Trabajos experimentales
L.F. ALV AREZ, MD; SCC; C. NA VARRETE, MD, MSCHC.
Palabras claves: Colangiopancreatografía endoscópica retrógrada, Esfinterotomía endoscópica, Coledocolitiasis, Colecistectomía laparoscópica, Estenosis biliar.
Se revisaron 180 esfinterotomías endoscápicas realizadas en 6 meses en e! Instituto Chileno-Japonés de Enfermedades Digestivas del Hospital San Bm:ja Arriaran de la Universidad de Chile. Se discuten sus indicaciones. los detalles técnicos. las complicaciones y su papel actual con la aparicián de la colecistectomía lapa roscáp ica, y se destaca su aplicacián en patología biliopancreática.
En los casos de coledocolitiasis se obtuvo un éxito del 91.5% en la limpieza de! colédoco. Al 25.5% de los pacientes se les colocá prátesis por diversas causas.
La terapéutica de las diferentes entidades del confluente biliopancreático requiere de una infraestructura humana y tecnolágica que permita el tratamiento integral de dichos pacientes.
Introducción
Al inicio de la década de los 70’s se realizaron los primeros procedimientos endoscópicos diagnósticos sobre la vía biliar con la colangiopancreatografía endoscópica retrógrada (CPER). La primera aplicación terapéutica de la CPER. fue la esfinterotomía, descrita en 1973 en Japón por Kawai, y en 1974 en Alemania por Clausen y Demling (1,3).
En el 80% de los pacientes, el colédoco y el Wirsung se unen en un canal común en la ampolla de Vater, antes de abrirse dentro del duodeno en la papila. El segmento intramural del conducto biliar común y el conducto pancreático están envueltos por fibras musculares lisas las cuales controlan el tlujo de bilis y de las secreciones pancreáticas. Este músculo, el esfínter de Oddi, es incidido durante la esfinterotomía endoscópica (EE) (4).
Doctor Luis Fernando Alvarez Chica, Ciruj. Cral. Del Hospital San Juan de Dios. Cali, Colombia. Doctor Clauclio Navarrete Carda. Cimj. Cral. Endoscopista del Hospital San Bm:ia Arriaran. Santiago de Chile, Instututo Chileno-Japonés de Enf Digestivas, Univ. De Chile.
Las principales indicaciones para la EE son: el tratamiento de pacientes con coledocolitiasis residual o recidivante y con estenosis de la papila duodenal. Sus resultados favorables y el mejor conocimiento de su técnica han incrementado y motivado la aparición de nuevas indicaciones terapéuticas, siendo ampliamente utilizada en todo el mundo; se efectúan anualmente más de 70.000 EE, Y se expande su desarrollo terapéutico al incluir dilatación con balón, de estenosis benignas y malignas, colocación de sonda nasobiliar en colangitis aguda, tratamiento de patología pancreática como pancreatitis aguda y estenosis benigna o maligna; en el tratamiento de complicaciones de la colecistectomía laparoscópica, lesión de la vía biliar con o sin fístula, cálculos retenidos, etc.
Su papel como alternativa terapéutica del tratamiento de pacientes con obstrucción benigna o maligna, ha ganado aceptación en todo el mundo. Es la terapéutica de elección en pacientes con cálculos renales, llegando a tener un porcentaje de éxito del 90% en su remoción (4, 15).
Otras indicaciones incluyen: Disfunción del esfínter de Oddi, pancreatitis biliar, síndrome del pozo, tumores de la papila, coledococele, remoción de fragmentos de cálculos del colédoco después de litotripsia extracorpórea, y colangitis aguda (16, 25).
Sus principales contraindicaciones son: coagulopatías que predisponen a mayor riesgo de sangrado; estenosis largas del colédoco distal que aumentan el riesgo de perforación; alteraciones anatómicas de la papila duodenal, particularmente cuando el esfinterótomo no puede ser posicionado adecuadamente en el segmento intramural del colédoco, y en cálculos mayores de 2.5 cm, cuya extracción presenta un alto grado de dificultad (4).
