Presentación de caso Melanoma anal, importancia del diagnóstico diferencial con la enfermedad anal benigna

Publicidad

DavidMartínez-Ramos1, Rafael García-Calvo1, Laura Simón-Monterde2, María Jesús Nicolau-Ribera3

Palabras clave: melanoma; neoplasias del ano; membrana mucosa; diagnóstico diferencial; oncología quirúrgica.

Publicidad

 Resumen

El melanoma anorrectal, descrito inicialmente por Moore en 1857, es un tumor infrecuente y agresivo, cuyo pronóstico suele ser infausto, con una supervivencia a los cinco años menor de 20 %. La principal importancia de este tumor radica en que suele presentarse como una tumoración anorrectal o producir sangrado, o rectorragia, por lo que el diagnóstico diferencial con la enfermedad anal benigna resulta crucial, pues el pronóstico estará condicionado por el estadio en el momento del diagnóstico.

Se presenta el caso de una mujer de 70 años que consultó por sangrado rectal y cuyo diagnóstico inicial fue de trombosis hemorroidal. Tras el diagnóstico de melanoma anorrectal y el estudio de extensión negativo para metástasis, se practicó una amputación abdómino-perineal según la técnica de Miles. Tras nueve años de seguimiento, la paciente se encuentra libre de enfermedad.

Introducción

El melanoma es una neoplasia que se produce por un crecimiento incontrolado de los melanocitos, células que se derivan embriológicamente de la cresta neural. La localización más frecuente de los melanomas es en la piel, pero pueden aparecer también en otras localiza­ciones, como los ojos o en diferentes mucosas, como la gastrointestinal y la genital. De este modo, el melanoma que aparece en las mucosas se ha considerado como una entidad diferente al melanoma cutáneo, debido a su diferente comportamiento biológico y, en general, debido a su peor pronóstico 1.

El canal anal es el lugar más frecuente de aparición de los melanomas de la mucosa gastrointestinal 2. Así, aunque representa menos de 0,05 a 4,6 % de las lesiones anorrectales 3,4, esta constituye la tercera localización más frecuente del melanoma, después de la piel y los ojos 1. El melanoma anorrectal, descrito inicialmente por Moore en 1857 5, es un tumor infrecuente y agresivo, cuyo pronóstico suele ser infausto, con una supervivencia a los cinco años menor del 20 % 3.

Publicidad

La principal importancia de este tumor radica en que suele presentarse como una tumoración anorrectal o mediante sangrado o rectorragia, por lo que el diagnós­tico diferencial con la enfermedad anal benigna resulta crucial, pues el pronóstico está condicionado por el estadio en el momento del diagnóstico 6,7.

El objetivo de este artículo fue presentar nuestra ex­periencia en el diagnóstico y tratamiento de una paciente con un melanoma anal y destacar, así, la importancia de un diagnóstico diferencial con la enfermedad anal benigna, especialmente con las hemorroides, dado el carácter nodular y habitualmente pigmentado que pueden presentar ambas lesiones.

Caso clínico

Se trata de una mujer de 70 años que acudió al Servicio de Urgencias del Hospital Universitario General de Castellón, por presentar una tumoración sobreelevada y de coloración azulada-negruzca, sangrante y de 1 cm de diámetro, aproximadamente, localizada en la región perianal, de unas tres semanas de evolución (figura 1).

Exploración anal Figura 1. Exploración anal en la que se aprecia pequeña hemorroi­de no complicada y lesión melánica compatible con el melanoma extirpado (flecha).

Con el diagnóstico presuntivo inicial de trombosis hemorroidal, fue sometido a hemorroidectomía, bajo anestesia local y regional; no hubo complicaciones y se dio el alta hospitalaria al día siguiente de la intervención.

El estudio anatomopatológico de la pieza de resec­ción quirúrgica reportó la presencia de un melanoma ulcerado, de localización perianal, cuyo máximo espesor de Breslow era de 1,3 mm y que alcanzaba el margen profundo.

Publicidad

Con este inesperado diagnóstico, se completó el estudio de extensión mediante tomografía computado­rizada (TC) toraco-abdómino-pélvica, colonoscopia y biopsia selectiva de ganglios centinelas inguinales de ambos lados. No se practicó PET-TC por no encontrar­se disponible en nuestro medio en aquel momento. La TC resultó negativa para metástasis. La colonoscopia demostró múltiples lesiones melánicas en la mucosa rectal, compatibles con metástasis o extensión local de la enfermedad (figura 2). Los tres ganglios inguinales centinelas estudiados, dos izquierdos y uno derecho, resultaron negativos para neoplasia maligna.

