Reporte de Dos Casos Clínicos con Manejo Endovascular
Aorto-Esophagic Perforation, Clinical and Imaging Diagnosis: Report of Two Cases Managed by Endovascular Technique
Elkin Benítez1, Martha Alfonso1, María Camila Lesmes2, Vladimir Barón3, Óscar Hernández 4, Guillermo Oliveros3
1 Médico, residente de Cirugía General, Universidad del Rosario, Bogotá, D.C., Colombia
2 Médica general, Universidad del Rosario, Bogotá, D.C., Colombia
3 Médico, cirujano general y cirujano vascular, Hospital Universitario Mayor, Bogotá D.C., Colombia
4 Médico, cirujano general y cirujano vascular, Hospital Universitario Mayor, Bogotá, D.C., Colombia
Resumen
La perforación concomitante de esófago y aorta se puede presentar después de la ingestión de cuerpos extraños.
El reparo aórtico por técnica endovascular, a pesar de ser reciente, es un tratamiento de primera línea por tratarse de un abordaje poco invasivo, rápido y que permite la estabilización hemodinámica, en comparación con la reparación abierta tradicional.
Se presentan dos casos de perforación aórtica, en los cuales se llevó a cabo el reparo endovascular con éxito.
El primer paciente sufrió una ruptura contenida de la aorta torácica, secundaria a la ingestión de un cuerpo extraño (espina de pescado), y presentó mediastinitis. El segundo paciente sufrió una ruptura aórtica en el arco distal a la arteria subclavia, la cual se corrigió por vía endovascular, pero desarrolló una fístula aorto-esofágica y, finalmente, murió.
Palabras clave: aorta torácica; rotura de la aorta; perforación del esófago; aneurisma falso; cuerpo extraño; diagnóstico; procedimientos endovasculares.
Abstract
Concomitant esophageal and aortic perforation has been described in the literature as major complications of foreign body ingestion. Although it has not been widely studied, aortic endovascular repair is the first line of treatment, for it is less invasive, faster and allows early patient stabilization, as compared with the traditional open repair.
We present two cases managed successfully with endovascular repair of the aortic perforation. The first case had a contained rupture of the thoracic aorta caused by the ingestion of a foreign body (fish bone) and developed mediastinitis. The second case had an aortic rupture in the arc distal to the subclavian artery, managed with endovascular but he developed an aortoesophageal fistula which was finally lethal.
Key words: aorta, thoracic; aortic rupture; esophageal perforation; aneurysm, false; foreign-body; diagnosis; endovascular.
Introducción
La perforación aórtica es una entidad quirúrgica infrecuente que puede poner en riesgo la
vida del paciente, razón por la cual debe ser diagnosticada rápidamente. En muchos casos
se presenta como característica típica el dolor torácico, el cual es el signo clínico cardinal del inicio de numerosas enfermedades, algunas con desenlaces fatales; en algunos casos, esto confunde al médico tratante que se enfrenta a este tipo de casos 1. Otros síntomas asociados, como la disfagia, la disnea y la odinofagia, pueden orientar el diagnóstico 2.
La importancia de reconocer la perforación aórtica es hacer un diagnóstico y dar un tratamiento oportuno para evitar complicaciones durante el manejo de esta situación; algunas de las más conocidas son la ulceración de la mucosa esofágica y la inflamación, los abscesos pulmonares, la mediastinitis, la formación de fístulas y la sepsis 3.
Cuando la anamnesis haga sospechar una enfermedad aórtica torácica, se debe practicar un examen clínico completo y hacer uso de las pruebas de laboratorio disponibles. El paciente debe ser sometido a cirugía de forma inmediata, porque la complicación más temida, la fístula aorto-esofágica con hemorragia masiva, es la primera causa de muerte temprana 1.
La perforación aórtica secundaria a cuerpo extraño es poco frecuente. En el presente artículo se reportan dos casos de perforación esofágica y aórtica. Uno de ellos se identificó como causa un cuerpo extraño (espina de pescado) sin formación de fístula aorto-esofágica; en el otro, a pesar de los estudios disponibles, no fue posible descubrir la causa de la lesión aorto-esofágica.
En ambos casos, los pacientes recibieron manejo endovascular temprano.
Lea También: Perforación Esofágica por Cuerpo Extraño, Discusión
Caso clínico 1
Se trata de una paciente de sexo femenino, de 54 años de edad, que ingresó remitida por un cuadro clínico de dolor torácico y epigástrico de nueve días de evolución, irradiado al dorso y de intensidad 10/10. Recibió manejo en otra institución por dispepsia y se le estudió con endoscopia de vías digestivas, cuyos resultados estuvieron dentro de límites normales.
Por la persistencia del dolor, se practicó una radiografía de tórax en la que se observó ensanchamiento del mediastino, y una angiotomografía cuyos resultados sugirieron enfermedad aórtica, razón por la cual la paciente fue remitida a nuestra institución. Ingresó con taquicardia, estabilidad hemodinámica y sin otros hallazgos en el examen físico.
