Clínicas
La diferencia de morbimortalidad de la corrección del AAA mediante técnicas endovasculares en contra de la cirugía abierta hace que todas las limitaciones por enfermedades crónicas del paciente, como insuficiencia cardiorrespiratoria, mala función renal, enfermedades mentales, sean motivo de nueva evaluación, puesto que no sólo el acto terapéutico sino las formas de sedación del enfermo y las posibilidades de realización de la técnica sin contraste yodado facilitan su indicación.
Los diferentes tipos de anestesia, como la radicular o local. Permiten operar a estos enfermos sin el riesgo de una anestesia general. Hoy en día no debe existir limitación por la edad teniendo en cuenta lo que afecta a un grupo familiar el conocer que un miembro está diagnosticado de AAA y no se le opera por riesgo quirúrgico.
Hoy en día con cirugía mínimamente invasiva (CMI) esta limitación no debe existir. Situación similar ocurre cuando existe una rotura contenida en pacientes de alto riesgo por sus comorbilidades.
En esta situación se plantea el no hacer nada en caso que el enfermo sobreviva, pero es difícil que los familiares decidan llevárselo del hospital en estas circunstancias. Por lo que debe valorarse la corrección de la rotura (figura 1).
Tratamiento de AAA
Se está valorando el tratamiento de AAA por debajo de 5 cm7, pero hay que tener en cuenta el estado del paciente en cuanto a su percepción del problema. Es decir, si el enfermo limita en algún sentido su vida al tener conocimiento del problema. Habría que replantear las ventajas de un AAA operado en situaciones de fácil manejo por el tamaño y estado general del paciente.
Cuando existen casos de ruptura, las posibilidades de supervivencia ya han sido comentadas con anterioridad. Lo que demuestra que llegando al hospital el índice de mortalidad es menor. Pero si además se aplica cirugía endovascular, las probabilidades de supervivencia de un AAA roto aumentan considerablemente.
El uso de prótesis bifurcadas o monoilíacas dependerá de las posibilidades técnicas, tanto por experiencia como por disponibilidad de material.
En la actualidad las series publicadas hacen mayor referencia al uso de los monoilíacos, sin que se aprecien mejores resultados que con el bifurcado, ya que los tiempos de implante son similares teniendo en cuenta que también obliga a un bloqueo de una de las ramas ilíacas y al posterior puente femorofemoral.
Morfológicas
No todos los AAA son susceptibles de tratamiento endoluminal. Estas limitaciones están relacionadas con la factibilidad de colocación de la endoprótesis. Pero fundamentalmente con el mayor riesgo de presentar complicaciones inmediatas y tardías.
Las limitaciones deben ser valoradas individualmente teniendo en cuenta la experiencia del grupo operador, Los factores de riesgo que presenta el paciente para la cirugía abierta y el riesgo de ruptura del aneurisma.
Los mayores determinantes de la posibilidad de reparación endovascular son el diámetro, la longitud del cuello proximal, y las vías de abordaje del sector iliofemoral.
Para su estudio las dividiremos en las limitadas al cuello o proximales y al segmento iliofemoral o distales.
Morfológicas del Cuello Proximal
La anatomía del cuello proximal determina la efectividad de la exclusión y la durabilidad de la adhesión del dispositivo a la pared. Ello influencia, por tanto, el resultado inmediato y a largo plazo.
Los parámetros a valorar son:
• Longitud:
se extiende desde la arteria renal principal más caudal hasta donde comienza el aneurisma. La longitud mínima aceptable para dispositivos de fijación infrarrenal es de 15 mm, aunque algunos comienzan a insistir en la viabilidad de los cuellos de longitud de 10 mm y menores.
• Diámetro:
Es una medida que va en función del tamaño de las endoprótesis disponibles. Se acepta universalmente que siempre se debe sobredimensionar el tamaño de la prótesis en un 10 a 20% respecto al diámetro del cuello en el lugar de sellado. Hoy en día es factible tratar con éxito cuellos de hasta 30/32 mm de diámetro.
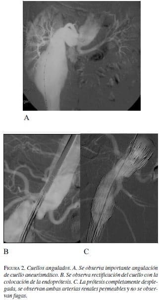
• Angulación:
Se define como el ángulo formado entre el cuello aórtico proximal y el eje longitudinal principal del aneurisma. El eje del aneurisma se define como la línea que va desde la porción proximal del aneurisma, o extremo distal del cuello proximal, hasta la bifurcación ilíaca. Se clasifica en leve cuando va de 0 a 30º, moderada cuando es de 30-60º, y severa cuando es mayor de 60º. La angulación del cuello proximal puede ser perjudicial cuando supera los 50º y cuando es mayor de 60º, generalmente se considera una contraindicación relativa para el tratamiento endovascular.
El Cómite Endoluminal de la Sociedad de Cirugía Vascular / Sociedad Internacional de Cirugía Cardiovascular recomienda angulaciones máximas en el cuello de 120 grados (figura 2).

