Secuestro Pulmonar Intralobar: Presentación de Caso
Secuestro pulmonar intralobar y aspergilosis pulmonar: reporte de un caso
Intralobar pulmonary sequestration and pulmonary aspergilosis: a case report
Resumen
El secuestro pulmonar es un tipo de malformación congénita pulmonar poco frecuente, con presentación clínica variable y de usual diagnóstico durante la infancia.
Puede coexistir con otras patologías pulmonares, principalmente de tipo infecciosas y su manejo definitivo es mediante un procedimiento quirúrgico. Se presenta el caso de una paciente adulta con secuestro pulmonar, asociado a una infección fúngica, manejada con cirugía mínimamente invasiva.
Palabras clave: pulmón; secuestro broncopulmonar; aspergilosis pulmonar; anomalías congénitas; toracoscopía; cirugía torácica asistida por video.
Abstract – Secuestro Pulmonar Intralobar
Pulmonary sequestration is a rare type of congenital pulmonary malformation, with variable clinical presentation and usually diagnosed during childhood. It can coexist with other pulmonary pathologies, mainly infectious, and its definitive management is through a surgical procedure.
We present the case of an adult patient with pulmonary sequestration associated with a fungal infection, managed with minimally invasive surgery.
Keywords: lung; bronchopulmonary sequestration; pulmonary aspergillosis; congenital abnormalities; thoracoscopy; thoracic surgery, video-assisted.
Introducción – Secuestro Pulmonar Intralobar
Las malformaciones congénitas pulmonares (MCP) son entidades poco frecuentes, que generalmente se tratan en pacientes en edad pediátrica, con un amplio espectro de manifestaciones clínicas, que raras veces cursan para ser diagnosticadas en la edad adulta 1 .
El secuestro pulmonar es un tipo de MCP que corresponde a un tejido pulmonar funcional aislado del árbol bronquial, con irrigación arterial aberrante 2 . En el presente artículo, se presenta el caso tratado en una paciente adulta y se hace una revisión de la literatura.
Caso clínico – Secuestro Pulmonar Intralobar
Se trata de una paciente de 34 años de edad, con antecedentes de neumonía y cuadros respiratorios a repetición durante los seis años anteriores a su consulta por cirugía de tórax, quien es referida por el resultado de la tomografía computarizada que muestra bronquiectasias y una lesión que ocupa espacio en el segmento posterior de lóbulo inferior derecho (LID).
En su enfoque diagnóstico se solicitó química sanguínea, gasometría arterial, espirometría y angiotomografía de tórax, con el objetivo de caracterizar mejor la lesión y evaluar la función pulmonar.
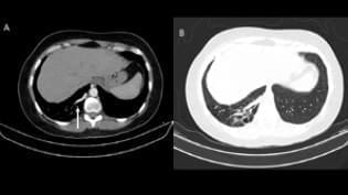
No había trastornos de oxigenación ni de restricción pulmonar, y el estudio imagenológico mostraba en LID una zona de hiperinsuflación y atrapamiento de aire del parénquima perilesional, bronquiectasias, cavidades aéreas con paredes gruesas con dimensiones de 31 x 24 mm y una estructura vascular prominente extendiéndose hacia la periferia de la lesión, con origen directamente de la aorta a nivel de la unión toracoabdominal, a favor de secuestro pulmonar (figura 1).

Figura 1. Tomografía Computarizada – AngioTAC. (A) Ventana mediastinal. Flecha blanca, vaso aberrante nutricio de secuestro pulmonar, con origen en aorta torácica descendente. (B) Ventana pulmonar. Secuestro pulmonar en lóbulo inferior derecho.
Se realizó procedimiento quirúrgico de lobectomía total inferior derecha por toracoscopia con abordaje por dos puertos.
Inicialmente se inspeccionó la cavidad pleural observando el LID aumentado de tamaño, sin lesiones externas visibles en el parénquima pulmonar, con presencia de vaso aberrante proveniente de la aorta torácica descendente, adyacente al ligamento pulmonar inferior, constituyendo un secuestro pulmonar
intralobar. Se procedió a ligar el vaso aberrante con sutura mecánica (figura 2), disecar y ligar las estructuras vasculares lobares y por último practicar la lobectomía con uso de sutura mecánica.
