Infarction of the omentum: Laparoscopic Treatment
Palabras clave: epiplón; infarto; necrosis; dolor abdominal; cirugía; laparoscopía.
Keywords: omentum; infarction; necroasis; abdominal pain; surgery; laparoscopy.
Presentación del caso
Hombre de 34 años, fumador, que consulta por cuadro de dolor en flanco derecho de 24 horas de evolución, sin síntomas acompañantes ni fiebre.
Al examen se destaca un abdomen blando, depresible, con dolor a la palpación superficial y profunda del flanco derecho. Los exámenes de laboratorio sin alteraciones. La ecografía abdominal descartó elementos patológicos.
Ante la persistencia del dolor se decidió complementar los estudios con tomografía computarizada de abdomen con y sin contraste intravenoso (figuras 1 y 2) donde se aprecia infarto del omento, para lo que se inicia tratamiento médico conservador.

Figura 1. Tomografía de abdomen con contraste en fase venosa, corte axial, donde se observa a nivel de flanco derecho una alteración en la densidad del epiplón mayor, bien delimitada por un halo hiperdenso (flecha). Contacta hacia atrás con el colon ascendente, el cual presenta paredes discretamente engrosadas, de aspecto inflamatorio, desproporcionadamente menor a la alteración del epiplón (punta de flecha). Fuente: fotografías tomadas por los autores.

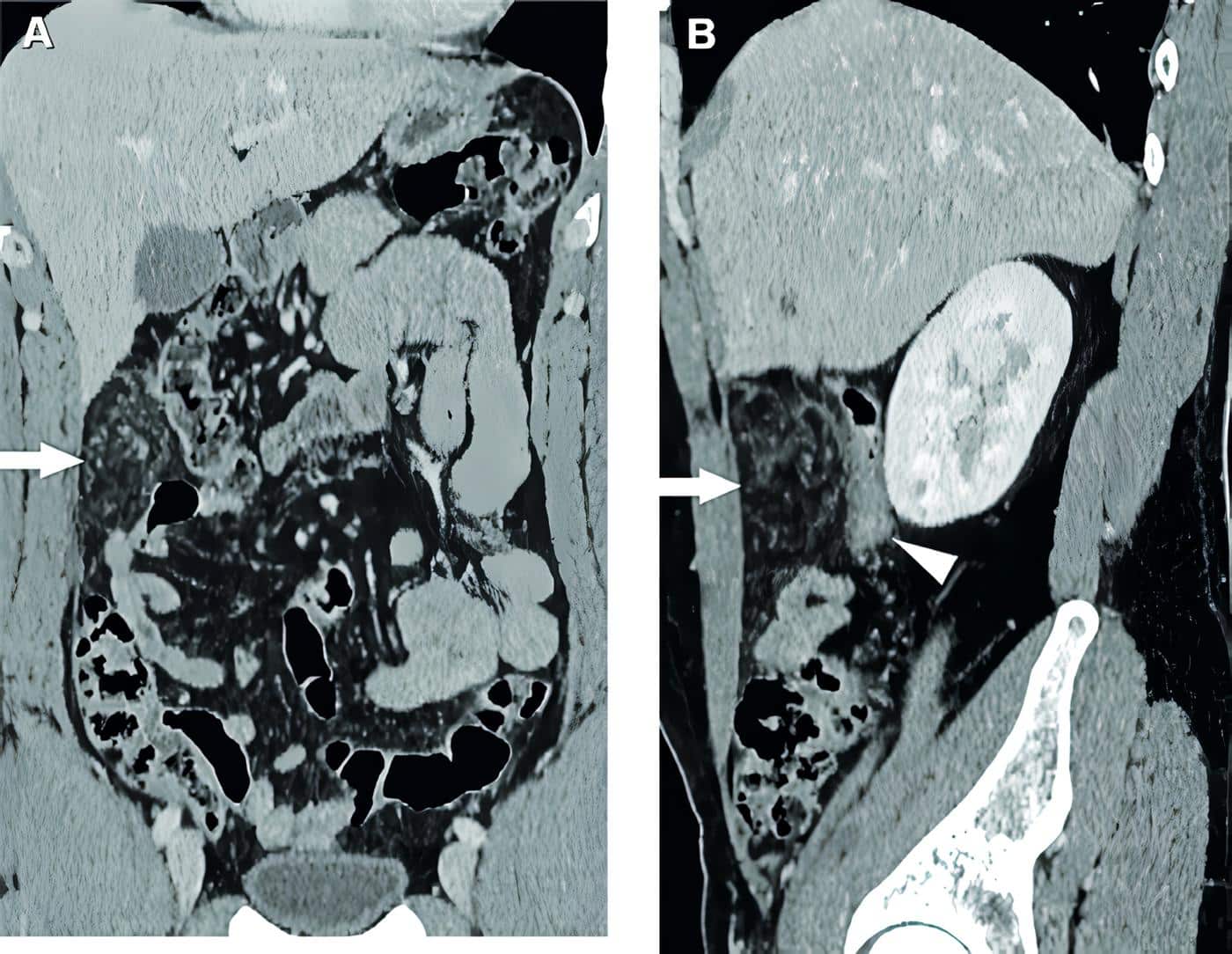
Figura 2. Rreconstrucción en plano coronal (A) y plano sagital (B). Alteración bien circunscripta en el epiplón mayor a nivel de flanco derecho (flechas), que determina ligero efecto de masa sobre el colon ascendente (punta de flecha). Fuente: fotografías tomadas por los autores.ABA

