Es una de las ecoendoscopias más útiles en cirugía porque nos ayuda a tomar decisiones quirúrgicas.
1. Coledocolitiasis
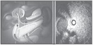
La ecoendoscopia biliopancreática es una de las principales aplicaciones de este examen. Usualmente, la exploración se realiza de forma retrógrada: el transductor se coloca en la tercera porción del duodeno y después se retira de forma progresiva. Si la exploración es completa, la visualización del páncreas y la vía biliar extrahepática es posible, prácticamente, en el 100% de los pacientes (23). Además, la exploración de los grandes vasos adyacentes al páncreas es posible también de forma casi constante. La proximidad de la sonda de ultrasonido al área biliopancreática (figura 12) permite utilizar sondas de frecuencia elevada (7,5 y 12 mHz), con lo que se consigue una excelente definición de esta área. De esta forma, es posible visualizar lesiones parenquimatosas de diámetro inferior a 10 mm (24). Por el contrario, hay limitaciones en la profundidad de campo, por lo que la exploración de la región del hilio hepático sólo es posible en una cuarta parte de los casos.

FIGURA 12. Obsérvese cómo el transductor de eco se puede colocar muy cerca de la región biliopancreática. En este caso se pueden ver la vena porta, el conducto de Wirsung y el colédoco.
Existen otros factores que pueden dificultar o, incluso, imposibilitar la realización de la exploración, tales como las estenosis duodenales infranqueables y la presencia de reconstrucciones quirúrgicas (especialmente, gastrectomía total o gastroenteroanastomosis tipo Billroth II). Otra causa de dificultades adicionales es la esfinterotomía previa o la presencia de una prótesis en el interior de la vía biliar que también puede implicar dificultades en la interpretación de las imágenes (aerobilia, sombra acústica producida por la prótesis, etc.).
La ecoendoscopia biliopancreática (figura 13) ha demostrado ser superior, en cuanto a precisión y rentabilidad diagnóstica, a la ecografía convencional y a la TC y, al menos, igual a la colangiopancreatografía retrógrada endoscópica (25). Recientemente, la aparición de la TC helicoidal y de la colangiografía por resonancia magnética han abierto de nuevo la polémica sobre la mayor o menor eficacia de cada una de estas técnicas en el campo de la enfermedad biliopancreática. Por otra parte, las posibilidades ya conocidas de la ecoendoscopia se han visto aumentadas por poderse realizar ecoendoscopiapunción aspiración con aguja fina, así como por la disponibilidad de minisondas que, introducidas por vía transpapilar o transhepática, permiten una exploración de la luz de la vía biliar (26) En el momento actual, la mayor utilidad de una u otra de estas técnicas sigue dependiendo de las condiciones locales, como la experiencia del ecoendoscopista, la disponibilidad de la técnica, etc.

FIGURA 13. La ecoendoscopia es útil para detectar microlitiasis, tanto en el colédoco como en la vesícula. En este caso, se observa en la parte superior de la vesícula un microcálculo.
Actualmente, la ecoendoscopia, la colangiografía por resonancia magnética y la colangiografía (colangiopancreatografía retrógrada endoscópica o peroperatoria) son las técnicas que han demostrado una mayor utilidad en el diagnóstico de la coledocolitiasis.
En un estudio comparativo entre la ecoendoscopia y la colangiografía por resonancia magnética realizado en un número limitado de pacientes con sospecha de coledocolitiasis, el ultrasonido endoscópico tuvo una especificidad superior a la colangiografía por resonancia magnética (27). De hecho, la ecoendoscopia ha demostrado ser superior tanto a la resonancia magnética (RM) como a la colangiopancreatografía retrógrada endoscópica (28,29) en el diagnóstico de la microlitiasis (figura 14), por lo cual se considera que es la técnica con mayor precisión en el diagnóstico de coledocolitiasis. Además, no hay que olvidar que la ecoendoscopia evita la colangiopancreatografía retrógrada endoscópica no indicada en 87% de los casos, como se demostró en un estudio con seguimiento clínico durante un año (30) Esto es fundamental si se tienen en cuenta las complicaciones de la colangiopancreatografía retrógrada endoscópica que, incluso, han llevado a la muerte a muchos pacientes.

