Resumen
El Feocromocitoma es un tumor raro que sin embargo es importante saber diagnosticar y tratar, pues se trata de una patología que compromete la vida del paciente, pero reconoce puede ser tratado con mínima morbilidad. Constituye una de las pocas causas curales de hipertensión arterial, que se logra mediante la resección quirúrgica del tumor. Informamos el caso de una mujer que presentó un feocromocitoma de mediastino poder. (Vea también: Exámen de esputo)
Palabras clave. Feocromocitoma, mediastino posterior.
Feocromocitoma de mediastino posterior (paraganglioma paraaórtico). Informe de un caso y revisión de la literatura. 1999 Rev Colomb Neumol 2000,12:41-46
CARLOS A. Rodriguez Sabogal,MD*, John C,Pedrozo Pupo,MD**,
Paulina Ojeda León.MD***, Luis,G.GarciaHerreros,D****,
*Residente lV año Neumología. Hospital Santa Clara ** Fellow ll año Cirugía de Tórax. Hospital Santa Clara
*** Jefe Servicio de Patología. Hospital Santa Clara **** Cirujano de Tórax. Hospital Santa Clara
**** Residente de V año de Neumología. Hospital Santa Clara
Summary
Pheochromocytomas are a rare tumor, but it’s important to know how to diagnose and treat them, because they are a potentially life-threatening disease that if recognized early by the physician can be managed with minimal morbidity.It constitutes one of few curable causes of arterial hypertension by performing surgical resection of the tumor. We report our experience with a female who has a pheochromocytoma in the posterior mediastinum.
Key Words: Pheochromocytoma, posterior mediastinum.
Pheochromocytoma in the posterior mediastinum. Report of a case and literature review. 1999 Rev Clomb Neumol 2000,12:41-46
Caso clínico
Mujer de 32 años procedente de Bogota, comerciante, quien consulta por presentar episodios de cefalea, sudoración y angustia; pérdida de peso no cuantificada, diseña clase fucional ll/lV de 6 meses de evolución y episodios semanales de dolor opresivo precordial con palpitaciones.
Antecedentes
Hipertensión manejada con amlodipino 5 mg c/12 horas; prazosis 1mg/12horas. G/O:G2P2A0; FUP 5 años, no fumadora, bebedora habitual cada 8 días. Biopsia ganglionar cervical en la infancia por razones que desconoce.
Examen físico
Buenas condiciones. TA 130/90 FC110X´FR 20X Peso 57Kg. Examen cardiopulmonar y abdominal normal.
Paraclínicos
- Hemograma 7600 blancos, Hb 14.2, Hto 42, Linf 24%, PMN 70%; plaquetas 391.000PT 11.3, PPT 27.4, glicemia: 100mg%, BUN 16, creatinina: o.8mg%; P: de orina normal.
- EKG: Ritmo sinusal, Q no representativa en pared inferior, ADA serico 11,8 U/Lt.
- Rx tórax: masa paravertebral izquierda a nivel de T8-10.
- Filtración glomerular, renograma y ecografía renal, normales. Ácido vanilmandélico en orina de 24 horas: 21. 4 (1.9-9.8); catecolamina totales en orina de 24 horas: 3.068 (10-270); metanefrinas en orina de 24 horas: 1.398 (0-1000.
- Una gamagrafía mostró lesión focal paravertebral izquierda, al nivel de T9-10, sugestiva de tumor de cresta neural o feocromocitoma extra adrenal, ávida por meta yodo bencil-guanidina.