Las complicaciones se pueden dividir en tempranas y tardías y en ellas intluyen las condiciones generales del paciente, la indicación del procedimiento, los factores anatómicos y la habilidad del endoscopista. La edad como tal no es un factor predisponente a complicaciones; pero los problemas inherentes a ésta sí lo son: inestabilidad cardiorrespiratoria, deterioro de la función renal, malignidad, sepsis, desnutrición y enfermedad hepática (26).
Las complicaciones tempranas son: hemorragia, 2,5%; pancreatitis, 2, l %; perforación, 1,3%; colangitis y atrapamiento de la canastilla, 1,0% (27).
Las complicaciones tardías son: hemorragia tardía, íleo biliar, colecistitis aguda (si el paciente tiene vesícula) y estenosis (28). Una encuesta realizada por la Sociedad Americana de Endoscopia Gastrointestinal indica una incidencia de complicaciones del 6.7% y una mortalidad del 0,4% (29).
La incidencia de complicaciones puede ser disminuida si se toman en cuenta detalles técnicos, El paciente debe suspender la ingesta de aspirina y drogas anticoagulantes; deben efectuarse los estudios de coagulación y corregirse cualquier anomalía, La sangre debe estar disponible para transfusión inmediata.
Materiales y métodos
Se hizo un estudio prospectivo mediante un protocolo precodificado, diseñado por los autores durante un programa de adiestramiento en cirugía endoscópica y laparoscópica (Minifelow) efectuado en el Instituto Chileno-Japonés de Enfermedades Digestivas del Hospital San Borja Arriaran de la Universidad de Chile en Santiago de Chile, por un período de 6 meses comprendidos entre el I de julio de 1992 y el 30 de diciembre de 1992, bajo la tutoría del Profesor Claudio Navarrete,
El Instituto Chileno-Japonés de Enfermedades Digestivas es un centro de remisión nacional de patología digestiva el cual cuenta con el apoyo tecnológico y científico del gobierno japonés y es el primer centro en Sur y Centroamérica en el manejo de la patología digestiva, siendo además, lugar de información inernacional de médicos en esta subespecialización de la medicina,
Durante este período de tiempo, se ralizaron 52 colangiografías percutáneas con extracción de cálculos por el trayecto fistuloso del tubo en T; 290 CPER diagnósticas, de las cuales a 180 se les practicó esfinterotomía endoscópica; estas últimas constituyen la base para este informe, El adiestramiento se efectuó con equipos de videoendoscopia y de cirugía laparoscópica, marca Olimpus, De los 180 pacientes a los que se les practicó EE, el 64% eran mujeres y el 36% hombres con una edad promedio de 55.1 años (rango entre 16 y 89 años) (Tabla 1),
En 42 pacientes la colangiografía fue fallida al no poder canular (14.5%); este porcentaje es un poco alto, pero teniendo presente que hay personal en adiestramiento, es aceptable, Todas las EE fueron hechas con papilótomos fabricados por el Prof. Navarrete y sus alumnos; al papilótomo original se le cortan sus 10 últimos cm distales y se hace una adaptación especial ahusada artesanal; se exterioriza el alambre cauterizador apenas 1,5 cm, muy cerca de la punta y hacia el lado izquierdo del catéter, lo que permite una esfinterotomía más controlada, anatómica y segura, En la mayoría de los casos, se adquiría directamente el catéter de polietileno y el alambre por metros y se construía un papilótomo a voluntad, de precorte, de incisión, etc, Todos los pacientes se premedicaron con midazolam 7,5 mg y buscapina, sin uso rutinario de antibióticos, excepto en casos seleccionados. Al 95% de los pacientes se les dio de alta al día siguiente. Los principales antecedentes personales fueron: colecistectomía abierta, en 26 ptes; colecistectomía abierta con exploración de las vías biliares (EVB), en 24 pacientes; colecistectomía laparoscópica, en 28 pacientes; y otras como daño hepático crónico, alcoholismo o pancreatitis crónica.
Tabla 1. Número de pacientes a quienes se les practicó EE, por grupos de edad.

