Se presenta un paciente de 63 años de edad que pre- sentaba antecedentes de hipertensión arterial sistémica diagnosticada cinco años antes, diabetes mellitus de tipo 2 e hipercolesterolemia, en tratamiento con losartán, metformina y atorvastatina. Fue fumador por 30 años (hasta cinco años antes) y consumió licor (más de 200 gramos semanales) durante cuatro años.
Fue remitido al Servicio de Medicina Interna de la Clínica Universidad de La Sabana, por elevación de la creatinina sérica durante los controles de hipertensión arterial sistémica. El examen físico del paciente era normal, tenía un índice de masa corporal de 23,6 kg/ m2 y no tenía signos clínicos que hicieran pensar en un tumor funcional. Los exámenes paraclínicos iniciales se muestran en la tabla 1. En la ecografía renal y de vías urinarias, se encontró una masa redondeada de 42 x 49 mm, sólida, ecogénica y heterogénea, adyacente al polo superior del riñón derecho y que dependía de la glándula suprarrenal derecha (figura 1). En la TC de abdomen se observó una masa de 42 x 48 mm, sin calcificaciones, en la glándula suprarrenal derecha (figura 2).
Teniendo en cuenta el tamaño del tumor, se decidió practicar una suprarrenalectomía laparoscópica derecha, con abordaje abdominal.
Durante el procedimiento quirúrgico el paciente fue monitorizado, se le colocó un catéter central, una sonda vesical y una línea arterial. Los tres pasos fundamentales de la disección de esta cirugía, fueron: el rechazo del hígado y la apertura del peritoneo, la disección sobre el retroperitoneo y la visualización de la vena cava inferior, y la disección y el control de la vena suprarrenal (ver video en la pá-gina https://www.ascolcirugia.org, sección Multimedia). Para el control de la vena suprarrenal, se utilizaron dos clips proximales y dos distales. La masa no se debe manipular antes de la colocación de los clips sobre la vena suprarrenal (figura 3).
Tabla 1. Exámenes paraclínicos del paciente

Figura 1. Ecografía renal y de vías urinarias. Se identifica una masa de 42 x 49 mm, sólida, redondeada, ecogénica y heterogénea, adyacente al polo superior del riñón derecho, que depende de la glándula suprarrenal derecha; no muestra señal con ecografía Doppler a color.
Figura 2 a y b. TC de abdomen. Se aprecia una masa en la glándula suprarrenal derecha, que mide 42 x 48 mm, sin calcificaciones, y con densidad promedio de -79 UH.
Figura 3. Pieza quirúrgica de suprarrenalectomía derecha laparoscópica.
El procedimiento duró una hora y media, tuvo sangrado mínimo y cursó sin complicaciones. El paciente fue tras-ladado a la unidad de cuidados intermedios y fue dado de alta al segundo día. Sus controles posteriores fueron normales. El Servicio de Patología hizo el diagnóstico de mielolipoma de glándula suprarrenal (figuras 4-7).
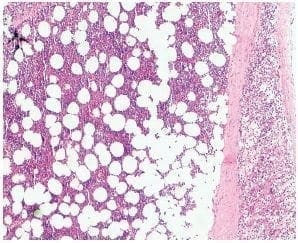
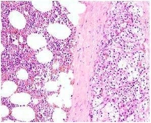
Figura 4. Mielolipoma subyacente al tejido cortical suprarrenal normal. Hematoxilina y eosina, 4X.
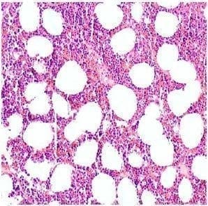
Figura 5. El mielolipoma suprarrenal está constituido por tejido adiposo maduro, mezclado con componentes hematopoyéticos. Hematoxilina y eosina, 10X.
Figura 6. Se aprecia una proporción similar entre el componente adiposo y el hematopoyético del mielolipoma. Hematoxilina y eosina, 20X.
Figura 7 . El componente hematopoyético está conformado por elementos de todas las líneas celulares. Se destaca la presencia de un megacariocito en el centro de este campo. Hematoxilina y eosina, 40X.
Conclusión
Los mielolipomas son los tumores primarios de tejido adiposo más frecuentes de la glándula suprarrenal. Es-tas neoplasias benignas son inusuales, generalmente no funcionales y hacen parte de los ‘incidentalomas’ de la glándula suprarrenal. Presentan características radiológicas distintivas y la histopatología confirma el diagnóstico. El tratamiento quirúrgico laparoscópico está indicado para tu-mores sintomáticos, neoplasias entre 6 y 10 cm de diámetro y cuando se presenta crecimiento tumoral en dos estudios imaginológicos consecutivos 6,21,26,29. La cirugía laparoscó-pica es segura, no requiere de instrumental, dispositivos o fuentes de energía costosos y la recuperación del paciente, así como el retorno a sus actividades, es rápido.
Laparoscopic surgery in a patient with right adrenal myelolipoma.