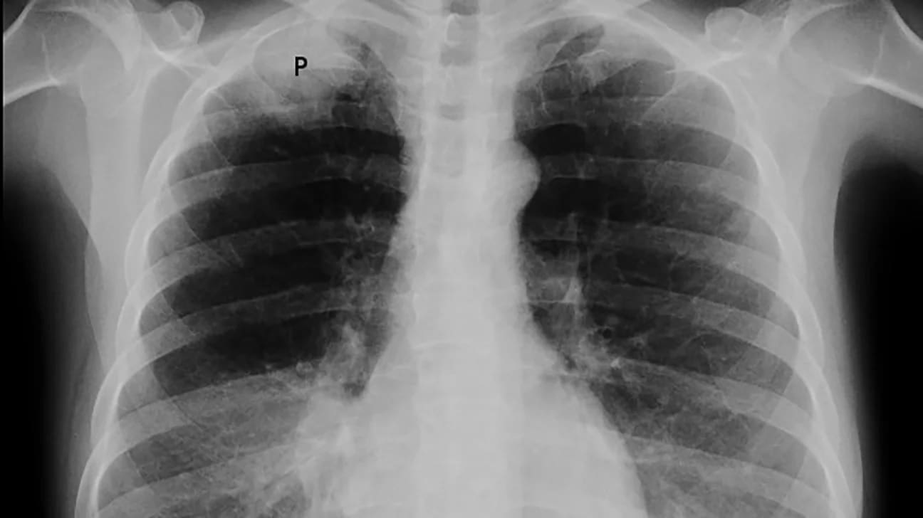
- TAC de tórax: Masa de mediastino posterior al nivel de T9 con invasión de cuerpo vertebral. (Figura No 1)
- RNM: Corte axial a nivel de T2 muestra masa paraespinal izquierda de bordes bien definido, la cual entra en el foramen de conjugación. (figura No2)

Figura No. 1 Tac: masa gavabertebral izquierda que aumenta la amplitud del fovamen de conjugación del cuerpo vertebral adyacente ,erosión osea del cuerpo vertebral y del pediculo.feocromocitoma Extr-adrenal.

Figura No. 2 Feocromocitoma extra-advenal.Corte axial a nivel de T2 con masa paraespinalizquierda de borde bien definido y que entra en el foramen de conjugación.
Evolución
Durante la hospitalización prequirúrgica presenta una emergencia hipertensiva que se maneja con bloqueadores beta, desarrollando un shock vasoplejico, edema pulmonar y gran labilidad en la tensión arterial; es manejada en UCI con ventilación mecánica, monitoría invasiva (SWAN GANZ) Y con nitroprusiato-nitroglicerina alterados con inotrópicos tipo adrenalina y dopamina, hasta estabilizar la tensión y resolver el edema pulmonar.
Posteriormente es llevada a cirugía y se realiza resección de masa paravertebral izquierda con coracotomia posrterolateral, sin complicaciones; la masa midió 6 x 5 cm, encapsulada, de consistencia blanda y color pardo amarillento con áreas de hemorragia.
Histológicamente, presentó un estroma fibrovascular delicado, que dividía el tumor en nidos celulares de forma y tamaño variable, algunas exhibiendo núcleos gigantes e hipercromáticos.(figura No 3) Durante el control posquirúrgico no presentó complicaciones.

Figura No. 3 Pieza microscopica estroma fibrovascular que divide el tumor en nidos celulares de forma y tamaño variabl, algunos con núcleo gigante e hipercromáticos.
Revisión clínica
El feocromocitoma se presenta en todas las edades, pero es más común en jóvenes y adultos de edad media; Algunas series informan mayor frecuencia en el sexo femenino. La tríada clásica de el consiste en episodios de cefalea, sudoración profusa y taquicardia.
Ocurre hipertensión en el 90% de los casos siendo, sostenida, severa y labil; en el 40-50% se presenta como crisis; los cuales pueden ser frecuentes o esporádicas y de aparición súbita: Con el tiempo los paroxismos aumentan en frecuencia; duración y severidad.
Algunos síntomas adicionales son palpitaciones, dolor toráxico o abdominal, náusea, vómito, palidez y desde ansiedad hasta trastornos psiquiátricos mayores. Hay una tasa metabólica aumentada, por lo que es frecuente la perdida de peso.
