Manifestaciones Clínicas Dermatológicas
Artículos Originales
María Isabel Barona C.*
* Docente adjunto. Dermatóloga Universidad del Valle-Cali. Correspondencia: Carrera 38A No. 5A-100 Torre B. 604. E-mail: mabarona@andinet.com
Resumen
Las alteraciones hormonales que suceden durante la menopausia, y los cambios fisiopatológicos que ellas originan en los diferentes sistemas del organismo, específicamente en la piel, conducen a que las propiedades biomecánicas cutáneas se alteren.
Algunas manifestaciones clínicas aparecen más frecuentemente tales como: liquen escleroso y atrófico vulvar, vulvovaginitis atrófica, vulvodinia disestésica, entre otras, reflejo del comportamiento hormonal durante esta época.
Palabras clave: Menopausia, piel, atrofia.
Abstract
Significant hormonal alterations occur during menopause, resulting in physiopathologic changes that affect multiple systems of the body. Specifically, in skin these changes may alter its biomechanical properties.
Some clinical manifestations are more common, such as: lichen sclerosus, atrophic vulvovaginitis, dysaesthetic vulvodynia.
Key words: Menopause, skin, atrophy.
Introducción
Las manifestaciones cutáneas que se suceden durante la etapa de la menopausia incluyen: atrofia, sequedad, prurito de piel y membranas mucosas, lo cual conlleva a que traumas mínimos puedan inducir fácilmente equimosis y cambios purpúricos, que en algunas ocasiones pueden evolucionar a ulceraciones.
Hay pérdida de la elasticidad y turgencia de la piel, pérdida y sequedad del cabello, y en otros casos puede observarse hirsutismo leve a moderado en la cara.
De igual manera, las manifestaciones que corresponden al fotoenvejecimiento, envejecimiento cronológico, y los efectos del cigarrillo en la piel de pacientes fumadoras pueden coincidir en hacerse más evidentes durante la edad de la menopausia y la pos-menopausia, por tanto, se encuentran con mayor frecuencia lesiones como queratosis seborreicas, angiomas rubíes, telagiectasias, lentígines y arrugas.
Lea También: Manifestaciones Cutáneas Generales durante la Menopausia
Manifestaciones Cutáneas Vulvovaginales
Vulvovaginitis Atrófica
El hipoestrogenismo conduce a atrofia de la vagina y el vestíbulo vulvar, que los hace fácilmente irritables y susceptibles a infecciones secundarias.
Las pacientes refieren sensación de quemadura, prurito, disuria, hipersensibilidad y dispareunia. Puede encontrarse al examen físico atrofia, fisuras superficiales, y un flujo vaginal acuoso1. Hay disminución del tamaño del introito2, pérdida de la rugosidad y la vagina toma una apariencia lisa y brillante.
Los hallazgos histológicos revelan un epitelio vaginal delgado, disminución de los lechos capilares, y la citología muestra, a medida que la atrofia progresa, aumento de las células basales y disminución o ausencia de las células superficiales2.
Se aconseja evitar el uso de jabones y demás irritantes de la piel. Se pueden utilizar lubricantes simultáneamente con los estrógenos o como terapia única, si hay alguna contraindicación a las hormonas.
El tratamiento con estrógenos por vía sistémica o transvaginal mejora y restaura los signos y síntomas, y una a dos semanas después de iniciar el tratamiento los cambios de atrofia empiezan a mejorar rápidamente, se reduce el pH y se induce maduración vaginal y de la mucosa uretral, reduciendo la frecuencia de las infecciones urinarias3. La dosis y vía de administración debe ser debidamente individualizada4.
Contraindicaciones al tratamiento con estrógenos, incluyen: la presencia de tumores estrógenosensibles, falla hepática terminal y antecedentes de tromboembolización relacionada con ellos.
Candidiasis Vulvovaginal
Ha sido motivo de controversia si esta afección se presenta con mayor frecuencia durante el período de la menopausia, puesto que la Cándida requiere glicógeno para su colonización, y son los estrógenos los que enriquecen las células epiteliales vaginales y la secreción de este componente, por tanto, ante la ausencia de estrógenos que ocurre en la menopausia, sería raro encontrar esta infección5.
Sin embargo, algunos autores66 refieren que este diagnóstico se presenta en 1/3 de las pacientes posmenopáusicas, hallazgo que podría ser explicado por el aumento en el empleo de la terapia hormonal de reemplazo.
Tabla 1. Antimicóticos del grupo azol tópicos y sistémicos

Se recomienda el uso de antimicóticos tópicos para casos no complicados, o los azoles por vía sistémica que son de gran efectividad.
En aquellos casos de candidiasis recurrente, cuatro o más episodios al año de la infección, requieren terapia supresiva con azoles orales por más de 6 meses5.
Liquen Escleroso Vulvar
Esta afección puede presentarse en cualquier época de la vida, aunque con mayor frecuencia entre los 50 y 60 años7; en 85-95% de los casos afecta la región anogenital, sin comprometer la vagina, y en 15% de los casos hay compromiso extragenital8.
Las pacientes suelen consultar por prurito severo, dispareunia, y si hay fisuras dolor intenso, aunque en algunos casos puede ser asintomática.
Los signos al examen físico son variables dependiendo del estadio de la enfermedad. La región anterior de la vulva suele ser la primera en comprometerse, y se observan placas en parche, o áreas confluentes extensas de piel atrófica, pálida, blanquecina (Figura 1) y en algunos casos telangiectasias y ampollas hemorrágicas9.
La liquenificación secundaria al rascado crónico no es infrecuente, y la esclerosis progresiva puede conducir a la pérdida de las estructuras genitales normales.

