Capítulo 8
Dr. Alfredo Jácome Roca.
Generalidades de los Adipocitos
El tejido adiposo es uno de los tejidos más abundantes y representa alrededor del 15-20% del peso corporal del hombre y del 20-25% del peso corporal en mujeres. Debido a la baja densidad de los triglicéridos -moléculas grasas que los adipocitos guardan- y a su alto valor calórico, el tejido adiposo son muy eficientes en su principal función, almacenar energía para tiempos de ayuno, o de hibernación.
Cumple el tejido graso también una función aislante, que impide la pérdida del calor generado por las combustiones internas, protegiendo de la hipotermia.
En los últimos años se ha destacado su función endocrina y metabólica, por la producción de una serie de hormonas -que actúan de manera endocrina, paracrina y autocrina- y que en conjunto se han llamado adipoquinas, que integran una red de señales que participan en la regulación de funciones en diversos tipos de células localizadas en órganos distantes, tales como hipotálamo, hígado, páncreas y músculo esquelético.
El tejido graso es además receptor de una serie de hormonas y proteínas que inducen cambios en él. El adipocito posee las enzimas que se requieren en la lipólisis y en la lipogénesis, procesos metabólicos finamente modulados por acción de hormonas, citocinas y otras moléculas implicadas en la regulación del metabolismo energético; es capaz de modificar su tamaño hasta veinte veces su diámetro y varios cientos de veces su volumen.
(Lea También: Adipoquinas, Función endocrina de los Adipositos)
Histología de la Función de los Adipocitos
El tejido adiposo es de tipo conjuntivo especializado. Predominantemente contiene adipocitos diferenciados –o maduros- que pierden la capacidad de dividirse, pero que son células de vida media muy larga y con capacidad de aumentar la cantidad de lípidos acumulados.
Además contiene adipocitos inmaduros o lipoblastos, células precursoras de adipocitos que –al contrario de la célula grasa madura- producen cantidades importantes de colágeno I y III, y a partir de los cuales pueden diferenciarse adipocitos adicionales, en caso de una ingesta calórica que supere las necesidades de energía, situación en que esta será almacenada.
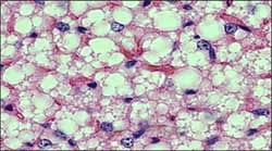
De acuerdo a sus características, el tejido adiposo se clasifica en unilocular o tejido adiposo blanco o claro –más corriente en los adultos- y multilocular, o grasa parda (Figura 1). La grasa parda –que sólo se ve en mamíferos- es el único tejido en el cual se puede demostrar fácilmente el desacoplamiento de la fosforilación oxidativa como mecanismo termogénico.
Sin embargo este mecanismo se ha observado también en pájaros y plantas, que carecen de grasa parda; este tejido contiene una proteína llamada termogenina, en su abundante contenido de mitocondrias. Esta proteína desacopladora de la fosforilación oxidativa, reduce la producción de ATP y aumenta la cantidad de energía que se disipa como calor. La activación de este proceso se debe a la estimulación simpática de la lipasa sensible a hormonas presente en la grasa parda.
Las células del primer tipo son poliédricas -de 50 y 150 micras de diámetro y se ven como un pequeño anillo de citoplasma rodeando una vacuola que contiene una sola gota de lípido que desplaza las organelas hacia la periferia, además de un núcleo excéntrico y aplanado.
Citoplasma perinuclear
En el citoplasma perinuclear se ubican un Golgi pequeño, escasas mitocondrias de forma ovalada, cisternas de retículo endoplásmico rugoso poco desarrolladas y ribosomas libres; el citoplasma que rodea la gota de lípido contiene vesículas de retículo endoplásmico liso, algunos microtúbulos y numerosas vesículas de pinocitosis.
El tejido adiposo multi-locular o grasa parda tiene células poligonales y más pequeñas que las del tejido adiposo blanco, su citoplasma contiene numerosas gotas de lípido de diferente tamaño y numerosas mitocondrias con abundantes crestas; su núcleo es central y esférico. Este tejido graso se asocia con numerosos capilares sanguíneos.
En embriones humanos y en el recién nacido, se concentra en la región inter-escapular, pero en adultos disminuye notablemente. Además de los adipocitos, el tejido graso contiene tejido conjuntivo que sirve de matriz, tejido nervioso, células de estroma vascular y células inmunológicas, componentes que actúan como una unidad integrada.
Receptores nucleares denominados PPARs juegan un papel en la producción de patologías que se relacionan con la obesidad, tales como la hiperlipidemia, resistencia a la insulina y enfermedad coronaria. El receptor nuclear PPARγ se expresa en el adipocito de manera importante y es un factor clave de transcripción, comprometido en la diferenciación final entre la grasa blanca y la parda.
Agonistas de estos receptores nucleares han sido muy conocidos en farmacología, como los fibratos (agonistas de los PPARα) y las tiazolidín-dionas o glitazonas, antidiabéticos que disminuyen la resistencia a la insulina (agonistas de los PPARγ). Los PPARα se expresan en tejidos que muestran alta proporción de β-oxidación –como en hígado, riñón, corazón y músculo- y regula el metabolismo hepático de los lípidos.
Función Endocrina de los Adipocitos
De acuerdo al balance energético, la célula grasa se involucra en procesos de lipogénesis o por el contrario, de lipólisis, pues contiene las enzimas necesarias. Para lograr esto, no solo responde a señales de hormonas tradicionales -como la insulina y sus hormonas contra-reguladoras- y del sistema nervioso central, sino que también expresa y segrega factores –que mencionamos como adipoquinas- con importante función endocrina y pro-inflamatoria.
Entre las adipoquinas más importantes encontramos la leptina, otras citoquinas, adiponectina, componentes del complemento, inhibidor del activador de plasminógeno (PAI-1), proteínas del sistema renina-angiotensina, resistina y otras sustancias.
Por otro lado, el tejido adiposo es también un lugar metabólico importante para los esteroides sexuales y glucocorticoides; recordemos por ejemplo que en la mujer menopáusica obesa, la presencia de aromatasas permite aromatizar andrógenos ováricos del tipo de la androstenediona, para transformarlos en estrona (E1).
Las consecuencias metabólicas de su deficiencia –como en desnutrición, anorexia nerviosa- o su exceso –la epidemia de obesidad- tienen importantes consecuencias en la salud pública.
Histología de la Función de los Adipocitos