Hipotensión ortostática por disminución del volumen plasmático y por bloqueo del reflejo simpático, al igual que la habilidad dela tensión arterial durante trauma, anestesia o cirugía, deben hacer pensar en feocromocitoma. Se presenta intolerancia a los carbohidratos en mas de la mitad de los casos y es debida a la supresión de la insulina y estimulación de la gluconeogenesis hepatipática.
El hematocrito se eleva secundariamente la disminución del volumen plasmático. Hay hipercalcemia secundaria a la secreción ectopia de la pseudo-paratormona. Puede haber fiebre y elevación de la VSG por aumento de la producción de Ll-6.
Se ha visto poliuria, y rabdomiolisis con falla renal mioglobinúrica. Las manifestaciones cardiacas encontradas con mayor frecuencia son la taquicardia y la bradicardia sinusales, arritmias supraventriculares y contracciones ventriculares prematuras, además, angina e infarto agudo de miocardio en ausencia de enfermedad coronaria, algunas veces falla cardiaca y cardiomiopatia dilatada. Los tumores malignos no se diferencian ni histológica ni bioquímicamente de los benignos.
Diagnóstico del feocromocitoma de mediastino
Se establece por la demostración de excreción aumentada de catecolaminas o de sus metabolitos. Las pruebas empleadas más frecuentemente son el ácido vanilmandélico (AVM), las metanefrinas y las catecolaminas libres o conjugadas.
El AVM es una prueba menos sensible y especifica que las metanefrinas o catecolaminas. Las metanefrinas urinarias son la mejor prueba para establecer la presencia de la enfermedad, con una sensibilidad del 92%; la combinación de las metanefrinas urinarias con el ácido vanilmandelico alcanza una sensibilidad diagnostica del 98%.
Las catecolaminas plasmáticas tienen una limitada aplicación en el diagnostico ya que son fácilmente alteradas por los alfa y beta bloqueadores que se utilizan en el manejo sintomático. La concentración plasmática elevada de cromogranina A tiene una sensibilidad del 83% y una especificidad del 96%.
En los casos en los que hay una alta sospecha pero no se encuentran resultados de laboratorio concluyentes, se pueden utilizar pruebas farmacológicas diagnosticas como la supresión con clonidina y la estimulación con glucagón
Para el manejo definitivo es primordial la localización exacta de la lesión; la TAC y la RNM son útiles para localizar lesiones adrenales y tumores extraadrenales relativamente grandes, con una sensibilidad de 98-100% y una especificidad de solo 70%.
Una técnica adicional pero algunas veces indispensable es la gamagrafía con l-31 metayodobenzilguanidina (l-131 MIBG) que por medio de amino captación marca el sitio del feocromocitoma con una especificidad del 98% y una sensibilidad de 85-90%.
Manejo médico del feocromocitoma de mediastino
La extirpación quirúrgica es el tratamiento definitivo de la enfermedad. El manejo preoperativo y la preparación prequirúrgica se inician en el momento de la localización y decisión de manejo quirúrgico, con bloqueo adrenérgico por 1 a 4 semanas antes del procedimiento.
Los paroxismos hipertensivos asociados a taquicardia se tratan con bloqueo adrenérgico alfa y beta. Se utiliza la fenoxibensamina produciendo un bloqueo no competitivo de receptores alfa, la administración es oral, iniciando con 5mg dos veces al día y ajustando la dosis cada uno a 4 días en 10 mg hasta un tope de 50 a 100mg dos veces al día, con dosis entre 30 y 80 mg al día.
Otras drogas que se pueden utilizar son el prazosín, el terazo sin o el doxazosin, antagonistas alfas 1 que se usan en las intolerancias a la fenoxibenzamina, en dosis de 0,5 a 16 mg al día por vía oral cada 6 a 12 horas.
Este bloqueo no debe ser tan importante debido a que en el intra operatorio puede generarse, con la inducción anestésica(intubación orotraqueal) y durante la manipulación del tumor, una respuesta beta, manifestada por severa hipertensión arterial, taquicardia y arritmia.
