La malaria se transmite por el mosquito Anofeles (o una Lutzomia) que- estando infectado- inocula el parásito al humano). Los hemoparásitos Plasmodium son de varias clases, siendo el falciparum el más común en África, mientras que en el área andina se observa más comúnmente el vivax.
Actualmente, la malaria es un problema de áreas tropicales o subtropicales de Asia, África y América Central y del Sur, como se observa en el mapa epidemiológico. La mayoría de los africanos negros presentan una resistencia natural a ciertas especies de malaria.
Salvo este caso, la susceptibilidad a la malaria es universal. Con ciertas especies de malaria, se producen formas latentes que pueden provocar recaídas meses o años más tarde. El paludismo también puede transmitirse a través de transfusiones de sangre de personas infectadas o por utilizar agujas o jeringas contaminadas. La prevalencia mundial es de cerca de quinientos millones de casos, y la mortalidad anual, de un millón.
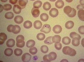
Ciclo del hemoparásito
Como se puede leer en Wikipedia, el mosquito hembra infectado es portador de los esporozoitos del Plasmodium en sus glándulas salivares. Si pica, los esporozoitos entran en la persona a través de la saliva del vector, migrando al hígado donde se multiplican rápidamente dentro de los hepatocitos, mediante una división asexual múltiple, trasformándose en merozoitos que entran en el torrente sanguíneo infectando los hematíes y luego siguen multiplicándose, dando lugar a unas formas iniciales típicamente anulares (trofozoitos), formas en división asexual múltiple (merotes) y finalmente un número variable de merozoitos según la especie de Plasmodium, que provoca la ruptura del eritrocito. Algunos merozoitos se transforman en unas células circulares relativamente grandes que son gametocitos femeninos y masculinos y dejan de multiplicarse, aunque en el P. falciparum son más grandes que el propio eritrocito y tienen forma de boomerang, lo que también ocasiona su ruptura. Una hembra de Anofeles no infectada, pica a un enfermo y adquiere los gametocitos y se inicia el ciclo sexual del Plasmodium.
Con la unión de los gametos en su intestino, se formará un huevo móvil que dará origen a un Ooquiste que volverá a dividirse y dar esporozoitos listos para infectar nuevamente, al llegar a las glándulas salivales del mosquito.
Los síntomas del paludismo incluyen fiebre, escalofríos, sudoración y cefalea. En ciertos casos, se puede producir ictericia, defectos de la coagulación, shock, insuficiencia renal o hepática, trastornos del sistema nervioso central y coma.
Los ciclos de escalofríos, fiebre y sudoración que ocurren con intervalos de varios días (fiebres terciana y cuartana) son un buen indicador de malaria en una persona que haya regresado recientemente de una región tropical.
El tiempo entre la picadura infecciosa del mosquito y el desarrollo de los síntomas de la malaria puede variar entre doce y treinta días, dependiendo del tipo de hemoparásito. El Plasmodium vivax puede tener un período de incubación prolongado de ocho a diez meses. Cuando la infección ocurre a través de una transfusión de sangre, el período de incubación depende de la cantidad de parásitos transferidos. Sin embargo, en general es de menos de dos meses.
Los casos sin tratar o con tratamiento inadecuado pueden ser fuentes de infección por el mosquito durante uno a tres años, dependiendo de la variedad de Plasmodium. No existe el contagio directo entre personas. Los productos de sangre almacenados pueden permanecer infecciosos durante dieciséis días.
Prevención
Hay que evitar la picadura del mosquito, dormir en un cuarto con mosquiteros en las ventanas y en las puertas (anjeos). Usar un toldo protector sobre la cama. Fumigar el protector con Permetrín, un aerosol que repele los mosquitos. Usar ropa de colores claros con mangas largas. Protegerse con un aerosol repelente para insectos que no contenga más de 35% de deet. Tratar de no salir después de que se pone el sol.
Si se planea viajar a un país o región en donde la malaria es común, tomará un medicamento profiláctico, aunque ninguno le confiere 100% de protección. Comenzar a tomarlos unos pocos días o una semana antes de salir de viaje y continuar tomándolo durante el viaje y aún después, durante una a cuatro semanas, dependiendo del medicamento. Los parásitos de la malaria pueden aún estar en su sangre.