Los cuellos angulados deberán ser sometidos a una serie de pruebas para conocer su comportamiento. Mediante la colocación de las guías rígidas y/o introductores para estimar su corrección. Se recomienda el uso de prótesis de fácil desplazamiento y con fijación suprarrenal.
En estos casos es conveniente que el cuello tenga una longitud superior a los 15 mm, porque sin duda se perderá parte del mismo durante las maniobras de soltura al hacerlo de forma asimétrica.
También es muy importante controlar la posición de las arterias renales, porque en estos casos es difícil de visualizar su origen correcto. En general los cuellostienen dos desplazamientos: anterior o lateral; éstos últimos son más fácilmente corregibles.
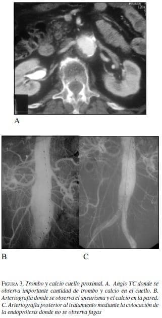
• Trombo mural:
la presencia de un trombo mural extenso puede no permitir un sellado seguro a largo plazo en el cuello proximal (12-14). Se debe ser cuidadoso en las maniobras de liberación y dilatación a fin de evitar embolias. De acuerdo con los estándares publicados. Se acepta como máximo la presencia de trombo cuyo espesor sea menor de 2 mm y que comprometa menos del 25% de la circunferencia aórtica.
• Calcificación:
La presencia de calcificación circunferencial en el cuello se reconoce como un factor pronóstico negativo de adecuado sellado, dejando fugas tipo 1. Se acepta como máximo tolerable sin riesgos la calcificación mural lineal menor del 25% de la circunferencia (figura 3).

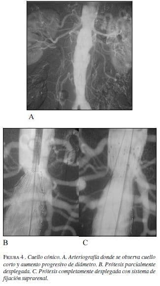
• Cónicos:
Cuando el cuello se ensancha en sentido distal constituye una contraindicación relativa para el tratamiento endovascular, se considera que la conicidad impide una buena aposición entre la endoprótesis y la pared del vaso, pudiendo predisponer a migraciones y a la presencia de fugas tipo 1.
Se considera presente la conicidad en caso de un incremento mayor del 10% en el diámetro del vaso en una longitud de 15 mm en el cuello aórtico proximal.
Los cuellos cónicos tienen difícil tratamiento, y en caso de tratarse, se debe elegir una prótesis que permita una fijación suprarrenal y posteriormente elegir el diámetro de acuerdo con el diámetro más distal al origen de las arterias renales, entre 15 y 20 mm de longitud, recomendados como diámetro de elección de la prótesis, haciendo que ésta se vaya aplicando a la pared conforme se acerca al aneurisma (figura 4).

• Dobles:
Las limitaciones producidas por cuellos que pueden ser definidos como dobles, están referidas a las posibilidades de sellar el segundo cuello, siempre considerando que el segmento dilatado entre los dos cuellos debería estar recubierto por la prótesis, es decir, el diámetro que se elija debería ser como mínimo el diámetro del segmento indicado.
• Posquirúrgico:
Las dilataciones que se producen entre las arterias renales y una prótesis ya implantada quirúrgicamente en general no tienen cuello, lo cual sería una limitación. Pero el sólo recubrimiento de la pared impide que el flujo choque directamente sobre la pared arterial y sí sobre el injerto, hace esto que sea una indicación para evitar la progresión del segmento dilatado (figura 5).

					