Bloqueos alfa y beta
Si no se controla adecuadamente la sintomatología, taquiarritmias o la hipertensión arterial, con el bloqueo alfa, se puede instaurar bloqueo beta, pero es necesario que el bloqueo alfa ya esté instaurado; el bloqueo beta, pero es necesario que el bloqueo alfa ya este instaurado;el bloqueo Beta se logra con propanolol endovenenoso a dosis de 0.01 mg/kg.
Cada 5 min hasta máximo 0.25 mg/kg en el cuadro agudo y dosis de mantenimiento de 10 a 40mg vía oral cada 6 horas. Son alternativas el metoprolol, el esmolol y el labetalol (con >efecto beta que alfa bloqueador).
En pacientes con contraindicación para el betabloqueador; se utiliza lidocaína o amiodarona. En el preoperatorio, durante las 24 horas previas al procedimiento, debe repletarse el volumen plasmático, manteniéndolo así en el peri, intra y postoperatorio, evitando de esta forma la hipotensión en el postoperatorio.
Para el manejo de la crisis hipertensiva aguda en el intraoperatorio y en UCI, se usan bolos de fentolamina a dosis de 5 a 10mg o infusiones continúas de nitropusiato de sodio o de nitroglicerina; también se utiliza la nifedipinta sublingual.
Para pacientes con tumores malignos o en quienes la resección no fue completa, el manejo farmacológico de la hipertensión se hace con alfabloqueadores, calcioantagonistas de acción prolongada o inhibidores, calcioantagonistas de acción prolongada o inhibidores de la síntesis de catecolaminas como la alfametiltirosina a dosis de 0.25 a 1mg 4 veces al día.
Manejo quirúrgico del feocromocitoma tóracico
El manejo quirúrgico es el tratamiento de elección en todos los casos de feocromocitoma si la extirpación total no se puede hacer, la simple resección de parte de la masa puede ayudar en el tratamiento de la hipertensión.
La presentación torácica del feocromocitoma es infrecuente (< 1%) encontrándose, generalmente en mediastino y más frecuentemente en el surco para vertebral, alo largo de la cadena simpática torácica; también en el corazón y región paracardiaca.
Son tumores generalmente pequeños, menores de 3 cm, pero pueden ir desde 1g hasta 40g, se encuentran cubiertos por pleura parietal engrosada lo que les da aspecto nacarado y brillante en situ, además, en este sitio, la pleura se encuentra ricamente vascularizada (como telangiectasias) y es por su puesto que se presenta sangrado fácil aun cuando se incida a distancia de la masa.
Al exponer el tumor, éste presenta un aspecto glandular, blando y de color pardo rojizo. La resección quirúrgica de la masa tiene los mismos riesgos de la remoción de un feocromocitoma en cualquier lugar del cuerpo.
Se debe tener un adecuado control farmacológico para el control de posibles fluctuaciones severas de la tensión arterial. Es importante la localización precisa para hacer la resección, y la mejor forma de localización es con gamagrafía con I131 metaiodobenzilguanidina-131IMIBG, especialmente para los paragangliomas de difícil localización como son los de la pared aórtica y los de la ventana aortopulmonar.
Abordaje quirúrgico
El abordaje quirúrgico será de acuerdo a la experiencia del cirujano y a la localización: toracotomia posterolateral para aquellas que se encuentran en el mediastino posterior o esternotomía y en algunos raros casos mediastinomía, para las localizadas en mediastino exterior y medio.
La manipulación debe ser extremadamente peligrosa, pues con cada presión fuerte sobre la masa se liberan grandes cantidades de catecolaminas que se manifiestan con picos de HTA hasta de 300/160 o más que sede espontáneamente al abordar la manipulación se recomienda por esto, abordar inicialmente las venas de la masa, sin embargo no siempre es fácil por que, como ya se mencionó, ellas se encuentran muy vascularizadas, lo que hace difícil identificar el pedículo o pedículos principales, sin tener que comprimir.
