Reporte de Cuatro Casos
BEATRIZ MOLINARES ARÉVALO, MD*, GERMÁN ALBERTO CASTRILLÓN, MD**, RODRIGO RESTREPO, MD***
* Radióloga. Residente Subespecialidad Imagen Corporal Universidad de Antioquia. Medellín. Colombia
** Radiólogo. Profesor de la Universidad de Antioquia.
***Radiólogo. Centro de Diagnóstico Médico CEDIMED.
Palabras clave: epiplón, apendicitis, dolor abdominal, tomografía computada helicoidal
Resumen
La apendicitis epiploica es una entidad rara, benigna y autolimitada. Su principal sintomatología es dolor abdominal focal acompañado de un recuento de glóbulos blancos y velocidades de sedimentación normales o ligeramente elevadas. Usualmente simulan cuadros de abdomen agudo como apendicitis o diverticulitis. Esta entidad presenta hallazgos característicos en la tomografía computarizada que llevan al cirujano a evitar procedimientos innecesarios. Presentamos cuatro casos con una revisión y discusión de la literatura.
Caso 1
Hombre de 63 años, que consultó por 24 horas de dolor en el flanco izquierdo, de inicio súbito y constante. Sin náuseas, vómito, fiebre o diarrea.
Al examen físico presentaba dolor y sensibilidad en la fosa iliaca izquierda. Los exámenes de laboratorio fueron normales, incluyendo recuento de glóbulos blancos y velocidad de sedimentación. Con impresión diagnóstica de diverticulitis se le realizó tomografía contrastada de abdomen (figura 1).

Caso 2
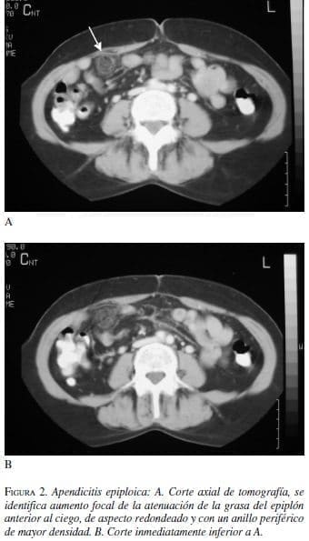
Hombre de 38 años con cuadro de 12 horas de dolor en el flanco y la fosa iliaca derechos, recuento normal de glóbulos blancos pero velocidad de sedimentación y proteína C reactiva ligeramente elevadas. Con impresión diagnóstica dudosa de apendicitis aguda, se realiza tomografía contrastada de abdomen (figura2).

Caso 3
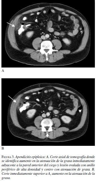
Hombre de 41 años con cuadro de 24 horas de dolor en la fosa iliaca derecha. Leve aumento en la velocidad de sedimentación globular y leucograma normal. Con impresión diagnóstica dudosa de apendicitis aguda se realiza tomografía contrastada de abdomen (figura 3).

Caso 4
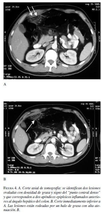
Hombre de 43 años quien consulta por 4 días de dolor en el hipocondrio derecho acompañado de malestar general y náuseas. Velocidad de sedimentación aumentada y leucocitosis leve. Se le ordena tomografía contrastada de abdomen con sospecha de absceso hepático.