Abstract
Adrenal myelolipomas are rare slow-growing benign tumors composed of mature adipose tissue and hematopoietic cells. They most often occur in adults in the 5th-6th decade, and usually measure between 3 and 7 cm; 70% of cases are asymptomatic and are part of the so called incidentalomas of the adrenal gland. Treatment can be conservative or surgical, depending on the symptoms, the size of the mass and the growth of the tumor in consecutive imaging studies.
We report a 63-year old man with history of systemic arterial hypertension, diabetes mellitus type 2 and hyperlipidemia. A right adrenal mass was reported as incidental finding in diagnostic imaging. Physical examination and paraclinical studies ruled out a functioning tumor. Right laparoscopic adrenalectomy was performed without complications and a myelolipoma was diagnosed by histopathology.
Myelolipomas should be included in the differential diagnosis of the adrenal gland incidentalomas. Laparsocopic adrenalectomy is a safe procedure with rapid recovery, does not require special instruments or devices, and is cosmetically superior to the open technique.
Key words: Adrenal glands; myelolipoma; incidental findings; adrenalectomy; laparoscopy.
Referencias
1. Maitra A. The endocrine system. In: Kumar V, Abbas AK, Aster JC. In: Robbins & Cotran Pathologic Basis of Disease.
9th edition. Philadelphia: Elsevier Saunders; 2015. p.1133.
2. Mangray S, DeLellis RA. Adrenal glands. In: Mills SE, Greenson JK, Hornick JL, Longacre TA, Reuter VE. Sternberg´s
Diagnostic Surgical Pathology. 6th edition. Philadelphia: Wolters Kluwer Health; 2015. p. 618.
3. González L, Turcios SE, León L, Jequín E, Domínguez N. Mielolipoma adrenal bilateral ligado a hipotiroidismo primario. Rev Cub End. 2010;21:323-32.
4. Pérez-Martínez J, Llamas F, López-Rubio E, Serrano A, Salinas-Sánchez A, Ruiz-Mondéjar R, Virseda-Rodríguez JA, Gómez-Roldán C. Mielolipoma suprarrenal gigante: hipertensión, insuficiencia renal y rotura espontánea. Nefrología. 2006;26:132-5.
5. López L, García JV, Gómez J, González C. Mielolipoma suprarrenal.Aportación de un caso y revisión de la literatura. Arch Esp Urol. 2010;63:880-3.
6. Gershuni VM, Bittner JG 4th, Moley JF, Brunt LM. Adrenal myelolipoma: Operative indications and outcomes. J Laparoendosc Adv Surg Tech A. 2014;24:8-12.
7. Nabi J, Rafiq D, Authoy FN, Sofi GN. Incidental detection of adrenal myelolipoma: A case report and review of literature. Case Rep Urol. 2013;10:1-3.
8. Oliveira-Caiafa R, Salvador-Izquierdo R, Buñesch-Villalba L, Sebastià- Cerqueda MC, Nicolau- Molina C. Manejo y diagnóstico del incidentaloma suprarrenal. Radiol. 2011;53:516-30.
9. Quintero G, Agudelo JF. Mielolipoma suprarrenal incidental. Médicas UIS. 2014;27:105-7.
10. Rodríguez-Calvo MS, Suárez-Peñaranda JM, Álvarez MT, Muñoz JI, Ortíz-Rey JA, Concheiro L. Adrenal lipomas: Incidental autopsy findings. Pathol Int. 2007;57:751-3.
11. Lam KY, Lo CY. Adrenal lipomatous tumours: A 30 year clinic-pathological experience at a single institution. J Clin Pathol.2001;54:707-12.
Bibliografía
12. Saunders RN, Koch CA, Brown KB, Hairston FJ, Daley WP, Ahmed N, et al. Bilateral adrenal myelolipomas in a woman with chronic anticoagulation, postmenopausal uterine bleeding, primary hyperparathyroidism and hyperthyroidism. Am J Med Sci. 2013;346:82-5.
13. Badilla J, Cambronero N. Mielolipoma de glándula suprarre-nal izquierda. Presentación de un caso. Rev Med Costa Rica. 2009;LXVI:173-5.
14. Khater N, Khauli R. Myelolipomas and other fatty tumours of the adrenals. Arab J Urol. 2011;9:259-65.
15. Lattin GE Jr, Sturgill ED, Tujo CA, Marko J, Sánchez-Mal-donado KW, Craig WD, et al. From the radiologic pathology archives: Adrenal tumors and tumor-like conditions in the adult: Radiologic-pathologic correlation. Radiographics. 2014;34:805-29.
16. Rosai J. Adrenal gland and other paraganglia. In: Rosai J. Rosai & Ackerman´s Surgical Pathology. 10th edition. Philadelphia: Mosby Elsevier; 2011. p. 1078-81.
