Esclerosis Mesial Temporal como Causa
* Dr. Fernando Sarmiento Quintero
** Dr. Orlando Carreño
*** Dr. Carlos Medina Malo
* Jefe de servicio de Gastroenterología y Nutrición
Profesor asistente de pediatría
** Residente de 2do año de Neuropediatría
*** Jefe de servicio de Neuropediatría
Profesor asociado de pediatría
Facultad de medicina
Universidad Nacional de Colombia
Hospital de la Misericoardia
Resumen
El dolor abdominal recurrente (Dar) orgánico, es una de las consultas frecuentes en Pediatría y la segunda causa, después de la constipación, en la consulta de Gastroenterolgía Pediátrica. Se presenta como antecedente fidedigno a partir de los 4 años de edad pero, en algunas oportunidades, suelen referirlo los padres desde los dos años o antes.
Su diagnóstico es dificil y la orientación debe tener como objetivo descartar organicidad, aunque sea bajo el porcentaje de DAR con una etilogía clara. Es funcional hasta cuando se encuentre una causa, pero como esto no siempre es posible, el apoyo de Psiquiatría o Psicología es útil y queda, desafortunadamente, como la única posibilidad para la gran mayoría de niños.
Se relata el caso clínico de una niña de 10 años con DAR de evolución crónica, con numerosos exámenes de laboratorio, estudios imagenológicos, exámenes invasivos y múltiples tratamientos, que ejemplifican la evolución tórpida, crónica y la dificultad para llegar a un diagnóstico.
El enfoque debe hacerse secuencial, pensando en lo más frecuente, (giardias, dependiendo de la procedencia del niño, uncinarias o estrongiloides), para luego pensar en la enfermedad ácido-péptica, (esófago, estómago y duodeno), la patología del páncreas, biliar, intestinal (transtornos de la motilidad, constipación, alergias a ciertas moléculas y enfermedad inflamatoria intestinal en niños mayores), y finalmente, como reflejo de enfermedades sistémicas, (diabetes, porfirias, talasemias), o manifestaciones abdominales de alteraciones del SNC (epilepsias neurovegetativas, migraña)
Caso Clínico
* Nombre: L.D.P.C.
* Edad: 10 AÑOS
* Sexo: FEMENINO
* Procedencia: TUNJA
Consulta por dolor tipo cólico en hemiabdomen derecho de 6 años de evolución, irradiado a la pierna derecha, y pérdida de 3 kg de peso en el último año. Interrumpe el sueño ocasionalmente, ha tenido varias hospitalizaciones y tratamientos con antiparasitarios y laxantes por presentar esporádicamente constipación. En algunas oportunidades el dolor se acompaña de nauseas y/o vómito, distensión abdominal, sin diarrea o sangrado digestivo. En otra institución, se le descartó infección urinaria, y se le realizó, dieciocho meses antes de su ingreso a nuestra consulta, colon por enema y ecografía abdominal, que fueron normales y colonoscopia con biopsias que revelaron colitis inespecífica.
Examen físico: Al ingreso paciente en buenas condiciones generales, con disminución de masa muscular, con -1 Desviación/Estardar para Peso/Talla y Talla/Edad. Abdomen excavado blando, pero con dolor referido a región periumbilical. El examen neurológico fué normal y no se encontraron anormalidades en la pierna donde refería dolor.
Se solicitaron hemograma, uroanálisis, tránsito intestinal de doble contraste, EEG, eco abdominal y se programó (EVDA) Endoscopia de vías digestivas altas y una nueva colonoscopia con biopsias, ya que el padre refirió que estaba pendiente un control colonoscópico de acuerdo al manejo en la otra institución.
Evolución: El dolor tuvo exacerbaciones semanales que requirieron dos hospitalizaciones en su ciudad de origen y fué necesario prescribir analgésicos y antiespasmódicos con poco éxito. Tanto el hemograma como el uroanálisis, enteroclisis, EEG, eco abdominal, fueron reportados como normales. La endoscopia y la colonoscopia también fueron normales y la histología reveló una gastritis crónica sin actividad y una coitis inespecífica, que no ayudaron al diagnóstico.
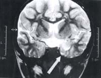
Se realizó junta médico-quirúrgica y para esta cita asistió la madre por primera vez. En la junta se analizó el cuadro y solo se aconsejó tomar una TAC como complemento al estudio. Aprovechando la presencia de la madre, se reinterrogó sobre el dolor en la pierna, que en los últimas semanas se había acentuado, y al referir disestesias y parestesias, no relatadas antes a pesar de interrogatorio dirijido, se remitió a Neurología. Allí al revisar de nuevo el EEG, se encontró actividad de punta onda centro-temporal derecha sugestiva de un foco a nivel mesial (figura No. 1). Suponiendo que se trataba de una lesión estructural y/o secuelar, que explicaba la sintomatología neurovegetativa, se ordenó Resonancia Magnética cerebral que confirmó la impresión inicial y se consolidó el diagnóstico de Epilepsia Neurovegetativa, precisando el tipo de lesión como Esclerosis Mesial Temporal (figura No. 2).
