Gallstone Ileus: Description of two cases
Resumen
Introducción. El íleo biliar es una complicación rara de la colelitiasis y su incidencia varía del 1 al 4 %. Consiste en la migración de un cálculo de la vesicular biliar al tracto gastrointestinal, generando obstrucción intestinal. Presenta síntomas inespecíficos dependiendo del nivel de la obstrucción, lo que hace que su diagnóstico no suela ser precoz, repercutiendo en el deterioro clínico del paciente. Es especialmente grave en pacientes de edad avanzada y con comorbilidades.
Casos clínicos. Se reportan los casos de dos pacientes con dolor abdominal difuso, en quienes se diagnosticó íleo biliar por tomografía. Se realizó manejo quirúrgico, el primero mediante técnica abierta y estrategia de dos pasos, y el otro mediante técnica laparoscópica.
Discusión. El íleo biliar es una etiología rara de obstrucción intestinal. El cálculo migra debido a una fistula colecistoentérica y el nivel de obstrucción es con mayor frecuencia la válvula ileocecal. Los síntomas son inespecíficos y dependen del nivel de obstrucción: dolor abdominal difuso mal caracterizado, náuseas, vómito, ausencia de flatos. El diagnóstico se hace mediante tomografía abdominal, en la cual se evidencia la tríada de Rigler. El manejo es quirúrgico, con enterotomía para extraer el cálculo y resolver la obstrucción.
Conclusión. El íleo biliar es una patología que debe ser considerada en el abordaje de la obstrucción intestinal, aunque sea poco frecuente. El manejo quirúrgico es clave para resolver el cuadro de obstrucción intestinal; aún así genera importante morbimortalidad en especial en pacientes de avanzada edad.
Palabras clave: obstrucción intestinal; cálculos biliares; colelitiasis; fístula biliar; fístula del sistema digestivo; complicaciones.
Abstract
Introduction. Gallstone ileus is a rare complication of cholelithiasis, its incidence varies from 1% to 4%. It consists of the migration of a stone from the gallbladder to the gastrointestinal tract, causing intestinal obstruction. It presents with non-specific symptoms depending on the level of the obstruction, which means that its diagnosis is not usually early, with repercussions on the clinical deterioration of the patient, being serious especially in elderly patients and with comorbidities.
Clinical cases. Two patients with diffuse abdominal pain are reported. A tomographic diagnosis was made showing gallstone ileus. Surgeries were performed, in the first case using an open technique and a 2-step strategy, and on the second one using a laparoscopic technique.
Discussion. Gallstone ileus is a rare etiology of intestinal obstruction. Symptoms are usually poorly characterized: diffuse abdominal pain, nausea, vomiting, absence of flatus. The diagnosis is made by abdominal tomography in which Rigler’s triad is evident. Management is surgical through enterotomy to remove the stone and resolve the obstruction.
Conclusion. Gallstone ileus is a rare pathology that should be considered in the approach to intestinal obstruction. Surgical management is key to resolving intestinal obstruction. Even so, it generates significant morbidity and mortality, especially in elderly patients.
Keywords: intestinal obstruction; gallstones; cholelithiasis; biliary fistula; digestive system fistula; complications.
Introducción – Diagnóstico de Íleo Biliar
El íleo biliar es una complicación rara y potencialmente seria de la colelitiasis, debida a un cuadro de obstrucción intestinal mecánica endoluminal secundaria al paso al tracto gastrointestinal de un lito biliar, que en general debe tener un diámetro mayor a 2,5 cm para generar el efecto obstructivo 1,2.
El íleo biliar tiene una incidencia de cerca del 1- 4 % de todos los cuadros de obstrucción intestinal, y con el aumento de la edad puede llegar a hasta el 25 % 3-5, dado que la enfermedad litiásica de la vesícula biliar es una patología de alta prevalencia en nuestro medio (puede variar entre el 8,6 – 15 %) 6,7.
El principal sitio de obstrucción es el intestino delgado, a nivel de la válvula ileocecal (60 %), pero puede encontrarse en cualquier parte del tracto gastrointestinal (estomago 15 %, yeyuno 15 % y en colon 8 %); el duodeno y el estómago son los sitios de obstrucción menos frecuentes 8.
Cuando la obstrucción ocurre a nivel del bulbo duodenal recibe el nombre de Síndrome de Bouveret 9.