17. Feng C, Jiang H, Ding Q, Wen H. Adrenal myelolipoma: A mingle of progenitor cells? Med Hypotheses. 2013;80:819-22.
18. Lack E, Wieneke J. Tumors of the adrenal gland. In: Fletcher C. Diagnostic Histopathology of Tumors. 4th edition. Philadelphia: Elsevier Saunders; 2013. p. 13-5.
19. Bautista R, San Cristóbal P, Guzmán M, Diliz HS, Rossano A. Incidentalomas adrenales: a propósito de un mielolipoma. Cir Gen. 2014;36:239-44.
20. Shen X, Qiu Y, Zheng Y, Zhang S. Retroperitoneal laparoscopic liposuction for large adrenal myelolipomas: A report of nine
cases. J Laparoendosc Adv Surg Tech A. 2012;22:578-80.
21. Zeiger MA, Thompson GB, Duh QY, Hamrahian AH, Angelos P, Elaraj D, et al. American Association of Clinical Endocri-nologists and American Association of Endocrine Surgeons Medical Guidelines for the Management of Adrenal Incidenta-lomas: Executive summary of recommendations. Endocr Pract. 2009;15:450-3.
Fuente
22. Matteoda M, Mateodda M, Tempra A. Mielolipoma adrenal.Revista del Hospital Privado de Comunidad. 2005;8:14-16.
23. Patel RD, Vanikar AV, Modi PR. Giant lipoma of the adrenalgland: A case report. J Med Case Rep. 2011;5:78.
24. Singaporewalla RM, Thamboo TP, Rauff A, Cheah WK, Mukherjee JJ. Acute abdominal pain secondary to retroperi-toneal bleeding from a giant adrenal lipoma with review of literature. Asian J Surg. 2009;32:172-6.
25. García S. Lipoma adrenal. Rev Mex Urol. 2007;67:108-12.
26. Lesbats-Jacquot V, Cucchi JM, Amoretti N, Novellas S, Che-vallier P, Bruneton JN. Clin Imaging. 2007;31:335-9.
27. Bedri S, Erfanian K, Schwaitzberg S, Tischler AS. Mature cystic teratoma involving adrenal gland. Endocr Pathol. 2002;13:59-64.
28. Montone KT, Rosen M, Siegelman ES, Fogt F, Livolsi VA.Adrenocortical neoplasms with myelolipomatous and lipoma-tous metaplasia: Report of 3 cases. Endocr Pract. 2009;15:128-33.
29. Fajardo R, Kattah L, Rojas I, Jaimes OL, Perdomo CF. Mielolipoma suprarrenal: reporte de un caso y revisión de la literatura.
Rev Colomb Cir. 2009;24:123-9.
30. Bruno O, Gómez R. Patología suprarrenal. Tercer Consenso Argentino sobre patologías endocrinológicas. Revista Argentina de Endocrinología y Metabolismo (RAEM). 2009;46:55-64.
31. Castillo O, Cortés O, Kerkebe M, Pinto I, Arellano L, Con-treras M. Cirugía laparoscópica en el tratamiento de enferme-dades adrenales: experiencia en 200 casos. Actas Urol Esp.2006;30:926-32.
32. Lee J, El-Tamer M, Schifftner T, Turrentine FE, HendersonWG, Khuri S, et al. In: Open and laparoscopic adrenalectomy:Analysis of the National Surgical Quality Improvement Pro-gram. J Am Coll Surg. 2008;206:953-9.
Referencias Bibliográficas
33. Hazzan D, Shiloni E, Golijanin D, Jurim O, Gross D, Reissman P. Laparoscopic vs. open adrenalectomy for benign adrenal neoplasm. Surg Endosc. 2001;15:1356-8.
34. Gumbs AA, Gagner M. Laparoscopic adrenalectomy. Best Pract Res Clin Endocrinol Metab. 2006;20:483-99.
35. Berber E, Tellioglu G, Harvey A, Mitchell J, Milas M, Siperstein A. Comparison of laparoscopic transabdominal lateral versus posterior retroperitoneal adrenalectomy. Surgery. 2009;146:621-6.
36. Wang B, Ma X, Li H, Shi T, Hu D, Fu B, et al. Anatomic retro-peritoneoscopic adrenalectomy for selected adrenal tumors >5 cm: Our technique and experience. Urology. 2011;78:348-52.
37. Assalia A, Gagner M. Laparoscopic adrenalectomy. Br J Surg.2004;91:1259-74.
38. Ramacciato G, Nigri GR, Petrucciani N, Di Santo V, Piccoli M, Buniva P, et al. Minimally invasive adrenalectomy: A multicenter comparison of transperitoneal and retroperitoneal approaches. Am Surg. 2011;77:409-16.
39. Lezoche E, Guerrieri M, Crosta F, Lezoche G, Baldarelli M, Campagnacci R. Flank approach versus anterior sub-mesocolic access in left laparoscopic adrenalectomy: A prospective randomized study. Surg Endosc. 2008;22:2373-8.
Correspondencia: María Claudia Abaúnza, MD
Correo electrónico:
maria.abaunza@unisabana.edu.co
Chía, Colombia