Estos medicamentos tienen algunos efectos secundarios. La Mefloquina (Lariam) y la atavaquona / proguanil (Malarone) son dos medicamentos que pueden tomarse. También la doxiciclina (Vibramicina), que produce fácilmente quemaduras de sol, por lo que se debe usar sombrero, manga larga y crema protectora solar siempre que se esté al aire libre durante el día. Algunas personas no pueden tomar este medicamento. Si se va a viajar a algunas partes de Centroamérica, Haití o el Medio Oriente, es probable que pueda tomar cloroquina (Aralen). El médico dirá cuál es el medicamento indicado para cada persona y para cada situación.
En Colombia, el mayor número de casos de malaria se concentra en las fronteras, particularmente en los departamentos de Nariño y Putumayo, regiones fronterizas con Ecuador y Perú, donde pululan los sembrados de coca y alzados en armas que también trafican, y adonde el sistema de salud no llega debido a la violencia reinante. En Tumaco (Nariño), puerto sobre el Pacífico, con altos índices de pobreza y escasa presencia estatal se acumulan un 70% de los casos de malaria.
De veintiún mil ciento treinta y nueve casos en el país, catorce mil ciento setenta y cinco se reportan en diez localidades nariñenses. Puede que hasta cincuenta mil casos circulen sin ningún control porque no han sido reportados, ya que quienes padecen la enfermedad se encuentran en zonas de conflicto donde no hay acceso a los servicios de salud.
El proyecto Pamafro – del Organismo Andino de Salud- espera usar medicamentos, toldillos y mucho trabajo comunitario como armas contra el mosquito transmisor de la enfermedad.
A través del programa se están capacitando más de mil seiscientas personas, suministrando medicamentos e implementando una red de diagnóstico rápida y efectiva. El Ministerio de Protección colombiano suministró treinta mil toldillos. Colombia -con una endemicidad del 80%- informa cada año doscientos mil casos. Desde México hasta Argentina (excepto Chile y Uruguay) hay amenazas de transmisión, y doscientos sesenta y cuatro millones de personas están en riesgo.
Vacunas
Una o varias vacunas vienen investigándose de tiempo atrás. La publicitada SPF66 –del colombiano Patarroyo- infortunadamente no dio resultados suficientemente buenos como para implementar una vacunación masiva. Un problema primordial es que existen diferentes mecanismos inmunológicos protectores en las varias etapas del ciclo del hemoparásito, los objetivos clínicos de una potencial vacuna son también diferentes y los antígenos –a menudo polimorfos- son usualmente diferentes. Actualmente se estudia clínicamente una variedad amplia de plataformas de vacunas y de antígenos, para ver si se logra esta meta, que es a largo plazo.
Para el tratamiento de la malaria y de sus complicaciones le sugerimos revisar las guías que al respecto tiene el Ministerio de Protección Social de Colombia.
Todryk SM, Hill AVS. Malaria vaccines: the stage we are at. Nature Reviews Microbiology 5, 487 – 489 (01 Jul 2007)
News and Analysis World Health Organization, Malaria Programme. https://malaria.who.int
Malaria Prevention in Travelers. Am Fam Phys 1999, www.aafp.org
Malaria. Centros para el Control y la Prevención de Enfermedades -CDC- de Atlanta, Estados Unidos) www.cdc.gov
Malaria. MedLine Plus www.nih.gov
Malaria en las fronteras. Diario El Tiempo, Julio 16, 2007.
Corcho-Ramos M. La malaria amenaza al continente. www.medilegis.com
Otros artículos en Tensiómetro (números del TV, entre paréntesis; los artículos sin número tienen hipertexto en el TV)
Qumioprofilaxis Palúdica
Control Malárico
Malaria en Colombia (54)
Anemia en malaria (79)
Nuevas vacunas contra la malaria (79)
Niveles de hemoglobina en malaria (146)
Prueba de eficacia en malaria (146)
Las revistas colombianas Biomédica (del Instituto Nacional de Salud), la Revista de Salud Pública y Colombia Médica, tienen también numerosos artículos sobre el tema.







