Dr. Jaime Céspedes Londoño
Jefe del Departamento de Pediatría, Fundación Cardio-Infantil, Bogotá.
Dr. Edgar Hernández
Neuropediatra Fundación Cardio-Infantil
Dra. Sonia Janneth Peñuela Rodríguez
Residente de Pediatría. U. Rosario
Introducción
El síndrome de CACH (SC) es una nueva enfermedad7, hereditaria, autosómica recesiva, Residente de Pediatría U. Rosariocaracterizada por evanecimiento de la sustancia blanca que conduce a un deterioro neurológico, con ataxia cerebelar progresiva y espasticidad, con episodios adicionales de deterioro rápido provocados por infecciones leves o traumas menores de cabeza, con relativa preservación de las habilidades mentales3, cuyos datos neuropatológicos más relevantes son: la hipomielinización en el sistema nervioso central (SNC), leucoencefalopatía cavitaria, disminución del número de axones al igual que las vainas de mielina y escasa gliosis.
Caso Clínico: Paciente con diagnóstico clínico e imagenológico de (SC) iniciado después de los 2 años de edad con ataxia progresiva posterior a trauma craneoencefálico leve. La imagenología reveló hipodensidad de la sustancia blanca difusa, con examen de líquido cefalorraquídeo normal al igual que la aril sulfatasa A.
Conclusión: El SC, entidad rara del SNC, que debemos empezar a conocer, estudiar, profundizar y sospechar en pacientes con signos de deterioro neurológico progresivo secundario a trauma cerebral leve o infecciones.
Palabras claves: Síndrome de CACH; hipomielinización; ataxia; sistema nervioso central.
Abstract
Introduction: The CACH syndrome (CS) it is a new illness7, hereditary, recessive authosomic, characterized for vanishing white matter conducting to a neurological impairment, with progressive cerebellar ataxia and spasticity , with aggregate episode of the rapid impairment provoked for unimportant infection or trauma smaller of head, with preservation relative of mentals abilities,3 whose datas neuropathology most relevant are: hypomyelination of the central nervous system CNS, cavitating leukoencephalopathy, disminution of the number of axons, disminution of the myelin sheaths and few gliosis
Clinic event: Patient with clinic diagnostic and image of CS after of the two years old begin with ataxia progressive to trauma unimportant skullencephalic. The image we show hipodensity of the diffuse white substance, with inspection to CSF normal equeal la aril sulfatasa A.
Conclusion: The SC, illness rare the CNS, we have begin to know, to study, to deeper and to suspect, in patients with sign of impairment progressive neurological secondary to cerebral trauma unimportant or infections.
Key words: CACH syndrome; hypomyelination; ataxia; central nervous system
Introducción
El Síndrome de CACH o ataxia infantil con hipomielinización central (SNC), también se conoce como leucoencefalopatía con pérdida de la sustancia blanca, mielinolisis central difusa o mielinosis central difusa. Inicialmente, descrita en 1.992 por Schiffman y cols., quien encontró cuatro niñas con ataxia y espasticidad pero sin compromiso nervioso periférico o cognitivo La resonancia magnética nuclear demostró una confluencia difusa anormal de la sustancia blanca, la cual fue notada tempranamente en el curso de la enfermedad. Este desorden fue adicionalmente, clarificado en 1.997 cuando otros 9 niños fueron identificados por Van der Knaap y cols., y el término de evanecimiento de la sustancia blanca fue usado, para describir ésta entidad. El SC, es un trastorno hereditario, autosómico recesivo cuya etiología se desconoce, de tal manera, que en ausencia de marcador biológico o genético, el diagnóstico está basado en un grupo de signos clínicos e imagenológicos. Inicialmente, se describieron formas infantiles pero en 1.998, formas de presentación tardía en adolescentes y adultos y evoluciones más lentas se han venido describiendo.3 En 1.999 un locus para ésta enfermedad fue identificado en el cromosoma 3q27.
En el diagnóstico también se requiere eliminar anormalidades adquiridas de la sustancia blanca (post-infecciosas, anóxico-isquémicas, tóxicas o inflamatorias) y otras leucodistrofias conocidas como metabólicas ( Enfemedad de Krabbes o leucodistrofia de células globoides, leucodistrofia metacromática, adrenoleucodistrofia, enfermedad de Canavans, etc.), neurohistológicas (Enfermedad de Alexander) y/o marcadas genéticamente ( Enfermedad de Pélizaeus-Merzbacher o leucodistrofia familiar progresiva.