Las principales indicaciones para la EE fueron: colecistocoledocolitiasis, coledocolitiasis residual, coledocolitiasis recidivante, ictericia obstructiva, neoplasia biliopancreática o colangitis aguda (Tabla 2).
El 31% de los pacientes presentaba ictericia al momento del examen; el 37% presentó aumento de la fosfatasa alcalina y el 32%, hiperbilirrubinemia, A 52% de los pacientes se les practicó previamente ecografía hepatobiliar, cuyos principales hallazgos fueron los siguientes: coledocolitiasis, diámetro del coléoco mayor de 7 mm y colelitiasis (Tabla 3),
En un porcentaje inferior al 2% se utilizó la TAC abdominal como aproximación diagnóstica.
Resultados
En el 66% de los pacientes se logró canulación libre del colédoco en el primer intento; en los otros pacientes donde se canuló el Wirsung o cuando la canulación profunda del colédoco fue difícil, se utilizó la técnica del precorte, que consiste en posicionar el esfinterótomo en el margen superior del orificio papilar con el alambre de corte dirigido hacia la posición de las 12 del reloj, Después de abrir parcialmente y mediante un suave empujón del alambre, de nuevo se cauteriza y así el orificio papilar es ligeramente agrandado y el alambre puede ser recostado más y puesto en contacto con el margen superior de la incisión para completar la esfinterotomia. La longitud de ésta varía de un paciente a otro, y depende del tamaño de la papila, de la indicación de la esfinterotomia y de la longitud del segmento intramural del colédoco. Como regla general la incisión se detiene cuando se alcanza el pliegue transverso localizado por encima de la papila.
Tabla 2. Indicaciones de la CPER + EE.

Tabla 3. Principales hallazgos ecográficos.

En 15 pacientes se encontró la papila peridiverticular (7.7%) sin ser esto causa de contraindicación ara el procedimiento; solamente en 1 paciente no se logr la esfinterotomia pues la papila estaba en el fondo de un gran divertículo duodenal. El 75% de los divertículos se encontraron en pacientes mayores de 60 años.
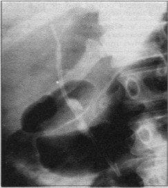
A un porcentaje importante de enfermos se les hizo la colangiografía directamente con el esfinterótomo, evitando así el cambio de cánula diagnóstica a esfinterótomo y procediendo inmediatamente a la esfinterotomía; así mismo, si la colangiografía no mostraba cálculos, se efectuaba en un número importante de pacientes una pequeña esfinterotomía y acto seguido, se introducía una canastilla de Dormia para explorar directamente la vía biliar intra y extrahepática en busca de cálculos; en los casos donde se diagnosticó coledocolitiasis, se procedió al retiro de aquellos mediante el uso de canastilla de Dormia (Figs. 1 y 2). Cuando el paciente presentaba coledocolitiasis y colelitiasis, se efectuaba la extracción endoscópica de los cálculos del colédoco y al día siguiente era llevado a colecistectomía laparoscópica.
Fig. 1. La colangiografía endoscópica muestra un cálculo único distal.
Fig. 2. El mismo paciente de la Fig. J. Visión endoscópica del cálculo atrapado en la canastilla del Dormia, ya extraído de la vesícula biliar.
En los casos de colangitis aguda se efectuó drenaje endoscópico previa esfinterotomía amplia. toma de muestra de bilis para cultivo. remoción de los cálculos y colocación de sonda nasobiliar para aspiración de pus e irrigación de la vía biliar cada 2 horas con solución salina.
A aquellos pacientes con cálculos grandes (2.5 cm) se les colocó una prótesis y luego fueron llevados a cirugía abierta (2.7%). A los que presentaban cálculos mayores de 1.5 cm se les practicó litotripsia mecánica (5.2%) y extracción de los fragmentos de cálculos.
En 59 pacientes (32.7%) se hizo diagnóstico colangiográfico de coledocolitiasis y se logró en 54 de ellos (91.5%). la extracción endoscópica de los cálculos. En 46 pacientes (25.5%) se colocaron prótesis por diferentes estados patológicos (Tabla 4).