Se verificó una adecuada hemostasia y aerostasia y se finalizó la cirugía con colocación de sonda pleural y cierre por planos.
El manejo posquirúrgico inmediato se hizo en unidad de cuidado crítico, sin necesidad de soporte ventilatorio ni vasoactivo, con estancia en dicho servicio por 4 días y en hospitalización general por 1 día más, posterior a lo cual se retiró sonda pleural y se dio egreso.

Figura 2. Se observa la sección con sutura mecánica del vaso aberrante nutricio del secuestro pulmonar.
Durante el primer control posquirúrgico ambulatorio quince días posteriores al procedimiento se encontró con adecuada evolución clínica y el estudio anatomopatológico reportó parénquima pulmonar con pérdida parcial de su histoarquitectura, dada por la presencia de un proceso inflamatorio importante de predominio linfoplasmocitario, de localización intersticial y peribronquial, con formación de agregados linfoides y presencia de abundantes hifas septadas de Aspergillus, con áreas de colapso pulmonar y enfisema compensatorio, a favor de secuestro pulmonar con sobreinfección.
Fue remitida de forma ambulatoria a los servicios de neumología e infectología, quienes consideraron el diagnóstico de aspergilosis pulmonar cavitaria crónica e indicaron manejo con itraconazol, con seguimiento clínico por el servicio de cirugía de tórax 8 meses después, con adecuada evolución clínica, capacidad vital y funcional, y radiografía de tórax con adecuada expansión pulmonar.
Revisión del tema y discusión – Secuestro Pulmonar Intralobar
El secuestro pulmonar es una patología rara, con una frecuencia de 1 a 6 % de todas las MCP, que se presenta en 1 de cada 10.000 a 35.000 nacidos vivos.
Desde el punto de vista pulmonar, su principal característica es el aislamiento del árbol traqueobronquial, y desde el punto de vista vascular presenta una irrigación independiente del resto del parénquima, usualmente proveniente de la aorta torácica o abdominal, y en menos casos de las arterias mamaria interna, subclavia, intercostales, o directamente del tronco celíaco 3 .
Su presentación puede ser intralobar, si dicho tejido se encuentra contenido dentro de parénquima pulmonar normal, o extralobar, si se encuentra aislado del parénquima pulmonar por su propia pleura visceral, pudiendo estar en contacto con otras estructuras intratorácicas o extratorácicas, como por ejemplo estómago, esófago o páncreas 2 .
En cuanto a la distribución anatómica, el mayor compromiso es de los lóbulos inferiores, predominando los segmentos basales posteriores del pulmón izquierdo en 66,4 %, o del pulmón derecho en 20,1 %.
Los síntomas cardinales suelen ser tos o expectoración en 67,8 %, seguidos de fiebre 39 % y hemoptisis 27 %; aunque en pacientes adultos, la principal forma de presentación son los cuadros inflamatorios o las infecciones pulmonares a repetición, como sucedió en esta paciente 4,5
Diagnóstico
Para el diagnóstico, la radiografía de tórax suele ser el estudio imagenológico inicial, donde se aprecian una lesión quística única o múltiple, consolidación o lesión ocupante de espacio.
La tomografía computarizada, incluyendo el protocolo de angiotomografía, constituye el estudio imagenológico de elección dado que permite la adecuada caracterización de la lesión pulmonar, así como la estructura vascular aberrante y su origen.
La resonancia magnética de tórax no ofrece resultados superiores a la tomografía. La arteriografía suele reservarse para intervenciones terapéuticas previas a la intervención quirúrgica 6,7.
Manejo de la patología
El manejo de la patología es netamente quirúrgico, consistente en resección de la lesión, en caso de presentación extralobar, o en segmentectomía o lobectomía, en caso de presentación intralobar, que fue la identificada en este caso.
La cirugía mínimamente invasiva ha tenido gran auge en la cirugía torácica y pulmonar en los últimos años, es por ello que constituye el abordaje de elección para este tipo de intervenciones, mostrando resultados similares a la cirugía abierta, pero menor estancia hospitalaria y dolor posoperatorio 8–10.
Liu y colaboradores realizaron un estudio comparativo de abordaje por videotoracoscopia y toracotomía posterolateral, y encontraron que la duración del procedimiento quirúrgico, las pérdidas sanguíneas, el drenaje y la duración de sonda pleural, la estancia hospitalaria y las complicaciones eran similares en ambos grupos 11.
