Dr. FERNANDO BULLA
Dermatólogo. Universidad Nacional.
Dr. José Félix Restrepo
Profesor Asociado Medicina Interna y Reumatología
Universidad Nacional de Colombia
Coordinador Unidad de Reumatología
Dr. FERNANDO PALMA
Profesor Asistente de Dermatopatología
Universidad Nacional de Colombia
Dr. Antonio Iglesias Gamarra
Profesor Asociado Medicina Interna y Reumatología
Universidad Nacional de Colombia
Resumen
Presentamos el caso de un paciente de 39 años con múltiples nódulos subcutáneos en rodillas, codos, cuellos de pie y pequeñas articulaciones de manos de seis años de evolución asociado con la presencia de paniculitis por cristales de urato monosódico. La presencia de paniculitis en la gota es inusual, ha sido informada pocas veces en la literatura y creemos que debe considerarse a la gota dentro del diagnóstico diferencial de ésta.
Summary
We are presenting a 39 year-old patient with multiple subcutaneous nodules involving his knees, elbows, ankles and small joints, for more than 6 years, associated to monosodium urate panniculitis. Association between gout and panniculitis is unusual, and we believe that gout should be included in the differential diagnosis of panniculitis.
Introducción
El dogma tradicional de la gota es la crisis aguda de podagra y la asociación con hiperuricemia. Pensamos que el síndrome de la gota está cambiando en las últimas décadas, lo que hace necesario la revisión de la naturaleza de la génesis de algunos aspectos clínicos nuevos lo que permitiría enfocar estos pacientes de una manera más precisa.
De acuerdo con los criterios de Hasselbacher1-5 la mayoría de los pacientes con gota son normouricémicos, algunos pueden tener hiperuricemia y en estos el depósito de cristales de urato monosódico en los tejidos (tofos) ocurre luego de varios años de evolución. Estos depósitos en forma de microtofos se realiza en determinados individuos y a pesar de tener preferencia por las articulaciones y tejidos periarticulares no se conoce muy bien el mecanismo fisiopatológico.
El propósito de este artículo es informar el caso de un hombre de 39 años de edad quien presentaba gota poliarticular crónica de 6 años de evolución y paniculitis por cristales de urato monosódico del mismo tiempo de evolución, no asociada a insuficiencia renal, diabetes mellitus, pancreatitis, o uso de diuréticos como ha sido informado previamente en otros lugares6-7.
Presentación del caso
Paciente de 39 años con enfermedad de 15 años de evolución, quien consultó por episodios intermitentes de sinovitis de la primera articulación metatarsofalángica izquierda y posterior compromiso inflamatorio de cuellos de pies, codos y articulaciones de las manos. Durante los últimos diez ha notado disminución de los arcos de movimiento en las pequeñas y grandes articulaciones asociadas con deformidades en los pies, manos y codos. Desde hace seis años se observa eritema e induración del aspecto dorsal de las piernas y de los muslos asociados con cambios en la pigmentación de la piel de estas áreas. Hace tres años, después de un trauma, el paciente presenta exudación de una sustancia gruesa, blanquecina en el aspecto dorsal de la pierna izquierda. Hace dos años se le diagnosticó gota y artritis reumatoidea para lo cual recibió diversos tratamientos incluidos la colchicina, allopurinol, antiinflamatorios no esteroideos, sales de oro, prednisona y cloroquina. La terapia fue descontinuada hace un año por pobre respuesta clínica.
Al examen físico se encontraba en aceptable estado general. A nivel de codos se apreciaban nódulos simétricos subcutáneos yuxta-articulares, de 2×3 cms de diámetro, de consistencia dura y no adheridos a planos profundos (Figura 1). Había limitación funcional en codos, rodillas, cuello de pies y manos, además presentaba sinovitis bilateral de las articulaciones metacarpofalángicas y deformidades en cuello de cisne de los cuarto y quinto dedos de ambas manos.
Figura 1. Nódulos subcutáneos juxta articulares de 2 x 3 cm de tamaño y consistencia dura en los codos
Se observaron cambios de pigmentación del aspecto posterior de los muslos y de las piernas, con nódulos de consistencia dura y pérdida del vello. (Figura 2).
Figura 2. Nódulo de consistencia dura: Area de placas escleróticas de consistencia dura. Pérdida del pelo terminal en estas zonas.
En el aspecto lateral de la pierna derecha se observó una úlcera de 2×3 cm de diámetro mayor, de la cual exudaba una sustancia gruesa y blanquecina (Figuras 3 y 3A).
Figura 3. Ulcera de 2×3 centímetros localizada en el aspecto lateral de la pierna derecha que muestra exudación de cristales de urato monosódico a través de ella.

Figura 3A. Acercamiento de la lesión descrita en la figura 3.
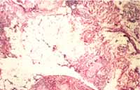
La biopsia de piel de esta área, fijada en alcohol, reveló una inflamación granulomatosa con depósito de un material eosinófilo amorfo, el cual estaba rodeado por una empalizada de histiocitos (Figura 4).


