Robín Germán Prieto1, Víctor Hugo García1, Juliana Rendón2
Palabras clave: hemoperitoneo; abdomen agudo; diagnóstico; terapéutica.
Resumen
En la práctica clínica nos vemos enfrentados con alguna frecuencia, al tratamiento quirúrgico de pacientes con hemoperitoneo, causado en la gran mayoría de casos por trauma abdominal cerrado y, en un menor porcentaje, por condiciones ginecológicas; sin embargo, existen otras causas, como la ruptura de aneurismas o de tumores sólidos, el sangrado varicoso e, incluso, trastornos de la coagulación. Cuando todas estas causas han sido descartadas, se puede concluir que se trata de hemoperitoneo espontáneo idiopático, enfermedad poco común de la que poco a poco se informan más casos en la literatura científica mundial.
Se hace una revisión bibliográfica y se presenta el caso de un paciente atendido por esta enfermedad en el Hospital Central de la Policía, Bogotá, Colombia.
Introducción
Uno de los síntomas más frecuentes de consulta en los servicios de urgencias es el dolor abdominal. Entre el 5 y el 10 % de los pacientes que consultan a un servicio de urgencias sin antecedentes de trauma, presenta dolor abdominal, lo cual hace que en forma frecuente el médico deba afrontar diversas enfermedades que pueden comprometer cualquiera de los órganos intraabdominales e, incluso, órganos extraabdominales que reflejan su dolor en esta región anatómica 1,2.
El dolor abdominal agudo se define como “todo dolor abdominal que obliga al paciente a consultar de manera urgente” y el abdomen agudo quirúrgico se define como “toda perturbación orgánica del contenido abdominal, de inicio brusco, cuya sintomatología predominante es el dolor y que requiere tratamiento operatorio mediato o inmediato” 3-6. En diversos estudios se menciona un alto porcentaje de casos de dolor inespecífico de hasta 19 o 24 % 4,7. Y hasta el 25 % de los pacientes que ingresan a un servicio de urgencias por dolor abdominal pueden requerir tratamiento quirúrgico 3,8,9.
El hemoperitoneo espontáneo idiopático es una rara enfermedad en la cual no se logra establecer la causa del sangrado peritoneal. Generalmente, su diagnóstico se hace de forma intraoperatoria y para llegar a él se deben descartar causas ginecológicas, traumáticas, vasculares o de la coagulación.
En los últimos 40 años se han publicado en la literatura científica mundial menos de 30 artículos relacionados con el tema, lo que demuestra lo poco frecuente de esta enfermedad, que debe tenerse como sospecha diagnóstica en ciertas circunstancias y que requiere manejo quirúrgico. Mediante este artículo se pretende resaltar la existencia de esta enfermedad, así como su manejo y seguimiento.
Se presenta el caso de un paciente con hemoperitoneo espontáneo idiopático diagnosticado y tratado en el Hospital Central de la Policía y se hace una revisión bibliográfica.
Presentación del caso
Se trata de un hombre joven de 20 años de edad que ingresó al Servicio de Urgencias del Hospital Central de la Policía, consultando por dolor abdominal de seis horas de evolución que había aumentado en intensidad y que inicialmente se localizó en epigastrio y posteriormente se generalizó, y que predominaba en la fosa iliaca derecha; además, presentaba anorexia, náuseas y vómito como síntomas asociados y negaba cualquier otra sintomatología.
Como único antecedente quirúrgico mencionó una apendicectomía varios años atrás. De igual forma, negó el consumo de cualquier tipo de medicamentos, especialmente de antiagregantes. Tampoco mencionó antecedentes familiares o personales de trastornos de la coagulación.
En el examen físico por parte del especialista, presentaba como signos vitales: tensión arterial de 120/75 mm Hg, frecuencia cardiaca de 84 latidos por minuto, frecuencia respiratoria de 16 por minuto y saturación de O2 de 91 %. En el examen abdominal se encontraron claros signos de irritación peritoneal y para ese momento ya se había practicado un cuadro hemático que mostraba leucocitos de 19.350 x106/L, hemoglobina de 16,3 g/dl, hematocrito de 46,3 %, neutrófilos de 87,5 % y linfocitos de 8,9 %; en la ultrasonografía abdominal se informó escaso líquido libre perihepático y periesplénico, y moderada cantidad de líquido libre en las goteras parietocólicas
Con diagnóstico de abdomen agudo por probable peritonitis, se llevó a laparotomía diagnóstica, encontrándose un hemoperitoneo de 1.000 ml y coágulos en la transcavidad de los epiplones de 500 ml, aproximadamente; la transcavidad estaba abierta en forma espontánea hacia la cavidad peritoneal. Se hizo una revisión sistemática sin encontrar el origen del sangrado y, ante el sangrado fácil especialmente en la transcavidad de los epiplones, se decidió dejar empaquetado el abdomen. Fue reintervenido a las 24 horas, sin que se encontrara nuevo sangrado, por lo cual se cerró la cavidad abdominal.
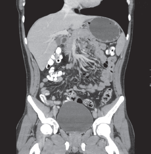
La evolución posoperatoria fue adecuada y fue dado de alta al tercer día. Posteriormente, en los controles por la consulta externa, fue valorado por el Servicio de Hematología y con los exámenes de laboratorio se descartó cualquier trastorno de la coagulación. Igualmente, se indicó una tomografía axial abdomino-pélvica contrastada, que descartó otro tipo de alteraciones (figuras 1 y 2). Se hizo seguimiento médico hasta el cuarto mes posoperatorio, observándose una adecuada evolución.
[enc_su_row][enc_su_column size=”1/2″]
Figura 1. Tomografía axial computadorizada, realizada en el posoperatorio, descartándose alteraciones anatómicas.[/enc_su_column]
[enc_su_column size=”1/2″]
Figura 2. Escanografía abdominopélvica, en que se descartan alteraciones vasculares.[/enc_su_column]
[/enc_su_row]
1 Médico, especialista en Cirugía General, Hospital Central de la Policía, Bogotá, D.C., Colombia
2 Médica, especialista en Cirugía Gastrointestinal; jefe, Departamento de Cirugía General, Hospital Central de la Policía, Bogotá, D.C., Colombia
Fecha de recibido: 25 de julio de 2014
Fecha de aprobación: 7 de septiembre de 2014
Citar como: Prieto RG, García VH, Rendón J. Hemoperitoneo espontáneo idiopático. Rev Colomb Cir. 2014;29:243-47.