Teniendo en cuenta que este tipo de tumor generalmente tiene una adherencias laxas con las estructuras vecinas y muy rara vez infiltra los tejidos, el cirujano, puede realizar unas disección de forma rápida que impida prolongadas manipulaciones y picos de HTA altamente lesivos.
Finalmente, se revisa el lecho de la masa para asegurar la completa resección y hemostasia. Los cuidados postoperatorios son los mismos de cualquier toracotomía. La mortalidad de procedimiento es de 2 a 3%.
Un incidente frecuentemente luego de la resección del tumor es la hipoglicemia , por lo que se recomienda la infusión de D5%SS en el intra y postoperatorio inmediato; también se puede presentar hipotensión para lo que suspendera gradualmente los bloqueadores de beta y alfa que se encuentra en uso, siendo prioritario manejar la hipotensión con infusión de cristaloides.
Discusión
Los feocromocitomas son neoplasias que se desarrollan en células cromafinas del sistema simpático adrenal o cerca de los ganglios simpáticos(feocromocitoma extraadrenal o paraganglioma).
Estos tumores sintetizan y almacenan catecolaminas coma las de la médula adrenal normal, en la mayoría de los casos norepinefrina; la secreción aislada de adrenalina es rara. Se conoce poco sobre el mecanismo de liberación de catecolaminas.
Los feocromocitomas no son inervados, por tanto, la liberación de catecolaminas no resulta de estimulación neuronal. Almacenan y secretan una variedad de péptidos, como opioides endógenos, adrenomedulina, endotelina, eritropoyetina, pseudoparatohormona, neuropéptido Y y cromogranina A.
La producción aumentada de dopamina y ácido homovalínico es más frecuente en los feocromocitomas malignos que en los benignos. Los tumores relacionados que secretan catecolaminas y producen igual síndrome clínico, son los quemodectomas derivados de las neuronas simpáticas postganglionares.
Los feocromocitomas pueden ocurrir en cualquier célula cromafina. Corresponden al 0.3-0.95% de los tumores neuroendocrinos. Menos del 50% de los pacientes son diagnosticados en vida, el resto son encontrados en autopsias.
Los feocromocitomas son responsables del 0.1 a 0.2% de las hipertensiones arteriales; en adultos, aproximadamente el 80-90% son unilaterales y únicos en la suprarrenal, 10% son bilaterales y 10% son extraadrenales(paragangliomas); en niños son infrecuentes, siendo una cuarta parte bilateral y otra cuarta parte extraadrenales.
Menos del 10% de estos tumores son malignos. La invasión local de los tejidos circundantes y las metástasis a distancia indican malignidad.
Feocromocitoma familiar
El feocromocitoma familiar ocurre en 5 a 10% de los casos y es heredado con un rasgo autosómico dominante, ya sea solo o en combinación con otras anomalías, tales como la neoplasia endocrina múltiple tipo IIA (síndrome de Sipple) o la tipo IIB (síndrome de neurona mucoso), la neurofibromatosis de Von Reckleinghausen o la hemangioblastomatosis cerebral retiniana de Von Hippellindau. Los feocromocitomas adrenales bilaterales son comunes en los síndromes familiares (50%).
Los feocromocitomas extraadrenales, de los cuales el 90% son intraadominales y la mayoría localizados en el órgano de Zuckerkandl, se localizan con más frecuencia cerca de la mesentérica superipi y de los ganglios mesentéricos inferiores. Aproximadamente el 1% se encuentran en el tórax, el 1% cerca de la vejiga y menos del 1% están en el cuello. También se encuentran en uréter, ligamento redondo uterino, ovario y vagina.
Histológicamente el gigantismo nuclear y la hipercromasia no son una expresión de malignidad ; la presencia de metástasis es el único criterio de malignidad de estos tumores.
Ultra- estructuralmente las células del feocromocitoma contienen gránulos de tipo neurosecretorio: inmunohistoquímicamente, las células del feo-cromocitoma son reactivas a catecolaminas, NSE, cromogranina A, sinaptofisina, y péptidos opioides entre otros.