Tabla 4. Causas de colocación de prótesis.

En esta serie se presentaron como complicaciones 5 casos de hemorragia (2.7%). siendo todas controladas con inyección endoscópica de adrenalina al Ixl 0.000; ningún paciente requirió transfusión; otro paciente hizo una septicemia por Klebsiella (0.55%). que fue tratado con antibióticos. con plena recuperación. No hubo ningún caso de perforación o de pancreatitis.
Discusión
Desde la descripción de la EE , año tras año se le han ido encontrando nuevas indicaciones terapéuticas. lo que ha incrementedo su práctica en intervenciones biliares y pancreáticas. Por lo tanto. sus indicaciones aún continúan en desarrollo al tiempo que la seguridad y la eficacia de algunas manipulaciones endoscópicas se revalidan constantemente (30).
Se ha estimado una incidencia de 50 CPER terapéuticas por cada 100.000 personas (31). Un marcado aumento de este procedimiento. paralelo con una disminución de la exploración quirúrgica del colédoco. de pancreateciomía y derivación biliodigestiva. ha ocurrido desde el inicio de los años 80´s.
Hoy en día. en la EE seguida de la extracción endoscópica de los cálculos. es la primera elección terapéutica para coledocolitiasis con un porcentaje de éxito superior al 90% y con una morbilidad menor al lOr¡o y una mortalidad alrededor del 1.10%.
Una vez hecho el diagnóstico por medio de una CPER. Se procede a canular selectivamente el colédoco con un esfinterótomo y se aplica corriente monopolar por períodos cortos de 1 a 2 segundos. posicionando el esfinterótomo adecuadamente entre las 11 y las 12 del reloj y continuando el corte con una lenta progresión hasta alcanzar una esfinterotomía amplia (generalmente hasta el pliegue transversal superior): luego se introduce por el canal de trabajo del duodenoscopio la canastilla de Dormia (FG 22 Q-23 Q) o balones biliares de Fogarty: los primeros atrapan directamente los cálculos y los segundos intlados distal mente al cálculo para luego retirarlos. con lo que se logra dejar limpio el colédoco. En algunas situaciones. cuando el cálculo es demasiado grande para salir por el orificio papilar. Se requiere un litotritor mecánico. el cual fractura el cálculo al retirar con energía la canastilla.
El tamaño de los cálculos es el único factor limitante para la extracción exitosa de éstos. Cálculos mayores de 15 mm. son generalmente difíciles de extraer. Actualmente hay varias opciones terapéuticas disponibles para el manejo de cálculos grandes (1.5 cm): litotripsia: disolución química; colocación de endoprótesis para prevenir la obstrucción biliar. Así mismo. hay diferentes modalidades de litotripsia: mecánica. electrohidráulica, ultrasónica. láser y extracorpórea. De éstas. la mecánica es la más disponible. la más utilizada y la menos costosa de las diferentes modalidades de este procedimiento.
La litotripsia electrohidráulica genera una chispa eléctrica la cual viaja por el agua chocando directamente con el cálculo; el catéter es avanzado a través del duodenoscopio y posicionado contra el cálculo con guía fluoroscópica: con repetidas ondas de choque. se producen fisuras en el cálculo y éste. finalmente, se rompe. Esta técnica tiene el inconveniente de que el control de la posición exacta de la punta del catéter es difíciL el cuaL si se dirige contra la pared del colédoco. puede producir lesión severa y aún perforación.
La litotripsia extracorpórea ofrece un 80°/, de éxito en la impieza de los cálculos coledocianos: su costo. sus potenciales complicaciones y la necesidad de varias sesiones de litotripsia hacen este procedimiento menos atractivo.
En la litotripsia láser se llega hasta el cálculo a través del sistema endoscópico madre-hijo. en el cual el endoscopio hijo se pasa a través del canal de trabajo del endoscopio madre; la fibra láser es luego pasada a través del canal de trabajo del endoscopio hijo y dirigida hacia el cálculo. Con este sistema se alcanza un éxito del 80% en fragmentar los cálculos, pero su costo y poca disponibilidad lo hacen de escasa utilidad.
