Teratoma Maduro que simula Quiste Mesotelial de Origen Retroperitoneal
Mature Teratoma Mimicking a Mesothelial cyst of Retroperitoneal Origin
Palabras clave: teratoma; teratoma maduro; tomografía computarizada; imagen por resonancia magnética nuclear; laparoscopía; patología.
Keywords: teratoma; mature teratoma; computed tomography; magnetic resonance imaging; laparoscopy; pathology.
Paciente femenina de 48 años que acude a valoración por dolor y sensación de masa de crecimiento progresivo en cuadrante inferior derecho del abdomen, con historia de un año de molestias con determinados ejercicios que involucran el uso del músculo psoas derecho.
Al examen físico se encuentra masa palpable en flanco derecho, con dolor a la palpación profunda, sin signos de irritación peritoneal.
Se realizó ecografía abdominal visualizándose masa hipoecogénica en fosa ilíaca derecha, de contornos bien definidos, inmediatamente anterior al músculo psoas derecho.
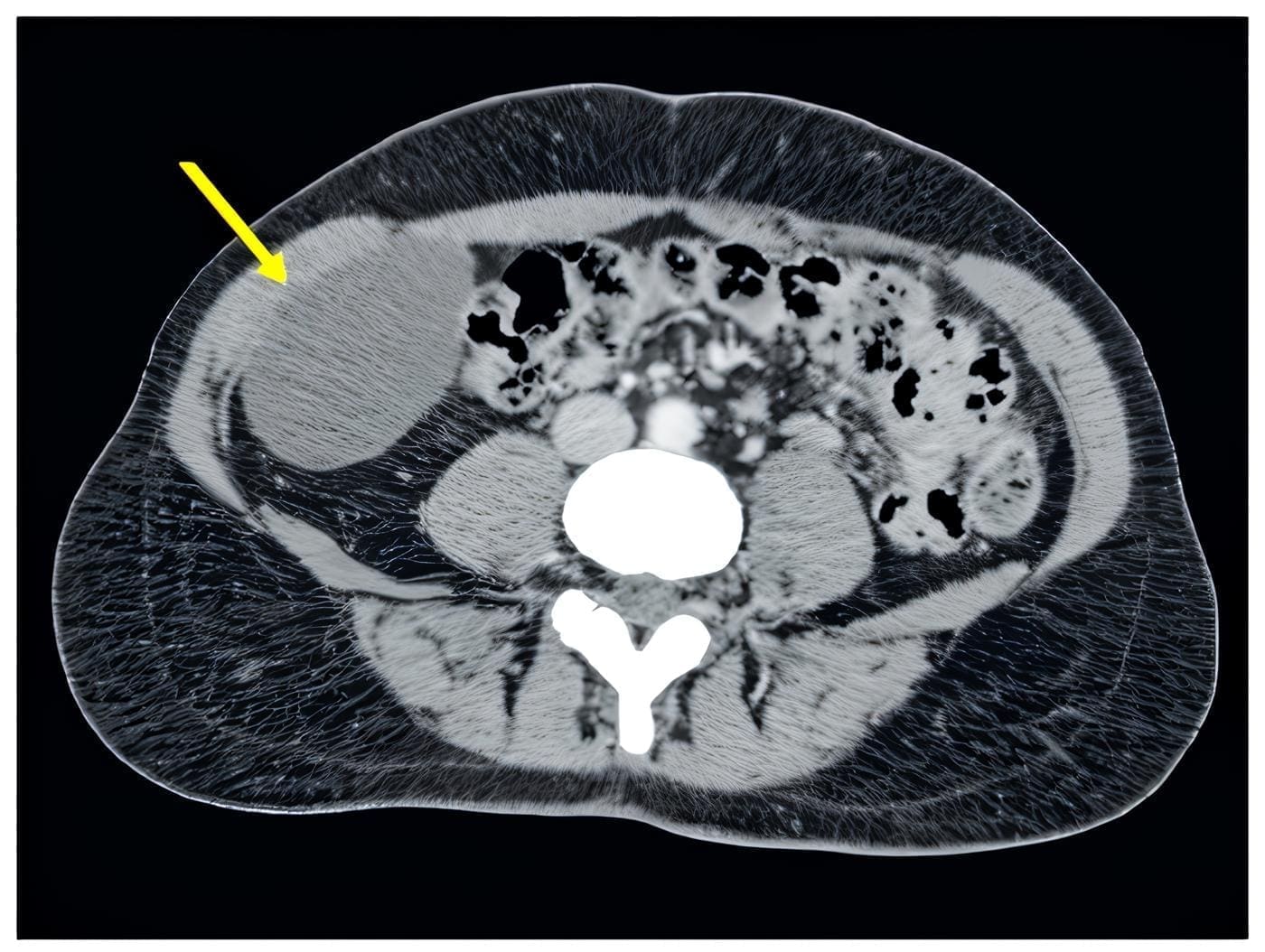
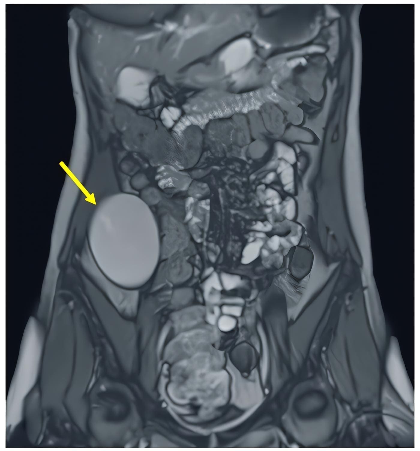
En la tomografía computarizada (figura 1) y en la resonancia magnética (figura 2) de abdomen se observó una lesión de densidad quística, de localización aparentemente extracompartimental en íntima relación con músculo transverso del abdomen derecho, que desplazaba el colon ascendente.