![]() |
![]() |
| Figura No.1 Caso clínico Dolor Abdominal Recurrente. En rostro trazado típico de onda punta temporal derecha en el E.E.G. que indica foco a nivel mesial. | Figura No. 2 Caso clínico. La flecha señala la zona del hipocampo con disminución global del lóbulo temporal derecho y disminución del volumen de los hipocampo correspondiente, típico de la esclerosis mesial. |
Se inició carbamazepina con mejoría progresiva, después de 6 años de sintomatología, y 6 meses de estudio y seguimiento contínuos en nuestro Hospital. En la actualidad se encuentra libre de crisis, con tratamiento combinado carbamazepina – gabapentin, pero en seguimiento estrecho, para posible manejo quirúrgico, dada la etiología como se discute en el artículo: Esclerosis Mesial: Una causa rara de Epilepsia Neurovegetativa, de esta misma revista.
Discusión
El DAR es uno de los motivos de consulta más frecuentes en Pediatría y en la Unidad de Gastroenterolgía y Nutrición de nuestro Hospital; al igual que lo refiere la literatura, es la segunda causa de consulta, después de la constipación1. Estudios de prevalencia demuestran que entre el 10 y el 20% de los menores de 15 años experimentaron dolor incapacitante en algún momento 2. Se presenta prácticamente desde que el niño puede verbalizar sus síntomas, y aún sin haber desarrollado un lenguaje completo, en algunas oportunidades, la madre nos lo refiere desde los dos o tres años, situación que debe tomarse con precaución ya que a esta edad la localización de síntomas por el niño, es equívoca. Por esta razón se debe contemplar como antecedente fidedigno a partir de los 4 años.
Se define como dolor de tres o más meses de evolución, con una frecuencia de una vez por mes como mínimo, con interrupción de la actividad habitual del niño3. Suele ser de dificil diagnóstico y debe ser enfocado y evaluado exaustivamente, tratando de descartar organicidad antes de declararlo funcional o de origen emocional, puesto que se corre el peligro de dejar pasar patologías graves que se podian estudiar o confirmar inicialmente o, por no controlarlo períodicamente, desconocer síntomas o signos posteriores que definirían un diagnóstico.
Independiente de los síntomas se encuentra una etiología solo en el 5% de los casos, y se denomina DAR orgánico, quedando la gran mayoría sin diagnóstico como DAR funcional4, témino que solo denota la limitación del conocimiento médico al respecto y que induce al riesgo de llamarlo psicógeno, lo no se logra una buena relación, conducirá a o que provoca por anticipado un fracaso en la detección de una enfermedad o cuando la hostilidad del paciente y su familia5 .
Interrogatorio
En el primer acercamiento, el interrogatorio debe ir dirijido a descartar las pocas causas parasitarias: procedencia, condición social-familiar, asociación con episodios de diarrea y heces de características grasosas, para afianzar la posibilidad de giardia, el parásito más frecuentemente asociado con dolor abdominal y diarrea crónica. También indagar por sangrado digestivo bajo o palidez progresiva, para descartar dos parásitos, igualmente frecuentes en nuestro medio tropical, pero menos probables en nuestra investigación, ya que antes del dolor, la anemia manifiesta suele ser el signo prominente. No se debe extender hacia otros parásitos puesto que los restantes nada tienen que ver con el dolor recurrente y es frecuente que, a pesar de múltiples tratamientos, por insistir en estos, la búsqueda de la verdadera causa, siempre grave o progresiva, se desvía, para retrasar el diagnóstico, como sucedió con nuestra paciente que solo cuatro años después de ser tratada en numerosas ocasiones con antihelmínticos y antiprotozoicos, fué remitida a un tercer nivel.
Para seguir con un orden anatomo-topográfico, el interrogatorio se debe dirijir hacia la enfermedad ácido-péptica6. Las características y localización del dolor, en pediatría no son tan orientadoras como se quisiera, o como lo son en el adulto; pero en niños mayores, cuando el médico considere que la información es de fiar, el dolor retroesternal o epigástrico, es útil para pensar en patología esófago-gastro-duodenal. El antecedente familiar ácido péptico, siempre documentado por endoscopia es importante, así como la intensidad del dolor, la presencia de sangrado digestivo alto o bajo, la presentación de náuseas o vómito, distensión abdominal, flatulencia, síntomas de indigestión, inapetencia o la mejoría transitoria con antiácidos o protectores de mucosa. Igualmente el antecedente de reflujo, tratado o no y la presencia de regurgitación o dolor retroesternal, orientan hacia la lesión del esófago.
Por lo menos en nuestro Hospital la causa más frecuente de pancreatitis es la traumática7, sin embargo, aunque es rara como causa de DAR, se deben investigar antecedentes de pancreatitis familiar. Así mismo debe descartarse la patología de la vía biliar, por antecedentes familiares de litiasis o inflamación o intolerancia manifiesta a grasas.
