Informe de 1 Caso y Revisión del Tema
Revisión de Temas
G.A. FUENTES, MD; J.G. BARRERA, MD; C. LUNA-JASPE, MD, SCC; C.T. GOMEZ, MD.
Palabras clave: Parótida, Tumores sebáceos benignos, Linfadenoma, Glándulas sebáceas, Folículos Iinfoides, Parotidectomía subtotal.
El linfadenoma sebáceo es un tumor benigno, bastante raro de las glándulas salivales, compuesto de nidos de glándulas sebáceas bien diferenciadas, encapsuladas o bien circunscritas, sin tendencia a invadir estructuras locales, con un importante contenido de linfocitos y folículos linfoides. Informamos el caso de una mujer de 57 años de edad con una masa dura en la región parotídea izquierda, asintomática. Se le realizó escanografía en la que se identificó una masa sólida, homogénea, con bordes bien definidos de 2.3 X 1.2. Con el diagnóstico de adenoma pleomórfico, se llevó a cirugía para realizar parotidectomía superficial izquierda; se encontró una masa ovoide bien delimitada, encapsulada; microscópicamente se observaron células escamosas y sebáceas espumosas con abundante infiltrado linfocítico e histiocítico. Se discute el caso en el aspecto diagnóstico y terapéutico por la importancia que reviste diferenciar las lesiones benignas de las malignas en cuanto a tratamiento y pronóstico, y se propone la cirugía mínima necesaria para su resección completa como tratamiento de elección.
Introducción
Las glándulas sebáceas son comúnmente encontradas en las glándulas parótida y submaxilar, y de manera infrecuente se pueden observar en las sublinguales, en las menores y en el tejido glandular ectópico, así como en los ganglios linfáticos paraparotídeos, como lo informara Hamperl en 1931 por primera vez (1). Desde entonces se han realizado varios estudios en los que se se han descrito metaplasia sebácea con aproximadamente la misma frecuencia tanto en las glándulas neoplásicas como en las normales, siendo aquella de 8.5%, preponderante en mujeres.
Las neoplasias sebáceas de las glándulas salivales son clasificadas en 5 categorías, así: l. Adenoma sebáceo. 2. Linfadenoma sebáceo. 3. Carcinoma sebáceo. 4. Linfadenocarcinomasebáceo. 5. Diferenciación sebácea en otros tumores.
El linfadenoma sebáceo en un tumor benigno, muy raro, compuesto por nidos de conductos y glándulas sebáceas bien diferenciadas, acompañadas de una gran cantidad de linfocitos y folículos Iinfoides; es rara la atipia celular y no se encuentra en ninguno de los casos invasión a estructuras locales (2); usualmente se encuentran encapsulados y pueden presentarse como estructuras sólidas, multiquísticas o con un quiste único, en los cuales es común encontrar material sebáceo. Son pocos los casos informados en la literatura mundial, que hasta 1995 no sobrepasaban los 50 casos; igualmente, las patologías con diferenciación sebácea, ya sean malignas o benignas, son raras y hacen difícil su diagnóstico. Por tal motivo, y con el ánimo de realizar una exhaustiva revisión del tema, pretendemos en este artículo presentar y comentar el caso de una paciente tratada en el servicio de cirugía del Hospital Simón Bolívar de Santafé de Bogotá.
El Caso Clínico
Se trata de una mujer mestiza de 57 años de edad quien presentaba una masa dura en la región parotídea izquierda, de 2 años de evolución; niega dolor o cambios en la salivación, y refiere crecimiento lento. Al examen físico, presenta una masa de 3 x 2 cm sobre la parótida izquierda, de consistencia dura, móvil, bien circunscrita, sin Iinfadenopatías cervicales. Se realizó escanografía de la glándula afectada en la que se identificó una masa sólida homogénea con bordes bien definidos de 2.3 x 1.3 cm, compatible con adenoma pleomórfico. Se llevó a cirugía con este diagnóstico y se realizó parotidectomía superficial izquierda. En el período de vigilancia de 2 años y 4 meses no ha presentado recurrencia.
Al examen macroscópico se observa una masa ovoide, bien delimitada, de 4 x 3 x 1.5 cm, encapsulada, al parecer dependiente de la prolongación anterior de la parótida, de consistencia dura. Hay presencia de ganglios intraparotídeos; se hallan respetados el nervio facial y el lóbulo profundo de la parótida. Al corte es de aspecto elástico, pardo amarillento, con áreas congestivas y hemorrágicas.
