El trauma es en el mundo moderno, una de las principales causas de morbilidad y mortalidad. En nuestro país es la segunda causa de muerte después de las enfermedades cardiovasculares, constituyéndose, en el grupo de edad entre los 15 y los 44 años, en la principal causa, siendo responsable del 71% de las muertes. En los varones, considerando todas las edades, es responsable del 36.8% de todas las defunciones, mientras que en las mujeres son más comunes las muertes por enfermedades cardiovasculares (35.3%), y por tumores (17.7%), que por causas relacionados con violencia. (Lea también: lntervención fisioterapéutica en las atelectasias post-operatorias)
Santiago Restrepo Uribe, MD*
Introducción
En países desarrollados como en los Estados Unidos, el trauma es la tercera causa de muerte, después de las enfermedades cardiovasculares y el cáncer. En Colombia se realizaron en el Instituto Nacional de Medicina Legal y Ciencias Forenses (INMLCF), 43.800 necropsias en todo el país, de las cuales 87.9% correspondieron a muertes violentas.
Del total de lesiones mortales por las llamadas “causas externas” (léase causas violentas), 65.7% correspondieron a homicidios seguidos por accidentes de tráfico que representaron un 20.2%.
En el año 1995 se realizaron 7.874 necropsias en el Instituto de Medicina Legal , por accidentes de tránsito (tasa de 22/100,000 habitantes). El mismo INMLCF evalúa en un año unas 52.527 víctimas de lesiones por accidentes de tránsito (víctimas no mortales), para una tasa de150/100,000 habitantes).
Por cada defunción por accidentes de tráfico hubo siete lesionados. La población colombiana con mayor riesgo para lesiones no mortales por accidentes de tráfico son los varones de 25 a 34 años, mientras que los de mayor riesgo para lesiones mortales son los varones mayores de 60 años41.
El trauma del tórax es importante tanto en el contexto del paciente con trauma torácico aislado, como en el paciente politraumatizado, en quien la patología torácica puede ser su causa de muerte. Más de la mitad de los pacientes con laceración o contusión pulmonar presentan lesiones significativas en otro órgano o sistema de importancia: trauma cráneo-encefálico en el 50%; de las extremidades en el 45%; de abdomen 30%; de la pelvis 15%, y de columna vertebral 10%44.
Los principios generales para el manejo del paciente politraumatizado, se aplican igualmente para el manejo del paciente un trauma del tórax, debiendo preceder, la estabilización de la función cardiovascular y la permeabilidad de la vía aérea, a los estudios radiológicos.
Abordaje diagnóstico del trauma del tórax
El abordaje diagnóstico por imágenes del paciente con trauma del tórax debe iniciarse por la radiografía simple o convencional. La placa simple del tórax ha sido y sigue siendo la principal y primera modalidad de estudio por imágenes en el estudio del trauma penetrante o no penetrante del tórax.
Su disponibilidad prácticamente universal, su capacidad para ser utilizada aún en los pacientes en estados más críticos, su bajo costo, y su adecuada capacidad diagnóstica para muchas situaciones clínicas, validan su vigencia actual como método de tamizaje, a partir del cual y según los hallazgos y dudas diagnósticas que puedan surgir.
Se decide sobre el método diagnóstico complementario a seguir, ya sea la tomografía axial computarizada (TAC), ultrasonido (US), angiografía, o imágenes por resonancia magnética (IRM), como exámenes de segunda línea.
De estas diversas modalidades anotadas, la TAC probablemente es el examen de elección para ser utilizado como complemento a la radiografía simple del tórax en el trauma torácico, por su excelente capacidad diagnóstica y su capacidad para franquear con éxito las limitaciones conocidas de la radiografía simple, así como por su inmejorable capacidad de evaluar estructuras como los grandes vasos del mediastino, y la vía aérea central30, la pared torácica, el diafragma, la tráquea la vía aérea central y el esófago32.
TAC helicoidal
La TAC helicoidal desde su introducción en la práctica clínica ha ganado un sitio de gran relevancia en la valoración de estos pacientes por su capacidad de hacer una exploración torácica completa en tan solo 20 a 40 segundos.
En lo posible, la radiografía simple del tórax debe realizarse con el paciente en posición vertical, ya que esto facilita enormemente la valoración del mediastino para determinar si hay o no sospecha de lesión vascular ante la presencia de un mediastino ensanchado29.
Igualmente se debe realizar siempre que sea factible, la proyección lateral, para poder valorar tanto el esternón como la columna torácica, además de los ángulos costofrénicos y la vía aérea central. En los casos en que se considere necesario, pueden obtenerse radiografías para el estudio específico de la reja costal.
Algunos autores han cuestionado su utilidad, pues es infrecuente que en estas se obtenga mayor información de la que se obtiene en las radiografías del tórax, que además permiten evaluar el parénquima pulmonar, el espacio pleural y el mediastino36,37.
Especialmente se ha encontrado de mínima utilidad la radiografía oblicua de reja costal. Dahner y colaboradores informan que en pacientes con fracturas costales, tan solo en 2 casos entre más de 1100 pacientes, las radiografías oblicuas aportaron información adicional a la de la proyección frontal38.
Radiografía de tórax vs TAC
La demostración de una menor sensibilidad de la radiografía simple del tórax , con respecto a la TAC para el diagnóstico de una amplia gama de lesiones como neumotórax, neumomediastino, lesión diafragmática, hemorragia mediastinal y hemopericardio entre otras, ha hecho cuestionar la utilidad de la radiografía simple en la valoración rutinaria del paciente traumatizado, y ha puesto en consideración la realización de la TAC como el examen de elección inicial en la valoración de los pacientes con traumatismos severos51,52.
Los hallazgos en los estudios de imágenes diagnósticas de los pacientes con trauma cerrado o no penetrante del tórax pueden agruparse en relación a los órganos y sistemas comprometidos así:
1) el parénquima pulmonar
2) la cavidad pleural
3) mediastino y grandes vasos
4) tráquea y vía aérea central
5) esófago
6) corazón y pericardio
7) diafragma
8) la pared del tórax.
Parénquima pulmonar
Aunque las opacidades parenquimatosas pulmonares secundarias a un trauma pueden tener diversos orígenes (atelectasias, broncoaspiración de contenido gástrico, contusión pulmonar, hemorragia pulmonar, edema pulmonar, laceración pulmonar, embolia grasa o síndrome de dificultad respiratoria del adulto), la opacidad radiológica más frecuente y la lesión pulmonar de origen traumático más común es la contusión pulmonar2,5.
Las contusiones pulmonares pueden verse en un 30% a un 70% de los pacientes con trauma cerrado del tórax1, siendo aun más comunes que las mismas fracturas costales25.
El concepto de contusión pulmonar implica la presencia de una lesión hemorrágica que ocupa el espacio aéreo y el intersticio pulmonar, sin disrupción mayor de la arquitectura pulmonar6.
La contusión se produce por ruptura de alvéolos y de vasos sanguíneos, que producen una hemorragia intra-alveolar e intersticial y edema.
El mecanismo de esta lesión , como de la mayoría de las lesiones traumáticas en el tórax, es la presencia de fuerzas desgarrantes en una desaceleración brusca, ante la presencia de inercias diferenciales entre estructuras fijas y más móviles dentro del tórax, o bien fuerzas compresivas directas, en las que el tejido pulmonar es aprisionado entre las elementos de las paredes anteriores y posteriores del tórax.