La principal forma de migración de los cálculos es a través de una fistula bilioentérica, siendo la fistula colecisto-duodenal la más frecuente (casi el 80 % de los casos). La morbimortalidad aumenta con la edad y las comorbilidades asociadas, con un rango que puede ir desde el 12 % hasta el 27 % 10.
Caso clínico 1 – Diagnóstico de Íleo Biliar
Paciente masculino de 60 años, con antecedente de hipertensión arterial, diabetes mellitus tipo 2, dislipidemia y cardiopatía isquémica con fracción de eyección del ventrículo izquierdo (FEVI) del 42 %, que recibió manejo endovascular en el año 2017.
Consultó al servicio de urgencias por un cuadro clínico de 24 horas de evolución de dolor abdominal en flanco izquierdo, que se irradiaba a región lumbar izquierda, asociado a seis episodios eméticos e intolerancia a la vía oral; tenía flatos y la última deposición fue un día antes a su ingreso.
En la evaluación inicial con frecuencia cardiaca de 98 latidos por minuto, signos de deshidratación y dolor a la palpación de flanco izquierdo, sin irritación peritoneal. Se documentó glucometría de 264 mg/dl.
Se inició manejo con líquidos endovenosos y se tomaron paraclínicos que mostraron leucocitosis, neutrofilia y elevación de la creatinina.
Evolucionó tórpidamente presentando diaforesis, lipotimia y signos de mala perfusión; el electrocardiograma documento bloqueo de rama derecha, sin otros hallazgos relevantes, y su gasometría arterial un trastorno severo de la perfusión, con ácido láctico de 5,8 mMol/L. Se reanimó con cristaloides y se descartó origen infeccioso urinario.
Por persistencia del dolor en flanco izquierdo fue valorado por cirugía general y en la urotomografía se observó una imagen hiperdensa en la luz de intestino delgado a nivel de flanco izquierdo con efecto obstructivo parcial (Figura 1), por lo que se indicó laparotomía para resolución de la obstrucción intestinal.

Figura 1. Tomografía abdominal simple en corte coronal. A: fístula colecisto -duodenal (flecha blanca). B: Triada de Rigler, donde se aprecian neumobilia, dilatación de asas delgadas y presencia de cálculo en la luz intestinal (flechas blancas). Fuente: los autores
Dentro de los hallazgos quirúrgicos llamó la atención la distensión marcada de las asas intestinales, con líquido en su interior; a 1,8 m del ligamento de Treitz se encontró un segmento de intestino delgado marcadamente distendido, de paredes edematizadas, con formación de membranas de fibrina, con un calculo biliar de forma redondeada, de 5×4 cm aproximadamente.
Este se desplazó distal para la realización de enterotomía y su posterior extracción. Su vesícula biliar estaba escleroatrófica, envuelta por adherencias firmes entre el epiplón mayor y el duodeno, por lo que no se exploró en su momento.
Se trasladó el paciente a la unidad de cuidado intermedio para vigilancia postoperatoria, donde tuvo una evolución favorable y fue dado de alta cinco días después del procedimiento quirúrgico, para seguir control ambulatorio y posteriormente llevar a cabo la corrección quirúrgica de la fistula bilioentérica secundaria de síndrome de Mirizzi grado V.
Caso clínico 2 – Diagnóstico de Íleo Biliar
Paciente de 70 años, sin comorbilidades, que consultó al servicio de urgencias por cuadro clínico de tres días consistente en dolor abdominal, de tipo cólico, en hipogastrio, irradiado ocasionalmente a región lumbar bilateral, asociado a astenia, anorexia, nauseas intermitentes y diaforesis; con presencia de flatos y ultima deposición 2 días previo a su ingreso.
Al examen físico se encontró el paciente con taquicardia, deshidratación, dolor abdominal a la palpación de hipogastrio, sin irritación peritoneal.
