Resumen
Presentamos el caso de un hombre de 54 años, con abscesos pulmonares bilaterales apicales quien consulta por fiebre y broncorrea aislándose Moraxella catharralis. Manejándose con ampicilina sulbactam con una adecuada evolución clínica y radiológica. (Lea también: Neumonía intersticial aguda)
Palabras clave: abscesos pulmonares, moraxella catharralis.
Summary
We presented the case of a 54 year – old man with bilateral apical pulmonary abscess who consults due to fever and bronchorrhea, isolating Moraxella catharralis that is managed with ampicilline-sulbactam with an adequate clinical and radiological evolution.
Key Words: pulmonary abscesses, moraxella catharralis.
César A. Mercado Ferrer, MD*; Francisco O. Serrano Vásquez, MD**
 * Residente de II año de Medicina Interna. Hospital Santa Clara. FUHM Barranquilla.
 ** Internista Neumólogo. Coordinador, Programa de Asma,
 Hospital Santa Clara. Instructor Asociado, Universidad El Bosque. Santafé de Bogotá.
Presentación del caso de abscesos pulmonares apicales
Paciente masculino de 54 años, natural y procedente de la ciudad de Bogotá quien consulta al servicio de urgencias por cuadro de un mes de evolución de disnea, dolor en hemitórax izquierdo, fiebre, tos con expectoración purulenta abundante y fétida, adenopatía submaxilar, edéntulo parcial, periodontitis, caries y múltiples abscesos dentarios. Pérdida de peso aproximadamente 15 Kg en el último mes.
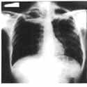
Se encontró estertores y roncus en ambos campos pulmonares, leucocitos de 10.800 /mm3, neutrófilos 91%, la radiografía de tórax (Figura 1), mostró imágenes radio lúcidas circulares con niveles hidroaéreos en ambos ápices pulmonares. Se hace diagnóstico de abscesos pulmonares apicales.

Figura 1.
Se inicia manejo con ampicilina-sulbactam 3 gr IV cada 6 horas y se solicita estudio del esputo, escanografía de alta resolución (TACAR) de tórax y fibrobroncoscopia. El esputo reporta cocos y diplococos Gram. Positivos ++, diplococos Gram negativos +, PMN +++.
Se practicaron seis baciloscopias, todas reportaron negativo para BAAR. TAC AR de tórax (Figura 2) lesiones cavitadas de pared gruesa, simétricas en los segmentos apicales de los lóbulos superiores con consolidación parenquimatosa asociada.
Imágenes nodulares centrolobulillares e imágenes de árbol en gemación en el segmento posterior de lóbulo superior derecho y apical del lóbulo inferior izquierdo. Opacidad parenquimatosa en banda con bronquios dilatados en el segmento inferior de la língula.

Figura 2.
Videobroncoscopia bronquio fuente izquierdo muestra compresión extrínseca, bronquio fuente derecho salida de material muco purulento del lóbulo superior derecho. BAL negativo para BAAR. KOH y grocot negativos. Germen aislado Moraxella catharralis
Se continuó manejo con antibioticoterapia por 21 días con notoria mejoría clínica y radiológica (Figura 3). Por lo que se da de alta.

Figura 3.
Discusión
Los abscesos pulmonares pueden definirse como un proceso supurativo y circunscrito del parénquima pulmonar causado por gérmenes piógenos resultando una cavidad necrótica contenida de pus (1). Suelen deberse a la aspiración de material infectado a partir de las vías respiratorias superiores.
Vale la pena anotar que los términos “cavidad” y “absceso” no son sinónimos. Un absceso pulmonar sin una comunicación con el árbol bronquial, aparece opaco radiológicamente. Sólo cuando hay comunicación con el árbol bronquial, permitiendo que el aire reemplace el material necrótico, se debería utilizar el término “cavidad” (4).
Entre los gérmenes más comprometidos están los anaerobios y los gram negativos. En la literatura se encuentran reportes que la Moraxella catarrhalis se ha aislado en neumonías crónicas.
Factores de riesgo más frecuentes
Entre los factores de riesgo más frecuente se encuentran: alcoholismo, desórdenes cerebro vasculares con disfagia, abuso de drogas, desórdenes esofágicos (por ejemplo: esclerodermia, carcinoma de esófago, etc.) inadecuada higiene oral, enfermedades pulmonares obstructivas malignas y bronquiectasias (2).
Los abscesos se inician como un foco neumónico que ocupa el espacio alveolar destruyendo las paredes de éste, las cuales van confluyendo hasta formar la caverna contenida de pus que si llega a drenar al espacio aéreo forman niveles hidroaéreos y broncorrea. que de localizarse a nivel apical la broncorrea drena por gravedad.
Las manifestaciones clínicas más frecuentes son fiebre, dolor pleurítico, expectoración purulenta de color ceniciento abundante (3). Radiológicamente se manifiesta como imágenes radiolúcidas circulares que se diferencia de otras lesiones similares por encontrarse infiltrado neumónico perilesional.
Diagnóstico diferencial
El diagnóstico diferencial se debe hacer con otras lesiones pulmonares de tipo infeccioso:
Bacteriana (anaerobio, aerobios, bulas infectadas, empiema, actinomicosis, tuberculosis).
Fúngicas: (histoplasmosis, coccidiodomicosis, blastomicosis, aspergilosis, criptococosis).
Parasitarias (amebiasis, equinococosis).
Malignas (carcinoma primario de pulmón, metástasis de enfermedad pulmonar, linfoma, enfermedad de Hodkin).
Otras (granulomatosis de Wegener, sarcoidosis, endocarditis y émbolos sépticos pulmonares. La antibioticoterapia debe tener una duración de cuatro a seis semanas.
Bibliografía
1. Johnson CC, Finegold SM. Lung Abscess En: Murray JF, Nadel J.A. Text book of respiratory medicine. Philadelphia: WB Saunders Company 2001: 1030.
 2. Cavitation. Lung diseases that increase roentgeno graphic density. En: Fraser RG, Paré J.A. Diagnosis of diseases of the chest. Philadelphia: WB Saunders Company 1988: 581
 3. Finegold SM. Lung abscess. En: Mandell G.L, Bennett JE, Dolin R,. Principles and practice of infections diseases, 5th ed. Curchill Livingstone. New York, 2000: 2259.
 4. Ferri C. Lung abscess. En: Ferri C. Ferri’s clinical advisor: Instant diagnosis and treatment. New York. Curchill Livingstone, 9 ed; 2004: 211.
					