Como antecedentes, refirió diabetes mellitus de tipo 2 en tratamiento con medicina alternativa, dos cesáreas y alergia a la penicilina; en la revisión por sistemas, negó haber presentado sangrado digestivo alto o bajo.
En la revisión de la angiotomografía, se encontraron signos sugestivos de ruptura contenida
de la pared lateral derecha de la aorta torácica a nivel de la carina, con engrosamiento de las paredes del esófago proximal y pequeño derrame pleural libre bilateral (figura 1).
 Fue sometida a una corrección endovascular de ruptura aórtica torácica, con endoprótesis recubierta (Medtronic Valiant VAMF2222C 150TE™), la cual se desplegó respetando el orificio de la arteria subclavia izquierda y se logró el cubrimiento exitoso del sitio de ruptura, sin evidencia posterior de extravasación con medio de contraste (figura 2).
Fue sometida a una corrección endovascular de ruptura aórtica torácica, con endoprótesis recubierta (Medtronic Valiant VAMF2222C 150TE™), la cual se desplegó respetando el orificio de la arteria subclavia izquierda y se logró el cubrimiento exitoso del sitio de ruptura, sin evidencia posterior de extravasación con medio de contraste (figura 2).
 En el segundo día posoperatorio, persistían la taquicardia y la disnea, sin causa aparente. En un nuevo interrogatorio, la paciente manifestó la ingestión accidental de una espina de pescado con sensación posterior de cuerpo extraño, 12 días antes de iniciarse los síntomas.
En el segundo día posoperatorio, persistían la taquicardia y la disnea, sin causa aparente. En un nuevo interrogatorio, la paciente manifestó la ingestión accidental de una espina de pescado con sensación posterior de cuerpo extraño, 12 días antes de iniciarse los síntomas.
Angiotomografía Torácica con doble contraste
Se decidió practicar una nueva angiotomografía torácica con doble contraste, oral y endovenoso, en la que se observó la endoprótesis en la aorta descendente, extravasación del medio de contaste oral por la pared posterior del esófago, neumomediastino y derrame pleural bilateral, lo que confirmaba una perforación esofágica (figura 3).
 Con estos hallazgos, se inició el tratamiento con antibiótico de amplio espectro y se hizo una nueva endoscopia de vías digestivas altas.
Con estos hallazgos, se inició el tratamiento con antibiótico de amplio espectro y se hizo una nueva endoscopia de vías digestivas altas.
Esta demostró una solución de continuidad en la pared posterior del esófago medio, con foco de necrosis transmural de 2,5 cm2, a 29 cm de la arcada dental. Se implantó una endoprótesis recubierta de 120 x 18 mm, en posición adecuada, con su borde proximal a 25 cm de la arcada dentaria (figura 4).
 Inmediatamente después del implante, fue intervenida para drenar el abundante líquido
Inmediatamente después del implante, fue intervenida para drenar el abundante líquido
seropurulento del mediastino mediante videotoracoscopia.
Se observó la ruptura esofágica posterior de 5 cm, que comprometía el 50 % de la circunferencia, con bordes necróticos y pér dida de tejido, y desplazamiento de 2 cm de la endoprótesis autoexpansible.
Con estos hallazgos, se decidió practicar una toracotomía antero-lateral derecha para desbridar los bordes y reconstruir la pared esofágica con dos colgajos musculares pediculados intercostales (séptimo y octavo) ya que, por el tamaño del defecto y el grado de infección, era imposible la reparación primaria.
Durante su estadía en la unidad de cuidados intensivos, recibió manejo multidisciplinario. En el periodo posoperatorio, se generó una fístula esófago-cutánea organizada hacia la toracostomía derecha, lo cual se documentó en un esofagograma de control.
Durante los 83 días de hospitalización, recibió nutrición entérica por yeyunostomía, se le reacomodó la endoprótesis esofágica y recibió antibioticoterapia contra un microorganismo
multirresistente.
Endoprótesis Esofágica
Después de su egreso, se cambió la endoprótesis esofágica a una plástica totalmente recubierta (Polyflex Esophageal Stent™), con la cual permaneció por dos meses; toleró la dieta corriente y, en la endoscopia de control, la mucosa esofágica era normal. Seis meses después del egreso, se documentó el cierre completo de la fístula en el esofagograma de control (figura 5, A y B).
 Siete meses después de la intervención quirúrgica, ingresó nuevamente por dolor en el epigastrio y el hipocondrio izquierdo, tos, vómito y un episodio de hematemesis. En la tomografía de abdomen se observaron infartos esplénicos y renales bilaterales; en la tomografía de tórax, la endoprótesis estaba en posición, no había fugas, y había leve dilatación del esófago y hallazgos sugestivos de hidroneumotórax tabicado residual.
Siete meses después de la intervención quirúrgica, ingresó nuevamente por dolor en el epigastrio y el hipocondrio izquierdo, tos, vómito y un episodio de hematemesis. En la tomografía de abdomen se observaron infartos esplénicos y renales bilaterales; en la tomografía de tórax, la endoprótesis estaba en posición, no había fugas, y había leve dilatación del esófago y hallazgos sugestivos de hidroneumotórax tabicado residual.
