Preescolar con Divertículo de Zenker y Hallazgo Intraoperatorio de Cuerpo Extraño Esofágico
Preschool-Age Child with Zenker’s Diverticulum and Intraoperative Finding of an Esophageal Foreign Body
Resumen
Introducción. El divertículo de Zenker es una evaginación sacular ciega que puede presentarse a nivel faringoesofágico. No se conoce exactamente su incidencia en la edad pediátrica, constituyendo una patología muy infrecuente. La sintomatología es inespecífica, lo que dificulta el diagnóstico precoz y determina un mayor riesgo de complicaciones asociadas.
Caso clínico. Paciente preescolar femenina con cuadro recurrente de emesis con deshidratación, posteriormente asociado a disfagia, a quien se le diagnosticó un divertículo de Zenker. Se realizó tratamiento quirúrgico con hallazgo intraoperatorio de dilatación esofágica, un área de estenosis secundaria al hallazgo incidental de un cuerpo extraño y divertículo de Zenker en la región lateral del esófago dilatado.
Discusión. Esta patología es extremadamente rara, pero se debe tener en cuenta dentro de los diagnósticos diferenciales en pacientes con sintomatología faringo-esofágica.
Conclusión. Se presenta una preescolar sin antecedente de procedimientos esofágicos o malformaciones congénitas asociadas con diagnóstico de un divertículo de Zenker y dilatación esofágica por un cuerpo extraño, tratada quirúrgicamente de forma exitosa.
Palabras clave: divertículo de Zenker; divertículo; faringe; esofágo; estenosis esofágica; cuerpo extraño.
Abstract
Introduction. Zenker’s diverticulum is a blind saccular evagination that can present at the pharyngoesophageal level. Its incidence in pediatric age is not exactly known, constituting a very infrequent pathology. The symptoms are nonspecific, which makes early diagnosis difficult and determines a higher risk of associated complications.
Clinical case. Female preschool patient with recurrent dehydration due to emesis, later associated with dysphagia, who was diagnosed with Zenker’s diverticulum. Surgical treatment was performed with intraoperative finding of esophageal dilation, an area of stenosis secondary to the incidental finding of a foreign body, and a Zenker’s diverticulum in the lateral region of the dilated esophagus.
Discussion. This pathology is extremely rare, but it should be taken into account within the differential diagnoses in patients with pharyngo-esophageal symptoms.
Conclusion: We present a preschool female patient with no history of esophageal procedures or congenital malformations associated with a diagnosis of Zenker’s diverticulum and esophageal dilation due to a foreign body, successfully treated surgically.
Keywords: Zenker’s diverticulum; diverticulum; pharynx; esophagus; esophageal stenosis; foreing body.
Introducción – Preescolar con Divertículo de Zenker
Según la localización, los divertículos esofágicos se clasifican en superior (faringoesofágico, Killion-Jamiesson o de Zenker), medio o inferior (epifrénico). El divertículo de Zenker fue descrito por los patólogos alemanes Friedrich Albert Von Zenker y Hugo Wilhelm Von Ziemssen en 1877, aunque la primera observación del mismo fue realizada por Abraham Ludlow en 1679.
Consiste en una evaginación sacular ciega que puede presentarse a cualquier nivel del esófago, siendo más común en el segmento proximal, por lo que se considera un divertículo crico-faríngeo o faringo-esofágico 1,2.
El divertículo de Zenker corresponde a una condición rara y su tasa de incidencia en Estados Unidos es de 0,01 a 0,11 % 1-4. En series de casos en Colombia, se ha reportado una prevalencia de 0,13 %, muy similar a lo descrito en la literatura mundial 3. Su etiología puede ser congénita, que involucra todas las capas de la pared esofágica, o adquirida, que compromete las capas mucosas y submucosas a través de un defecto en la pared muscular como una hernia 4.
Las manifestaciones clínicas son inespecíficas lo cual hace más difícil el diagnóstico precoz y puede ocasionar un mayor riesgo de complicaciones asociadas.
Su sintomatología puede variar entre disfagia, vómito, regurgitación y, en ocasiones, aumento de volumen en la parte lateral del cuello 5. Se presenta el caso de una paciente preescolar femenina con esta patología, describiendo su cuadro clínico, manejo quirúrgico y la revisión de la literatura.
Caso clínico – Preescolar con Divertículo de Zenker
Paciente femenina de dos años de edad, sin antecedentes de importancia, con clínica de tres meses de evolución caracterizada por emesis postprandial persistente.
Había sido hospitalizada en cuatro ocasiones por presentar deshidratación moderada secundaria a episodios eméticos recurrentes, realizándose estudios paraclínicos sin encontrar alteraciones importantes, por lo que se consideró de origen viral y transitorio.