Manifestaciones radiográficas
Las manifestaciones radiográficas generalmente aparecen en las primeras 4 a 6 horas en el 70% al 85% de los casos, y en las primeras 12 a 24 horas en el 100%24,observándose en algunas oportunidades, que las radiografías iniciales son enteramente normales.
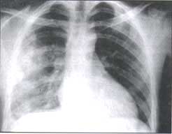
Estas contusiones se presentan como lesiones del espacio aéreo, con ocupación alveolar homogénea, periférica y de distribución que no es lobar ni segmentaria (figura No.1). Pueden ser de distribución focal, multifocal, unilateral o bilateral, pero más frecuentemente son unilaterales.
Empiezan a aclarar y limpiar entre las 48 y 72 horas posteriores al trauma, aunque ocasionalmente pueden persistir hasta los 5 ó 7 días4. Si el proceso de aclaramiento de las opacidades no se ha completado en este tiempo, debe buscarse otra alteración explicando estos infiltrados, como sangrado persistente, atelectasias, o neumonía.
Clínicamente la hipoxemia precede la aparición de las opacidades radiológicas, y cuando estas aparecen, la magnitud del gradiente alvéolo-arterial, generalmente es desproporcionado para los hallazgos radiológicos, debido a edema alveolar26. La TAC tiene mayor sensibilidad que la radiografía simple del tórax para detectar estas lesiones7.
Laceración en lesión del parénquima pulmonar
La laceración es una forma más severa de lesión del parénquima pulmonar: Implica una disrupción de la arquitectura pulmonar con la aparición de un espacio que contiene sangre conformando un hematoma intraparenquimatoso, o aire, caso en el cual se forma un quiste aéreo traumático5.
(Figuras No. 2 y 3 ).Las paredes de esta lesión están formadas por las paredes remanentes de los alvéolos rotos. Inicialmente la identificación de la laceración o del hematoma pulmonar puede estar enmascarada por una zona extensa de contusión.
Radiológicamente la laceración se observa como una zona circunscrita de aire, líquido, o de los dos, con presencia de un nivel hidroaéreo dentro de una cavidad de paredes delgadas (1 a 3mm). Puede originarse tanto de lesiones traumáticas penetrantes como por un trauma cerrado.
Su resolución es más lenta, tomando entre 3 y 5 semanas, dejando en algunos casos como secuela una lesión nodular permanente. También se describe la formación de neumatoceles pulmonares y paramediastinales en forma aguda, en relación a traumatismos no penetrantes, en forma primaria, o como resultantes de reabsorción de un hematoma intrapulmonar15.
Una forma característica de presentación es aquella en la que la laceración compromete el tejido pulmonar adyacente al ligamento pulmonar, con escape de aire hacia este espacio, produciéndose una imagen aérea coleccionada en la zona medial y posterior, derecha o izquierda, de configuración elongada26. Una clasificación propuesta para las laceraciones pulmonares las divide en 4 tipos, y las correlaciona con el mecanismo fisiopatológico de la siguiente manera42, 43:
Figura No. 1 Radiografía PA, vertical en un paciente con traumatismos tóraco- abdominal.

Se observa una extensa de opacidad con broncogramas aéreo por ocupación alveolaren el pulmón derecho, por contusión pulmonar. Pequeño neumoperitoneo debajo del hemidiafragma derecho.
Tipo 1: Lesiones con cavidades intraparen-quimatosas llenas de aire o llenas de sangre. Mecanismo : ruptura compresiva del pulmón.
Localización: zona media del pulmón.
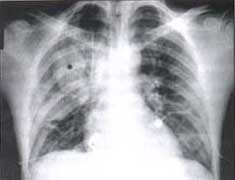
Figura No.2. Radiografía AP en un paciente con trauma cerrado del tórax.

Se observa un hematome ovalado en el lóbulo superior derecho (asterisco*). y una zona de contusión en la zona media del mismo pulmón derecho.
Figura No. 3. TAC de tórax simple.

Se observa un hematoma intrapulmunar ovalado en el pulmón derecho, y fracturas costales del mismo lado, por un traumatismo cerrado por un accidente autopedestre.
Tipo 2: Cavidades llenas de aire o llenas de sangre de localización para-vertebral. Mecanismo :desgarro.
Localización: para-vertebral
Tipo 3: Cavidades pequeñas y periféricas de localización subpleural. Mecanismo: penetración costal.
Localización: sub-pleural.
Tipo 4 : Lesiones que se forman por la existencia de adherencias pleuropulmonares previas. Mecanismo: desgarro por adherencias.
Localización: sub-pleural.
En este estudio se encontró una marcada diferencia en la capacidad de la radiografía simple y la de la TAC para demostrar laceraciones pulmonares, señalándose que de 99 laceraciones demostradas por la TAC, la radiografía simple solo demostró 5 de ellas42. Se ha sugerido que la presencia de lesiones tipo 2 (paravertebral) es un marcador de lesiones no penetrantes de alta energía43.
Embolia grasa
Es importante mencionar el embolismo graso dentro de las manifestaciones torácicas anormales del paciente con trauma, no porque éste se encuentre relacionado con trauma torácico directo. Sino porque muchos pacientes con traumas torácicos presentan fracturas pélvicas o de huesos largos (tibia y fémur), que son las que más frecuentemente producen embolias grasas.
No existe una hipótesis única aceptada sobre la fisiopatología de esta entidad. El mecanismo que comúnmente más se acepta es el de tipo mecánico. Según el cual los émbolos grasos se atrapan en el lecho vascular. 12 a 24 horas más tarde estos se descomponen en ácidos grasos que progresivamente causan daño químico al endotelio vascular, produciendo hemorragia, escape de líquido y reacción inflamatoria.
Los vacíos que esta hipótesis deja están en relación a los casos de embolia grasa sin trauma como quemaduras, diabetes o pancreatitis, osteomielitis y anemia de células falciformes. Por otra parte , el contenido de colesterol de la medula grasa es del 1%, mientras que el de los émbolos grasos es de 10% al 30%.
Hipótesis bioquímica
Para explicar estas diferencias se ha postulado una hipótesis bioquímica, de acuerdo a la cual los quilomicrones grasos se aglutinan para formar glóbulos grasos. Sea cual sea el proceso inicial, los ácidos grasos condicionan rupturas plaquetarias con liberación de sustancias vasoactivas como serotonina, 5-hidroxitriptamina e histamina, con efecto vasoconstrictor sobre el lecho vascular pulmonar2 .
Si bien la embolia grasa es frecuente , el síndrome clínico correspondiente no lo es. Sus manifestaciones sistémicas incluyen alteraciones neurológicas como irritabilidad, cefaleas, convulsiones, delirio, estupor y coma.
Pueden observarse hemorragias petequiales en la retina al examen del fondo del ojo. Hay hemorragias petequiales en la piel, especialmente en el tórax, el cuello y las axilas. Pueden identificarse glóbulos grasos en el examen de orina, en el lavado broncoalveolar o en el esputo.
Las manifestaciones radiológicas en el tórax son principalmente infiltrados alveolares difusos y mal definidos, bilaterales.
La cronología en la evolución de estas lesiones es útil en su diferenciación con otros procesos patológicos, ya que la contusión pulmonar aparece más tempranamente, en las primeras 4 a 6 horas, y tiende a aclarar en pocos días, mientras que la embolia grasa es de aparición más tardía, y se asocia a fracturas pélvica y de huesos largos.
Sin embargo, la sola presencia de infiltrados pulmonares en un paciente con fracturas no es suficiente para hacer el diagnóstico, debiéndose contar con algunas de las otras manifestaciones señaladas2.