Fig. 3. La colangiografía muestra obstrucción neoplásica del colédoco.
Fig. 4. El mismo paciente de la Fig. 3. Visión endoscópica de la prótesis in situ, la cual permite el drenaje de la vía biliar.
La disolución completa o parcial de los cálculos del colédoco puede lograrse por medio de una infusión continuade mono-octanoína, metil-terbutyl-éter o hepar’ a a través de un catéter nasobiliar previamente colocado en c:l colédoco. Con esta técnica se alcanza un 50% de éxito en la disolución de los cálculos.
Fig. 5. El mismo paciente de las Figs. 3 y 4. Visión radiológica de la prótesis in situ.
Si todos los intentos por extraer los cálculos fracasan, se puede colocar una endoprótesis para facilitar el drenaje de la V.B. y así evitar la impactación de los cálculos, principalmente en aquellos pacientes donde la cirugía abierta está contraindicada.
Marcado interés ha despertado el tratamiento de la pancreatitis biliar grave por la técnica endoscópica, donde se ha demostrado una disminución en la morbilidad y la mortalidad cuando la EE se efectúa de urgencia dentro de las primeras 72 horas del inicio de la enfermedad (32, 34) permitiendo una recuperación más rápida y una disminución en el tiempo de la hospitalización.
Antes de 1974, el tratamiento de la ictericia obstructiva de tipo maligno consistía en la intervención quirúrgica, bien fuera pancreatoduodenectomia si la lesión era resecable, o derivación biliodigestiva cuando era inoperable. N. Soehendra y Rinder-Fredix, en 1979 (35), fueron los primeros en tratar la ictericia obstructiva maligna con prótesis biliar transpapilar colocada endoscópicamente (Figs. 3, 4 Y 5). En Iq actualidad se colocan prótesis rectas 11- 12-15 French de diámetro con aletas en cada uno de sus extremos para prevenir la migración, y con múltiples orificios laterales para facilitar el drenaje; estas prótesis deben ser canbiadas cada 5 meses debido a su obstrucción. Más recientemente, el uso de prótesis autoexpansibles que alcanzan un diámentro hasta de 30 F. han facilitado el manejo de estos pacientes (36, 38).
Las principales indicaciones para la colocación de prótesis son: 1- Carcinoma del páncreas que invade y obstruye el colédoco. 2- Colangiocarcinoma. 3- Carcinoma de la papila de Vater. 4- Tumor de Klatskin. 5- Carcinoma de la vesícula biliar que invade y obstruye el colédoco. 6- Carcinoma metastásico a la porta hepatis. Por patología benigna, las principales indicaciones son: 1- Estenosis posquirúrgica. 2- Fístula biliar. principalmente poscolecistectomía laparoscópica. 3- En cálculo gigante. 4- Ruptura de fístula de T.T. durante la manipulación percutánea de coledocolitiasis residual. 5- Pancreatitis crónica.
Tabla 5. Experiencia con el uso de la CPER en el tratamiento de los cálculos del conducto biliar. en la era de la colecistectomía laparoscópica.

La colangitis aguda secundaria a obstrucción biliar por cálculos es una urgencia quirúrgica que si no se trata de inmediato. ocasiona una alta mortalidad. Antes del procedimiento endoscópico. el tratamiento convencional era la descompresión y drenaje quirúrgico del colédoco con una mortalidad asociada del 10%. Actualmente. la EE con colocación de sonda nasobiliar es el tratamiento de elección para pacientes con colangitis aguda. La eficacia y seguridad de su manejo endoscópico ha sido ampliamente reportada. (18, 30. 39). Kassianides (40) recientemente informó el drenaje endoscópico en 143 pacientes con colangitis aguda y coledocolitiasis; el procedimiento fue exitoso en el 96% de los pacientes y el colédoco fue dejado libre de cálculos en el 75% de los casos. La cirugía abierta fue realizada en 7 pacientes.