Posteriormente por la persistencia de la sintomatología, se realizó un esofagograma que identificó un divertículo faringoesofágico izquierdo, con una extensión de tres cm desde T1 a T2-T3 (Figura 1), con paso de medio de contraste al esófago.
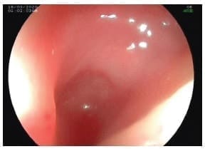
La endoscopia de vías digestivas altas confirmó el diagnóstico a 12 cm de la arcada dental, encontrando un divertículo de 2,5 cm de largo en la cara lateral izquierda, sin alimentos en su interior y sin cambios en la mucosa (Figura 2).

Figura 1. Esofagograma en el que se observa un divertículo faringoesofágico a nivel de T1, con paso de medio de contraste al esófago y hacia el divertículo a la izquierda (flecha), con una extensión de 3 cm desde T1 a T2-T3.

Figura 2. Endoscopia de vías digestivas altas que muestra un divertículo de 2,5 cm de largo en la cara lateral izquierda, sin alimentos en su interior y sin cambios en la mucosa.
La paciente fue remitida a Cirugía Pediátrica y por la presencia de síntomas respiratorios se decidió programar manejo quirúrgico ambulatorio prioritario, pero por la alerta sanitaria debida a la pandemia por COVID-19 el procedimiento se difirió.
Debido a un nuevo episodio de exacerbación de los síntomas, fue llevada nuevamente al servicio de urgencias consultando por emesis, deshidratación y disfagia inicialmente para sólidos que progresó a solo licuados, al momento de la consulta con rechazo total a la vía oral. Se encontró además impacto en la curva de peso y estatura con desnutrición aguda.
Se decidió realizar tratamiento quirúrgico de urgencia encontrando dilatación esofágica severa, con un área de estenosis secundaria al hallazgo incidental de un cuerpo extraño que correspondía a una uña artificial (Figura 3) y el divertículo esofágico en la región lateral del esófago dilatado, se practicó resección y anastomosis del esófago en la zona de estrechez por cuerpo extraño y diverticulectomía esofágica.

Figura 3. Hallazgo intraoperatorio de un cuerpo extraño (uña artificial).
El cuidado postoperatorio se realizó en la Unidad de Cuidados Intensivos presentando infección del sitio operatorio, absceso en el lado izquierdo del cuello y mediastinitis.
Completó 14 días de antibioticoterapia y 28 días sin vía oral, después de los cuales se probó tolerancia a la vía oral con éxito, dándose de alta aproximadamente un mes después del procedimiento. Se continuaron controles multidisciplinario ambulatorios permaneciendo asintomática.
El reporte de patología describió la pared del divertículo tapizada por epitelio escamoso estratificado sin atipia y sustentada por un estroma congestivo con focos de hemorragia, sin hallazgos de malignidad, confirmando el diagnóstico de divertículo de Zenker.
Discusión – Preescolar con Divertículo de Zenker
El divertículo de Zenker corresponde a una protrusión de la mucosa a través de una zona de debilidad de la pared posterior de la faringe, conocida como el triángulo de Killian, localizado entre el músculo constrictor inferior y el músculo cricofaríngeo 6,7.
Los divertículos esofágicos son infrecuentes, encontrándose en aproximadamente el 5 % de los estudios por disfagia y se observan con mayor frecuencia en adultos mayores, especialmente entre la séptima y novena décadas de la vida.
Son muy raros en personas menores de 40 años y ocurren con mayor frecuencia en hombres que en mujeres, con una relación 1,5:1 7,8.
Los divertículos del esófago en niños son sumamente raros y se desconoce la incidencia en este grupo de edad.
El primer caso de divertículo esofágico en un paciente pediátrico fue descrito en 1926 por Jackson y Shallow, y el segundo en 1957 por Nelson 6,9.
Latinoamérica, el primer caso fue descrito en México por Belio-Castillo y colegas en 1990 1, en nuestro país no se encontraron reportes de esta patología en pacientes pediátricos, por lo que se considera que este es el primer caso descrito en nuestro medio.
En cuanto a la fisiopatología y el origen de este divertículo, la teoría más aceptada describe anomalías motoras de la deglución y falta de coordinación de la contracción de los músculos faríngeos y el esfínter esofágico inferior, lo que ocasiona un aumento de la presión sobre la pared faríngea posterior, produciendo una herniación a nivel de triángulo de Killian a través de su punto más débil 7,8.
En cuanto a los pacientes pediátricos, se plantea también como probable teoría que se trata de divertículos mucosos embrionarios persistentes o pequeñas duplicaciones ciegas que subsecuentemente se agrandan como resultado de presiones de deglución, intraluminales y como resultado de la retención de alimentos 1,6,9.