FIGURA 14. Imagen hiperecoica en el centro del colédoco que produce sombra acústica posterior, indicativa de coledocolitiasis.
A pesar de que la ecoendoscopia probablemente es la mejor técnica disponible en el momento para esta indicación, el cuadro clínico del paciente debe guiar la elección del examen inicial. Una aproximación general al problema podría ser la siguiente:
1. Se recomienda colangiopancreatografía retrógrada endoscópica como primera opción cuando se considere la práctica de una esfinterotomía independientemente del diagnóstico final, como en el caso de los pacientes con antecedentes de colangitis (31) o pancreatitis agudas biliares graves, o en pacientes de edad avanzada o con riesgo elevado para la cirugía. Por otra parte, los pacientes con antecedentes de esfinterotomía previa son probablemente también candidatos para una colangiopancreatografía retrógrada endoscópica como primera opción, por las dificultades que plantea la aerobilia cuando se hace una exploración ecográfica de la vía biliar y por el menor riesgo en ellos para la esfinterotomía.
2. En aquellos casos de pancreatitis aguda menos grave, es probable que esté indicada la ecoendoscopia como primera opción, reservándose la colangiopancreatografía retrógrada endoscópica para quienes tengan diagnóstico de coledocolitiasis (32). Sin embargo, no hay estudios sobre la eficacia de este abordaje en el manejo de este grupo de pacientes.
3. En caso de que se plantee una colecistectomía, no hay indicación para un examen previo de la vía biliar por ecoendoscopia. Si se encuentra un cálculo en la colangiografía intraoperatoria, se puede hacer la papilotomía endoscópica en el mismo acto quirúrgico con gran éxito, como lo hemos demostrado en el Hospital El Tunal (33).
4. Se debe practicar inicialmente una colangiopancreatografía retrógrada endoscópica en aquellos pacientes con alta probabilidad o diagnóstico ya establecido de coledocolitiasis: cálculo en el colédoco visible por ecografía convencional, antecedente de colangitis, etc. En estos casos, y puesto que la presencia de un cálculo en la vía biliar se confirma en cerca de 60% de los pacientes, no se considera necesaria la ecoendoscopia (34).
5. En los pacientes con riesgo intermedio (clínica o exámenes sugestivos de migración), lo ideal es una ecoendoscopia como examen inicial, seguida de colangiopancreatografía retrógrada endoscópica y esfinterotomía en la misma sesión en caso de demostrarse coledocolitiasis.
En este grupo de pacientes, la probabilidad de coledocolitiasis varía de 5% a 20%, por lo cual es probable que las demás estrategias diagnósticas (colangiopancreatografía retrógrada endoscópica sola o colangiografía por resonancia magnética seguida de colangiopancreatografía retrógrada endoscópica) no tengan una clara indicación (35).
6. En pacientes con riesgo bajo de coledocolitiasis (sin elementos clínicos, exámenes de laboratorio ni de imagen sugestivos), no se considera necesario practicar ninguna exploración previa a la cirugía.
2. Vesícula Biliar
La ecoendoscopia biliopancreática permite una mejorcaracterización de las lesiones de la vesícula biliar al diferenciar los cálculos de los pólipos y la clasificación de estos últimos para descartar que tengan riesgo de malignidad.
3. Tumor de Páncreas
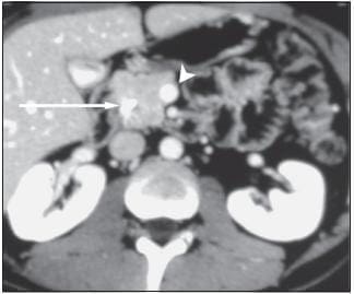
Este tumor tiene un mal pronóstico no sólo por su agresividad sino porque se diagnostica en estadios avanzados debido a su ubicación retroperitoneal, que no está al alcance de la mayoría de los exámenes diagnósticos. Para intentar mejorar su detección temprana se inventó hace más de 20 años la ecoendoscopia, ya que permite colocar el transductor ecográfico más cerca de este órgano y hacer la evaluación de toda clase de tumores pancreáticos (36). La TC abdominal (figura 15) posee también precisión diagnóstica en la evaluación del paciente con sospecha de tumor pancreático, con sensibilidad y especificidad de 83% y 93%, respectivamente, y presenta evidentes ventajas en la estadificación de la lesión (37). No obstante, la ecoendoscopia (figura 16) tiene un rendimiento diagnóstico superior al de la TC, con sensibilidad y especificidad de 94% y 100%, respectivamente (38). Es así como la ecoendoscopia se ha convertido en el examen de elección para la evaluación de pacientes en quienes se sospecha una masa o lesión del páncreas. En nuestra práctica clínica, con la ecoendoscopia hemos encontrado muchas masas de la cabeza del páncreas que no fueron detectadas por la TC, incluso con tomógrafos modernos como los que utilizan técnica helicoidal.

FIGURA 15. La flecha larga señala la masa ubicada en la cabeza del páncreas y la flecha corta señala que los vasos están respetados por la lesión.