Un segundo componente del tumos está representado por las células sustentaculares que reaccionan fuertemente con la proteína S100, estas células se encuentran en mayor número en los tumores benignos que malignos. Citogenéticamente, existe pérdida de la heterocigosidad del brazo largo del cromosoma 22.
Pronóstico y seguimiento del feocromocitoma
El 90% de los feocromocitomas son benignos y la resección es curativa, sin embargo un 25% de los pacientes pueden persistir con algún grado de hipertensión arterial (HTA). Se puede determinar la presencia de tumor residual con la medición de catecolaminas urinarias luego de una a dos semanas postoperatorias, esta medición también descartará una HTA esencial o secundaria al daño arterial causado por la HTA crónica.
El seguimiento de los pacientes con feocromocitoma es mandatorio. La sobreviva de 5 años, luego de cirugía es mayor del 95% y la tasa de recurrencia es menor del 10%.
Después de la cirugía los niveles de catecolaminas retornan a la normalidad en una semana cuantificación que es muy importante ya que permite evaluar, si hubo extirpación completa del tumor y además, permite hacer el seguimiento, el cual se realizara mínimo durante 5 años. La resección completa cura la hipertensión arterial en el 75% de los casos, el 25% que persisten hipertensos deben ser manejados con drogas antihipertensivas.
Los pacientes con feocromocitomas malignos (5 a 10%) tienen una sobrevida menor del 50% a 5 años.Esta descrita la quimioterapia con respuestas variables, al igual que la radioterapia para las metástasis especialmente óseas.
Bibliografía
- De la Hoz. Feocromocitoma Cirugí Endocrino Rev Col Cirugía 1994;9(3):225-39
- Gavaghan M. Surgical Trestment of pheochromocytoma AORNJ 1997;65(6):1041-51
- Geoghegan JG, Emberton M. Et al: Clanging trends in the management of pheochromocytoma. Brr J Surg 1998; 85:117-20
- Goldstein R.E,O´Neill J, A Jr, al: Clinical Experience over 48 years with pheochoromocytoma. Ann Surg 1999;229(6):755-64
- Kebebew E, Duh QY, Benign and malignant pheo- chromocytoma. Surg Onc Clin of North Am Vol 7 . No 4.Oct 1998; 765-89
- Landsberg L. Young J.B Pheochromocytoma, principles of Internan Medicin, 14 Edition, Harrison´s, New York, Mac Graw-Hill Companies, Inc, 1998: 2057-60
- Mann S.J: Severe Paroxismal Hipertension (Pseudopheo- chromocytoma) Understanding the Cause and treatment. Arch Intern Medicine 1999;159(7):670-4
- Normann MK, Clark TS. Diagnosis and treatment of pheocromocytoma Up to Date, 1998;7(2):204-2
- O´Connor D.T XVII Endocrine and Reproductive Deseases. Adrenal Medulla (1253-58)
- Revillon Y, Faher P, et al. Pheochromocytoma in children 15 cases. J. Pedriatr Surg 1992; 27 (7):910-5
- Sandur S, Dasgupta A. Shapiro J, Toracic Involvement with Pheochromocytoma. Chest7115/2 Feb/1999(511-21)
- Scott H.W, et al: Oncologic aspects of pheochromocytoma: The Importance of Follow-up. Surgery 1984;96:1061-66
- Shapiro B. Orringer MB y Gross MD. Mediastinal Surgery Shields T.
- Mediastinal Paragangliomas and pheochromocytomas. Lea & Febiger Philadelphia. London. 1991.254-71
- Shields T, Primary tumors and cysts of the mediastinum. General Thoracic Surgery. 3th Editon- 1989-09
- Tominaga M, KuY, Iwasaki T. Resection of pheochro mocytoma under Inferior vena cava insolation and extracorporeal hemoperfusión. Arch Surg. Sep, 1998;133:1016-9
- Werbel. S.S-Ober K.P. Pheochromocytoma:Med Clin North Am 1995;79(1) 131-53