La mayoría de los casos reportados en la población pediátrica están relacionados con anomalías anatómicas del esófago o con lesiones iatrogénicas en el periodo posnatal temprano 9.
La paciente presentada no tenía antecedente de procedimientos esofágicos u otras malformaciones congénitas asociadas.
El divertículo de Zenker se caracteriza clínicamente por alteraciones digestivas, como disfagia, salivación excesiva, halitosis, regurgitación, vómito, sensación de cuerpo extraño en la garganta y, en ocasiones, aumento de volumen en la parte lateral del cuello 5.
En algunos pacientes y dependiendo del tamaño del divertículo, se puede observar el “Signo de Boyce”, que consiste en la aparición de ruidos hidroaéreos con el desplazamiento lateral de la laringe 2,4.
Además, debido a aspiraciones frecuentes de alimento, pueden presentarse infecciones respiratorias recurrentes 6. En nuestra paciente el síntoma predominante fue la emesis postprandial persistente, posteriormente asociada a disfagia progresiva, que comprometieron el estado nutricional.
El diagnóstico debe sospecharse por las manifestaciones clínicas y confirmarse mediante endoscopia y estudios imagenológicos 6. El método de elección es la radiografía con un medio de contraste oral con imágenes dinámicas mediante fluoroscopia.
En estas se observa una imagen en forma de saco que sobrepasa la línea media posterior cerca de la unión faringo-esofágica. La mejor proyección para su evaluación es la lateral inmediatamente después de la deglución, usualmente a nivel de C5 – C6 4-7.
El estudio endoscópico es muy importante ya que confirma el diagnóstico y permite observar la morfología anatómica intraluminal del divertículo, pudiéndose observar el grosor del tabique, medir la profundidad del saco y evaluar si existen datos de inflamación de la mucosa, hemorragia o úlceras, las cuales deben recibir tratamiento médico previamente al abordaje quirúrgico 2,5,6.
Naprawa y colaboradores describieron el hallazgo de un diente de prótesis dental dentro de la luz del divertículo en un paciente de 73 años 8.
El divertículo puede causar el atrapamiento de cuerpos extraños, formación de bezoares, parálisis de las cuerdas vocales o formación de fístulas traqueoesofágicas o hacia el ligamento prevertebral con mielitis, por lo que es de gran importancia la realización de la endoscopia 8,9.
La retención crónica de alimento en el divertículo puede causar crecimiento lento y progresivo del mismo, generando además inflamación esofágica crónica, que al evolucionar a la cicatrización puede originar estenosis del esófago 6,8.
En el caso de nuestra paciente, se halló de manera incidental durante el procedimiento quirúrgico un cuerpo extraño que no se encontraba dentro del divertículo, pero sí adyacente a este, pudiendo ser la causa de un área de estenosis a dicho nivel, ya que, por su localización, ausencia de antecedentes de ingestión de cáusticos y el cuadro clínico, no hay datos que apoyen que la estenosis fuera primaria del esófago.
El tratamiento del divertículo de Zenker es quirúrgico, mediante abordaje abierto o endoscópico, según las características anatómicas del mismo y el estado general del paciente 6.
La diverticulectomía por vía abierta ha sido reportada en varios estudios con una tasa de éxito del 80–100 %.
Usualmente se prefiere el abordaje por cervicotomía izquierda para lograr una adecuada visualización del esófago y del divertículo 2.
En los procedimientos pediátricos se requiere conocer perfectamente la anatomía y de esta manera decidir el abordaje quirúrgico abierto o endoscópico, requiriendo un equipo y personal capacitado.
Las complicaciones más frecuentes asociadas a la cirugía son mediastinitis, lesión del nervio recurrente con parálisis de cuerda vocal, fístula, estenosis esofágica y recurrencia o persistencia del saco 2,6.
Conclusión – Preescolar con Divertículo de Zenker
Los casos de divertículo faringo-esofágico de Zenker en la edad pediátrica son muy raros y usualmente se asocian a anomalías anatómicas o manipulación esofágica. En la literatura existen pocos reportes en niños desde recién nacidos hasta los 10 años, consideramos que este es el primer caso publicado en nuestro país.
Esta patología debe tenerse en cuenta dentro de los diagnósticos diferenciales en pacientes con sintomatología faringo-esofágica.
Cumplimiento de normas éticas
Consentimiento informado: para la publicación de este caso, se obtuvo el consentimiento informado por parte del representante legal de la paciente y aprobación por parte del Comité de Ética de la institución.
Conflictos de interés: los autores declaran no tener conflictos de interés en la elaboración del presente artículo.
Fuente de financiación: este trabajo fue financiado por los autores.
