Ciudad de México, México. Teléfono: 5552132391. Dirección electrónica: oscar.m.marin.l@gmail.com
Citar como: Marín-Landa OM, Rojas-Murillo T. Hernia hiatal: síntomas respiratorios y gastrointestinales en la era COVID-19Rev Colomb Cir. 2023;38:352-3. https://doi.org/10.30944/2011758.2295
Este es un artículo de acceso abierto bajo una Licencia Creative Commons – BY-NC-ND https://creativecommons.org/licenses/by-nc-nd/4.0/deed.es







