Discusión
El estesioneuroblastoma hace parte del grupo de tumores llamado neuroectodérmicos. (4) Además del estesioneuroblastoma, este grupo incluye al pineoblastoma, neuroblastoma, ganglioglioma, ependimoblastoma, espongioblastoma polar y el retinoblastoma. (5).
Este grupo tumoral define aquellas lesiones tumorales que comparten características neurohistológicas en común, que sugieren un mismo origen a partir de células neuroectodérmicas No sorprende que estos tumores sean similares al ser originadas a partir de progenitores comunes.
El término “blastoma “o tumor embrionario, designa a tumores de células pequeñas, eosinófilas, con algunas células indiferenciadas, y con patrones citoarquitectónicos específicos.
Estos tumores exhiben heterogeneidad intertumoral e intratumoral. La comparación de los rasgos histológicos de estas lesiones con las fases embrionarias del desarrollo forma, la base para su clasificación como tumorneuroectodérmico primitivo (PNET) (5). Los estesioneuroblastomas se originan de las células bipolares del epitelio olfatorio, cerca a la lamina cribiforme, en la parte alta de la nasofaringe. Microscópicamente estas lesiones muestran una diferenciación celular epitelial y neuronal. (3, 8). Macroscópicamente es una masa polipoide.
Existen dos picos de presentación de estas lesiones. El primero se presenta durante la adolescencia y el segundo en la cuarta y quinta década de la vida. La presentación en los extremos de la vida es rara pero ya ha sido descrita (6,7,8,9,11,10).
A la consulta de otorrinolaringología es donde inicialmente acuden estos pacientes, ya que los síntomas iníciales suelen ser de obstrucción nasal o epistaxis. (9,10,11).
Al momento de la presentación se puede encontrar proptosis u obstrucción de los senos nasales (3). Eltiempo desde el inicio de los síntomas hasta el diagnóstico del tumor varía entre meseshasta varios años.
El estesioneuroblastoma Es una lesión tumoral :
Tiende a ser maligna en el 10% de los casos (12,13,14,15) y la presencia de infiltración a ganglios linfáticos se encuentra en el 48% de las ocasiones(16).
La presencia de infiltración intracraneal y meníngea es del 6% y es un indicador de mal pronóstico. Estas tumoraciones pueden invadir el seno cavernoso y presentar parálisis de los nervios craneales (16).
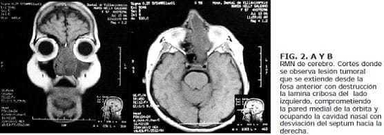
El estesioneuroblastoma no presenta un patrón definido, en los estudios de imágenes diagnósticas. Se debe sospechar al observar una lesión del tercio superior de la fosa nasal, que cause remodelación de las estructuras óseas adyacentes. Se suele observar la lesión delimitada por debajo de la lamina cribiforme. En la tomografía se observa un tumor negro intenso y brillante que causa remodelación ósea adyacente. La resonancia muestra una lesión hiperintensa en el T2. e isointensa en el T1 . que es invasora. La resonancia magnética es el estudio de elección para definir y valorar la extensión intracraneana (16).
Kadish (11) fue el primero en proponer una tabla para estadificar estas lesiones. Morita (18) se baso en ese modelo, realizó modificaciones y precisó sobre la extensión anatómica de la lesión por fuera de la cavidad nasal. Tabla No. 1.
En 1992 se presentó la serie de casos de la universidad UCLA (8), donde se creó una nueva clasificación que junto con la de Kadish son las más usadas. Tabla No. 2.
En 1982 Hyams propuso (14) una clasificación histológica de estas lesiones donde, estableciéndose en grados 1 a 4. El 1 y 2 de bajo grado y el 3 y 4 de alto grado de comportamiento más maligno. Tabla No. 3.
Los factores de mal pronóstico incluyen altos estadios en las clasificaciones de Hyam:
Kadish y Dulguerov, el sexo femenino y la edad mayor a 50 años. La presencia de recidivas también se considera como indicación de mal pronóstico (19).
El manejo óptimo de estas lesiones aun no es conocido, ya que las series grandes de estesioneuroblastoma manejados en un solo hospital no superan los 50 casos. La cirugía es el método terapéutico más utilizado para el manejo (20). Usualmente la cirugía es combinada con quimioterapia y con radioterapia. Cuando existe infiltración leptomeningea o hay extensión intracraneana, se recomiendan los abordajes combinados: transcranial con transfacial o transnasal.
El método quirúrgico de elección, es el abordaje bifrontal basal, que ayuda a presentar una exposición amplia de la zona de infiltración cerebral con un adecuado corredor quirúrgico para la resección tumoral (3,10,20). La terapia adyuvante con el cual la cirugía ha logrado mejorar el pronóstico es la radioterapia (20).
A 10 años, la media de sobrevivencia es del 46.4% y Dulguerov (8) mostró que la sobrevivencia depende de la opción terapéutica empleada. Con solo cirugía se estima del 48% y cuando se combina con radioterapia, se espera incremento al 65% (20). En los casos de solo manejo con radioterapia la sobrevivencia es del 37% (20). Se ha postulado que la quimioterapia no aumenta la sobrevida en los adultos, pero es recomendada en población pediátrica (20,21).