Síndrome de dificultad respiratoria del adulto (SDRA)
El término síndrome de dificultad respiratoria del adulto (SDRA), fue introducido al final de los años 60 para describir un grupo de pacientes que tras diversas formas de insultos y mecanismos fisiopatológicos (pulmonares y no pulmonares), desarrollaban un cuadro de dificultad respiratoria aguda.
El cuadro clínico de disnea e hipoxemia era seguido por alteraciones radiográficas en el tórax consistentes en infiltrados alveolares algodonosos, mal definidos, difusos y borrosos, generalmente bilaterales.
Esta entidad ha sido descrita con diversas denominaciones como la de SDRA, pulmón de shock, insuficiencia pulmonar post-traumática, síndrome de pulmón sólido, enfermedad de membrana hialina del adulto etc.
La alteración básica de estos pacientes es un aumento en la permeabilidad capilar, que produce un edema pulmonar no-cardiogénico. La alteración en la permeabilidad capilar pulmonar permite el paso de líquido proteináceo en forma de un exudado al intersticio pulmonar, y eventualmente al alvéolo.
Aunque las fases iniciales son esencialmente una forma de edema pulmonar, las fases más avanzadas muestran un daño alveolar difuso con depósitos de fibrina y formación de membranas hialinas2. El mecanismo exacto por el cual se produce el SDRA no ha sido aclarado.
Sin embargo, el trauma y la contusión pulmonar son dos de los mecanismos conocidos que pueden desencadenar la secuencia fisiopatológica que conlleva a esta enfermedad.
La broncoaspiración de contenido gástrico, las neumonías virales y bacterianas, la inhalación de humos, la sepsis, la pancreatitis aguda, las fracturas, las transfusiones múltiples, las cirugías y la embolia grasa son otras causas directas e indirectas que se reconocen hoy como factores desencadenantes y que pueden encontrarse en el paciente traumatizado39,40.
Manifestaciones radiológicas
Las manifestaciones radiológicas son cambiantes a través del tiempo. En las primeras etapas pueden predominar los infiltrados intersticiales, con líneas costoseptales tipo B de Kerley, como en los edemas pulmonares de tipo cardiogénico.
Posteriormente los infiltrados progresan hacia las opacidades alveolares, con broncograma aéreo y franca consolidación irregular, generalmente bilateral, aunque puede ser asimétrico. En fases más tardías pueden aparecer infiltrados en vidrio esmerilado que posteriormente evolucionan a la fibrosis pulmonar en los pacientes que sobreviven, con un patrón final reticular burdo, y formación de patrón en “panal de abejas”40.
Este debe ser uno de los diagnósticos diferenciales en los pacientes con trauma del tórax que presentan evolución tórpida, con infiltrados alveolares bilaterales y con hipoxemia progresiva2.
Cavidad pleural
Los hallazgos más frecuentes en la cavidad pleural son el neumotórax y las colecciones líquidas: el hemotórax y el quilotórax. El diagnóstico de neumotórax generalmente es fácil en la radiografía de tórax en posición vertical, pero puede ser bastante más difícil en la radiografía ántero posterior en decúbito supino.
Su diagnóstico requiere de la visualización de la pleura visceral y de la ausencia de trama pulmonar más allá de éste límite. En el paciente en decúbito supino el aire se colecciona en los espacios pleurales anterior y posterior produciendo un contorno más neto del diafragma y de la silueta cardíaca.
La TAC es mucho más sensible que la radiografía simple para detectar el neumotórax; la sensibilidad de la TAC para detectar neumotórax es de un 100% mientras que la sensibilidad de la radiografía simple es de tan solo un 40%3.
La aparición del neumotórax después de trauma cerrado o no penetrante puede ser de aparición tardía, por lo que en algunos casos puede ser útil obtener una radiografía de control entre 3 y 6 horas después de la radiografía inicial sin neumotórax, con aparición de colapso pulmonar tardío entre un 4% y un 6% de los casos.
En un estudio de 285 pacientes con trauma penetrante y no penetrante en el tórax, en quienes la radiografía inicial no mostró neumotórax, Kiev y Kerstein encontraron neumotórax tardío en 4% de ellos a las 3 horas por radiografía simple y un 2% adicional que solo se identificó por TAC.
De los 17 pacientes con neumotórax tardío 71% se diagnosticaron por radiografía simple y 29% solo por TAC con radiografías iniciales y tardías enteramente normales para este hallazgo28.
Colecciones pleurales después del trauma del tórax
Las colecciones pleurales que aparecen después de un trauma torácico generalmente corresponden a derrames hemorrágicos. Los sangrados venosos por su baja presión son de crecimiento muy lento. Estos son generalmente de origen pleural o del parénquima pulmonar.
Las lesiones arteriales son de evolución rápida y crecen de manera acelerada, comprometiendo en forma importante la estabilidad hemodinámica del paciente. Generalmente se originan en arterias intercostales, arterias mamarias internas o vasos mediastinales.
La lesión de los vasos subclavios produce una opacidad de tipo extrapleural. Las colecciones pleurales producen los signos característicos de borramiento de los ángulos costofrénicos, el “casquete” pleural apical, ensanchamiento de las cisuras y una aparente elevación del diafragma en el paciente erecto, con presencia de líquido subpulmonar, así como velamiento difuso del hemitórax afectado sin borramiento de las marcas vasculares en la proyección en decúbito supino4.
La lesión del conducto torácico, aunque infrecuente, debe recordarse como causa de colecciones pleurales, con la aparición de un quilotórax secundario a la extravasación de quilo al espacio pleural. Esta lesión es más frecuente en el lado izquierdo por laceración del conducto torácico a la altura de su arco superior.
Se asocia con frecuencia a fracturas del extremo medial de la clavícula izquierda. Su presencia debe sospecharse en colecciones pleurales post-traumáticas cuya densidad en la TAC se encuentre entre 0 y -10 Unidades Hounfield (U.H) : las colecciones hemorrágicas pleurales recientes tienen densidades entre +50 y +90 U.H. mientras que los transudados muestran densidades entre +10 y + 20 U.H5.
Es importante recordar que la causa más común de quilotórax es el trauma quirúrgico causado por el cirujano, generalmente en relación a cirugía de una masa mediastinal infiltrante.
Mediastino
Las lesiones mediastinales de origen traumático pueden comprometer la aorta y los grandes vasos, el corazón, la tráquea y la vía aérea central, o el esófago. Dentro de estas, las lesiones de los grandes vasos y del corazón revisten especial importancia por su muy elevada mortalidad.
Desgarro aórtico traumático (DAT)
Dentro de las lesiones vasculares del mediastino una de las más importantes y de las más frecuentes es el desgarro aórtico traumático (DAT). Aunque su incidencia es baja, su presencia conlleva una alta mortalidad y morbilidad en los pacientes afectados.
En una revisión de 387 muertes por trauma no penetrante, fue la segunda causa de mortalidad después del traumatismo craneoencefálico46. En la serie de Mirvis, de 677 pacientes con trauma de tórax, en los que se encontraron anormalidades sospechosas de este tipo de lesión en la radiografía del tórax, solo un 2.8% de estos tuvieron lesión aórtica confirmada17.
Un 70% de los pacientes con desgarro de la aorta fallecen en el mimo sitio del accidente. De aquellos que llegan con vida a un hospital, 60% a 70% sobrevivirán si se hace un diagnóstico correcto y un manejo adecuado18. Por lo tanto es imperativo hacer un diagnóstico acertado y rápido.