Figuras 4 y 4A. Piel. Material amorfo en la dermis profunda y en el tejido celular subcutáneo rodeado por histiocitos que están dispuestos en empalizada. (Hematoxilina- eosina 10x).
Se apreciaron células gigantes tanto en la dermis como en la grasa subcutánea, con linfocitos dispersos y una lesión de características multifocales (Figura 5).


Figura 5. Piel. Depósitos de material eosinófilo amorfo en la dermis profunda y en el tejido celular subcutáneo con presencia de granulomas a cuerpo extraño. (Hematoxilina-eosina 4x).
El estudio de la biopsia y del material de la sustancia exudada con microscopio de luz polarizada reveló la presencia de cristales de urato monosódico (Figuras 6 y 7).
Figura 6. Piel. Birrefringencia de cristales en las áreas correspondientes al material amorfo (Microscopio de luz polarizada 4x).
Figura 7. Frotis de material blanquecino que muestra cristales en forma de agujas con birrefringencia negativa intensa. (Microscopio de luz polarizada 4x).
Los exámenes paraclínicos mostraron lo siguiente: Acido úrico 10,8 mgs/% (N=2,1-7,4), nitrógeno ureico 26 mgs/% (N= 8-23), creatinina sérica 1,6 mgs/% (N= 0,5-1,5), depuración de la creatinina 50 ml/min (N= 80-120 ml/min), calcio sérico 9,3 mgs/ml (N=9,2-11), aspartato aminotransferasa 28 UI/L (N=0-40), alanino aminotransferasa 8 UI/L (N=0-38), fosfatasa alcalina 88 UI/L(N=34-114), bilirrrubina total 0,68 mgs/%, bilirrrubina directa 0,13 mgs/% (N=0-0,25), factor reumatoideo 50 UI/ml (N= 0-40). La glicemia, el parcial de orina, los lípidos séricos y el cuadro hemático fueron normales.
Discusión
La hiperuricemia se define como niveles de ácido úrico por encima de 7.0 mg/dl en los hombres y 6.0 mg/dl en las mujeres. La incidencia de hiperuricemia en la población general es de 17.6%8
Se ha postulado que la artritis gotosa generalmente no es aparente en las estructuras articulares hasta que se satura el líquido articular y se inicia el cuadro agudo o crónico. No se conoce muy bien como se modula la formación del cristal y de los microtofos.
En los últimos 20 años el transplante de los órganos sólidos se ha incrementado y desde 1978 se ha venido utilizando la ciclosporina para prevenir el aloinjerto de órganos sólidos, lo que ha permitido observar que en la población transplantada el período de incubación para desarrollar la artritis gotosa y los tofos es más corto y la incidencia de la hiperuricemia en la población transplantada es mayor que en la población general8-9.
La hiperuricemia se ha informado en el 30-75% de los aloinjertos renales después de dos años de recibir el transplante renal8, 10-11. Burack y col12 en una revisión de 196 transplantes de corazón o corazón/pulmón, encontraron hiperuricemia en el 72% de los hombres y el 81% de las mujeres, pero la hiperuricemia inducida por la ciclosporina es independiente del transplante y al parecer el mecanismo de la hiperuricemia está relacionado con una disminución de la tasa de filtración glomerular y a la vez una alteración a nivel de los túbulos proximales que interfiere en la excreción de ácido úrico, pero al igual como ocurre en la población general, sólo de 4-28% de los pacientes transplantados experimentan artritis gotosa y entre los factores predictivos para el desarrollo de ésta se encuentran la hiperuricemia, el incremento de los niveles de creatinina y el sexo masculino4, 8, 13. Existen algunas diferencias entre la gota que se presenta en la población general, y la que se desarrolla en el paciente transplantado.
En este último caso suele presentarse en articulaciones no típicas, puede ser crónica, poliarticular y aparecer entre 1 y 5 años después de iniciar el tratamiento con ciclosporina8. Adicionalmente, estos pacientes frecuentemente también reciben esteroides y se ha demostrado que los pacientes que reciben en forma crónica esteroides pueden desarrollar tofos óseos o subcutáneos en forma asintomática8. En este grupo de pacientes no se ha encontrado paniculitis secundaria al depósito de cristales de urato monosódico. La paniculitis debido a la gota ha sido descrita en dos pacientes6-7, 14. El primer paciente, un hombre de 37 años fue descrito por LeBoit y colaboradores y el segundo, una mujer de 68 años fue descrita por Niemi. Ninguno de ellos tenía historia familiar de gota y a ambos se les había administrado diuréticos que es una causa conocida de hiperuricemia.
El paciente informado por LeBoit era diabético, hipertenso, con insuficiencia renal y policitemia. En el caso presentado por Niemi, la paniculitis fue secundaria, además del uso de diuréticos, a un componente de pancreatitis, otra causa conocida de paniculitis. En ambos pacientes la paniculitis comprometió las extremidades superiores y los nódulos se desarrollaron rápidamente, después de 2 y 6 meses respectivamente. En el caso que presentamos en este artículo los nódulos se desarrollaron más lentamente, de manera crónica y progresiva durante un periodo de 6 años y se asociaron con úlceras en las extremidades al igual que con acumulación y excreción de cristales urato monosódico a través de ellas.