FIGURA 16. En el centro de la imagen se observa una masa heterogénea ubicada en la cabeza del páncreas, la cual invade al colédoco distal y a la porta que esta detrás de él.
El diagnóstico de cáncer de páncreas idealmente debería tener una confirmación citohistológica antes de tomar una conducta quirúrgica u oncológica. Para ello es necesario obtener una muestra de tejido tumoral, lo cual puede hacerse mediante punción aspiración con aguja fina por vía percutánea o ecoendoscópica, o por biopsia mediante técnica abierta.
En los pacientes con masas pancreáticas o metástasis hepáticas, la punción aspiración percutánea con aguja fina bajo control ultrasonográfico o por TC es la aproximación que proporciona un mayor rendimiento hasta ahora, pero los resultados recientes sugieren que la punción aspiración con aguja fina guiada por ecoendoscopia (figura 17) brinda un mayor rendimiento para la confirmación citológica (39).

FIGURA 17. Paciente con pancreatitis crónica. En la parte inferior se observa un cálculo en el conducto de Wirsung.
Esta técnica está especialmente indicada en las lesiones irresecables para confirmar su naturaleza neoplásica antes de aplicar quimioterapia, radioterapia o ambas, o cuando se sospechan determinadas etiologías, como linfoma, tuberculosis, carcinoides, metástasis, etc. Chang y colaboradores (40), en un estudio multicéntrico llevado a cabo en 164 pacientes con sospecha de neoplasia de páncreas, demostraron unos índices de sensibilidad, especificidad, precisión diagnóstica y valor diagnóstico positivo y negativo para la ecoendoscopiapunción aspiración con aguja fina de 83%, 90%, 85%, 80% y 100%, respectivamente.
Cuando hay alta sospecha de cáncer pancreático, es imprescindible efectuar una correcta estadificación de la lesión con el fin de establecer la opción terapéutica más adecuada. Para ello se pueden utilizar los exámenes tradicionales para el diagnóstico inicial de esta lesión, como son la ecografía o la TC, así como la arteriografía o la ultrasonografía abdominal con registro Doppler para la evaluación de la afectación vascular.
El objetivo fundamental de la estadificación es establecer si el tumor es resecable. En este sentido, se consideran resecables aquellas lesiones que no afectan estructuras vecinas, como grandes vasos (tronco celíaco, origen de la arteria hepática, arteria o vena mesentérica superior, o vena porta), colon y estómago, y que no presenten diseminación metastásica (41). Es importante señalar que no existe ninguna exploración que, por sí sola, sea capaz de predecir si el tumor es
resecable con absoluta certeza (42). Así, la mayoría de los autores coinciden en la necesidad de combinar diferentes técnicas que proporcionen información complementaria o que confirmen los datos en caso de discrepancia.
Un estudio prospectivo, en el que se comparó el rendimiento de las diferentes técnicas de imagen en la estadificación del cáncer de páncreas, concluyó que la combinación de la TC abdominal con la ecoendoscopia es la aproximación más útil para predecir la posibilidad de resecar el tumor (43). Cuando ambas exploraciones coinciden en que la lesión no es resecable, la especificidad es de 100%. En este esquema, la utilidad de la arteriografía quedaría limitada a los casos en que exista discrepancia entre las dos pruebas mencionadas.
4. Tumor de Papila
La ecoendoscopia biliopancreática muestra si hay lesiones de la papila y permite establecer su infiltración en la pared o con estructuras vecinas, para poder decidir si se puede resecar la lesión de forma endoscópica o quirúrgica.
5. Pancreatitis Aguda
La ecoendoscopia biliopancreática ayuda a establecer la causa de la pancreatitis, principalmente, al descartar que sea secundaria a microlitiasis o tumores del páncreas. Debe realizarse en la primera semana del episodio si se sospecha que es de origen biliar, o a la 6 semana si no se conoce cuál es el origen.
6. Pancreatitis Crónica
Afortunadamente en nuestro medio la pancreatitis crónica es una enfermedad infrecuente, ya que es difícil de diagnosticar y tratar. La ecoendoscopia biliopancreática ha contribuido ha facilitar su evaluación, al permitir descartar otras causas de dolor abdominal crónico como el cáncer pancreático. Existen criterios endosonográficos de pancreatitis crónica que se pueden dividir en criterios parenquimatosos y ductales (44) (figura 17).
Criterios del parénquima
1. Disminución de la ecogenicidad
2. Pérdida de la diferencia entre el páncreas ventral y el dorsal
3. Focos hiperecoicos
4. Bandas hiperecoicas
5. Atrofia
6. Formación de contornos lobulados
Criterios de los conductos
1. Dilatación del conducto pancreático principal
2. Pared del conducto pancreático principal hiperecoico
3. Conducto pancreático irregular
4. Conductos pancreáticos secundarios visibles
Cuando el paciente tiene cinco o más criterios y no tiene un episodio de pancreatitis aguda, existe una alta probabilidad de que se trate de un caso de pancreatitis crónica.