Mecanismos fisiopatológicos
Los mecanismos fisiopatológicos de este tipo de lesión son la desaceleración brusca y una fuerte compresión del mediastino entre los elementos óseos de la pared anterior (manubrio del esternón, clavícula y primera costilla) y posterior (columna vertebral) del tórax. Estos dos mecanismos se encuentran presentes en los accidentes automovilísticos, de aviación, o en caídas de grandes alturas.
En los traumas por desaceleración es frecuente la laceración y el desgarro traumático de la aorta, lo cual generalmente se produce en la región del istmo, inmediatamente distal al nacimiento de la arteria subclavia izquierda.
En este sitio se producen el 90% de los desgarros traumáticos. Los casos restantes se observan con lesión de la aorta ascendente (5%), o en la aorta descendente a la altura del hiato diafragmático19. El istmo es la porción proximal de la aorta torácica descendente que queda entre el origen de la arteria subclavia izquierda y el sitio de fijación del ligamento arterioso.
Esta es una zona de transición entre el cayado aórtico relativamente móvil y la aorta descendente “anclada” en una posición más fija.
Histopatológicamente las lesiones pueden ser:
a)hemorragia intimal
b)hemorragia intimal con laceración
c) laceración de la media
d) laceración completa de la aorta
e) falso aneurisma
f) hemorragia periaórtica20.
En los casos de sección y ruptura completa la mortalidad inmediata es del 90%. Solo un pequeño porcentaje pueden sobrevivir ante una ruptura extensa.
En los casos de ruptura parcial, la adventicia puede preservar la continuidad del flujo vascular, al menos temporalmente, con la formación de un seudo-aneurisma, el cual sin embargo se rompe en las primeras 24 horas en el 50% de los casos; solo el 2% de estos pacientes sobreviven sin tratamiento quirúrgico , con un seudo-aneurisma crónico2,8.
La existencia de otras lesiones concomitantes en los pacientes con DAT es la regla más que la excepción, reportándose que entre el 71% y el 78% de estos pacientes tienen otras lesiones asociadas como traumatismos craneoencefálicos, trauma cardíaco, lesiones abdominales y fracturas pélvicas.
Es importante destacar especialmente la asociación entre DAT y lesión cardíaca, lo cual se reporta entre en un 21% en la serie de Duke University 22 y un 61.5% en la serie de Kram23, conformando una asociación desafortunada con una mayor tasa de mortalidad que la de la lesión aórtica aislada.
Signos radiológicos en radiografía simple del tórax
Hay cinco signos radiológicos en la radiografía simple del tórax que deben hacer sospechar la presencia de hemorragia mediastinal y por lo tanto una posible ruptura aórtica2:
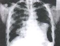
1) Un ensanchamiento mediastinal a la altura de la carina, de 8 cm. o más, o alternativamente un diámetro mediastinal en el mismo nivel que equivalga a un 25% o más del diámetro transverso del tórax (figuras No. 4 y 5).
Figura No. 4 Paciente de 30 años, atropellada por un automóvil.

Radiografía inicial AP, muestra discreto ensanchamiento mediastinal. Hay fracturas costales izquierdas y contusión pulmonar.
2) Borrosidad de los contornos del cayado aórtico y llenamiento anormal de la ventana aorto-pulmonar.
3) Presencia de un casquete pleural apical y de un derrame pleural izquierdo.
4) Desviación de la tráquea o de una sonda nasogástrica hacia la derecha de la apófisis espinosa de T4, o depresión del bronquio fuente izquierdo (> 40° por debajo de la horizontal), lo cual indicaría la presencia de un hematoma mediastinal.
5) Ensanchamiento de la banda para-traqueal derecha y de las líneas paraespinales.
Figura No. 5. Radiografía de control de la misma paciente una hora más tarde

Luego de colocar los tubos de toracostomía. Se observa aumento importante del ensanchamiento mediastinal que habla de lesión vascular.
Exámenes diagnósticos ante el diagnóstico
Ante la fuerte sospecha clínica y radiológica de este diagnóstico, el examen de elección subsiguiente debe ser una arteriografía del cayado aórtico (figura No. 6). Debe tenerse un alto índice de sospecha de este tipo de lesiones, por lo que se considera aceptable tener un 80% de aortogramas normales, para poder detectar el 20% restante de lesiones9.
La angiografía por sustracción digital (ASD) ha demostrado ser de elección , superior a la angiografía convencional en placas, por ser más rápida, requerir de menor cantidad de medio de contraste intravascular y por estar sujeta a un número menor de errores técnicos y de riesgos potenciales10.
Aunque algunos autores han considerado que la TAC helicoidal con contraste I.V. puede ser una buena alternativa como método de valoración del desgarro aórtico, antes de la angiografía48,49, otros autores han concluido y es igualmente mi opinión, que el examen más confiable para concluir o excluir este diagnóstico es el estudio angiográfico.
Estudio multicéntrico en centros de trauma en EE.UU y Canadá
En un estudio multicéntrico que incluyó 50 grandes centros de trauma en los Estados Unidos y Canadá, se observó que entre 274 pacientes estudiados con DAT, solo en el 32% de estos se les realizó TAC, y en aquellos en los que se realizó este examen con lesión confirmada.
La prueba mostró una sensibilidad del 74%,y resultados que fueron catalogados por los radiólogos como equívocos en el 23%, y fue negativa en el 3%45.
Sin embargo, el alto número de angiografías negativas en estos pacientes, con los altos costos que estas conllevan , han planteado la inquietud de si la TAC puede ser un buen examen de tamizaje para esta lesión en los pacientes con trauma torácico y con anormalidad o duda en la radiografía simple.
Utilizando la TAC dinámica con contraste, y considerando positivos aquellos casos en los que se observó hematoma mediastinal, Mirvis y colaboradores encontraron una sensibilidad de la TAC del 100% y una especificidad del 88%. Si se consideran positivos aquellos con evidencia en la tomografía de anormalidad aórtica , la sensibilidad de la TAC es del 90% y la especificidad del 99.2%17.
En un meta-análisis que incluyó 3.618 pacientes, se encontró una sensibilidad de la TAC con contraste del 99.3%, y una especificidad del 87.1% para el hematoma mediastinal , y una sensibilidad del 97%, y una especificidad del 99.8% para la irregularidad aórtica, como signo de lesión traumática de la aorta17.
En un estudio multicentrico que incluyó más de mil pacientes con trauma no-penetrante del tórax, Dyer y colaboradores reportan además de una sensibilidad del 100% de la TAC con contraste, y un valor predictivo negativo del 100%, lo que permite descartar desgarro aórtico en aquellos pacientes con una TAC con contraste i.v. en bolo normal48.
Figura No. 6 Arteriografía aórtica Sustracción Digital.

Proyección oblicua para el cayado, en la misma paciente. Se observa imagen de “cintura” de la aorta torácica descendente, con un área de estrechez (pseudo-coartación) (flecha negra), y seudoaneurisma en el nacimiento de la carótida izquierda (flecha blanca)
La radiografía simple del tórax con el paciente erecto o semi-erecto, en la que se demuestre un mediastino de tamaño y aspecto normal, excluye la posibilidad de una lesión vascular importante del mediastino, de forma confiable, con un valor predictivo negativo del 98%4, 29.
El hallazgo anormal más frecuente en la radiografía simple del tórax es el ensanchamiento mediastinal (85%), seguido de el borramiento del botón aórtico (24%).