Con el desarrollo tecnológico alcanzado en los 90′ s donde la colecistectomía se efectúa en el 90% de casos con técnica laparoscópica, la CPER terapéutica ha ganado así mismo primordial importancia en el tratamiento de la coledocolitiasis en el período perioperatorio. Actualmente. La CPER. más la EE, tienen un papel mayor en la remoción perioperatoria de los cálculos del colédoco en pacientes llevados a cirugía laparoscópica (CL); así mismo, ha asumido un nuevo papel en el diagnóstico y tratamiento de las complicaciones asociadas con la CL (estenosis, fístulas, litiasis residual).
Allegando las experiencias de cuatro cirujanos endoscopistas (Arregui. Mandujano, Graham y Larson) (1) quienes efectuaron un toral de 2.274 cirugías laparoscópicas, y 219 CPER más EE posquirúrgicas. se encontraron cálculos en 98 pacientes; en 91 de ellos se obtuvo éxito en la limpieza del colédoco con EE (Tabla 5) (1).
Las desventajas de la CPER más EE combinadas con el para remoción perioperatoria de cálculos del colédoco. son: 1- Requiere de un segundo procedimiento. 2- No está disponible en todos los lugares. 3- Los efectos a largo plazo de la EE en pacientes jóvenes son desconocidos. 4- Hay un porcentaje aunque bajo de estenosis tardía. 5- Hay morbimortalidad en manos inexpertas. 6- No es efectiva para cálculos grandes. 7- Hay un porcentaje de fracaso alrededor del 10% (1).
El doctor E. Phillips del Cedar Sinai Medical Center de los Angeles. California, han compilado recientemente la experiencia de varios cirujanos que realizan exploración laparoscópica; la morbilidad fue del 4% y la mortalidad del 0.9%. Debido a esto y al aumento en la exploración laparoscópica del colédoco. ha cambiado el esquema para colelitiasis con coledocolitiasis, por el siguiente: A todo paciente llevado a CL se le practica colangiografía intraoperatoria que ayuda a prevenir las lesiones de la V.B.; a identificar hasta un 4% de los cálculos insospechados y algunas alteraciones anatómicas de la V.B. (5%); si se encuentran cálculos. se realiza una exploración transcística laparoscópida para su extracción; si los cálculos son mayores de 9 mm o están impactados, la litotripsia electrohidráulica o la mecánica. pueden ser útiles para la fragmentación de los cálculos; si esto fracasa se efectúa la coledocotomía laparoscópica; si ésta fracasa. se realiza la exploración abierta del colédoco ( L 4 L 42).
La EE es actualmente reservada para el fracaso en la remoción laparoscópica de cálculos del colédoco; para la extracción preoperatoria en pacientes de alto riesgo; para la descompresión biliar con prótesis en pacientes con colangitis ascendente aguda; para la descompresión en la pancreatitis biliar aguda preoperatoria o intraoperatoria como drenaje. en casos de colédoco muy dilatado; postoperatoria para facilitar la limpieza de fragmentos de cálculos después de litotripsia extracorpórea; y para los síndromes poscolecistectomía. Obviamente es la técnica de elección en pacientes con coledocolitiasis residual sin tubo en T. y en coledocolitiasis recidi vante.
Conclusión
La EE ha alcanzado destacada importancia como terapia inicial en múltiples entidades biliopancreáticas; con el desarrollo de la colecistectomía laparoscópica su papel se ha incrementado como alternativa terapéutica para el tratamiento de problemas difíciles asociados con colelitiasis y coledocolitiasis. La terapéutica de las diferentes entidades del confluente biliopancreático requiere de una infraestructura humana y tecnológica que permita el tratamiento integral de dichos pacientes.
Abstract
One hudred and eightr endoscopic Oddi sphincterotomies perfármed during a 6 month period at the Chilean Japanese Institute for Digestive Diseases from the San Borja Arriaran Hospital of the University of Chile are reviewed. Its indications, technical details. Complications and currem applications, in the light of the emergence of endoscopic cholecystectomy are discussed; also an outline of its present role on bilio-pancreatic parhologr is made.