![]() |
![]() |

Conclusiones
El estesioneuroblastoma es un tumor infrecuente, afecta a ambos sexos por igual. Los esquemas de tratamiento sugeridos son resección quirúrgica y radioterapia. La técnica quirúrgica con abordaje subfrontalbasal es recomendada. El manejo multidisciplinar con otorrinolaringología y cirugía maxilomaxial, son buenas sugerencias.
Conflictos de Intereses:
Ninguno que declarar.
Financiación:
Recursos propios de los autores. Estudio imageneológicos y anatomopatológicos realizados dentro de la actividad asistencial.



![]() |
![]() |
![]() |
![]() |
Referencias Bibliográficas
- 1. Arnold PM, Habib A, Newell K, Anderson KK. Esthesioneuroblastoma metastatic to the thoracic intradural and extradural space. Spine J 2009; 9(5): 1-5.
- 2. Bastin KT, Steeves RS, Gilchrist KW. Esthesioneuroblastoma: diagnosis, prognosis, and treatment. Wis Med J 1993; 92(1): 17-9.
- 3. Berger L, Luc G, Richard D. The olfactory esthesioneuroepithelioma. Bull Assoc Franc Etude Cancer 1924; 13: 410–421.
- 4. Bragg TM, Scianna J, Kassam A, Emami B, Brown HG, Hacein-Bey L, et al. Clinicopathological review: esthesioneuroblastoma. Neurosurgery 2009; 64(4): 764-770.
- 5. Chen YF, Yang AK, Zhang Q, Ouyang D, Chen WK, Chen FJ. Clinical analysis of 53 cases of esthesioneuroblastoma. Chin J Cancer 2009; 28(3): 259-262.
- 6. Dias FL, Geraldo M. Patterns of failure and outcome in esthesioneuroblastoma. Arch. Otolaryngol Head Neck Surg 2003; 129: 1186-1192.
- 7. Dulguerov P, Allal AS, Calcaterra TC. Esthesioneuroblastoma: a meta-analysis and review. Lancet Oncol 2001; 2(11): 683-690.
- 8. Dulguerov P, Calcaterra TC. Esthesioneuroblastoma: the UCLA esxperience 1970-1990. Laryngoscope 1992; 102: 843-849.
- 9. Eich HT, Staar S, Micke O. Radiotherapy of esthesioneuroblastoma. Int J Radiat Oncol Biol Phys 2001; 49:155-160.
- 10. Gil-Carcedo E, Gil-Carcedo LM, Vallejo LA, deCampos JM. Tratamiento del estesioneuroblastoma. Revisión de la literatura. Acta Otorrinolaringol Esp 2005; 56:389-395.
- 11. Kadish S, Goodman M, Wang CC. Olfactory neuroblastoma. A clinical analysis of 17 cases. Cancer 1976; 37(3):1571-1576.
- 12. Koka VN, Julieron M, Bourhis J, Janot F, Le Ridant AM, Marandas P, et al. Aesthesioneuroblastoma. J Laryngol Otol 1998;112(7):628-633.
- 13. Li JS, Xie FY, Peng M, Han F. [Clinical analysis of 20 adults esthesioneuroblastoma with combined therapy]. Zhonghua Er Bi Yan Hou Tou Jing Wai Ke Za Zhi 2009; 44(1):36-39.
Fuentes Bibliográficas
- 14. Link M, Ebersold M, Olsen K, Foote R, Buckner J, Quast J. Esthesioneuroblastoma- Mnagement and Outcome. In: Kaye A, Laws E, editors. Brain Tumors. London: Churchill Livingstone; 2001. p. 899-914.
- 15. Martinez J, Dominguez LJ, Urpegui A. Olfactory esthesioneuroblastoma. Review of seven cases. Acta Otorrinolaringológica Española 1998;49(4):293-296.
- 16. Mattavelli F, Pizzi N, Pennacchioli E, Radaelli S, Calarco G, Quattrone P, et al. Esthesioneuroblastoma metastatic to the trachea. Acta Otorhinolaryngol Ital 2009;29(3):164-168.
- 17. McCormack LJ, Harris HE. Neurogenic tumors of the nasal fossa. JAMA 1955;157:318–321.
- 18. Morita A, Ebersold MJ, Olsen KD, Foote RL, Lewis JE, Quast LM. Esthesioneuroblastoma: prognosis and management. Neurosurgery 1993;32(5):706-14; discussion 714-5.
- 19. Nieto-Hernandez L, Rodríguez-Verdugo M, Nieto-Fernández J, Cordoncillo-Prieto J. Estesioneuroblastoma. A propósito de 3 casos. ORL-DIPS 2003;30(2):106-109.
- 20. Sakata K, Aoki Y, Karasawa K, Nakagawa K, Hasezawa K, Muta N, et al. Esthesioneuroblastoma. A report of seven cases. Acta Oncol 1993;32(4):399-402.
- 21. Takahashi H. Olfactory neuroblastoma (aesthesioneuroblastoma) and olfactory neuroepithelioma. No To Shinkei 1994;46(12):1134-41.