En la serie del estudio multicéntrico de la Asociación Americana para la Cirugía del Trauma, solo 7% de los pacientes tuvieron una radiografía del tórax negativa45. Si la radiografía muestra signos de ensanchamiento mediastinal o una probable anormalidad de origen vascular, debe procederse a un examen confirmatorio de el estado de la aorta torácica.
Asimismo, si el mediastino está francamente ensanchado y es claramente anormal, puede procederse a la angiografía directamente. Si el examen es dudoso, debe procederse a realizar una TAC con contraste antes de la angiografía.
La TAC helicoidal con contraste debe igualmente realizarse en aquellos pacientes hemodinámicamente estables, con ensanchamiento mediastinal u otros signos radiológicos de hematoma mediastinal en quienes la angiografía aórtica fue normal, para buscar la explicación de estos hallazgos radiológicos.
Sin embargo, como ya se mencionó, existe una tendencia a utilizar cada día más la TAC Helicoidal con contraste como método de valoración en todos los pacientes antes de realizar la angiografía54,55. En la siguiente tabla se muestra el algoritmo de la evaluación por imágenes diagnósticas que hemos adoptado en nuestra institución (tabla No. 1).
Tabla No 1 Desgarro aórtico traumático

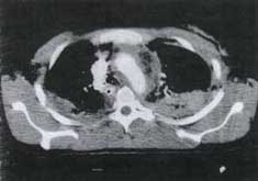
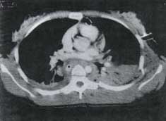
Los hallazgos directos de la TAC con contraste que indican lesión aórtica son la presencia de un seudo-aneurisma, desgarro o irregularidad intimal (“flap” o colgajo), anormalidad del contorno aórtico, disminución en el calibre de la aorta descendente o seudocoartación aórtica17.Los signos indirectos más importantes son la presencia de un hematoma mediastinal y el derrame pleural izquierdo (figuras No. 7 y 8 ).
Figura No. 7 TAC helicoidal con contraste.

Paciente con trauma cerrado del tórax y desgarro aórtico. Se observa hematoma extenso del mediastino, que por su localización periaórtico debe hacer pensar siempre en lñesión traumática d la aorta. Se observa rechazo del esófago con una sonda nasagástrica hacia la derecha, por el hematoma mediastinal.
Figura No. 8 TAC helicoidal con contraste en el mismo paciente.

El hematoma periaórtica y mediastinal se extiende hasta la región torácica media. Se observa fractura costal izquierda y vertebral transversal de T6. Contusión pulmonar izquierda extensa.
Errores diagnósticos de la TAC
Los errores diagnósticos de la TAC con contraste se han reportado con resultados disímiles en las diferentes series publicadas, lo cual probablemente está en relación a las diferentes técnicas de exploración utilizadas y a la experiencia de los distintos grupos. Los falsos positivos van desde el 0% hasta el 39%, mientras que los falsos negativos son de un 0.7%32.
Afortunadamente los falsos negativos son muy raros, lo cual sería más perjudicial para el paciente, ya que los falsos positivos generalmente pasan a angiografía pre-operatoria. Los falsos positivos pueden estar dados por tejido tímico, atelectasias periaórticas, o derrames pleurales adyacentes al mediastino o a la aorta, simulando un hematoma mediastinal32.
La técnica ideal para la TAC con contraste debe incluir cortes finos de 3 a 5 mm. de espesor, con un bolo adecuado de contraste yodado I.V. ( 100 a 150 ml, o 1 a 2 ml/ Kg. de peso), con técnica helicoidal y con inyector mecánico. Las reconstrucciones tridimensionales pueden ser de alguna utilidad para facilitar la visualización de las lesiones y para una mejor visualización de esta por parte del cirujano.
Otras causas de hematoma mediastinal
Otras causas de hematoma mediastinal son las fracturas esternales, las fracturas de la columna vertebral, u otro tipo de lesiones vasculares como las de origen arterial por lesión de los vasos braquicefálicos, o bien lesiones de origen venoso.
Adicionalmente los pacientes con DAT, en un 3% a un 4% presentan otras lesiones de grandes vasos . La severidad del trauma que produjo la lesión traumática de la aorta, puede igualmente producir lesiones óseas severas como fracturas y luxaciones de la columna vertebral en estos mismos pacientes.
Aproximadamente un 15% de los pacientes con desgarro aórtico traumático presentan lesiones de la columna vertebral, que pueden ser la principal causa de morbilidad a largo plazo, (figura No.9)45, 53. Hasta un 40% con lesión traumática de la aorta presentan lesiones cerebrales53,54.
Otras modalidades diagnósticas como la ecografía trans esofágica han demostrado resultados interesantes en cuanto a su capacidad diagnóstica para esta lesión . En el estudio multicéntrico, solo se realizó este examen en 30 pacientes (10.9%). Lo que muestra la baja preferencia en los centros de trauma por su utilización, o su baja disponibilidad. El examen fue positivo para lesión aórtica en el 80% de estos, equívoco en el 17% y negativo en el 3% 45.
Trauma del tórax, tráquea y bronquios centrales
Los desgarros o rupturas de la vía aérea se observan en aproximadamente un 1.5% de los traumas cerrados del tórax33,34. La lesión traumática de la vía aérea principal usualmente se produce en el tercio inferior de la tráquea en los bronquios fuente, con traumas severos, usualmente asociado a fracturas extensas de la reja costal o del esternón.
Las manifestaciones radiológicas principales de esta lesión son el neumotórax, el neumomediastino, el enfisema subcutáneo y la atelectasia. Un 80% de los casos de ruptura traqueobronquial cursan con neumotórax2.
El “signo del pulmón caído” se observa cuando hay desgarro y ruptura completa de un bronquio fuente, con presencia de neumotórax y el pulmón del lado afectado se observa yaciendo en el fondo del espacio pleural.
En aquellos pacientes con neumotórax por trauma no penetrante, en quienes después de la colocación de un tubo de toracostomía en posición adecuada, no se re-expanda el pulmón en forma satisfactoria, debe descartarse una ruptura bronquial (figura No.10)32.
Otra proyección radiológica útil en estos pacientes es la radiografía lateral de la columna cervical o de los tejidos blandos del cuello, ya que la presencia de una ruptura traqueal produce una elevación del hueso hioides por encima del nivel del cuerpo vertebral C3, o elevación de sus cuernos mayores a menos de 2 cm. del ángulo de la mandíbula, por la ruptura de los músculos infrahioideos, con acción persistente de los suprahioideos sin oposición muscular35.
Fracturas traqueobronquiales en fracturas concomitantes
Es frecuente que los pacientes con fracturas traqueobronquiales presenten fracturas concomitantes de los primeros tres arcos costales, del esternón, o de la columna torácica16. En traumas cerrados de tórax es más común que se lesionen los bronquios fuentes que la tráquea.
En una revisión colectiva de 130 casos de lesiones traqueobronquiales traumáticas Burke reporta igual incidencia de compromiso bronquial del lado derecho (51%) que del lado izquierdo (47%). La ruptura simultánea bilateral de los dos bronquios fuente derecho e izquierdo es muy rara, reportándose solo en el 2% de los casos en esta misma serie.
De estos pacientes 91% presentaban fracturas (de uno, dos o tres) de los primeros tres arcos costales16. La TAC tiene mayor sensibilidad que la radiografía simple para detectar el neumotórax, el neumomediastino y el posible origen de estas colecciones aéreas anormales en los pacientes traumatizados( figura No. 11).
En las imágenes con ventana para pulmón se observan la colecciones gaseosas anormales de baja densidad en el espesor de la grasa mediastinal, alrededor de la pared traqueal, de los grandes vasos, y en el espacio retroesternal.