Figura 3. Hallazgo intraoperatorio en el que se observa el infarto del sector superior derecho del omento.
Fuente: fotografía tomada por los autores
Luego de 24 horas aumenta el dolor abdominal, por lo que se realiza laparoscopia exploradora. En el intraoperatorio, se confirma necrosis del sector superior derecho del epiplón mayor; se realiza la resección con ligasure® (figura 3).
Tuvo buena evolución posoperatoria, dando de alta a las 48 horas. La anatomía patológica confirmó el diagnóstico de infarto omental
Discusión – Infarto del Omento
El infarto del omento es responsable pocas veces de dolor abdominal1. La porción más afectada es la derecha, debido a su mayor tamaño y movilidad2.
El infarto se produce por dos mecanismos, la trombosis en estados de hipercoagulabilidad o las anomalías vasculares3.
La etiología puede ser primaria, sin patología subyacente, o secundaria a un proceso patológico que hace de punto de “anclaje” distal del omento (quistes, tumores, focos inflamatorios intrabdominales, heridas quirúrgicas o sacos herniarios con epiplón en su interior)2.
El diagnóstico clínico es difícil; se realiza en base a los estudios imagenológicos (como en nuestro paciente) o hallazgos intraoperatorios.
El tratamiento puede ser conservador (85 % de los casos)4, con excelentes resultados, o quirúrgico5, con una rápida resolución del cuadro doloroso, evitando complicaciones, como formación de colecciones y adherencias.
La cirugía laparoscópica es de utilidad en el diagnóstico y la terapéutica5.
Cumplimiento de normas éticas – Infarto del Omento
Consentimiento informado: El paciente declaró la aceptación de la utilización de las imágenes relativas a su caso clínico en el ámbito de la investigación, preservando su anonimato, y firmó el consentimiento informado estándar al respecto.
Conflictos de interés: Los autores declararon no tener conflictos de interés.
Financiación: los autores declaran no tener ninguna fuente de financiación externa.
Contribución de los autores
– Concepción y diseño: Patricia López-Penza y Javier Marcos.
– Adquisición de datos: Javier Marcos.
– Redacción del manuscrito: Patricia López-Penza y Javier Marcos.
– Revisión crítica: Patricia López Penza y Javier Marcos.
Referencias – Infarto del Omento
1 Criado-Martin I, Andrino-Díaz NF, López-Dóriga Bon-nardeaux P. Infarto de omento: una causa inusual de ab-domen agudo. Rev Esp Geriatr Gerontol. 2018;53:114-8. https://doi.org/10.1016/j.regg.2017.06.003
2 Zuluaga-Santamaría A, Grand-Vallejo V, Llamas-Otero R, Uribe-Gonzalez R. Infarto del omento mayor: a pro-pósito de un caso. Rev Colomb Radiol. 2018;29:4880-6.
3 Amo-Alonso R, De la Peña-Cadenato J, Loza-Vargas A, Santos-Santamarta F, Sánchez-Ocaña Hernández R, Arenal-Vera JJ. Infarto de epiplón mayor. Caso clínico. Rev Esp Enferm Dig. 2015;107:706-7. https://doi.org/10.17235/reed.2015.3754/2015
4 Medina-Gallardo NA, Curbelo-Peña Y, Gardenyes-Mar-tinez J, Stickar T, De Castro-Gutiérrez J, Hermoso-Bosch J, Vallverdú-Cartie H. Infarto de omento mayor. Presen-tación de dos casos con un tratamiento conservador. Acta Gastroenterol Latinoam. 2020;50:355-9.
5 Diab J, Badiani S, Berney CR. Diagnosis and manage-ment of adult omental infarction: 10-year case series. World J Surg. 2021;45:1734-41. https://doi.org/10.1007/s00268-021-06043-1
Autores – Infarto del Omento
1 Patricia Alejandra López-Penza, Médica, especialista en Cirugía general, Centro Hospitalario del Este, Maldonado, Uruguay
2 Marcos Javier, Médico, especialista en Imagenología, Centro Hospitalario del Este, Maldonado, Uruguay
Fecha de recibido: 26/11/2022 – Fecha de aceptación: 13/01/2022 – Publicación en línea: 23/01/2023
Correspondencia: Patricia López-Penza, Perseo, Maldonado, Uruguay. Teléfono: (+59) 899927826.
Dirección electrónica: patricialopezpenza@hotmail.com
Citar como: López-Penza PA, Javier M. Infarto del omento: tratamiento por laparoscopia. Rev Colomb Cir. 2023;38354-6. https://doi.org/10.30944/2011758.2294
Este es un artículo de acceso abierto bajo una Licencia Creative Commons – BY-NC-ND https://creativecommons.org/licenses/by-nc-nd/4.0/deed.es