Colonoscopia en retrovisiónFigura 2. Colonoscopia en retrovisión, donde se aprecia la extensión a canal rectal de las lesiones de melanoma.

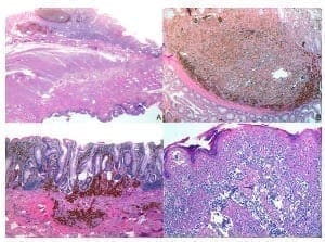
Con estos resultados, se decidió completar el trata­miento quirúrgico con intención curativa, procediéndose a una amputación abdómino-perineal, según la técnica descrita por Miles. El periodo posoperatorio nuevamente transcurrió sin complicaciones. El estudio anatomopato­lógico de la pieza de resección recto-sigmoidea confirmó la presencia de un melanoma nodular de localización perianal, con un espesor máximo de Breslow de 5 mm; asimismo, infiltración de la mucosa rectal, que alcanzaba 4 mm de profundidad. No hubo metástasis en los tres ganglios analizados. Los márgenes quirúrgicos estaban libres de neoplasia (figura 3).

Células pigmentadas atípicas con crecimiento intramucosoFigura 3. Estudio anatomopatológico. A. Agregado nodular de células pigmentadas atípicas con crecimiento intramucoso. Hema­toxilina y eosina, lupa. B. La misma imagen con mayor aumento. Hematoxilina y eosina, 10X. C. Melanoma que infiltra más allá de la muscularis mucosa, con patrón de pequeños nidos y células sueltas hiperpigmentadas, a distancia de la lesión nodular descrita, en otra zona de la mucosa del colon. Hematoxilina y eosina, 10 X. D. Crecimiento pagetoide de las células melánicas malignas en el epitelio escamoso anorrectal. Hematoxilina y eosina, 10X

Ante la presencia de un melanoma de alto riesgo, se propuso tratamiento adyuvante con interferón, según el esquema de Kirwood, completando un total de 20 sesiones. Posteriormente, se inició tratamiento de man­tenimiento durante un año con interferón, 15 millones de UI por vía subcutánea tres veces por semana.

En el seguimiento, persistió libre de enfermedad hasta ocho años más tarde, cuando en una TC de control se observó un nódulo pulmonar en el lóbulo medio, hiper­metabólico en la PET-TC, con características sugestivas de neoplasia maligna. La resonancia magnética también demostró la presencia de un nódulo pulmonar de 20 x 16 mm, levemente hiperintenso en T1, sin aumento de la intensidad de la señal en las imágenes potenciadas en T2, compatible con metástasis de melanoma.

Ante la presencia de un nódulo pulmonar sospechoso caracterizado como metástasis única, se practicó su re­sección quirúrgica a través de una toracotomía derecha, mediante cuña pulmonar grapada en el lateral, sin que se presentaran complicaciones. El estudio anatomopatológi­co confirmó la presencia de una metástasis de melanoma de 2 cm que infiltraba la pleura visceral y llegaba a la superficie. En el margen de resección quirúrgica no había infiltración tumoral y el parénquima pulmonar circundante mostraba leves cambios inespecíficos.

En el control de seguimiento, seis meses después de la metastasectomía y nueve años después de la extirpa­ción del tumor primario, la paciente se encontraba libre de enfermedad.


1 Servicio de Cirugía General y Aparato Digestivo, Hospital Universitario General de Castellón, Castellón, España
2 Servicio de Urgencias, Consorcio Hospitalario Provincial de Castellón, Castellón, España
3 Servicio de Anatomía Patológica, Hospital Universitario General de Castellón, Castellón, España

 Fecha de recibido: 12 de octubre de 2016
Fecha de aprobación: 21 de noviembre de 2016

 Citar como: Martínez-Ramos D, García-Calvo R, Simón-Monterde L, Nicolau-Ribera MJ. Melanoma anal, importancia del diagnóstico diferencial con la enfermedad anal benigna. Rev Colomb Cir. 2017;32:330-34.

Autor

Otros temas relacionados

Deja un comentario