Contribución de los autores
Concepción y diseño del estudio: Adriana Marcela Arenas-Rojas, Angélica María Pineda-Parra, Jenifer Walteros-Cárdenas, Luis Ignacio Villamizar Durán.
Adquisición de datos: Adriana Marcela Arenas-Rojas, Angélica María Pineda-Parra, Jenifer Walteros-Cárdenas.
Análisis e interpretación de datos: Adriana Marcela Arenas-Rojas, Angélica María Pineda-Parra, Jenifer Walteros-Cárdenas.
Redacción del manuscrito: Adriana Marcela Arenas-Rojas, Angélica María Pineda-Parra, Jenifer Walteros-Cárdenas.
Revisión crítica: Adriana Marcela Arenas-Rojas, Angélica María Pineda-Parra, Jenifer Walteros-Cárdenas, Luis Ignacio Villamizar Durán.
Referencias – Preescolar con Divertículo de Zenker
1. Belio-Castillo C, Bracho-Blanchet E, Blanco-Rodriguez G. Divertículo esofágico congénito. Bol Med Hosp Infant Mex. 1990;47:586-8.
2. Nehring P, Krasnodębski I. Zenker’s diverticulum: aetiopathogenesis, symptoms and diagnosis. Comparison of operative methods. Prz Gastroenterol. 2013. 8:284-9. https://doi.org/10.5114/pg.2013.38729
3. Gómez MA, Ardila SF, Arbeláez V. Experiencia en el manejo del divertículo de Zenker: Una serie de 18 casos. Rev Col Gastroenterol. 2011;26:100-5.
4. Cebeci B, Babayiğit A, Özaydin S, BüyUkkale G, Çetinkaya M. Congenital esophageal diverticulum in a very low birth weight infant: case report and revie of literature. Turk J Pediatr. 2020;62:520-4. https://doi.org/10.24953/turkjped.2020.03.026
5. Bagheri R, Maddah G, Mashhadi MR, Haghi SZ, Tavassoli A, Ghamari MJ, et al. Esophageal diverticula: analysis of 25 cases. Asian Cardiovasc Thorac Ann. 2014. 22:583-7. https://doi.org/10.1177/0218492313515251
6. Galindo-Hernández CA, Jiménez-y-Felipe JH, Herrera WE. Lactante con divertículo de Zenker. Tratamiento quirúrgico. Rev Mex Cir Ped. 2015;19:111-8.
7. Whittle C, Schiappacasse G, Leal E, Franz G, Hasson D, Maldonado I, et al. Imágenes en divertículos del tubo digestivo: Localizaciones infrecuentes. Serie de casos. Rev Chil Radiol. 2018;24:67-78. http://dx.doi.org/10.4067/S0717-93082018000200067
8. Naprawa G, Bialkowska J. Foreing body in a Zenker’s diverticulum (looking for the lost dentures). Prz Gastroenterol. 2014;9:254-8. https://doi.org/10.5114/pg.2014.45109
9. Lindholm EB, Hansbourgh F, Upp JR, Cilloniz R, Lopoo J. Congenital esophageal diverticulum – A case report and review of literature. J Pediatr Surg. 2013;48:665-8. http://dx.doi.org/10.1016/j.jpedsurg.2012.12.037
Autores – Preescolar con Divertículo de Zenker
1 Adriana Marcela Arenas-Rojas, Médica, Servicio de Cirugía Pediátrica, Clínica Materno-Infantil San Luis, Bucaramanga, Colombia.
2 Angélica María Pineda-Parra, Jenifer Walteros-Cárdenas, Médica, Unidad de Cuidado Intensivo Pediátrico, Clínica Materno-Infantil San Luis, Bucaramanga, Colombia.
3 Luis Ignacio Villamizar-Durán, Médico, especialista en Pediatría y Cirugía Pediátrica, Servicio de Cirugía Pediátrica, Clínica Materno-Infantil San Luis, Bucaramanga, Colombia.
Fecha de recibido: 02/02/2021 – Fecha de aceptación: 05/05/2021 – Publicación en línea: 04/02/2022
Autor de correspondencia: Adriana Marcela Arenas-Rojas, Carrera 24 # 52 – 50, Bali Condominio, Apto 406, Bucaramanga, Colombia.
Teléfono: +57 3178866026. Correo electrónico: adriarenasr@gmail.com
Citar como: Arenas-Rojas AM, Pineda-Parra AM, Walteros-Cárdenas J, Villamizar-Durán LI. Preescolar con divertículo de Zenker y hallazgo intraoperatorio de cuerpo extraño esofágico. Rev Colomb Cir. 2022;37:312-7. https://doi.org/10.30944/20117582.887
Este es un artículo de acceso abierto bajo una Licencia Creative Commons – BY-NC-ND https://creativecommons.org/licenses/by-nc-nd/4.0/deed.es