La cirugía robótica, realizada por primera vez en el año 2009, es una posibilidad desde el punto de vista del abordaje quirúrgico, sin embargo, hasta el momento solo hay publicados reportes de casos 12,13. La embolización del vaso aberran te por radiología intervencionista suele ser una alternativa o un manejo complementario, en especial en casos de pacientes que se presenten con hemoptisis 14.
Estudios anatomopatológicos
Los estudios anatomopatológicos de los productos de resección suelen reportar procesos inflamatorios crónicos; la presentación de malignidad es ocasional 15.
La presentación concomitante de un aspergiloma es excepcional, con pocos reportes de casos en la literatura, y se considera que está suscitado por las cavitaciones en el parénquima pulmonar, en las que puede haber sobrecrecimiento del hongo 16,17.
El Aspergillus usualmente se encuentra en las vías respiratorias y pulmones del ser humano, sin repercusiones patológicas en estados de adecuada competencia inmunológica.
El diagnóstico prequirúrgico de sobreinfección por Aspergillus en un secuestro pulmonar es poco frecuente, y en los casos que se logra, es a través de cultivos de esputo o biopsias.
En este caso, la presencia del Aspergillus asociado al secuestro pulmonar intralobar indica la presencia de comunicaciones al árbol traqueobronquial 18.
El tratamiento antifúngico para la aspergilosis pulmonar cavitaria crónica y broncopulmonar alérgica se suele realizar con itraconazol o voriconazol 19.
Conclusión – Secuestro Pulmonar Intralobar
El secuestro pulmonar es una malformación congénita generalmente tratada en la niñez, con indicación quirúrgica en el paciente sintomático.
El diagnóstico en la edad adulta se realiza usualmente en pacientes con cuadros respiratorios a repetición, en quienes se indican estudios imagenológicos complementarios. La conducta de manejo sigue siendo la resección quirúrgica y el abordaje mínimamente invasivo constituye el tratamiento de elección, con iguales tasas de éxito que el manejo por toracotomía.
Cumplimiento de normas éticas Consentimiento informado: Se obtuvo el consentimiento informado por parte del paciente.
El Comité de Ética Institucional aprobó el diseño y la metodología del estudio. Conflicto de interés: ninguno reportado por los autores. Fuentes de financiación: Recursos propios de los autores.
Referencias – Secuestro Pulmonar Intralobar
1. Durell J, Lakhoo K. Congenital cystic lesions of the lung. Early Hum Dev. 2014;90:935-9. https://doi.org/10.1016/j.earlhumdev.2014.09.014
2. Bush A, Chitty LYN, Harcourt J, Hewitt R, Nicholson A. Congenital Lung Disease. In: Chernick V, Wilmott RW, editors. Kendig’s disorders of the respiratory tract in children. Ninth edition. Maryland: Elsevier Inc.; 2019. p. 289-337.