Comparación del SC con las 6 más importantes leucodistrofias.
| LM | Krabbe | ALD | Alex | Canavans | PM | CACH | |
| Diplejía Progresiva | Sí | Sí | Sí | Sí | Sí | Sí | Sí |
| Desarrollo intelectual | ↓ | ↓ | Normal | ↑ | ↑ | ↓ | Normal |
| Demencia | Sí | Sí | Sí | Sí | Sí | Sí | No |
| Atrofia óptica | Temprano | Temprano | Temprano | Temprano | Temprano | Tarde | Tarde |
| SNP | Afectado | Afectado | Afectado | Normal | Normal | Normal | Normal |
| Proteína LCF | ↑ | ↑ | ↑ | Normal | Normal | Normal | Normal |
| Patología | DML | DML | DML | DML | VAC | HML | HML |
LM: Leucodistrofia metacromática; ALD: Adrenoleucodistrofia; ALEX: Enfermedad de Alexander; PM: Enfermedad de Pelizaeus- Merzbacher; SNP: Sistema Nervioso periférico. DML: Desmielinización; ML: Hipomielinización; VAC: Vacuolización.
Tomado de Annals of Neurology 1994;35:332.1
En cuanto a la clínica, fue inicialmente descrita en niños. El inicio esta marcado, luego de un desarrollo normal o moderadamente retardado, aparece rápidamente un síndrome cerebeloso espástico antes de los 6 años. La ocurrencia de episodios de deterioro severo luego de un trauma de cabeza o infección leve se han descrito, muchos llevan a inexplicables comas o episodios de letargia con vómito. Las funciones cognitivas están preservadas por un tiempo relativamente largo. Durante el curso de la enfermedad, ataques epilépticos, atrofia del nervio óptico y signos indicativos de compromiso del tallo cerebral (dificultad para comer o respirar) pueden ocurrir. La muerte frecuentemente ocurre durante la primera década de la vida. Más recientemente, casos de comienzo tardío y progreso lento han sido reportados con un inicio de la enfermedad luego de los 10 años. El objetivo de éste artículo es informar de un paciente que inició a los 2 años una ataxia progresiva posterior a un trauma cerebral leve.
Presentación del Caso Clínico
Paciente masculino, de 29 meses, con antecedentes de familiares: padre y madre sanos, no consanguíneos, un hermano menor de diferente padre, sano. No antecedentes familiares de enfermedades metabólicas. Producto del primer embarazo, madre de 24 años, con controles prenatales, embarazo y parto normales. Parto eutócico a término, sin hipoxia perinatal, peso de 2.950grs y talla de 49cm. Alimentación al seno materno hasta el año de edad, ablactación a los 4 meses, Su desarrollo psicomotor: Motor grueso normal para la edad, sostén cefálico a los 3 meses, sostén del tronco 5-6meses, gateó a los 8 meses, caminó a los 13 meses, actualmente, salta en los 2 pies, camina hacia atrás, patea la pelota; motor fino: Hace garabatos, copia línea horizontal y vertical. Llama la atención retardo del lenguaje, no emite frases, no habla más de 20 palabras, no dice su nombre completo semejando en lenguaje a un niño de 18 a 19meses. Esquema de vacunación completo para su edad. No ha estado hospitalizado. No alergias conocidas.
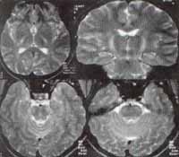
Inicia su sintomatología a los 29 meses, al presentar inestabilidad en la bipedestación y lateralidad en la marcha, luego de caer de una altura de más o menos 50cms con posterior trauma en región occipital, sin pérdida de conocimiento y sin ninguna otra sintomatología asociada. No hay exposición a tóxicos o ingesta accidental de algún medicamento. No antecedentes de infecciones previas al evento. Por anterior sintomatología se inicia estudio realizándose tomografía axial computarizada (TAC) que descartó colecciones hemorrágicas peri, subdurales o intraparenquimatosas, hematomas que pudieran estar presentes secundarios al trauma, pero reveló hipodensidad de la sustancia blanca de ambos hemisferios cerebrales. El paciente se deja hospitalizado, persistiendo ataxia sin otros signos neurológicos, por lo cual se decide realizar resonancia magnética nuclear (RMN) de cráneo la cual ratificó lo evidenciado ya en la TAC, mostrando marcada y extensa alteración en la intensidad de la señal de la sustancia blanca de manera difusa comprometiendo las regiones frontal, parietal, temporal, occipital y así como ambos hemisferios cerebelosos siendo hipointensa en T1 e hiperintensa en T2, en relación con proceso crónico. Se evidencia además, atrofia del tallo cerebral y mesencéfalo, en relación con proceso crónico descrito, leucodistrofia. Tras anteriores hallazgos se realizan estudios complementarios citoquímicos de líquido cefalorraquídeo normal al igual que el estudio bioquímico del nivel de la aril sulfatasa A.
Se inició fisioterapia y estimulación múltiple, pero a pesar dichas intervenciones, persistió, la ataxia.

Figura 1: Aumento de la intensidad de la sustancia blanca en forma difusa.
Discusión
En el SC se observan actualmente 2 formas de presentación clínica: uno infantil en menores de 6 años y otra juvenil tardía en mayores de 10 años, siendo ésta menos frecuente y con una evolución más benigna que la forma infantil. Las bases moleculares de las formas clínicas se han estudiado recientemente y se ha identificado un locus para la enfermedad en el cromosoma 3q27, evidenciándose mutaciones en cada una de las 5 subunidades del factor de iniciación de la translocación eIF2B como posible causa de éste síndrome.5
Los criterios diagnósticos para la entidad son:3
1. Desarrollo motor y mental normal o moderadamente retrasado.
2. El deterioro neurológico tiene un progreso crónico y curso episódico. Episodios de deterioro pueden seguir a una infección menor o leve trauma de cabeza y puede en algunos casos llevar a letargia o coma inexplicables.