La paniculitis usualmente no se considera una manifestación de la gota y por ello no se incluye de manera rutinaria en el diagnóstico diferencial de la paniculitis. Sin embargo, los hallazgos en nuestro paciente al igual que los dos casos previamente informados6-7 nos permiten estar de acuerdo con Peters14 para considerar la gota en el diagnóstico diferencial de la paniculitis. De acuerdo con Lichtenstein15 y colaboradores los depósitos extraesqueléticos de urato monosódico en la piel y en los tejidos subcutáneos de los pacientes con gota se localizan preferencialmente en los pabellones auriculares de manos y pies. Gottron y Korting16 describieron depósitos de cristales de urato monosódico en la piel de las manos adyacentes a las articulaciones. Otros sitios donde se pueden localizar los tofos pero que son menos frecuentes y que han sido previamente informados son las palmas de las manos, la planta de los pies, el túnel carpiano, cartílago de la nariz, aorta, válvulas cardíacas, discos intevertebrales, lengua y cuerpos cavernosos17. El hecho de que los dos pacientes descritos por Niemi y LeBoit no hayan tenido una crisis aguda o crónica de gota o una historia familiar no excluye el diagnóstico de gota.
Describimos un hombre de 39 años con múltiples nódulos subcutáneos en rodillas, codos, cuellos de pie y pequeñas articulaciones de manos con 6 años de evolución. Su estado prodromico monoarticular evolucionó a una forma poliarticular crónica. Queremos subrayar el hecho que la paniculitis es una manifestación clínica e inusual de la gota y se presenta como resultado de los depósitos de cristales de urato monosódico en el tejido celular subcutáneo. Pensamos que la paniculitis que se presenta en un paciente con gota poliarticular crónica acompañada de hiperuricemia ocasiona el depósito de cristales en sitios atípicos (por ejemplo la hipodermis), sin que haya necesariamente la presencia de insuficiencia renal crónica, diabetes mellitus, pancreatitis o uso crónico de diuréticos como ha sido descrito previamente.
Referencias
- Hasselbacher P. Gout. The best understood form of arthritis. Arthritis care and Research 1996; 9: 5-8.
- Hasselbacher P. Crystal-protein interactions in crystal induced arthritis. In Advances in Inflammation Research. Vol 4 edited by Weissmann. New York Raven press 1982; 25-44.
- Hasselbacher P. Treatment of hyperuricemia and gout. In Conns’s Current therapy. Thirty-fifth edition. Philadelphia. WB Saunders 1983; 432-436.
- Hasselbacher P, McMillan RM, Vater CA, Hahn JL, Harris DE Jr. Stimulation of collagenase and PGE2 by sinovial fibroblast in response to crystais of monosodium urate monohydrate: A model for joint destruction in gout. Proc Assoc Am Physicians 1981; 44: 243-252.
- Hasselbacher P. Variation in synovial fluid analysis by hospital laboratories. Arthritis Rheum 1987; 34: 637-642.
- Niemi K-M. Panniculitis of the legs with urate crystal deposition. Arch dermatol 1977; 113: 655-6.
- Lebolt PE, Schneider S. Gout presenting as lobular panniculitis. Am J. Dermatopathol 1987; 9: 334.
- George T, Mandell BF. Gout in the transplant patient. Journal of Clinical Rheumatology. 1995; 1: 328-334.
- Calne RY, White DJ, Thiru S et al. Cyclosporine in patients receiving renal allograft cadaver donors . Lancet 1978; 2: 1323-2327.
- Kahan BD, Flechner SM, Lorber MI, et al. Complications of cyclosporine-prednisone immunosuppression in 402 renal allograft recipients exclusively followed at a single for from one to five years. Transplantation 1987; 43: 197-204.
- Leunissen KM, Bosman F, Van Hooff JP. Cyclosporine, uric acid and the kidney (tetter). Lancet 1985; 702.
- Burak DA, Friffit BP, Thompson ME, Kahal LE. Hyperuricemia and gout among heart transplantation recipient receiving cyclosporine. Am J Med 1992; 141-146.
- Mikkeisen WM, Dodge HJ, Valkenburg H. The distribution of uric acid values in population as to gout or hyperuricemia: Tecumsech, Michigan 1959-1960. Am J Med 1965; 39: 242-257.
- Peters M, Daniel Su W. Panniculitis. Dermatologic Clinics 1992; 10: 37-57.
- Lichtentstein L, Scott Hww, Levin MH. Pathologic changes in gout. Am J. Pathol 1956; 32: 871-886.
- Gottron HA, Korting GW. Chronische Hautgitchi. Arch Klin exp Dermatol 1957; 204: 482-499.
- Reper P. Unusual localization of tophaceous gout. Arch Orthop Trauma Surgery 1996; 115 (5): 297-299.
