Se describe la historia clínica de los 3 pacientes, los cuales, presentaron hematomas subdurales crónicos unilaterales, y fueron tratados médicamente controlando la posición de la cabeza durante el sueño.
En 2 de ellos se aplicó betametasona IM., por los síntomas neurológicos transitorios por los cuales consultaron.
La clínica que presentaban era similar a cuadros de insuficiencia vascular transitoria, y los cuales se interpretaron como causados por irritación cortical producida por los hematomas subdurales, irritación descrita en la literatura médica[1-4,6].
Los pacientes sintieron alivio de los síntomas a las pocas horas de aplicada esa única dosis. (Lea también: Artículo Científico, Hematomas Subdurales Crónicos Unilaterales)
Se ilustra cada historia clínica con las imágenes de Tomografía computarizada o de Resonancia Magnética, tomadas respectivamente durante el proceso de seguimiento de los pacientes.
Los controles clínicos periódicos no mostraron en ningún momento deterioro neurológico, y por el contrario se observó una mejoría progresiva de los síntomas focales y generales.
Los pacientes y sus familiares, fueron informados en forma estricta de los riesgos de este tratamiento medico, pero controlados permanentemente en forma ambulatoria y con imágenes radiológicas.
Caso 1
Paciente masculino de 76 años de edad, hipertenso y anticoagulado con warfarina oral por historia de acci dente cerebrovascular causado por embolias, originadas en una valvulopatía aórtica 3 años antes. Pre senta un hematoma subdural agudo izquierdo espontáneo.
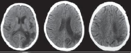
Ingresa al servicio de urgencias con un INR de 3.8 y un Glasgow de 5/15. Se toma un TAC de cráneo simple donde se observa un hematoma subdural agudo (imagen No. 1). Se practicó una craneotomía frontoparietal izquierda con la evacuación del hematoma subdural.
El paciente es manejado inicialmente en la Unidad de Cuidados Intensivos y desde el postoperatorio inmediato se observan alteraciones cognitivas, consistentes en desorientación, cuadros apráxicos y alteraciones en la comprensión de la palabra hablada.
Al tercer día del postoperatorio presenta cuadro neurológico compatible con isquemia cerebral, consistente en hemiparesia derecha de predominio braquiofacial, hemiparesia que mejora lenta y progresivamente.
El paciente progresivamente manifiesta síntomas persistentes de cefalea holocraneana, se realiza un nuevo control radiológico al mes del cuadro agudo subdural, y se observa en las imágenes, la formación de un hematoma subdural crónico izquierdo (imagen No. 2). Los familiares refieren que el paciente duerme preferencialmente sobre el lado derecho.
Por las condiciones clínicas del paciente, es tratado solamente controlando la posición de la cabeza durante el sueño, solicitando que duerma del lado don de presenta el hematoma, del lado izquierdo.
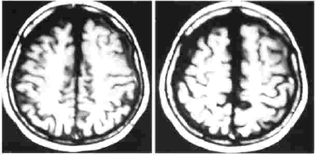
Los controles radiológicos muestran la absorción progresiva del hematoma (imagen No. 3), hasta el último control 3 meses después con la absorción completa, se visualiza también en las imágenes la encefalomalacia producida por la lesión vascular en el territorio frontoparietal izquierdo (imagen No. 4).
Caso 2
Paciente femenina de 42 años de edad, quien consulta por cefalea permanente de 3 días de evolución y cuadros de afasias súbitas, transitorias, que duran más o menos 30 minutos, y se han repetido en varias oportunidades durante los 2 últimos días.
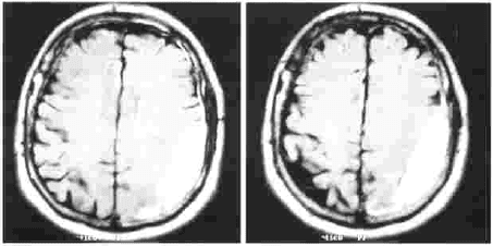
