Carcinoma adenoide quístico

Publicidad

Presentación de un caso inusual en el conducto auditivo externo

Germán Leguizamón Medina, MD*,
Rodrigo Rey, MD**,
Mónica Somogyi Rodríguez***
* Otorrinolaringólogo, Otólogo, Hospital Central de la Policía.
** Otorrinolaringólogo, Jefe Servicio de Otorrinolaringología Hospital Central de La Policía.

Resumen

Las neoplasias que surgen del conducto auditivo externo son muy raras, predominando los carcinomas escamo celulares, tumores que se desarrollan del epitelio que forma el conducto auditivo externo. Entre los tumores que se originan del componente glandular, el carcinoma adenoide quístico es el más común, el cual puede surgir de las glándulas ceruminosas o glándulas sudoríparas modificadas. Histológicamente el carcinoma adenoide quístico de conducto auditivo externo parece idéntico al de glándulas salivares, sin embargo, clínicamente su comportamiento es más agresivo. Se presenta el caso de una paciente de sexo femenino de 53 años, quien presentaba un año de evolución, prurito ótico derecho, asociado a otalgia ipsilateral. La otoscopia reveló una masa de consistencia dura que obliteraba por completo el conducto auditivo externo. La biopsia incisional de la lesión informa carcinoma adenoide quístico de conducto auditivo externo de predominio tubular. Se describen las ayudas diagnósticas utilizadas y el tratamiento llevado a cabo en esta paciente. Se hace una búsqueda sistemática en la literatura sobre los casos presentados en el mundo y su manejo.

Publicidad

Palabras clave: Carcinoma adenoide quístico,conducto auditivo externo.

Introducción

Las glándulas ceruminosas son glándulas sudoríparas modificadas confinadas a la piel de la parte cartilaginosa del conducto auditivo externo (1, 2); los tumores que surgen de estas glándulas son extremadamente raros. Entre las neoplasias que afectan estas glándulas se encuentran adenomas, adenocarcinomas, adenomas pleomórficos ceruminosos y carcinomas adenoides quísticos.

Los hallazgos microscópicos son similares a los observados en carcinomas adenoides quísticos de glándulas salivares mayores y menores. El carcinoma adenoide quístico debe diferenciarse de adenomas y tumores mixtos benignos de glándulas ceruminosas, neoplasias con estructuras glandulares y tubulares delineadas por una doble fila de células, incluyendo una capa externa de células mioepiteliales, a diferencia del carcinoma adenoide quístico, donde los túbulos presentan usualmente una sola capa de células, y además pueden identificarse estructuras cribiformes.

Algunos carcinomas adenoides quísticos están compuestos por muchos nidos sólidos, que pueden ser difíciles de diferenciar del carcinoma de células basales y los adenomas de glándulas sudoríparas (3). Para hacer el diagnóstico diferencial, el patólogo debe identificar estructuras cribiformes y túbulos con una capa única de células. El carcinoma adenoide quístico tampoco debe ser confundido con el adenocarcinoma de glándulas ceruminosas, tumor caracterizado por presentar un prominente citoplasma eosinófilo.

Publicidad

Caso Clínico

Paciente de sexo femenino de 53 años de edad, remitida al Servicio de Otorrinolaringología del Hospital Central de la Policía por presentar prurito ótico e hipoacusia derecha de un año de evolución, asociado a otalgia ocasional y dolor hemifacial ipsilateral.

Entre los antecedentes de importancia la paciente presentaba dislipidemia y diabetes mellitus tipo II controladas.

En el examen físico se encontró una masa encapsulada que obliteraba completamente el conducto auditivo externo derecho hasta el meato, de consistencia dura y con vasos sanguíneos en su superficie.

Paraclínicos:

– TAC de oídos: lesión con densidad de tejidos blandos ocupando el conducto auditivo externo derecho, con extensión hacia el oído medio. Cadena osicular y scutum sin erosiones.

– Citología: lesión tumoral constituida por células epiteliales. No fue posible definir la conducta de la lesión.

– Audiometría: hipoacusia mixta leve en oído derecho. Oído izquierdo normal.

Publicidad

El 10 de agosto de 2001 se realizó toma de biopsia de la lesión bajo anestesia general. La patología informó carcinoma adenoide quístico de conducto auditivo externo, con líneas de sección ampliamente comprometidas. Sin evidencia de compromiso perineural.

En Junta de Decisiones de Oído se decidió realizar biopsia ampliada de oído externo y medio, llevando a cabo esto el 4 de diciembre de 2001 y canaloplastia más timpanoplastia más conchomeatoplastia.

Macroscópicamente no hay evidencia tumoral y las biopsias por congelación fueron negativas para tumor.

El informe final del estudio anátomo patológico determinó: tumor epitelial maligno: carcinoma adenoide quístico de conducto auditivo externo y oído medio derechos, de predominio tubular y mínimos componentes cribiformes y sólidos. Nuevos bordes ampliados de resección negativos, excepto por compromiso de una línea de sección profunda de piel de la pared posterior del conducto auditivo externo.