Se consideró la posibilidad de embolia séptica secundaria a la endoprótesis aórtica, por lo cual se retiró. Durante la cirugía, se halló infección de la prótesis endovascular con aortitis grave y trombos sépticos proximales en la luz. Al retirar la prótesis, se presentó sangrado masivo y la paciente falleció durante la intervención quirúrgica.
Caso clínico 2
Se trata de una mujer de 79 años de edad, que ingresó al servicio de urgencias por presentar dolor en la región lumbar irradiado al tórax, que se exacerbaba con la actividad, y tos con expectoración hialina, de cinco días de evolución.
Como antecedentes refirió sufrir de hipertensión arterial sistémica, fractura de L2, falla cardiaca y haber sido hospitalizada un mes antes por una neumonía adquirida en la comunidad; recibía tratamiento farmacológico para enfermedades crónicas.
Al ingresar, se encontraba taquicárdica, normotensa, con desaturación de oxígeno, disminución de los ruidos respiratorios en ambas bases pulmonares y un soplo sistólico; no hubo otros hallazgos de importancia.
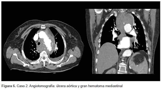
Durante la hospitalización, la paciente presentó descompensación hemodinámica con aumento del dolor torácico. Se descartó un proceso coronario agudo y se tomó una angiotomografía de tórax por sospecha de tromboembolia pulmonar. Demostró un aneurisma sacular originado en el cayado aórtico, con signos de ruptura como un hematoma contenido en mediastino superior y ausencia de llenado de la arteria subclavia izquierda (figura 6).
 Se decidió hacer una corrección endovascular con una endoprótesis aórtica cubierta (Cook Zenith Alpha Thoracic Endovascular Graft™). Fue necesario cubrir el orificio de la arteria subclavia izquierda, lo cual no produjo complicaciones. La evolución fue satisfactoria y se dio de alta tres días después (figura 7).
Se decidió hacer una corrección endovascular con una endoprótesis aórtica cubierta (Cook Zenith Alpha Thoracic Endovascular Graft™). Fue necesario cubrir el orificio de la arteria subclavia izquierda, lo cual no produjo complicaciones. La evolución fue satisfactoria y se dio de alta tres días después (figura 7).
 Quince días después, la paciente consultó nuevamente al servicio de urgencias por presentar hemoptisis, disnea y deposiciones melénicas.
Quince días después, la paciente consultó nuevamente al servicio de urgencias por presentar hemoptisis, disnea y deposiciones melénicas.
Ingresó taquicárdica e hipotensa con baja perfusión distal:
Se diagnosticó choque hipovolémico y se inició reanimación hídrica con hemoderivados; además, requirió asistencia respiratoria y hemodinámica. En la endoscopia de vías digestivas se observó un gran coágulo en el esófago que, al retirarse, dejó ver un defecto en la pared esofágica a 25 cm de la arcada dental, sugiriendo la presencia de una fístula. Se practicó una angiotomografía de tórax en la que se encontró la endoprótesis en buena posición, aunque había signos de mediastinitis y de neumomediastino masivo (figura 8).
 Se decidió someter a la paciente a una toracotomía de urgencia, en la cual se encontró un hematoma en el mediastino posterior, con perforación de 4 cm en la cara antero-lateral del
Se decidió someter a la paciente a una toracotomía de urgencia, en la cual se encontró un hematoma en el mediastino posterior, con perforación de 4 cm en la cara antero-lateral del
esófago, por encima de la vena hemiácigos. Por vía endoscópica, se colocó la endoprótesis esofágica recubierta autoexpansible, y tubo de tórax bilateral.
En conjunto, por concepto de cirugía vascular y cirugía cardiovascular, se decidió no practicar ningún procedimiento adicional en este tiempo quirúrgico, debido al gran riesgo de infección de la endoprótesis y muerte. Se inició el cubrimiento con antibióticos de amplio espectro. Continuó en malas condiciones generales, con asistencia respiratoria y hemodinámica, y ocho horas después, presentó asistolia y falleció.
Fecha de recibido: 21/03/2018 – Fecha de aceptación: 21/06/2018
Correspondencia: Elkin Benítez, Carrera 45a #118-87, Bogotá, D.C., Colombia. (57) (301) 790-1377,
Correo electrónico: elkinben@gmail.com
Citar como: Benítez E, Alfonso M, Lesmes MC, Barón V, Hernández O, Oliveros G. Perforación aorto-esofágica, diagnóstico clínico e imaginológico: reporte de dos casos clínicos con manejo endovascular. Rev Colomb Cir. 2019;34:190-8. https://doi.org/10.30944/20117582.114
Este es un artículo de acceso abierto bajo una Licencia Creative Commons – BY-NC-ND https://creativecommons.org/licenses/by-nc-nd/4.0/deed.es
 
					 