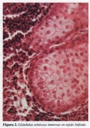
Al examen microscópico el tumor está constituido por múltiples glándulas sebáceas de tamaño variable, conformado por células poligonales de citoplasma rosado pálido, granular con vacuolización ocasional, y núcleos pequeños, redondeados centrales (Figura 1). Las glándulas se disponen enforma aislada o en grupos, algunas de ellas ramificadas, las cuales están inmersas en tejido linfoide que forman centros germinales y constituyen el segundo componente del tumor (Figuras 2 y 3).
![]() |
![]() |

Discusión
Como queda dicho, en 1931, Hamperl fue el primero en afirmar que las glándulas salivales normales podían tener células sebáceas en su estroma; en 1946 Hartz describió glándulas sebáceas en tumores mixtos de la glándula parótida (1). En 1949 Meza-Chávez encontró que las glándulas sebáceas estaban presentes en 28% de las parótidas normales y en 24.8% de las parótidas con tumor o con alguna afección inflamatoria. En 1950, Rawson realizó la primera descripción de un tumor de las glándulas salivales que contenía glándulas sebáceas. McGavran en su primer informe acuñó el nombre de linfadenoma sebáceo y lo describió como un tumor compuesto por quistes delineados por epitelio escamoso y células sebáceas en medio de un estroma linfocítico. A partir de este informe, son pocos los casos de linfadenoma sebáceo descritos en la literatura mundial, de los cuales la mayoría se presentan en la glándula parótida y muy pocos extraparotídeos, siendo anecdótico un caso reportado en la glándula submaxilar y otro en la línea media del cuello (3). La Armed Forces Institute of Pathology (AFIP), hasta 1993 tiene reportados 39 casos; Malcom H. McGavran, Médico Patólogo del Departamento de Patología del Baylor College of Medicine de Houston, Texas, presentó 1 caso más en 1979, que sumó a sus 2 casos del reporte inicial; por lo tanto, al momento de esta publicación no se superan los 50 casos informados en el mundo. Merwin y Barnes reportaron en 1985, 1 caso de un linfadenoma sebáceo quístico unilocular, también llamado quiste linfoepitelial con diferenciación sebácea, el cual parece estar muy relacionado con el tumor de Warthin (6).
Presentamos 1 paciente con un cuadro típico de evolución de esta patología, con crecimiento lento, asintomático, que usualmente induce a consultar por el aspecto estético. Se ha descrito en informes previos, períodos de evolución que oscilan entre 4 meses y 15 años, lo que está de acuerdo con la evolución y el tiempo de consulta de nuestra paciente. Es raro el dolor en esta patología, y su presencia no ha sido asociada a malignidad como sí se observa en otros tumores como el carcinoma mucoepidemoide.
El promedio de edad de aparición es de 65 años, y especialmente entre la sexta y la octava década de la vida, pero el rango de aparición documentado en la literatura va desde los 25 hasta 89 años. La distribución por sexo en el mayor reporte de la AFIP presenta ligera preponderancia en mujeres con 55% de los casos y 45% en hombres. El tamaño de la masa usualmente no sobrepasa los 4 cm en su diámetro mayor. Generalmente presentan cápsula parcial o total o están muy bien circunscritos; se pueden presentar como masas sólidas o quísticas, pardo -grisáceas, amarillas o rosadas, con presencia de material sebáceo macroscópico, ocasionalmente hemorrágico (4). Histológicamente predomina una cantidad variable de glándulas sebáceas con conductos salivales de diversos tamaños y sin atipias, con un estroma linfoideo rodeándolos (14). Pueden presentar senos subcapsulares o marginales, pero la mayoría tienen formas linfoideas como centros germinales. En la mayoría de ellos se encuentra gran reacción inflamatoria, con células gigantes multinucleares de reacción a cuerpo extraño, dada por la ruptura de sus quistes y la extravasación del material sebáceo al estroma. Se ha informado necrosis focal en un solo caso (1).
La variedad de lesiones asociadas con diferenciación sebácea, claramente demuestran el carácter pluripotencial del epitelio ductal de las glándulas salivales. El origen de la diferenciación sebácea en estas glándulas es desconocido; no obstante, algunos sostienen que su ocurrencia resulta de la localización aberrante de líneas embriológicas de cierre, hipótesis difícil de aceptar pues tales líneas no existen en estos sitios. Otros autores proponen que cuando la parótida se dirige a la ubicación en el Sulcus buccalis con el órgano yuxta-oral u órgano de Chievitz (2), algunas de estas células epiteliales multipotenciales pueden ser transformadas cuando la glándula parótida se forma. Recuérdese que no existe una marcada diferencia estructural entre ellinfadenoma sebáceo de las glándulas salivales y las glándulas sebáceas normales de la piel (4). Tschen y McGavran en un estudio de análisis ultraestructural y lipídico, concluyeron que se trataba de estructuras muy similares, y sostienen que se trata de tejido sebáceo de las glándulas de la piel que se encuentra ectópico, y que la parótida tiene un origen más ectodérmico que endodérmico (2).