Siempre se debe investigar sobre las molestias para defecar o el hábito intestinal, ya que una de las causas de DAR es la constipación, que con frecuencia se pasa por alto, debido a que los niños de este grupo etáreo, que ya controlan esfínteres, son más independientes y los padres desconocen los detalles correspondientes, por lo que solo cuando se les interroga al respecto lo relacionan como la posible causa o se les pone sobreaviso para que hagan la observación posteriormente. En ese mismo grupo se encuentran los transtornos de motilidad gastrointestinal, como causa hipotética de DAR, pero no existe ningún síntoma o signo orientador, y solo cuando queda por descarte esta posibilidad, se pueden realizar algunos exámenes que están en experimentación y son costosos.
La relación del DAR con la ingesta de leche de vaca, es más probable por la alergia a la proteína, que por la supuesta intolerancia a la lactosa. La reacción de hipersensibilidad de tipo I mediada por IgE, estimula la liberación de numerosas moléculas que desencadenan entre otros cambios, la contracción del músculo liso, que puede ocasionar dolor. El papel de la lactosa como causa de dolor, es controvertido por muchos estudios8,9 y la ausencia de diarrea y la no mejoría al excluirla de la dieta, son evidencias contundentes en su contra como etiología.
Siempre en forma ordenada y secuencial debe terminarse el interrogatorio, indagándose sobre causas menos frecuentes; la enfermedad inflamatoria intestinal, con dolor abdominal, diarrea, pérdida de peso y sangrado oculto o manifiesto, aparece generalmente alrededor de los 7 años, y fué diagnóstico diferencial con nuestra paciente, por la pérdida de peso, pero faltaba la diarrea y el sangrado. Enfermedades sistémicas que puedan tener repercusión sobre el intestino, como diabetes, porfiria o anemias hemolíticas y las del tejido conectivo, así como las del SNC, tipo epilepsia o migraña, pueden iniciarse con dolor abdominal como el síntoma más llamativo, aunque tienen otros signos y síntomas más característicos, que pueden quedar ocultos si no se realiza un interrogatorio dirijido. Pérdida de peso, polifagia, polidipsia o cambios de color de la orina y crisis hemolíticas o síntomas neurológicos, como las características del dolor de la pierna, en el caso que nos ocupa, con disestesia y parestesias, que originaron la interconsulta a Neurología con la solución del problema.
Conclusiones
El caso de esta niña de 10 años es el prototipo del DAR orgánico, con dolor incapacitante, de evolución crónica, pero con exámenes de laboratorio y de imágenes de rutina normales y examen físico poco orientador, que además tiene toda una gama de otros estudios paraclínicos de mayor sofisticación, también normales o que no ayudaron a dilucidar la etiología. En estas condiciones y luego que la Junta médico-quirúrgica no adelantó más de lo que se había realizado hasta ese momento, se contempló la intervención de Psiquiatría, pero la insistencia y el reinterrogatorio, finalmente mostraron la solución.
El objetivo de este caso clínico es mostrar la dificultad diagnóstica de una de las causas más frecuentes de consulta en Pediatría y dar una orientación secuencial para el estudio, teniendo en cuenta que la Epilepsia Neurovegetativa no es la etiología más frecuente y mucho menos lo es la Esclerosis Mesial Temporal.
Bibliografía
1- Ceresa S. Chavez E. Pizarro B. Estructura de la morbilidad de un consultorio de Gastroenterología Infantil. XIX Congreso Chileno de Pediatría. La Serena. Chile. 1992.
2- Alfven G. The covariation of common psychosomatic symptoms among children from socioeconomically differing residencial areas:an epidemiological study. Acta Pediatr. 1993; 82: 484-7.
3- Apley J. The child with recurrent abdominal pain. Pediatr. Clin. North. Am. 1967; 14: 63-72.
4- Bain H.W. Chronic vague abdominal pain in children. Pediatr. Clin. North. Am. 1974; 21: 991-1000.
5- Vasquez R. Dolor Abdominal Recurrente en niños. XIX Congreso de La Asociación de Nutrición Clinica y Metabolismo. Bogotá 1998.
6- Sarmiento F. Infección por Helicobacter pylori: Características morfofuncionales de la mucosa gástrica en niños antes y después del tratamiento. Tesis para optar el grado Magister en Ciencias de la Nutrición. 1997 INTA. U. de Chile.
7- Mora N. Pancreatitis: Análisis de 39 casos. Rotación de Gastroenterología y Nutrición. 1998. Hospital de La Misericordia.
8- Wald A. Chandra R. Stanley E. et alt. Lactosa malabsortion in recurrent abdominal pain of childhood. J. Pediatr. 1982; 100: 65-68.
9- Malagelada JR. Lactose intolerance. N. Engl. J. Med. 1995; 333: 53-4. 3