3. Zapata-González R, Naranjo-Salazar C, Méndez-Giraldo M, Vélez-Castaño P, Montoya-Medina C, Roncancio-Villamil G, et al. Secuestro pulmonar en adultos: reporte de tres casos y revisión de la literatura. Rev CES Med. 2018;32:150-8. https://doi.org/10.21615/cesmedicina.32.2.8
4. Wei Y, Li F. Pulmonary sequestration: a retrospective analysis of 2625 cases in China. Eur J Cardiothorac Surg. 2011;40:e39-e42. https://doi.org/10.1016/j.ejcts.2011.01.080
5. Zhang N, Zeng Q, Chen C, Yu J, Zhang X. Distribution, diagnosis, and treatment of pulmonary sequestration: Report of 208 cases. J Pediatr Surg. 2019;54:1286-92. https://doi.org/10.1016/j.jpedsurg.2018.08.054
6. Lin CH, Chuang CY, Hsia JY, Lee MC, Shai SE, Yang SS, et al. Pulmonary sequestration-differences in diagnosis and treatment in a single institution. J Chin Med Assoc. 2013;76:385-9. https://doi.org/10.1016/j.jcma.2013.04.002
7. Walker CM, Wu CC, Gilman MD, Godwin II JD, Shepard JO, Abbott GF. The imaging spectrum of bronchopulmonary sequestration. Curr Probl Diagn Radiol. 2014;43:100-4. https://doi.org/10.1067/j.cpradiol.2014.01.005
8. Gutiérrez E, Ortiz CA, Gómez J, Duitama JP, Díaz JJ, Fernández MR, et al. Situación actual de la cirugía video-toracoscópica. Rev Colomb Cir. 2013;28:212-22
Bibliografías – Secuestro Pulmonar Intralobar
9. Kestenholz PB, Schneiter D, Hillinger S, Lardinois D, Weder W. Thoracoscopic treatment of pulmonary sequestration. Eur J Cardiothorac Surg. 2006;29:815-8. https://doi.org/10.1016/j.ejcts.2006.02.018
10. Liu HS, Li SQ, Qin YZ, Zhang ZY, Ren H. Surgical treatment of intralobar pulmonary sequestration. Chin Med Sci J. 2010;25:53-6. https://doi.org/10.1016/S1001-9294(10)60021-1
11. Liu C, Pu Q, Ma L, Mei J, Xiao Z, Liao H. Video-assisted thoracic surgery for pulmonary sequestration compared with posterolateral thoracotomy. J Thorac Cardiovasc Surg. 2013;146:557-61. https://doi.org/10.1016/j.jtcvs.2013.04.027
12. Konecna J, Karenovics W, Veronesi G, Triponez F. Robot-assisted segmental resection for intralobar pulmonary sequestration. Int J Surg Case Rep. 2016;22:83-5. https://doi.org/10.1016/j.ijscr.2016.03.008
13. Al-Mufarrej F, Margolis M, Tempesta B, Strother E, Gharagozloo F. Robot-assisted thoracoscopic resection of intralobar sequestration. J Laparoendosc Adv Surg Tech A. 2009;19:389-91. https://doi.org/10.1089/lap.2008.0256
14. Borzelli A, Paladini A, Giurazza F, Tecame S, Giordano F, Cavaglià E, et al. Successful endovascular embolization of an intralobar pulmonary sequestration. Radiol Case Rep. 2018;13:125-9. https://doi.org/10.1016/j.radcr.2017.10.003
15. Lawal L, Mikroulis D, Eleftheriadis S, Karros P, Bougioukas I, Bougioukas G. Adenocarcinoma in pulmonary sequestration. Asian Cardiovasc Thorac Ann. 2011;19:433-5. https://doi.org/10.1177/0218492311419796
Lecturas Recomendadas – Secuestro Pulmonar Intralobar
16. Gowrinath K, Kamath GS, Rajagopal K V, Kudva R. Intralobar pulmonary sequestration with aspergilloma in an adult. Respir Med CME. 2010;3:142-5. https://doi.org/10.1016/j.rmedc.2009.09.012
17. Panse P, Smith M, Cummings K, Jensen E, Gotway M, Jokerst C. The many faces of pulmonary aspergillosis: Imaging findings with pathologic correlation. Radiol Infect Dis. 2016;3:192-200. https://doi.org/10.1016/j.jrid.2016.10.002
18. Berna P, Lebied E, Assouad J, Foucault C, Danel C, Riquet M. Pulmonary sequestration and aspergillosis. Eur J Cardiothorac Surg: 2005;27:28-31. https://doi.org/10.1016/j.ejcts.2004.10.007
19. Cuervo-Maldonado S, Gómez-Rincón J, Rivas P, Guevara F. Actualización en Aspergilosis con énfasis en Aspergilosis invasora. Infectio. 2010;14(S2):S131-S144. https://doi.org/10.1016/S0123-9392(10)70131-4
Autores – Secuestro Pulmonar Intralobar
1 Jaime José Díaz, Vanesa Paola Luján, Laura Victoria Jaimes, Ana María Santos, Médico, especialista en Cirugía General, Universidad de Cartagena, Cartagena, Colombia.
2 Laura Karyna García. Médica general, Universidad de Cartagena, Cartagena, Colombia
3 Edgard Eduardo Gutiérrez, Médico, especialista en Cirugía General, subespecialista en Cirugía de Tórax; Docente, Departamento Quirúrgico, Universidad de Cartagena, Cartagena, Colombia.