A 9/.5% success was obtained in the cleaning of the common bille duct on patierts sufláing with gallstones of this duct. A prostnhesis (Stent) was installed in 25.5% of the patients for various reasons.
Therapies of pathologies of the bilio-pancreatic confluent require a human and technological infrastracture which facilitates the integral treatment of such patients.
Referencias
1. First Internacional “Hand-On” Therapeuic RCP Confcrence. Bordeaux. France. Junc. 1992
2. Classen M. Oemling L: Endoskopische Sphinkterotomie del’ Papilla Vateri und Steinextraktion aus dem Ouctus CHoledochus DMW 1974. 99: -496—497
3. Kawai K. Akasaka y Murakami M et al:Endoscopic Sphincterotomy of the Papilla of Vater. Gastrointest Endosc 1974: 20: 14S-50
4. Grcen J: Techniques in Therapeutic Endoscopy. Second Edil. Gower Medical I1lustration. 1992
5. Siegel J H. Safrany L. Ben-Zvi et al: Ouodenoscopic Sphinterotomy in patients with Gallbladders in situ. Repon of a Series of 1.272 Patients. Am J Gastroenterol 1985: S3: 1255
6. Classen M. Safrany L: Endoscopic Papillotomy and Rcmoval of Gallstones. Br Med J 1975: -1: 371
7. Oowssett J F. Vaira D. Polydorou A et al: Interventional Endoscopy in the Pncreatobiliary tree. Am J Gastroenterol 19S5: 132S
8. Reiter J 1. Bayer H P. Mennicken L et al: Results of Endoscopic Papillotomy: A Collective Experience From nine Endoscopic Centers in West Germany. World J Surg 1975: 2: 505
9. Nakajama M. Kizu M. Akasaka Y et al: Five years experience of endoscopic sphincterotomy in Japan: A collective study from 25 centres. Endoscopy 1979: 11: 13S
10. Escorrou J. Cordova J A, Lazorthese F et al: Early and late complications after endoscopic sphinctcrotomy for hiliary litiasis with and without gallhladder in situ. Gut 19S4: 25: 598
11. Rosseland A R. Solhaug J H: Primary endoscopic papillolomy (EPT) in patiens wilh slones in the common bile duct and the gallblader in situ: A 5-8 years follow-up study. World J Surg 19S5 12: 111
12. Neoptolemos J P. Oavidson B R. Shaw O E et al: Study of common hile duct exploratíon and endoscopic sphincterotomy in a consecutive series 01′ -I3S palients. Br J Surg 19S7: 74: 916-21
13. Lessc T. Neoptolemos J P. Baker A R et al: Management 01′ acute cholangitis and the impact of endoscopic sphincterotomy. Br J Surg 1986: 73: 9SS-92
14. Neoptolemos J P. Carr-Locke O L. Fossard O P: Prospectived randomised study of preoperative endoscopic sphincterotomy versus surgery alone for common hile duct stones. Br J Med 19S7: 294: 470-4
15. Neoptolemos J P. Carr-Locke D L. London N J et al: Controlled trial of urgent endoscopic retrograde cholangiopancreatography and endoscopic sphincterotomy versus conservative treatment for acute pancrcatitis due to gallstones. Lancet 19S5: 2: 978-83
16. Van Del’ Spuy: Endoscopic sphincterotomy in lhe management of gallstone pancreatitis. Endoscopy 1981: 13: 25
17. Tanaka M. Ikeda S. Nakayama F: Nonoperative measurement of pancreatic and common hile duct pressures with a microtransducer catheter and effects of duodenoscopic sphincterotomy. Oig Dis Sci 19S 1: 26: 245
18. Navarretc C. Ríos.E. Palacios R et al: Colangitis Aguda Supurada: Patología de Tratamiento Endoscópico. Gastroenterol Latinoam 1990: 1 (1): 45-50