Figura No. 9 Resonancia magnética de columna torácica, en la misma paciente de la lesión traumática de la aórta. 
Se observa luxación completa entre T1 T2 con hemorragia d4el condón medular. La paciente quedó parapléjica. Hay una segunda fractura no desplazada en el cuerpo vertebral T6.
Figura No. 10 Signo de pulmón caído. Radiografía AP

Radiografía AP en un paciente con trauma cerrado del tórax con extenso neumomediastino y enfisema subcutáneo. Hay colapso completo del pulmón izquierdo que no expandió con el tubo de toracostomía. Se confirmó una fractura del bronquio fuerte izquierdo.
Esófago
La ruptura traumática del esófago en el trauma no penetrante es rara. Cuando ocurre generalmente es debido a una tracción violenta del estómago lleno de contenido alimenticio en sentido anterior, en relación a un esfínter cricofaríngeo tenso.
La perforación esofágica traumática es más común en relación a un trauma penetrante como sucede con las heridas por arma de fuego, o en relación a una instrumentación endoscópica como sucede con las dilataciones de estrecheces esofágicas benignas.
Su manifestación radiológica es la aparición de aire mediastinal posterior y derrame pleural y aire (hidroneumotórax) generalmente en el espacio pleural del lado izquierdo. La confirmación radiológica debe hacerse con un esofagograma, bien sea con medio de contraste hidrosoluble, o con sulfato de bario muy diluido.
Otra forma de desgarro traumático del esófago es el que se presenta por vómito como en pacientes alcohólicos , el síndrome de Mallory Weiss, en el cual el desgarro es superficial y solo compromete la mucosa, o el síndrome de Boerhave en el cual el desgarro es completo, generalmente sobre el contorno lateral izquierdo, y en sentido longitudinal.
En el caso de ruptura completa la mediastinitis es inevitable, con una muy alta mortalidad, especialmente si hay retardo en el diagnóstico. En algunas oportunidades la lesión esofágica se manifiesta por la aparición de un hematoma intramural esofágico, sin evidencia de ruptura completa de la pared.
El hematoma queda contenido dentro del tejido esofágico, sin ruptura de la mucosa ni de la pared muscular. (figura No. 12) .
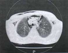
Figura No. 11. TAC helicoidal en un paciente politraumatizado.

Se observa extenso neumomediastino, con colecciones gaseosas anormales en la región retroesternal, delimitado lateralmente por las pleuras parietales mediastinales, y junto rededor de los vasos mediastinales. Extenso enfisema subcutáneo y axilar.
Corazón y pericardio
Las lesiones traumáticas serias del corazón, bien sean penetrantes o no, conllevan una alta mortalidad. Es sorprendente sin embargo, que a pesar de el gran número de personas que sufren lesiones traumáticas del tórax y del abdomen superior, solo un número relativamente menor se presentan o se diagnostican con lesión cardíaca.
Puede resultar contusión cardíaca por trauma no penetrante entre un 8% y un 76% de los pacientes con trauma torácico,sin embargo, solo un 20% se presentan con alteración funcional cardíaca.
En el Shock -Trauma Center de la Universidad de Maryland, en un estudio de 54 pacientes con lesiones multisistémicas y trauma cerrado de tórax, 48% tuvieron anormalidades en la contractilidad cardíaca confirmada por estudio de ventriculografía radioisotópica.
La anormalidad estaba confinada al ventrículo derecho en el 92% de los casos e incluían dilatación ventricular derecha, e hipoquinesia localizada o difusa4.
Figura. No. 12 Desgarro esofágico traumático

Desgarro esofágico traumático, TAC helicoidal muestra el ensanchamiento esofágico de la pared por un hematoma intramural contenido, así como una dilatación esofágica importante, con desviación esofágica hacia la región paravertebral derecha.
La ecocardiografía bidimensional es útil para valorar la función valvular cardíaca, el tamaño de las cámaras cardíacas, la función de los músculos papilares y de las paredes cardiacas, así como la integridad y anatomía de la válvula y de la raíz aórtica.
La valoración de derrame hemorrágico pericárdico en la fase aguda del trauma puede ser difícil por ecocardiografía por la alta ecogenicidad de los hematomas frescos.
Manifestaciones clínicas del trauma
Las manifestaciones clínicas del trauma cardíaco pueden ser similares a las del infarto agudo del miocardio (IAM), con insuficiencia cardíaca congestiva, aneurisma ventricular y crecimiento de cavidades cardíacas, o arritmias.
Histopatológicamente el trauma cardíaco puede cursar con un amplio espectro de lesiones que van desde petequias subepicárdicas o suben-docárdicas, equímosis y hematomas, hasta ruptura cardíaca transmural.
En el trauma cerrado o no penetrante del tórax la lesión más frecuente es la contusión miocárdica. El ventrículo derecho por su localización más anterior y en intima relación con la pared torácica y con el esternón es el más comúnmente comprometido.
Se ha reportado también ruptura cardíaca, en casos de traumas muy severos, lesiones valvulares, defectos septales, y hemorragias pericárdicas post-traumáticas11. Al igual que sucede con el cuadro clínico, los hallazgos radiológicos también pueden ser similares a los de un IAM con aparición de edema pulmonar y signos de insuficiencia cardíaca congestiva, crecimiento cardíaco y formación de un aneurisma ventricular, o disfunción valvular.
Al igual que para otras lesiones viscerales, la presencia de fracturas costales, o de fractura esternal, deben alertar sobre esta posibilidad. Ante la sospecha clínica de contusión miocárdica, los exámenes confirmatorios más importantes son la cuantificación de enzimas séricas, y la gamagrafía con pirofosfatos, con medición de la función ventricular, realizando ventriculografía isotópica de primer paso, seguidas por imágenes de fase de equilibrio para valorar movilidad de la pared ventricular4.
Incluso la lesión traumática de una arteria coronaria, particularmente de la descendente anterior izquierda, puede producir un IAM2.
Laceración miocárdica o ruptura
La ruptura o laceración miocárdica puede ocasionar la muerte por taponamiento cardíaco al producirse escape de sangre hacia el pericardio. Ante esta sospecha clínica, el US es el examen de elección para demostrar rápidamente la presencia de líquido pericárdico, y para la cuantificación de su volumen.
La TAC y el US son exámenes de mucho mayor sensibilidad y especificidad que la radiografía simple para determinar esta anormalidad. Como ya se mencionó , es de gran importancia recordar la asociación frecuente entre trauma cardíaco y desgarro traumático de la aorta21,22,23.
Recientemente se ha reportado la utilidad de la TAC21-23 en la detección de hemopericardio en pacientes con heridas penetrantes del corazón, hemodinámicamente estables, con una sensibilidad del 100%, especificidad del 97%, y exactitud del 97%50.
Diafragma
La ruptura y lesión del diafragma es más común en lesiones penetrantes como las heridas por arma de fuego o por arma corto-punzante que en los traumatismos cerrados. En la serie de Shackleton ,de 25 lesiones traumáticas del diafragma, 60% fueron por heridas penetrantes y 40% por heridas no penetrantes47.
La ruptura diafragmática es más común después de trauma abdominal cerrado que después de trauma directo del tórax. La ruptura diafragmática puede presentarse tanto en relación a un trauma penetrante, como secundario a uno no penetrante. Las rupturas diafragmáticas por trauma cerrado más frecuentemente asociadas con accidentes automovilísticos (90%), con un riesgo particularmente importante en aquellos traumas laterales, más que en los frontales (relación 3 a 1).