La paciente tiene historia de trauma craneano le ve 10 días antes de la consulta, y no presenta otros ante cedentes clínicos importantes. En el interrogatorio refiere dormir siempre sobre el lado derecho. El examen general y neurológico es totalmente normal, observando solamente en el Fondo del Ojo, ausencia del pulso venoso. Las imágenes de Resonancia magnética cerebral muestran un hematoma subdural crónico izquierdo (imagen No. 5).
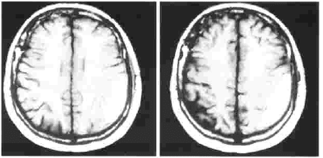
Se aplica intramuscular una ampolla de Celestote Cronodose® (3 mgrs. de betametasona como fosfato disódico de betametasona y 3 mgrs. de acetato de betametasona para uso IM., medicamento esteroideo de acción lenta con un efecto sistémico máximo de 10 días postaplicación). Y se solicita a la paciente dormir del lado del hematoma, o sea del lado izquierdo.
A las 24 horas la paciente refiere mejoría de la cefalea y ausencia de las crisis de afasia. Los controles periódicos no mostraron signos clínicos de deterioro neurológico, presentó mejoría rápida de la cefalea, por lo cual se mantuvo bajo observación médica y la solicitud de mantener la misma postura durante el sueño.
Se realizó nueva Tomografía Computadorizada de cráneo simple a la 2 y a la 4 semanas de la inicial, en la primera se observó una resolución parcial del hematoma, y en la ultima un absorción completa del mismo (imagen No. 6).
Caso 3
Paciente masculino de 75 años de edad, quien consulta por presentar en varias oportunidades y durante los últimos 3 días cuadros súbitos de paresia en miembro superior derecho, transitorios, con una duración de más o menos 60 minutos, asociados a una alteración sensitiva difícil de describir por el paciente.
Tiene el antecedente de haber sido operado por un meningioma esfenoidal derecho 10 años atrás. No refiere traumas craneanos recientes o antiguos, pero relata haber presentado crisis severas de tos un mes antes de la consulta; éstas asociadas a proceso bronconeumónico viral.
Al examen físico se encuentra paresia leve proximal del miembro superior derecho con aumento de los reflejos bicipital, radial y tricipital derechos, sin alteraciones sensitivas. El examen neurológico es normal, se observa cicatriz quirúrgica frontotemporal derecha.
Las imágenes de resonancia magnética muestran un hematoma subdural crónico izquierdo (imagen No. 7). El paciente refiere dormir siempre sobre el lado derecho.
Se aplicó una ampolla intramuscular de Celestote Cronodose® (3 mgrs. de betametasona como fosfato disódico de betametasona y 3 mgrs. de acetato de beta metasona para uso IM., medicamento esteroideo de acción lenta con efecto sistémico máximo de 10 días postaplicación). Y se solicita al paciente dormir del lado del hematoma, del lado izquierdo.
Los controles neurológicos periódicos no muestran signos clínicos de deterioro neurológico, desaparecen totalmente las crisis de paresias en el miembro superior derecho. Las imágenes de resonancia magnética realizada al mes, muestra

Imagen No. 1. TAC de cráneo simple con hematoma subdural agudo izquierdo.

Imagen No. 2. Resonancia Magnética cerebral 4 semanas después. Se observa un hematoma subdural crónico izquierdo.

Imagen No. 3. TAC de cráneo simple 2 meses después. Se observa la absorción progresiva del hematoma subdural crónico izquierdo.

Imagen No. 4. TAC de graneo simple sin hematoma subdural. Se modificaron las imágenes para eliminar el nombre y los datos del paciente.

Imagen No. 5. Resonancia magnética cerebral inicial. Se observa el hematoma subdural crónico izquierdo.

Imagen No. 6. Resonancia magnética cerebral a las 4 semanas. Se modificaron las imágenes para eliminar los nombres y los datos de la paciente.

Imagen No. 7. Resonancia magnética cerebral inicial.

Imagen No. 8. Resonancia magnética cerebral a las 4 semanas.

Imagen No. 9. Resonancia magnética cerebral a los 3 meses. Se modificaron las imágenes para eliminar los nombres y los datos del paciente.