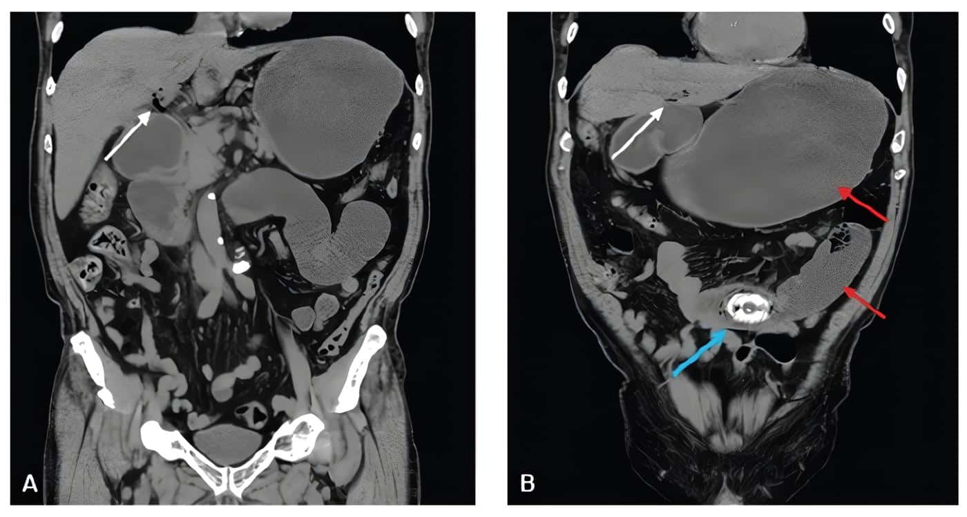
Se manejó con cristaloides y antiespasmódico en urgencias, pensando en cuadro de urolitiasis. La urotomografía descartó cálculos en las vías urinarias, pero evidenció imagen hiperdensa intraluminal a nivel de intestino delgado, además neumobilia y fistula colecisto entérica (Figura 2).

Figura 2. Tomografía abdominal simple en corte coronal. A: neumobilia (flecha blanca). B: Triada de Rigler, con neumobilia (flecha blanca), dilatación de asas intestinales (flechas rojas) y calculo biliar obstructivo (flecha azul). Fuente: los autores.
Con diagnóstico de íleo biliar se indicó manejo quirúrgico. Se realizó abordaje laparoscópico, localizando el sitio de obstrucción el cual se encontraba a 40 cm del ligamento de Treitz.
Mediante uso de separador de Alexis se exteriorizó el asa intestinal, se realizó enterotomía con extracción de un cálculo biliar de 4×3 cm y posterior enterorrafia en un plano de PDS 3-0, sin complicaciones (Figura 3).

Figura 3. Fotografías de la cirugía. A: Enterotomía para extracción de cálculo biliar. 
B: Cálculo biliar de 4 x 3 cm. Fuente: los autores
Se llevó a la unidad de cuidados intensivos para vigilancia postoperatoria, pero presentó una evolución tórpida, con necesidad de soporte vasopresor y posterior fallo ventilatorio, que requirió ventilación mecánica invasiva.
Se diagnosticó neumonía derecha, con progresión a choque séptico y fallecimiento al décimo día postoperatorio.
Discusión – Diagnóstico de Íleo Biliar
El íleo biliar es una causa poco frecuente de obstrucción intestinal, con una incidencia que oscila entre el 1-4 %, pero con un potencial de morbimortalidad alto, que puede llegar ser de hasta el 25 % 10,11.
Las manifestaciones clínicas del íleo biliar son inespecíficas y varían dependiendo del nivel donde se encuentre la obstrucción y si el compromiso endoluminal es parcial o total. Los síntomas más comunes son dolor abdominal de inicio agudo, náuseas y emesis (95 % de los casos), ausencia de flatos o deposiciones y distensión abdominal.
Esto hace que con frecuencia se demore el diagnóstico y tratamiento de la obstrucción intestinal.
Dentro del abordaje diagnostico suele utilizarse como método inicial la radiografía de abdomen simple, en la cual se busca identificar hallazgos sugestivos de la patología, que se han descrito de manera clásica como la triada de Rigler, la cual consiste en neumobilia, dilatación de asas intestinales y visualización de un lito en tracto gastrointestinal.
Sin embargo, estos hallazgos se presentan en menos del 30 % de los pacientes.
Con la expansión de la tomografía y su uso rutinario en cuadros de obstrucción intestinal, se ha logrado una efectividad diagnóstica de más del 90 %, con sensibilidad del 93 % y especificidad del 99 %, teniendo gran relevancia a la hora del planeamiento quirúrgico 11,12.
Dentro de los hallazgos más frecuentes en la tomografía se encuentran signos de obstrucción intestinal de asas delgadas, neumobilia, nivel hidroaéreo en la vesícula biliar y cálculos biliares ectópicos 13.
En los dos casos presentados, el diagnóstico se hizo mediante tomografía abdominal simple, en la cual se observó el lito a nivel de intestino delgado, además de la triada de Rigler.