Las rupturas izquierdas predominan sobre las derechas (75% a 88% izquierdas),aunque no en todas las series como la de Shackleton en la que la frecuencia de lesiones en el lado derecho e izquierdo fue igual para las lesiones no penetrantes , y solo hubo mayor frecuencia de lesión izquierda en las heridas penetrantes47.
La mayor frecuencia de lesión del lado izquierdo en trauma cerrado se explica probablemente por algún efecto protector que le confiere el hígado al hemidiafragma derecho . Menos de 1% son bilaterales4,26. El sitio de ruptura más frecuente es en la unión de la porción fibrosa central con la unión muscular periférica.
En los traumatismos no penetrantes el mecanismo fisiopatológico está en relación al aumento de la presión intra-abdominal por la fuerza compresiva. La ruptura generalmente se produce hacia la cavidad pleural, pero en un 10% de los casos la ruptura se produce hacia el pericardio2. La ruptura diafragmática en traumas tóraco-abdominales siempre indica una lesión traumática grave, lo que se ilustra claramente por la mortalidad que esta lesión que es de un 25%12.
Incidencia de la ruptura diafragmática en trauma del tórax
Su incidencia está entre un 1% y un 7% de los pacientes con traumatismos no penetrantes. Los pacientes afectados son en un 80% hombres adultos jóvenes. 72% de estos presentan otras lesiones abdominales, 42% presentan fracturas pélvicas, y 10% desgarros aórticos27.
El diagnóstico radiológico de ruptura diafragmática solo se puede hacer si se observa herniación de vísceras abdominales hacia el tórax , o si hay asociación de un neumotórax con un neumoperitoneo. De hecho el diagnóstico preoperatorio solo se hace en alrededor de la mitad de los casos13.
Cuando la ruptura es izquierda, como sucede en la mayoría de los casos, un asa intestinal, el epiplón, o el bazo, son las estructuras que se hernian. Cuando la ruptura es derecha, puede herniarse el lóbulo derecho del hígado.
Ante esta sospecha diagnóstica el examen con TAC es de gran valor, especialmente en las lesiones del lado izquierdo, ya que en las lesiones del lado derecho las densidades similares del diafragma y del hígado dificultan este diagnóstico14.
Diagnóstico de la ruptura diafragmática
El diagnóstico sin embargo sigue siendo difícil, y por la radiografía simple su diagnóstico solo se logra en el 27% de los casos, mientras que la TAC tiene una sensibilidad entre el 45% y el 61%, (y hasta el 90%, en alguna serie), con una especificidad del 87%27,31.
Los hallazgos radiológicos son elevación del hemidiafragma en la radiografía simple, presencia de asas intestinales en el tórax en la radiografía simple o en estudios con bario intestinal, o presencia de órganos sólidos (hígado, bazo) por encima del diafragma en la TAC47.
El diagnóstico puede ser muy tardío; en una serie la lesión no fue diagnosticada en el 94% de los casos en el momento del trauma inicial, y el tiempo transcurrido entre el evento traumático y el diagnóstico fue en promedio de 4.5 años26.
En los casos crónicos, la IRM es una modalidad diagnóstica de invaluable utilidad, ya que su capacidad multiplanar nos permite valorar la continuidad del diafragma en planos coronales y sagitales, que son más útiles que el plano axial para este propósito, y por su excelente resolución de contraste de los tejidos blandos.
La pared del tórax
La presencia aislada de fracturas costales es el hallazgo más común en los pacientes con trauma no penetrante. Aunque no revisten mayor significado clínico cuando son fracturas aisladas, son una evidencia de la magnitud y la severidad del trauma.
Las costillas más comúnmente lesionadas son las 10 más inferiores. Las fracturas de los primeros tres arcos costales, de la clavícula y del esternón son de particular relevancia pues denotan un trauma más severo, y se asocian con lesión del plexo braquial o lesión vascular en un 3% y un 15% de los casos1.
La presencia de múltiples fracturas costales contiguas debe alertar sobre la posibilidad de un tórax inestable cuando son bilaterales, dificultando de manera importante la respiración del paciente. Estas fracturas costales se pueden asociar con hematomas extrapleurales que pueden ser muy extensos.
Manifestación de hematomas
Estos hematomas se manifiestan como una opacidad con ángulos obtusos con respecto a los arcos costales, que no se desplaza con los cambios de posición. Las fracturas de los arcos costales inferiores igualmente debe alertar sobre la posibilidad de laceraciones hepáticas o esplénicas, dependiendo del lado de las costillas afectadas2.
Los hematomas extrapleurales que muestran crecimiento en los estudios radiológicos de seguimiento indican lesión arterial. Las fracturas costales por trauma son menos frecuentes en los niños que en los adultos, y cuando se ven, generalmente son del tipo en “leño verde”, y por lo tanto difíciles de detectar.
La identificación de fracturas costales múltiples en un niño, con edades distintas o grados variables de reparación, y con formación de callo óseo prominente, debe alertar sobre la posibilidad de un síndrome de niño maltratado.
Las fracturas de la columna torácica son el 16% al 30% de todas las fracturas vertebrales, siendo frecuentemente ocultas a los estudios radiográficos simples, y más fácilmente identificables por la TAC30. Se observan fracturas de la columna torácica en 3% de los pacientes con traumatismos cerrados del tórax32.Su localización más frecuente es en la región inferior.
La TAC Helicoidal es, por su capacidad multiplanar, el examen de elección para la valoración de las fracturas vertebrales de esta región, así como para las fracturas esternales y las luxaciones esternoclaviculares que son pobremente visualizadas por la radiología convencional.
Bibliografía
Greene R. Lung alterations in thoracic trauma. J Thorac Imaging. 1987;2:1-11.
Dee PM. The radiology of chest trauma. Radiol Clin North Amer. 1992;30 (2.:291-306.
McGonigal MD, Cchwab CW, Kauder DR y cols. Supplemented emergent chest computed tomography in the management of blunt torso trauma. J Trauma 1990;30 :1431-1435.
Mirvis SE, Templeton P. Imaging of thoracic trauma. Seminars Roentgenol. 1992 ;37(3.:184-210.
Schnyder P, Gamsu G, Essinger A, Duvoisin B. Trauma. Capitulo No.7 en Moss AA, Gamsu G, Genant HK. Computed tomography of the body.1992, Vol 1,pgs. 311-323. Edit. .Saunders, USA.
Schackford SR. Blunt chest trauma: the intenssivist’s perspective. J Inten Care Med. 1986;1:125.
Wagner RB, Crawford WO, Schimpt PP. Classification of parenchimal injuries of the lung. Radiology 1988;167:77-82.
Gundry SR, Burney RE, McKenzie JR, y cols. Traumatic psedoaneurisms of the thoracic aorta. Arch Surg.1984;119:1055-1060.
Sturm JT, Hankins DG, Young G. Thoracic aorthography following blunt chest trauma. Am J Emerg Med. 1990;8:92-96.
Mirvis SE, Pals SO, Gens DR. Thoracic aorta rupture: advantages of intraarterial digital substraction angiography. AJR 1986;146: 987.
Parmley LF, Manion WC, Mattingly TW. Nonpenetrating traumatic injury of the heart. Circulation 1958;18: 371.
Morgan AS, Flanchbaum L, Esposito T y cols. Blunt trauma to the diaphragm: an analysis of 44 patients. J Trauma. 1986 ;26:565-567.