El diagnóstico se realiza en la mayoría de los casos como hallazgo histopatológico con el espécimen resecado; sin embargo, con el ánimo de llevar el paciente a las salas de cirugía con una impresión diagnóstica acertada para poderle ofrecer desde el primer momento una planeación de la cirugía, se ha postulado la biopsia por aspiración con aguja fina como uno de los métodos diagnósticos más acertados (13). Sin embargo, estudios multicéntricos han demostrado poca sensibilidad y especificidad. También se ha utilizado la resonancia magnética nuclear dinámica como métoQo de selección para diferenciar las patologías malignas de las benignas por el coeficiente de densidad, lo que sólo se ha podido demostrar para el carcinoma de células acínicas, el carcinoma quístico adenoideo y el adenocarcinoma (5).
El diagnóstico diferencial primordialmente se debe hacer con los tipos de tumor que presentan células sebáceas, como el adenoma sebáceo cuya diferencia radica en la ausencia de estroma linfoide; el carcinoma sebáceo, el cual tiene, además, un importante grado de atipia nuclear y pleomorfismo celular; también se deben tener en cuenta las lesiones linfoepiteliales, tanto benignas como malignas (9, 10), teniendo en cuenta su origen embriológico común; entre ellos los linfamas de las glándulas salivales que ocupan el 1.7% de todas las neoplasias de estas glándulas (11); por último, el cistadenoma papilar linfomatoso, el cual está compuesto por amplias áreas de estroma linfoideo, pero característicamente presenta centros germinales que no son vistos en el linfadenoma sebáceo (8); no obstante, Wasan SM, en 1971 informó 1 caso de un linfadenoma sebáceo que tenía pequeños focos de cistadenoma linfomatoso o tumor de Warthin (1, 15).
El tratamiento realizado en nuestro caso fue la parotidectomía superficial con preservación del nervio facial, verificando que los bordes de sección fueran libres de tumor (negativos), a través de una incisión submaxilar no mayor de 3 cm. Hasta el momento, 2 años y medio después de la cirugía, no ha presentado recurrencia. Se describe la parotidectomía como tratamiento en más del 50% de los casos reportados (7); sin embargo, una alta proporción fueron tratados solamente con resección local de la masa, de los cuales se sabe que sólo uno de ellos presentó recurrencia. Woods y cols., presentan un estudio en el que demuestran que la parotidectomía superficial y la parotidectomía parcial o conservadora, son los procedimientos de elección para el tratamiento de este tipo de tumores benignos de la parótida. No se ha informado utilidad de la radioterapia por cuanto la cirugía es curativa en el 100% de los casos (12).
Se concluye que el linfa adenoma sebáceo de la parótida aunque sea una patología rara, debe estar presente en el armamentario diagnóstico de las masas de crecimiento lento de la glándula parótida; que se deben optimizar los recursos para hacer un diagnóstico prequirúrgico y que la mejor opción terapéutica es la parotidectomía superficial, siempre obteniendo un margen de tejido negativo adecuado, preservando el nervio facial y causando el menor impacto estético facial posible.
Abstract
Sebaceous lymphadenoma is a very rare benign tumor of the salivary glands, made-up by niches of well differentiated sebaceous glands, encapsulated or well circumscribed, with no tendency toward invas ion of local structures, and with an important content of lymphocytes and lymphoid follides. We report the case of a 57 year old woman that presented with an asymptomatic hard mass over the left parotid region. CT sean demonstrated a solid and homogenous mass with well defined borders measuring 2.3 x 1.2 cm. With the diagnosis of plemorphic adenoma she was taken to surgery with the intention of performing a left superficial parotidectomy; a well encapsulated, ovoid mass was found; squamous and sebaceous foamy cells with abundant lymphocytic and histocytic infiltrate were seen on microscopic examination.
We discuss the diagnostic and therapeutic aspects, emphasizing the importance of differentiating benign from malignant lesions for the purpose (~f both treatment and prognosis, and we propose the minimal operation to attain full resection of the lesions as the procedure of choice.