3. Los signos neurológicos consisten principalmente en ataxia cerebelar y espasticidad. Atrofia óptica puede desarrollarse pero no es obligatoria; epilepsia puede ocurrir pero no es un signo predominante de la enfermedad. Las habilidades mentales pueden ser afectadas pero no del mismo grado que las funciones motoras.
4. La RMN indica compromiso simétrico de la sustancia blanca cerebral hemisférica y parte o toda la sustancia blanca tiene una intensidad de la señal similar a la del líquido cefalorraquídeo, en las imágenes de densidad de protones, T2 y T1 de la RMN. La atrofia cerebelar varía desde moderada a severa y primariamente compromete el vermis. La resonancia espectroscópica puede ser usada para obtener evidencia adicional para el diagnóstico, mostrando reducción del ácido N. Acetil aspartato, colina y creatinina, pero en adición picos de lactato y glucosa se observan en la sustancia blanca.4
Ya a nivel histopatológico los hallazgos descritos en la literatura, al examinar la sustancia blanca, revelan una proporcionada pérdida de los axones y de las vainas de mielina, que orientan más hacia hipomielinización que desmielinización, aumento del número de oligodendrocitos, disminución de astrocitos y formaciones quísticas como las más características.3

Figura 2: Secciones de la sustancia blanca muestran (A) cambios espongiformes e incremento en el número de núcleos de los oligodendrocitos, (B) además, rarefacción en el centro de la sustancia blanca (C) y cambios microquísticos.3

Figura 3: Sección coronal del hemisferio cerebral izquierdo que muestra la rarefacción de la sustancia blanca con cambios microquísticos.3
En el presente caso encontramos un niño con un trastorno del lenguaje de base, previamente “sano” con aparición de signos neurológicos – ataxia cerebelar -, posterior a un trauma occipital leve, siendo éste el detonante de la entidad, con hallazgos sugestivos en la imagenología, descartándose otros tipos de leucodistrofia por la forma de presentación del cuadro, edad del paciente, indemnidad del sistema nervioso periférico, ausencia de demencia, proteínas en el LCF normales, cumpliendo así con los cuatro criterios anteriormente descritos. En los pocos casos reportados en la literatura, los laboratorios de investigación tales como exámenes metabólicos, actividad de las enzimas lisosomales relacionados con leucodistrofia metacromática, de células globoides, gangliosidosis; así como estudios de LCF, hormonales, de desórdenes autoinmunes son en un porcentaje muy alto normales. Hasta el momento no hay un manejo específico, el tratamiento es simplemente sintomático. Es así como ésta entidad, sólo se diagnostica con base a criterios clínicos e imagenológicos, en espera de los avances científicos para esclarecer su etiología autosómica recesiva y de esta forma brindar asesoramiento genético a la familia, teniendo en cuenta la gravedad de la enfermedad y su forma de transmisión genética.
Referencias
1. Schiffmann R, Trapp BD, Moller JR, et al. Childhood ataxia with diffuse central nervous system hypomyelination. Annals of Neurology 1994;35:331-339
2. Schiffmann R, Trapp BD, Moller JR, et al. Childhood ataxia with diffuse central nervous system hypomyelination. Annals of Neurology 1992; 32:484.
3. Van der Knaap. Phenotypic variation in leukoencephalopathy with vanishing white matter. Neurology 1998;51: 540 –547.
4. Tedeschi, G. MD, Schiffmann, R. MD, et al. Proton magnetic resonance spectroscopic imaging in childhood ataxia with diffuse central nervous system hypomyelination. Neurology 1995;45: 1526 – 1532.
5. Van der Knaap MS, Leegwater PA, et al. Mutations in each of the five subunits of translation initiation factor eIF2B can cause leukoencephalopathy with vanishing white matter. Annals of Neurology 2002, 51(2): 264 – 270.
6. Leuzzi, V. MD; Rinna, A. MD, et al. Ataxia, deafnees, leukodystrophy : Inherited disorder of the white matter in three related patients. Neurology 2000, 54 (12): 2325 – 2328.
7. Van der Knaap MS, Barth PG, et al. A new leukoencephalopathy with vanishing white matter. Neurology 1997; 48: 845-855.
quisiera citar este articulo para un trabajo de revisión que estoy realizando, quisiera saber donde encuentro la pagina y el año de publicación por favor
Buenas tardes, esa publicación hace parte de la Revista Colombiana de Pediatría – Volumen 37 Nº 4 de Noviembre 2002
Para más información te invitamos a visitar el siguiente link: https://encolombia.com/medicina/revistas-medicas/pediatria/vp-374/pedi37402-comite/
Saludos.