Rodriguez -Morales G. Rodriguez A, Shatney CH. Acute rupture of the diaphragm: Analysis of 60 patients. J Trauma 1986;26:438-444.
Gelman R, Mirvis SE, Gens D. Diaphragmatic rupture due to blunt trauma: sensitivity of plain chest radiogrpahs. AJR 1991;156:51.
Fagan CJ, Swischuk LE. Traumatic lung and paramediastinal pneumatoceles. Radiology 1976;120:11-18.
Burke JF. The early diagnosis of traumatic rupture of the bronchus. JAMA 1962;181:682.
Mirvis SE. Shanmuganathan K, Miller BH, White CS, Turney SZ. Use of contrast -enhanced thoracic CT for the diagnosis of traumatic aortic injury: Five year experience at a major trauma center. Radiology 1996,200:413-422.
Groskin SA. Selected topics in chest trauma. Radiology 1992;183:605-617.
Creasy JD, Chiles C, Routh WD, Dyer RB. Overview of traumatic injury of the thoracic aorta. Radiographics 1997;17: 27-45.
Parmley LF, Mattingly TW, Manion WC, Jahnke EJ . Nonpenetrating traumatic injury of the aorta. Circulation 1958;17:1086-1101.
Rodriguez A. Elliott D. Blunt traumatic rupture of the thoracic aorta. Advances in Trauma and Critical Care. 1993;8:145-181.
Duhaylongsod FG, Glower DD, Wolfe WG. Acute traumatic aortic aneurysm: The Duke experience from 1970 to 1990. J Vasc Surg 1992;15:331-343.
Kram HB, Appel PL, Shoemaker WC. Increased incidence of cardiac contusions in patients with traumatic thoracic aortic rupture. Ann Surg 1988;208:615-618.
Stern EJ. Imaging lung and chest wall injuries. Symposium, Trends in Trauma Radiology. American Roentgen Ray Society, 1997 annual meeting. Boston MA, may 4-9 1997. Pgs.20-21.
Wilson RF, Murray C, Antonenko DR. Non penetrating thoracic injury. Surg Clin North Am. 1977;5:17.
Zylak CJ. Radiolgic aspects of thoracic trauma. Course 709 B; Department of Radiology McMaster University College of Medicine., Hamilton, Ontario, Canada.
Murray JG, Caoili E, Gruden JF, Evans SH, Halvorsen RA, Mackersie RC. Acute rupture of the diaphragm due to blunt trauma:diagnostic sensitivity and specificity of CT. AJR 1996;166:1035-1039.
Kiev J, Kerstein MD. Role of three hour roentgenogram of the chest in penetrating and nonpenetrating injuries. Surg Ginecol Obst 192;175:249-253.
Mirvis SE, Bidwell JK, Buddemeyer EU y cols. Vaue of chest radiography in excluding traumatic aortic rupture. Radiology 1987;163:487-493.
Van Hise ML, Primack SL, Israel RS, Müller NL. CT in blunt chest trauma: indications and limitations. Radiographics 1998;18:1071-1084.
Worthy SA, Kang EY, Hartman TE, Kwong JS, , Mayo JR, Müller NL. Diaphragmatic rupture: CT findings in 11 patients. Radiology 1995;194:885-888.
Kuhlman JE, Pozniak MA, Collins J, Knisley BL. Radiographic and CT findings of blunt chest trauma: aortic injuries and looking beyond them. Radiographics 1998;18:1085-1106.
Gurney JW. ABCs of blunt chest trauma. Thoracic Imaging 1996 . Reston Va : Society of Thoracic Radiology. 1996;349-352.
Unger JM, Schuuchmann GG, Grossman JE, Pellett JR, Tears of the trachea and main bronchi caused by blunt trauma : radiologic findings. AJR 1989,153:1175-1180.
Polansky A, Resnick D, Sofferman RA, Davirson TM. Hyoid bone elevation: a sign of tracheal transection . Radiology 1984;150:117-120.
Thompson BM, Finger W, Tonsfeldt D. y cols. Rib radiographs for trauma; Useful or wasteful ? Ann Emerg Med. 1986;15:261-265.
Deluca SA, Rhea JT, O’Malley TO. Radiographic evaluation of rib fractures. AJR 1982;138:91-92.
Danher J, Eyes BE, Kumar K. Oblique rib views after blunt chest trauma; an unnecessary routine ? BMJ 1984;289:1271.
Acero R. Síndrome de dificultad respiratoria del adulto. Capitulo 97 en: Chalem F, Escandón J, Campos J, Esguerra R. Medicina Interna. Vol l, pgs. 511-515. 3a. edición, Fundación Instituto de Reumatología e Inmunología. 1998. Bogotá, Colombia.
Morgan PW, Goodman LR. Pulmonary edema and adult respiratory distress syndrome. Radiol Clin North Amer. 1991:29(5.:943-963.
La Salud en las Américas. Publicación Cientifica No. 569, Organización Panamericana de la Salud (OPS.. Edición 1998, Volumen II., Washington D.C, U.S.A.
Wagner RB, Crawford WO, Schimpf PP. Classification of parenchymal injuries of the lung. Radiolgy. 1988:167:77-82.
Hollister M, Stern E, Steinberg P. Type 2 pulmonary laceration: a marker of blunt high energy injury to the lung. AJR 1995:165:1126,
Bonnadio WA, Hellmich T. Post-traumatic pulmonary contusions in children. Ann Emerg Med 1989;18:1050-1052.
Fabian T, Richardson D, Croce , Smith S, Rodman G, Kearney P y cols. Prospective study of blunt Aortic Injury: multicenter trial of the American Association for the Surgery of Trauma. The Journal of Trauma Injury, Infection Critical Care. 1997;42(3.:374-383.
Smith RS, Chang FC. Traumatic rupture of the aorta: still a lethal injury. Am J Surg 1986;152:660.
Shackleton KL, Stewart ET, Taylor AT. Traumatic diaphragmatic injuries: Spectrum of radiographic findings. Radiographics 1998;18:49-59.
Dyer DS, Moore EE, Mestek MF , Bernstein SM, Iklé DNDurham JD, y cols. Can Chest CT be used to exclude aortic injury Radiology 1999;213:195-202.
Computed tomography as a screening exam in patients with suspected blunt aortic injury. Ann Surg 1994;220:699-704.
Nagy KK, Gilkey SH, Roberts RR, Fildes SS, Barrett J. Computed tomography screens stable patients at risk for penetrating cardiac injury. Acad Emer Med 1996;3(11.:1024-1027.
Trupka A, Waydhas C, Hallfeldt KK y cols. Value of thoracic computed tomography in the first assessment of severely injured patients with blunt chest trauma; results of a prospective study. J Trauma 1997;43:411-412.
Shanmuganathan K, Mirvis S. Imaging diagnosis of nonaortic thoracic injury. Radiol Clin North America 1999;37(3.:533-551.
Fabian TC, Davis KA, Gavant ML y cols. Prospective study of blunt aortic injury: Helical CT is diagnostic and antihypertensive therapy reduces rupture. Ann Surg 1998;227:666.
Gavant ML. Helical CT Grading of traumatic aortic injuries. Impact on clinical guidelines for medical and surgical management. Radiol Clin North America 1999;37(3.:553-574.
Ledbetter S, Stuk JL, Kaufman JA. Helical (Spiral. CT in the evaluation of emergent thoracic aortic syndromes. Thoracic aortic rupture, aortic aneurysm, aortic dissection, intramural hematoma, and penetrating atherosclerotic ulcer. Radiol Clin North America 1999;37(3.: 575-589.