19. Himal H S: The rol of endoscopic papillotomy in asccnding cholangitis. Am Surg 1991: 15: 241-44
20. Greenen J E. Hogan W J. Oodus W J et al: The efficacy of endoscopic sphincterotomy after cholecystectomy in patients with sphincter 01′ Oddy dysfunction. N Eng J Med 19S9: 320: S2-7
21. Sales C. Solano J: Esfinterotomía endoscópica en pancreatitis aguda de etiología hiliar. Rev Col Gastroentcrol 1992: 7: 11-31
22. Cutropia J A. Oíaz J C. Pance M et al: Tratamiento endoscópico de la pancreatitis aguda de etiología hiliar. Acta Gastroenterol Latinoam 1990: 20: 217-20
23. Classen M. Osseenberg F W. Wrbs O: Pancreatitis one indication 1’01’ endoscopic papillotomy. Endoscopy 1975: 10: 223
24. Ligoury C. Coffin J C: La sphyincterotomie endoscopique au cours des pancreatitis aigues biliaires. Gastroenterol Clin Biolog 1978: 2: 954
25. Sivak M V: Endoscopic Management of hile duct stones. Am J Surg 19S9: 158: 228-40
26. Cotton P B. Lehman G, Vennes J et al: Endoscopic Sphincterotomy complications and their management: an attempt at consensus. Gastroint Endose 1991: 37: 3S3-93
27. Cotton P B: Tratado Práctico de Endoscopia Digestiva. Ediciones Científicas y Técnicas S. A.. 1992
28. Silvis S C: Therapeuitic Gastrointestinal Endoscopy. Igaku- Shoin. 1990 29. Tedesco F J: Endoscopic Surgery New York. NY 1984
30. Slivka A. Carr-Locke O L: Endoscopy Therapeutic Biliary. Endoscopy 1992: 24: 100-19 L. F. ALVAREZ. C. NAVARRETE
31. Gear M. Denl N. Colin Jones D et al: Future Needs 1’01’ ERCP. Gut IYYO 31: 1150-55
32. Zimmon D: What is the role 01′ endoseopy in the management of biliary pancreatitis and when should it be ulilized? Am J Gastroenlerol 1990: 85: 9-I I
33. Shemesh E. Cerniack A. Schneabaum S et al: Early endoscopic sphincterotomy in the managcment of acule gallstone pancrealitis in lhe elderly patients. J Am Geriatr Soc IYYO:3~: ~Y3-6
34. Van Del’ Spuy S: ERCP and E.S. in the management 01′ suspected gallslone pancreatitis. S Afr Med J 1991: 79: 16-8
35. Soehendra N. Reynders-Fredrix V: Palliative bile ducl drainage- a new endoscopic method of inroducing a transpapillary drain. Endo’sc.opy 1980: 12: 8-II
36. Domschke W. Poerster E: Endoscopic implantation of large-bore selfexpanding biliary mesh stent. Gaslroinlesl Endosc 1990:36: 55-7
37. Cremer M. Deviere 1. Sugai B: Expandable biliary metal stents for malignancies: Endoscopic inserlion and diathennic cleaning for tumor ingrowth. Gastrointest Endosc 1990:36: 451-7
38. Ghazi A. Washinglon M: Endoscopic diagnosis and management of diseases of lhe panereas and hepatobiliary tracto Probl General Surg. Vo!. 7. # 5
39. Ditzel H: Endoscopic sphinclerolomy in acule cholangilis due to choledocholithiasiso Hepato-Gaslroenlerol 1990:37: 204- 7
40. Kassianides C. Leung J. Sung J et al: Bacteremia is a risk I’aclor in patients with aCute suppurative cholangilis. Gastronlesl Endosc 1991: 100: A256
41. SAGES Postgraduate Course. A Disease oriented merger of laparoseopic and endo-luminal techniques: The value of the combines approach. March 30-Apr 3 Phenix. Arizona. 1993
42. Phillis E H. Carrol B J: New Techniques for the Trealmenl 01′ COllllllon Bile DUCl Calculi Encounlered During Laparoscopic Cholecysteetomy. Probl General Surg 1991 Sep: 8 (3): 387-94
