Intestinal Obstruction Due to Gallstone Ileus
Palabras clave: obstrucción intestinal; cálculos biliares; colelitiasis; fístula biliar; fístula del sistema digestivo; complicaciones.
Keywords: intestinal obstruction; gallstones; cholelithiasis; biliary fistula; digestive system fistula; complications
La obstrucción intestinal es una entidad relativamente frecuente, que ocasiona entre el 1,4 % y el 12 % de los ingresos a urgencias por dolor abdominal 1.
En los adultos las causas más frecuentes de obstrucción son las adherencias, las hernias y las neoplasias, sin embargo, existen otras etiologías menos comunes, como el íleo biliar 2,3. Debido a la falta de una presentación típica, su diagnóstico generalmente es tardío.
Se presenta un paciente de 65 años, con cuadro clínico de varios meses de dolor abdominal cólico intermitente, asociado a perdida no intencionada de peso.
Consultó a otra institución por una semana de dolor y distensión abdominal, con múltiples episodios eméticos, donde consideraron que cursaba con obstrucción intestinal e iniciaron manejo medico con sonda nasogástrica.
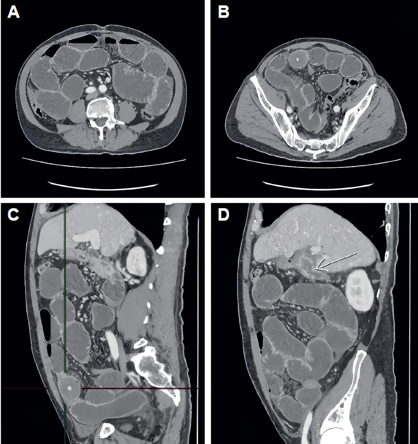
Ante la falta de respuesta después de cuatro días, lo remitieron a nuestra clínica y se realizó tomografía computarizada (Figura 1) donde se observó obstrucción intestinal mecánica del intestino delgado, con zona de transición en el íleon distal, causada por estructura redondeada que ocluye la luz intestinal, sin signos de sufrimiento de asas.

Figura 1. Imágenes de la tomografía computarizada de abdomen y pelvis. A. Dilatación difusa de asas intestinales delgadas de hasta 4,8 cm, sin signos de sufrimiento de asa ni neumoperitoneo. B. Zona de transición en el tercio distal del íleon; se aprecia imagen redondeada que corresponde al cálculo que ocluye la luz intestinal. C. Proyección lateral donde las líneas señalan la ubicación del cálculo que ocluye el íleon. D. Vesícula biliar escasamente distendida, con engrosamiento difuso y realce de sus paredes, con burbujas gaseosas en su interior; la flecha blanca muestra una comunicación de la vesícula con la segunda porción del duodeno y un aparente trayecto fistuloso hacia el margen anterior con colección subfrénica laminar. Asociado se observa aumento en la densidad y estriación de la grasa pericolecística. Fuente: Elaboración propia de las autoras.
Adicionalmente referían signos de colecistitis crónica, con trayecto fistuloso de la vesícula biliar a la segunda porción del duodeno y otro trayecto fistuloso que se comunicaba con colección laminar subdiafragmática, por lo que se hizo diagnóstico de íleo biliar y se decidió llevar el paciente a cirugía.
Se identificó un cálculo enclavado en el íleon distal, que se movilizó hacia proximal, para alejarlo de la válvula ileocecal, y se extrajo mediante enterotomía longitudinal (Figura 2).

Figura 2. Fotografías intraoperatorias. A. La pinza de disección señala el cálculo y permite apreciar su tamaño en comparación con el diámetro del íleon. B. Cálculo biliar extraído de la luz intestinal mediante enterotomía longitudinal en el borde antimesentérico del íleon. Fuente: Elaboración propia de las autoras.
Cumplimiento de normas éticas – Obstrucción Intestinal a Causa de Íleo Biliar
Consentimiento informado: Se obtuvo el consentimiento informado del paciente para la publicación del caso y se encuentra disponible para quienes los requieran.
Declaración de conflicto de intereses: Las autoras declararon que no tienen conflictos de intereses.
Fuentes de financiación: Recursos propios de las autoras.
Declaración de contribución de los autores
– Concepción y diseño del estudio: Mónica Patricia Torres, Mónica Bejarano.
– Adquisición de datos: Mónica Patricia Torres, Mónica Bejarano.
– Análisis e interpretación de datos: Mónica Patricia Torres, Mónica Bejarano.
– Redacción del manuscrito: Mónica Patricia Torres, Mónica Bejarano.
– Revisión crítica y aprobación final: Mónica Patricia Torres, Mónica Bejarano.
Referencias – Obstrucción Intestinal a Causa de Íleo Biliar
1 Bejarano M, Gallego CX, Gómez JR. Frecuencia de abdomen agudo quirúrgico en pacientes que consultan al servicio de urgencias. Rev Colomb Cir. 2011;26:33-41.
2 Martín-Pérez J, Delgado-Plasencia L, Bravo-Gutiérrez A, Burillo-Putze G, Martínez-Riera A, Alarcó-Hernández A, et al. El íleo biliar como causa de abdomen agudo. Importancia del diagnóstico precoz para el tratamiento quirúrgico. Cir Esp. 2013;91:485-9. http://dx.doi.org/10.1016/j.ciresp.2013.01.021
3 Ploneda-Valencia CF, Gallo-Morales M, Rinchon C, Navarro- Muñiz E, Bautista-López CA, de la Cerda-Trujillo LF, et al. El íleo biliar: una revisión de la literatura médica. Rev Gastroenterol Mex. 2017;82:248-54. http://dx.doi.org/10.1016/j.rgmx.2016.07.006
Autores – Obstrucción Intestinal a Causa de Íleo Biliar
1 Mónica Patricia Torres-Delgado, Médica, especialista en Cirugía general, Departamento de Cirugía, Hospital Universitario Fundación Valle del Lili; profesor hora catedra Cirugía, Universidad ICESI, Cali, Colombia
2 Mónica Bejarano, Médica, especialista en Cirugía general, magister en Epidemiología, Departamento de Cirugía, Hospital Universitario Fundación
Valle del Lili; profesor hora catedra Cirugía, Universidad ICESI, Cali, Colombia
 Fecha de recibido: 17/03/2023 – Fecha de aceptación: 3/04/2023 – Publicación en línea: 24/04/2023 
Correspondencia: Mónica Bejarano, Carrera 59 #11B-56, Cali, Colombia. Teléfono: 315-5574039
Dirección electrónica: monicirugia@gmail.com 
Citar como: Torres-Delgado MP, Bejarano M. Obstrucción intestinal a causa de íleo biliar. Rev Colomb Cir. 2023;38:533-5. https://doi.org/10.30944/20117582.2378 
Este es un artículo de acceso abierto bajo una Licencia Creative Commons – BY-NC-ND https://creativecommons.org/licenses/by-nc-nd/4.0/deed.es
					