El manejo el íleo biliar suele ser quirúrgico, de carácter emergente para evitar progresión a casos severos y aumento de la morbimortalidad, por eso se requiere manejo en unidad de cuidado intensivo o intermedio. Dentro de las posibilidades quirúrgicas se encuentran las estrategias de cirugía abierta, extracción endoscópica del cálculo y litotripsia 14.
El manejo quirúrgico abierto ha mostrado disminución de morbimortalidad. Continúa siendo tema de discusión si el manejo debe realizarse con la estrategia de uno o dos pasos, la primera con enterotomía para la extracción del cálculo más corrección de la fistula bilioentérica y finalmente colecistectomía, y la segunda con un primer tiempo quirúrgico para la enterotomía con extracción del cálculo y posteriormente, en un segundo tiempo, la corrección de la fistula y colecistectomía 15,16.
En el primer caso se optó por el manejo en dos tiempos, siendo el primero para la extracción del cálculo y resolución del cuadro obstructivo, y posteriormente planear de manera ambulatoria la corrección de la fistula bilioentérica, que fue la causa de la migración del cálculo al intestino.
Posterior al tratamiento quirúrgico este paciente presentó una evolución satisfactoria y fue dado de alta, mientras el segundo paciente falleció secundario a sepsis pulmonar.
Conclusiones – Diagnóstico de Íleo Biliar
El íleo biliar es una complicación poco frecuente de la litiasis vesicular. Suele presentar síntomas inespecíficos, dependiendo del nivel de la obstrucción, lo cual hace que el diagnostico sea tardío.
La tomografía sigue siendo el método diagnostico con mayor sensibilidad, además permite descartar otras etiologías y planear el abordaje quirúrgico. El manejo operatorio suele ser el más efectivo; puede realizarse con abordaje abierto (laparotomía) o mínimamente invasivo (laparoscópico).
La estrategia de dos pasos es la más ampliamente utilizada. Es una patología que genera importante morbilidad y presenta aumento de la mortalidad, relacionada con la edad avanzada de los pacientes.
Cumplimiento de normas éticas – Diagnóstico de Íleo Biliar
Consentimiento informado: Los pacientes diligenciaron el consentimiento informado en donde dieron aval para el uso de su historia clínica y las imágenes diagnóstica para fines de investigación y reportes de caso.
Los reportes de casos y la metodología fueron aprobados por el comité Científico de Ética e Investigación institucional mediante acta de aprobación número 023/22 el 17 de mayo de 2021, en cumplimiento a las Resoluciones 8430 de 1993 (estudio sin riesgos) y 2378 del 2007 expedidos por el Ministerio de la Protección Social, lo mismo que para obedecer lo dispuesto por la Declaración Universal sobre Bioética y Derechos Humanos de la UNESCO.
Conflictos de intereses: Los investigadores declararon que no existe ningún tipo de conflictos de interés Fuentes de financiación: El artículo se financió mediante recursos propios de los autores y de la institución donde se atendieron los casos.
Contribución de los autores
– Concepción y diseño del estudio: Simón Alberto Macías- Segura.
– Recolección de datos: Simón Alberto Macías-Segura, Camila Andrea Granados-Martínez.
– Redacción del manuscrito: Simón Alberto Macías- Segura, Juan Manuel Castro-Rodríguez.
– Revisión crítica: Juan Manuel Castro-Rodríguez, Yesid Yamid Quintero-Pérez.
Referencias – Diagnóstico de Íleo Biliar
1 Ayantunde AA, Agrawal A. Gallstone Ileus: Diagnosis and management. World J Surg. 2007;31:1294-9. https://doi.org/10.1007/s00268-007-9011-9
2 Liang X, Li W, Zhao B, Zhang L, Cheng Y. Comparative analysis of MDCT and MRI in diagnosing chronic gallstone perforation and ileus. Eur J Radiol. 2015;84:1835- 42. https://doi.org/10.1016/j.ejrad.2015.06.009
3 Catena F, De Simone B, Coccolini F, Di Saverio S, Sartelli M, Ansaloni L. Bowel obstruction: a narrative review for all physicians. World J Emerg Surg. 2019;14:20. https://doi.org/10.1186/s13017-019-0240-7
4 Idrobo AA, Bastidas BE, Yasno LM, Vargas AL, Merchán- Galvis AM. Presentación y desenlace del manejo conservador en obstrucción intestinal por bridas en el Cauca. Rev Colomb Gastroenterol. 2020;35:447-54. https://doi.org/10.22516/25007440.517
5 Gaitán JA, Martínez VM. Enfermedad litiásica biliar, experiencia en una clínica de cuarto nivel, 2005-2011. Rev Colomb Cir. 2014;29:188-96.