La evolución postoperatoria de la paciente fue satsfatoria.

Se propuso radioterapia postoperatoria, completando 4.400 cGy a fracciones de 250 /día a 2 cm de profundidad. En un período de seguimiento de seis meses se han observado los cambios de la piel esperables con este tipo de terapia, como descamación y cambios de pigmentación. No hay evidencia de estenosis del conducto y el neotímpano es normal.

Discusión

Las neoplasias primarias del conducto auditivo externo son bastante raras, predominando los carcinomas escamo celulares, los cuales surgen del epitelio del conducto auditivo externo. Entre los tumores que se originan del componente glandular, el carcinoma adenoide quístico es el más común.

El carcinoma adenoide quístico también se conoce con el nombre de cilindroma o adenocarcinoma tipo cilindroma.

En glándulas salivares este tipo de tumor constituye el 10% de todas las neoplasias de las glándulas salivares (4), y es el segundo tumor maligno más frecuente de las glándulas salivares después del carcinoma mucoepidermoide. El carcinoma adenoide quístico es la neoplasia maligna más común de las glándulas submandibulares, sublinguales y glándulas salivares menores. Su ocurrencia en el conducto auditivo externo es bastante infrecuente.

En algunos casos el tumor incuestionablemente surge en la parótida adyacente y secundariamente puede afectar el conducto auditivo externo; en otros pacientes la lesión se origina en el conducto auditivo externo, y el probable origen son las glándulas ceruminosas o glándulas sudoríparas apocrinas, las cuales se encuentran profundas en la dermis.

Al igual que en glándulas salivares, los casos reportados de carcinoma adenoide quístico en el conducto auditivo externo se observan en personas mayores de 40 años generalmente.

A nivel microscópico, el carcinoma adenoide quístico de conducto auditivo externo es idéntico al de glándulas salivares. Existen tres tipos histológicos basados en la arquitectura tumoral:

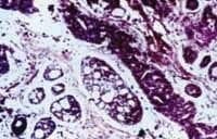
Cribiforme. Es el modelo tumoral más frecuente de glándulas sálivares (44%) y a nivel microscópico tiene la apariencia de queso suizo (Figura 1). Tubular o trabecular. La arquitectura tumoral tiene una apariencia más glandular (Figura 2). Sólido. Sin espacios tubulares.

Carcinoma adenoide quístico externoFigura 1. Carcinoma adenoide quístico de conducto auditivo externo: modelo tumoral cribiforme. Bogotá, D.C. Leguizamón, Rey, Somogyi. 2002.

Carcinoma adenoide quístico internoFigura 2. Carcinoma adenoide quístico de conducto auditivo externo: modelo tumoral tubular. Bogotá, D.C. Leguizamón, Rey, Somogyi. 2002.

La mayoría de los carcinomas adenoides quísticos muestran una arquitectura mixta, y la clasificación dependerá del subtipo predominante. El diagnóstico microscópico diferencial deberá hacerse con adenomas, tumores mixtos benignos de glándulas ceruminosas, carcinomas de células basales y adenocarcinomas de glándulas ceruminosas.

Estos tumores se caracterizan por presentar un crecimiento inicialmente indoloro, con tendencia a la invasión local y perineural, esta última más frecuente en tumores avanzados y/o recurrentes y con alto grado tumoral. El comportamiento clínico de estos tumores en el conducto auditivo externo es mucho más agresivo que en las glándulas salivares.

La invasión linfática es infrecuente y la metástasis a distancia ocurre generalmente en los primeros años de la enfermedad, aunque a diferencia del carcinoma escamo celular del tracto aerodigestivo superior, las curvas de supervivencia en pacientes con carcinoma adenoide quístico no muestran la meseta característica después de cinco años de enfermedad y la tasa de supervivencia continúa declinando aún después de 20 años de diagnosticado el tumor.

La incidencia de metástasis a distancia se correlaciona altamente con el estadio de la enfermedad y el sitio más frecuentemente afectado es el pulmón.

Los factores que influyen en la supervivencia de los pacientes con carcinoma adenoide quístico de conducto auditivo externo de pobre pronóstico son (4):

– Estadio de la enfermedad avanzado.
– Modelo histológico: al igual que en glándulas salivales, en el carcinoma adenoide quístico de conducto auditivo externo, el tipo tubular tiene el mejor pronóstico, el tipo cribiforme, intermedio y el sólido, el peor pronóstico.
– Grado tumoral alto.
– Márgenes quirúrgicos positivos.
– Compromiso de la glándula parótida.
– Compromiso óseo.
– Invasión perineural.
– Recurrencia local.
– Metástasis sistémica.