Referencias
1. Wasan SM: Sebaceous Lymphadenoma of the parotid gland. Cancer 1971; 28(4): 1019-22
2. Tschen JA, McOavran MH: Sebaceous Iymphadenoma. Ultrastructural observations and lipid analysis. Cancer 1979; 44 (4): 1388-92
3. Onepp DR, Brannon R: Sebaceous neoplasms of salivary gland origino Report of 21 cases. Cancer 1984; 53 (10): 2155-70
4. Linhartová A: Sebaceous glands in salivary gland tissue. Arch Patol 1974; 98: 320-4
5. Ishikawa H, Ishli Y: Evaluation of salivary gland tumors with 99mTc- pertechnetate. J Oral Maxillofac Surg 1984; 42 (7): 429-34
6. Merwin WH, Barnes L, Myers: Unilocular cystic sebaceous Iymphadenoma of the parotid gland. Arch Otolaryngol 1985; 111 (4): 273-5
7. Woods JE: Parotidectomy versus limited resection for benign parotid mas ses. Am J Surg 1985; 149 (6): 749-50
8. Dreyer T, Battmann A, Silberzahn J: Unusual differentiation of a combination tumor of the parotid gland. A case reporto Pathol Res Prect 1993; 189 (5): 577-81
9. Chen KT: Carcinoma arising in a benign Iymphoepithelial lesion. Arch Otolaryngol 1983; 109 (9): 619-21
10. Nagao K, Matsuzaki O, Saiga H: A histopathologic study of benign and malignant Iymphoepithelial lesions of the parotid gland. Cancer 1983; 52 (6): 1044-52
11. Oleeson MJ, Bennett MH, Cawson RA: Lymphomas of salivary glands. Cancer 1986; 58 (3): 699-704
12. Watkin OT, Hobesley M: Should radiotherapy be used routinely in the management of benign parotid tumors? Br J Surg 1986; 73 (8): 601-3
13. Rodríguez HP, Silver CE, Moisa IL: Fine needle aspiration of parotid tumors. Am J Surg 1989; 158 (4): 342-4
14. Shah JP, Ihde JK: Salivary gland tumors. CUITProbl Surg 1990; 27 (12): 775-883
15. Abaúnza H, Páez G, Fonseea E: Patología tumoral de las glándulas salivales. Temas Escogidos de Gastroenterología. Tomo XI, pp. 271-8, 1967
16. López G: Tumores de glándulas salivales mayores y menores. Med. Caldas 1984 (mar); 6 (1): 7-32
17. Fuentes GA, Mugnier J: Carcinoma mueoepiderrnoide de la Glándula Parótida. Revisión del Tema. Rev Col. CIRUGIA 1996 (oet-die); 11 (4): 326-32.
Correspondencia:
Carlos Luna-Jaspe, MD. Calle 79 No. 16A – 20. Santafé de Bogotá, D.C.
COMENTARIO
Señor Editor:
He tenido la oportunidad de leer detenidamente el trabajo titulado. “Linfadenoma Sebáceo de Glándula Parótida” de los doctores G.A. Fuentes, J.G. Barrera, C. Luna-Jaspe y c.T. Gómez, del Hospital Simón Bolívar, de Bogotá.
El trabajo en mención es la presentación de un tumor exótico cuya patología de por sí es rara, como son todos los tumores de la glándula parótida. Trae una buena revisión del tema. La bibliografía está citada en el orden correspondiente y se acompaña de tres magníficas microfotografías a color de la histología del tumor.
Creo que debe publicarse, ya que la bibliografía nacional sobre el tema es muy escasa, y nuestra Revista CIRUGIA sólo ha publicado un trabajo referente a la glándula parótida en el Vol. 11 No. 4, octubre-diciembre de 1996, pp. 326-32. También se refiere parcialmente al tema parotídeo, publicado en CIRUGIA el trabajo de sarcomas de cabeza y cuello de los doctores Hakim A. y cols. en el Volumen 8 No. 1 pp. 61 a 66,1993, del Instituto Nacional de Cancerología de Bogotá. Me permito insinuar la inclusión de otra referencia colombiana que es la única que hasta el momento he encontrado, fuera de nuestra Revista:
Abaúnza H, Páez G, Fonseca E: Patología tumoral de glándulas salivales. Temas Escogidos de Gastroenterología. Tomo XI, pp. 271-8, 1967.
Agradezco a usted la fina atención de enviarme para mi concepto el anterior trabajo.
Hernando Abaúnza O., MD, FACS.
Cirujano General
Doctores, Giovanni Alberto Fuentes Sánchez, R-Il de Cirugía General; Juan Guillermo Barrera, R-IV de Cirugía General; Carlos Luna-Jaspe, Cirugía General, Profesor Asistente Facultad de Medicina; Carmen Teresa Gómez, Patóloga, Hospital Simón Bolívar, Escuela Colombiana de Medicina, Santafé de Bogotá, D. c., Colombia.

