Reporte de un Caso y Revisión de Técnicas Quirúrgicas
PEDRO TOMÁS ARGÜELLO ARIAS, MD*
Palabras clave: hígado, anatomía, hepatectomía, circulación del hígado.
Resumen
Los tumores que comprometen el lóbulo caudado casi siempre muestran un compromiso mayor por extensión desde uno de los lóbulos del hígado. Esta situación condiciona que la resección del lóbulo caudado en la mayoría de los casos se realice en conjunto con la resección del lóbulo hepático derecho o izquierdo para el tratamiento de lesiones primarias o metastásicas.
El compromiso localizado del lóbulo caudado se presenta en un 10 a 17% de los casos de tumores hepáticos. La resección delimitada de este segmento requiere de una mayor destreza de los cirujanos que enfrentan el tratamiento quirúrgico. En este artículo se expone un caso de una lesión localizada en el lóbulo caudado, correspondiente a un tumor neuroendocrino y se revisan brevemente las técnicas quirúrgicas para la resección del lóbulo caudado.
Introducción
El compromiso aislado, primario o metastásico, del lóbulo caudado del hígado es muy raro. Generalmente este segmento hepático es comprometido por invasión directa o presencia de compromiso múltiple de lesiones en el parénquima hepático.
El lóbulo caudado del hígado se encuentra en la cara ventral del órgano a manera de una prolongación del lóbulo hepático derecho hacia la línea media. Su visualización se realiza mediante la apertura del epiplón menor o membrana gastrohepática. Según la anatomía de los segmentos propuesta por Couinaud (1) , el lóbulo caudado está limitado por las venas suprahepáticas izquierda y media en su porción anterior y por la vena cava inferior en su cara posterior. Su límite lateral, es decir, su proyección hacia el lóbulo hepático derecho, no tiene un parámetro anatómico exacto y su borde medial está libre hacia la curvatura menor del estómago. La suplencia sanguínea es derivada de ramas de la vena porta que se derivan de cada una de las ramas principales (izquierda y derecha), y de la arteria hepática izquierda. El drenaje venoso, a diferencia de los restantes segmentos del hígado, se realiza en forma directa hacia la vena cava inferior, a través de vasos segmentarios directos. En promedio se encuentran cuatro ramas; sin embargo, en los trabajos de disección anatómica en autopsias se han encontrado desde una a nueve ramas a este nivel (2, 10-12)

Si bien el lóbulo hepático derecho es el más comprometido por las metástasis de tumores primarios intraabdominales, el lóbulo caudado también se ve afectado tanto por tumores primarios como secundarios del hígado. En la serie de Jarnagin y cols. (3) de 1803 casos de hepatectomía, el lóbulo caudado presentó compro-miso único en 118 casos (7%), en los cuales se realizó resección aislada de este lóbulo. Sin embargo, la mayor causa de resección del lóbulo caudado es la extensión directa de lesiones que se localizan en el lóbulo izquierdo y en menor medida en el derecho, como parte de una hepatectomía ampliada.
En este artículo se expone un caso atendido en el Servicio de Cirugía Gastrointestinal del Instituto Nacional de Cancerología, para lo cual se revisan las diferentes técnicas quirúrgicas para su abordaje y los pasos más importantes que se deben tener en cuenta en el momento de su resección.
Reporte del Caso
Mujer de 61 años, con historia clínica de pénfigo, de cuatro años de evolución, en quien se practicó ecografía abdominal por evidencia clínica de dolor abdominal difuso, la cual mostró una lesión en lóbulo caudado de 65 x 51 mm, de características sólida e hipoecoica. Dos meses después se ordenó TAC de abdomen, que presentó lóbulo caudado aumentado de tamaño, con masa sólida de contornos bien definidos, que midió 45 x 38 mm, hiperdensa, con realce no homogéneo posterior a la inyección del medio de contraste, con área central hipodensa (figura 2).

La paciente no manifestó alteraciones en el hábito intestinal, cambios en las características físicas de la materia fe-cal, ni síntomas dispépticos. Durante cuatro años ha recibido tratamiento con esteroides. Se le practicaron pruebas de función hepática que mostraron tiempos de coagulación dentro de límites normales (PT 12,7 seg. / PTT 24 seg.), transaminasas normales (AST 14, ALT 17), bilirrubinas normales. Marcadores tumorales alfafetoproteína y antígeno carcinoembrionario dentro de límites normales.
Se decidió efectuar biopsia hepática guiada por TAC que reveló tumor neuroendocrino de bajo grado (figura 3). Se realizó esofagogastroduodenoscopia que mostró gastritis crónica difusa y colonoscopia total, que diagnostica hemorroides internas grado II y enfermedad diverticular sin complicaciones.

Se decide practicar cirugía nueve meses después del hallazgo inicial del diagnóstico de masa en el lóbulo caudado cuando fue remitida a nuestra institución, encontrando aumento del lóbulo caudado, con superficie nodular en la cual se observaron dilataciones venosas subcapsulares (figura 4). En el hilio hepático no se observaron ganglios aumentados de tamaño. Se le realizó ecografía intraoperatoria con transductor de 7,5 MHz, en la cual no se encontraron lesiones secundarias diferentes a la descrita en el lóbulo caudado (figura 5).Se efectuó un abordaje lateral, iniciando la disección mediante la apertura del epiplón menor; posteriormente se identificaron las estructuras del hilio hepático. Se repararon la vena porta izquierda y la arteria hepática izquierda. Mediante disección con pinza Kelly se aisló la rama portal para el lóbulo caudado, se realizó ligadura y sección.
![]() |
![]() |
El desprendimiento del lóbulo caudado se hizo mediante la disección y sección de las ramas venosas que drenan directamente hacia la vena cava en la porción retrohepática; en este caso se encontraron cinco ramas. La sección del parénquima hepático se realizó en sentido caudaloral, teniendo cuidado de no lesionar la vena suprahepática media, la cual se en-contraba visible hacia la parte cefálica del lóbulo caudado. El tiempo quirúrgico fue de 280 minutos, con un sangrado aproximado de 500 cc. La pieza quirúrgica se muestra en la figura 6, en la cual se observa una lesión bien delimitada, encapsulada, de bordes regulares.

El estudio histopatológico mostró lesión de 7 x 4 x 3 cm, peso de 80 g, cuyo diagnóstico definitivo fue tumor neuroendocrino bien diferenciado grado I, de tipo carcinoide (figura 7).

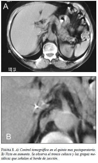
Los controles postquirúrgicos no han revelado recaída o progresión de la enfermedad, como lo muestra el TAC de control (figura 8). La paciente se encuentra asintomática y en buenas condiciones generales, sin síntomas asociados con síndrome carcinoide.

* Especialista en Cirugía Gastrointestinal y Endoscopia Digestiva, Instituto Nacional de Cancerología, Bogotá, Colombia.