Después que la biopsia informa carcinoma adenoide quístico de conducto auditivo externo, el paciente debe ser completamente examinado para evaluar la extensión de la enfermedad. Deben palparse las parótidas y estructuras adyacentes y siempre recurrir a la tomografía axial computarizada para descartar compromiso óseo y delinear la invasión tumoral para planear la cirugía.

La resección quirúrgica ampliada es el manejo recomendado, y el principal objetivo deberá ser la completa resección tumoral con bordes negativos, evitando morbilidad innecesaria.

Debido a la naturaleza insidiosa de este tumor, tejido afectado microscópicamente puede tener una apariencia macroscópica normal, por tanto una resección quirúrgica más radical es recomendada ante los siguientes hechos:

– El estudio histológico demuestra tumor en o cercano a las líneas de resección quirúrgica.
– La valoración prequirúrgica muestra enfermedad avanzada.
– los tumores que han recurrido después de una resección más limitada.

Cuando la lesión se ha extendido a la membrana timpánica, ésta debe ser resecada junto con el martillo y el yunque, y cuando sea posible se deberá preservar la supraestructura del estribo para prevenir fístulas (3).

Aun ante grandes resecciones puede no controlarse el tumor debido a la extensa invasión local.

La disección del cuello está indicada ante evidencia de la enfermedad metastásica en los nódulos linfáticos cervicales. Para un cuello negativo, se hará disección del cuello dependiendo del tamaño y el grado histológico del tumor.

La radioterapia coadyuvante puede ser de utilidad en casos de tumores de alto grado o muy avanzados; también es útil en el control de tumores recurrentes, inoperables o con indicadores de pobre pronóstico.

La radioterapia como una sola modalidad es de ayuda para el control local, pero la supervivencia es baja; ésta puede ser ofrecida a los pacientes que rechazan la cirugía.

La quimioterapia no ha mostrado respuesta significativa en el manejo de los pacientes con carcinoma adenoide quístico.

Abstract

Neoplasias that arise in the external auditory canal are very strange, prevailing squamous cell carcinoma, tumors that are developed in the epithelium and that form the external auditory canal. Among the tumors that are originated in the glandular component, adenoid cystic carcinoma is the most common and can arise in ceruminous glands or modified sweat glands. Histologically, the adenoid cystic carcinoma is similar to salivary glands, however its behavior is clinically more aggressive. There is a case of a female patient, 53 years old, who presented a year of pruritus and otalgia. Right otoscopy reveals a mas of hard consistency that obliterated completely the external auditory canal. The incisional biopsy of the lesion informs adenoid cystic carcinoma of the external auditory canal with tubular prevalence. The used diagnostic tools and treatment are described in this patient. A systematic search is made in the literature on the cases presented in the world and its treatment.

Key words: Adenoid cystic carcinoma, external auditory canal.

Correspondencia: Germán Leguizamón Medina. Hospital Central de La Policía, Servicio de Otorrinolaringología. E-mail: germanleguizamonmedina@hotmail.com

Rodrigo Rey. Hospital Central de la Policía, Servicio de Otorrinolaringología. E-mail: rodreyna59@hotmail.com

Mónica Somogyi Rodríguez: Universidad Nacional de Colombia, Facultad de Medicina, oficina 201. Email: monicasomogyi@hotmail.com

Bibliografía

1. Iqbal A., Newman P. Ceruminous Gland Neoplasia. Br Journal Plastic Surgery, 1998 Jun. V 51, N 4. p 317 – 320.
2. Sousa N., Sousa A. Tumor of Ceruminous Gland with Intracranial Invasion: Case Report. Arq Neuropsiquiatr, 2000 Jun, V 58, N 2A. P 324 – 329.
3. Persin K., y col. Carcinoma Adenoide Quístico que Involucra el Conducto Auditivo Externo. Cáncer, Dic 1982, V 50.
4. Cummings C. et al. Otolaryngology Head and Neck Surgery. Third Edition Mosby, 1.998. p 1255 – 1302.
5. Aikawa H., et al. Adenoid Cystic Carcinoma of the External Auditory Canal: Correlation between Histological Features and MRI Appearances. Br Journal Radiology, 1997 may. V 70, N 833. p 530 – 532.
6. Matthew R., et al. Adenoid Cystic Carcinoma of the External Auditory Canal with Pulmonary, Renal and Liver Metastasis. Indian Journal Cancer, Sep 1997. V 34, N 3. p 139 – 142.
7. Shadaba A., et al. The Response of Adenoid Cystic Carcinoma to Tamoxifen. Journal Laryngology Otology, 1997 Dec. V 111, N 12. p 1186 – 1189.
8. Umeno H., et al. Clinicopathological Study of 54 Cases of Adenoid Cystic Carcinoma in the Head and Neck. Nippon Jibiinkoka, 1997 Dec, V 100, N 12. p 1442 – 1449.

Autor

Otros temas relacionados

Revista de Otorrinolaringología, Junta Directiva, Volumen 30 No. 4

Deja un comentario