Figura 1. Tomografía computarizada de abdomen donde se aprecia una lesión quística (flecha amarilla), de localización aparentemente extracompartimental, con medidas de 55 x 65 x 85 mm, en íntima relación con el músculo transverso del abdomen derecho, que desplaza el colon ascendente. Fuente: los autores.

Figura 2. Resonancia magnética nuclear del abdomen con contraste (enteroRMN). En flanco y fosa iliaca derechos se identifica una formación quística unilocular (flecha amarilla) retroperitoneal (76 mm craneocaudal, 66 x 42 mm), sin componente infiltrativo, que determina discreto desplazamiento medial del colon ascendente en su tercio medio, localizándose inferior y alejada del riñón ipsilateral. Fuente: los autores.
Se llevó a intervención quirúrgica con abordaje laparoscópico, se visualizó tumoración a tensión (figura 3), con contenido gelatinoso y apariencia mucoide, espeso de color amarillo, de las dimensiones referenciadas en las imágenes diagnósticas, ubicada en la pared abdominal de fosa ilíaca y flanco derechos, entre el músculo transverso y el peritoneo parietal anterior.

Figura 3. Abordaje laparoscópico donde se observa la tumoración quística a tensión, con contenido gelatinoso de apariencia mucoide espeso, amarillento, ubicada en pared abdominal de flanco y fosa ilíaca derechos, entre el músculo transverso y el peritoneo parietal anterior. Fuente: fotografía tomada en cirugía por los autores.
Se realizó exéresis de la pieza (figura 4) y el reporte de anatomía patológica informó hallazgos patológicos compatibles con teratoma maduro. La paciente tuvo una evolución favorable y fue dada de alta médica a las 24 horas de la intervención, sin complicaciones.

Figura 4. Aspecto macroscópico de pieza quirúrgica extirpada. Teratoma maduro.
Fuente: fotografía de la pieza quirúrgica tomada por los autores.
Cumplimiento de normas éticas – Teratoma Maduro que simula Quiste Mesotelial de Origen Retroperitoneal
Consentimiento informado: Esta publicación cuenta con el consentimiento de la paciente.
Declaración de conflicto de intereses: los autores declararon que no tienen conflicto de intereses.
Fuentes de financiación: Recursos propios de los autores.
Contribución de los autores
– Concepción y diseño del estudio: José Ceballos- Esparragón, Patrizio Petrone.
– Adquisición de datos: José Ceballos-Esparragón, Rolando M. Camarillo, Antonio Cabrero-Acosta.
– Análisis e interpretación de datos: José Ceballos- Esparragón, Rolando M. Camarillo, Antonio Cabrero- Acosta, Patrizio Petrone.
– Redacción del manuscrito: Patrizio Petrone, José Ceballos-Esparragón.
– Revisión crítica: José Ceballos-Esparragón, Patrizio Petrone.
Autores – Teratoma Maduro que simula Quiste Mesotelial de Origen Retroperitoneal
1 José J. Ceballos-Esparragón, Servicio de Cirugía general y del Aparato digestivo, Hospital Vithas Las Palmas, Las Palmas de Gran Canaria, España.
2 Rolando M. Camarillo, Servicio de Cirugía general y del Aparato digestivo, Hospital Vithas Las Palmas, Las Palmas de Gran Canaria, España.
3 Antonio Cabrero-Acosta, Servicio de Radiodiagnóstico, Hospital Vithas Las Palmas, Las Palmas de Gran Canaria, España.
4 Patrizio Petrone, Departament of Surgery. NYU Langone Hospital—Long Island, NYU Long Island School of Medicine Mineola, New York, USA.
Fecha de recibido: 1/07/2022 – Fecha de aceptación: 26/09/2022 – Publicación en línea: 14/10/2022
Correspondencia: Patrizio Petrone, MD, PhD, FACS. 222 Station Plaza N., Suite 300, Mineola, New York 11501 – USA
Teléfono: +1 (516) 663-9571. Dirección electrónica: patrizio.petrone@gmail.com; patrizio.petrone@nyulangone.org
Citar como: Ceballos-Esparragón JJ, Camarillo RM, Cabrero-Acosta A, Petrone P. Teratoma maduro que simula quiste mesotelial de origen retroperitoneal. Rev Colomb Cir. 2023;38:174-5. https://doi.org/10.30944/20117582.2217
Este es un artículo de acceso abierto bajo una Licencia Creative Commons – BY-NC-ND https://creativecommons.org/licenses/by-nc-nd/4.0/deed.es