6 Dai XZ, Li GQ, Zhang F, Wang XH, Zhang CY. Gallstone ileus: Case report and literature review. World J Gastroenterol. 2013;19:5586-9. https://doi.org/10.3748/wjg.v19.i33.5586
7 Ploneda-Valencia CF, Gallo-Morales M, Rinchon C, Navarro- Muñiz E, Bautista-López CA, de la Cerda-Trujillo LF, et al. El íleo biliar: una revisión de la literatura médica. Rev Gastroenterol Mex. 2017;82:248-54. https://doi.org/10.1016/j.rgmx.2016.07.006
8 Chang L, Chang M, Chang HM, Chang AI, Chang F. Clinical and radiological diagnosis of gallstone ileus: a mini review. Emerg Radiol. 2018;25:189-96. https://doi.org/10.1007/s10140-017-1568-5
Bibliografías – Diagnóstico de Íleo Biliar
9 Álvarez-Chica LF, Bejarano-Cuéllar W, Rojas-Cardozo OL. Íleo biliar y síndrome de Bouveret. Lo mismo pero distinto. Descripción de dos casos y revisión de la literatura. Rev Colomb Gastroenterol. 2010;25:86-93.
10 Martín-Pérez J, Delgado-Plasencia L, Bravo-Gutiérrez A, Burillo-Putze G, Martínez-Riera A, Alarcó-Hernández A, et al. El íleo biliar como causa de abdomen agudo. Importancia del diagnóstico precoz para el tratamiento quirúrgico. Cir Esp. 2013;91:485-9. https://doi.org/10.1016/j.ciresp.2013.01.021
11 Hurtado YV, Agudelo H, Merchán-Galvis AM. Íleo biliar en adulto joven. Reporte de un caso. Univ Salud. 2020;22:96-101. https://doi.org/10.22267/rus.202201.180
12 Bernal A, Gómez-Velásquez MÁ, Molano F. Íleo biliar: reporte de un caso. Rev Colomb Radiol. 2008;19:2476-8.
13 Mosquera MS, Villarreal RA, Medina R, Kadamani A, Sánchez G. Íleo biliar: reporte de dos casos. Univ Méd. 2012;53:297-308. https://doi.org/10.11144/javeriana.umed53-3.ibrd
14 Gungor F, Atalay Y, Acar N, Ozlem-Gur E, Kokulu I, Acar T, et al. Clinical outcome of gallstone ileus; a single-centre experience of case series and review of the literature. Acta Chir Belg. 2022;122:7-14. https://doi.org/10.1080/00015458.2020.1816673
15 Inukai K. Gallstone ileus: a review. BMJ Open Gastroenterol. 2019;6:e000344. https://doi.org/10.1136/bmjgast-2019-000344
16 Requena-López AA, Mata-Samperio BK, Solís-Almanza F, Casillas-Vargas R, Cuadra-Reyes LA. Comparison between surgical techniques in gallstone ileus and outcomes. Cir Cir. 2020;88:292-6. https://doi.org/10.24875/CIRU.19001264
Autores – Diagnóstico de Íleo Biliar
1 Simón Alberto Macías-Segura, Médico, Clínica Medilaser S.A., sede Neiva, Colombia.
2 Juan Manuel Castro-Rodríguez, Yesid Yamid Quintero-Pérez, Médico, especialista en Cirugía general, Clínica Medilaser S.A., sede Neiva, Colombia.
3 Camila Andrea Granados-Martínez, Médica, Hospital Universitario Simulado de Alta Complejidad, Fundación Universitaria Navarra – Uninavarra, Neiva, Colombia.
Fecha de recibido: 4/10/2022 – Fecha de aceptación: 27/11/2022 – Publicación en línea: 22/06/2023 
Correspondencia: Simón Alberto Macías-Segura, Calle 50A # 19A – 04, Neiva, Colombia. Teléfono: 322 8048582. 
Dirección electrónica: sams.27@hotmail.com
Citar como: Macías-Segura SA, Castro-Rodríguez JM, Quintero-Pérez YY, Granados-Martínez CA. Íleo biliar: descripción de dos casos. Rev Colomb Cir. 2023;38:753-8. https://doi.org/10.30944/20117582.2260 
Este es un artículo de acceso abierto bajo una Licencia Creative Commons – BY-NC-ND https://creativecommons.org/licenses/by-nc-nd/4.0/deed.es
					