Figura 1. Liquen escleroso y atrófico: placas blanquecinas, atróficas. Especialmente en región antero-superior de la vulva.
Las pacientes con liquen escleroso presentan una alta incidencia de anticuerpos órgano-específicos, especialmente en aquellas en quienes la enfermedad se inicia entre los 41-60 años10, sin relacionarse con la duración ni las áreas comprometidas por la enfermedad.
Hay una asociación significante con enfermedades autoinmunes, especialmente tiroiditis autoinmune, enfermedad de Hashimoto, enfermedad de Graves11, vitiligo12, diabetes mellitus13, alopecia areata, liquen plano, escleroderma, dermatitis atópica, cirrosis biliar primaria, anemia perniciosa y lupus eritematoso14, lo cual indica que estas pacientes deben ser investigadas y tener un seguimiento estricto para descartar cualquiera de estas asociaciones.
Por lo tanto, es necesario tener una confirmación histopatológica del diagnóstico, tomando una biopsia de la zona afectada, examen directo y cultivo de secreciones para descartar la presencia de infecciones asociadas, pruebas de función tiroidea, glicemia pre y pos-prandial y anticuerpos antinucleares.
Tabla 2. Manejo del liquen escleroso vulvar

Para su tratamiento se utiliza un esteroide tópico de mediana potencia durante 2-3 meses, con disminución gradual de su uso, monitoreo mensual durante los primeros 12 meses, y si no se presentan cambios importantes, seguimiento clínico por lo menos cada 6 meses7.
La relación del liquen escleroso con carcinoma vulvar, también es controvertida.
Algunos autores15 encontraron que los carcinomas de vulva se desarrollaron en la piel adyacente al liquen, siendo la malignidad la primera manifestación clínica evidente. Sin embargo, el tratamiento médico del liquen no previene la evolución del carcinoma, aunque la aparición concomitante de las dos enfermedades es más frecuente que en los grupos control16.
Se requieren estudios más amplios que permitan aclarar la verdadera significancia de esta asociación, y se destaca la importancia de la biopsia de piel lesional para el estudio histopatológico.
Vulvodinia Disestésica
Se caracteriza por la sensación de quemadura vulvar, crónica, que no mejora y no responde al tratamiento con múltiples tópicos; puede ser bilateral, extenderse hasta la cara interna de los muslos, con o sin disuria y se empeora durante el acto sexual. Generalmente no se observan alteraciones al examen físico.
La etiología es desconocida, y se piensa que pueda existir alguna alteración neurológica, central o periférica. Se presenta más frecuentemente en mujeres durante la época de la peri y posmenopausia17.
Se aconseja para su tratamiento los mismos medicamentos empleados en el control de otras enfermedades neuropáticas, tales como: antidepresivos tricíclicos: amitriptilina y nortriptilina en dosis bajas, y algunos anticonvulsivantes como: carbamazepina y valproato sódico, iniciando a dosis lo más bajas posibles18.
Simultáneamente o si no hay respuesta a estos tratamientos, la electromiografía de la musculatura del piso pélvico puede ser de gran ayuda19.
Otras Vaginitis
El liquen plano erosivo puede ser otra causa de vaginitis, el cual se confirma mediante una biopsia. Se caracteriza por20: pápulas y placas blanquecinas, reticuladas, ligeramente elevadas, muy pruriginosas.
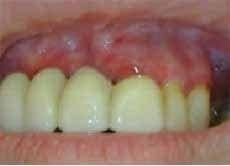
En algunas ocasiones el eritema es severo con erosiones extensas, asociadas con sensación de quemadura, dolor, dispareunia y sangrado poscoito (Figura 2). Se ha encontrado asociado con gingivitis descamativa, y se le considera una variante del liquen plano de las mucosas (Figura 3).

Figura 2. Liquen plano erosivo: placas eritematosas, edematosas, erosionadas en vulva.

Figura 3. Liquen plano erosivo: compromiso de la mucosa gingival con eritema intenso, edema, mezcladas con vesículas y membranas blanquecinas.
El diagnóstico temprano y su tratamiento con corticoesteroides tópicos, como acetato de hidrocortisona, pueden prevenir la formación de adherencias y estenosis vaginal.
También se han utilizado para su terapia los corticoides sistémicos, la griseofulvina, la dapsona y la ciclosporina oral, con resultados variables.
Se han reportado casos de carcinoma escamocelular en pacientes con liquen plano vulvar erosivo20, 21, lo cual plantea la necesidad de seguimiento regular y la toma de biopsias de cualquier cambio o lesión atípica que se presente.
La vulvitis circunscrita plasmacelular de Zoon, también puede presentarse como una vaginitis purulenta en las mujeres durante la menopausia o la posmenopausia. La etiología es desconocida, y se caracteriza por prurito, hipersensiblidad, dispareunia superficial o disuria.
Se observan placas bien circunscritas, eritematosas, con un tinte amarillento. El tratamiento con corticoides y estrógenos tópicos tienen una respuesta variable22.