Con los hallazgos de tomografía se estableció el diagnóstico de apendicitis epiploica en todos los pacientes y fueron manejados de manera conservadora, con analgésicos; ninguno fue llevado a cirugía, ni recibió antibióticos. Se realizó seguimiento clínico por cinco semanas, con mejoría completa de los síntomas en tres a cinco días y sin recurrencias durante el seguimiento.
Introducción
La torsión aguda de un apéndice epiploico produce un proceso inflamatorio focal llamado apendicitis epiploica. Es una entidad benigna y autolimitada (1).
Los apéndices epiploicos son estructuras pedunculadas de tejido adiposo que protruyen de la superficie externa del colon a la cavidad peritoneal. Están dispuestos en dos filas longitudinales separadas que se extienden desde el ciego hasta la unión rectosigmoidea.
Son aproximadamente 50 a 100, de 1 a 2 cm de grosor y de 2 a 5 cm de largo (2). Están irrigados por una o dos pequeñas arterias terminales de los vasos rectos del colon y drenados por una vena tortuosa, vasos que pasan a través de un pedículo estrecho. Su limitada suplencia sanguínea junto con su forma pedunculada y excesiva movilidad los hace propensos a torsión con trombosis venosa secundaria, infarto isquémico o hemorrágico (3, 4). La apendicitis epiploica puede ocurrir a cualquier edad; el pico de incidencia es a los 40 años y es ligeramente más común en hombres que en mujeres (5).
Usualmente se manifiesta como un dolor abdominal localizado en uno de los cuadrantes inferiores, puesto que los apéndices epiploicos del colon sigmoides y del ciego son los más frecuentemente comprometidos. Clínicamente la apendicitis epiploica imita a una apendicitis o una diverticulitis (3). Se encuentra una incidencia de 3 a 7,1% en pacientes con sospecha de diverticulitis y en 0,3 a 1% cuando se sospecha apendicitis (1).
El recuento de leucocitos es normal o ligeramente elevado y la velocidad de sedimentación puede estar aumentada en las primeras horas (6).
Discusión
En la mayoría de los pacientes con apendicitis epiploica el diagnóstico rara vez es sospechado clínicamente, por lo cual históricamente éste sólo se realizaba durante la cirugía. Recientemente se ha reportado que tiene características en tomografía computarizada y ultrasonido que en la mayoría de los casos permiten llegar al diagnóstico definitivo (6, 7).
Los apéndices epiploicos son normalmente invisibles en la tomografía a menos que estén rodeados por ascitis. Los hallazgos característicos de apendicitis epiploica son: una masa oval paracolónica con densidad de grasa que representa el apéndice inflamado o infartado, con aumento en la atenuación de la grasa a su alrededor, un anillo hiperatenuante bien definido que rodea a la masa que representa al peritoneo visceral inflamado y en algunas ocasiones un “punto” central de alta atenuación que representa los vasos ingurgitados o trombosados o áreas centrales de hemorragia (3, 8-9).
Ocasionalmente la pared del colon se encuentra engrosada, así como el peritoneo parietal adyacente (7). Los diagnósticos diferenciales son diverticulitis, infarto del omento (epiplón mayor) y apendicitis. Realizar un diagnóstico correcto es importante ya que la apendicitis epiploica y el infarto del omento son condiciones típicamente autolimitadas, mientras que la apendicitis aguda y en muchos casos la diverticulitis requieren cirugía u otra intervención (3).
Aunque el diagnóstico de diverticulitis por tomografía puede ser difícil cuando la localización es atípica, la combinación de divertículos y aumento desproporcionados de la atenuación de la grasa sugieren el diagnóstico, aun en localizaciones inusuales como el colon derecho (10, 11).
La visualización de un apéndice cecal dilatado (> de 6 mm de diámetro) es el hallazgo más específico de apendicitis aguda por tomografía. Otros signos directos incluyen incremento de la atenuación del apéndice cecal luego de la administración del contraste y aumento en la densidad de la grasa periapendicular. Signos secundarios incluyen apendicolito o engrosamiento del apex cecal (12-16).
El infarto del omento y la apendicitis epiploica pueden tener apariencia similar en tomografía. Una masa de apariencia en “torta” a alguna distancia del colon (centrada en el omento) favorece fuertemente el infarto omental. Un pequeño anillo denso o línea ovoide rodeando una masa de grasa con un “punto” central de alta atenuación es típico de apendicitis epiploica*. Sin embargo, la relevancia clínica de la diferenciación de estas dos entidades es limitada ya que el tratamiento de ambas condiciones es conservador. Algunos autores favorecen el uso del término “infarto focal de grasa intraabdominal” para los casos en los que las dos entidades no puedan ser claramente diferenciadas (1, 17). Los síntomas de la apendicitis epiploica mejoran en una a dos semanas en la mayoría de los casos y en el mismo período de tiempo la tomografía presenta una reducción gradual de las anormalidades. El tratamiento es conservador, la cirugía, colonoscopias, antibióticos y hospitalización prolongada no están indicados. El conocimiento de la historia natural y de las características típicas en tomografía que hacen el diagnóstico conducen al cirujano a evitar procedimientos innecesarios (1).
* El término en inglés es “epiploic appendagitis”, que viene de epiploic appendage.
Epiploic Appendagitis. Report of Four Cases
Abstract
Epiploic appendagitis is a benign, self-limiting and rare entity. Clinical picture consists of focalized abdominal pain accompanied by elevation of the leukocyte count and normal or slightly elevated blood sedimentation rate. Epiploic appendagitis usually simulates an acute abdominal entity such as appendicitis or diverticulitis. This entity presents typical findings on CT, a fact that aids the surgeon in avoiding unnecessary operations. We hereby present four cases and a literature review.
Key words: omentum, appendicitis, abdominal pain, spiral computed tomography.
Referencias
1. VAN BREDA A., DE MOL A., PUYALERT J. Epiploic appendagitis and omental infartion. Eur J Surg 2001; 167: 723- 27.
2. GHAHREMANI GG, WHITE EM, HOLF FL, GORE RM, MILLER JW, CHRIST ML. Appendices epiploicae of the colon: radiologic and pathologic features. RadioGraphics 1992; 12: 59-77.
3. PEREIRA J, SIRLIN C, PINTO P. Disproportionate fat stranding: A helpful CT Sign in patient with acute abdominal pain. RadioGraphics 2004; 24: 703-715.
4. FIEBER SS, FORMAN J. Appendices epiploicae clinical and pathological considerations. Arch Surg 1953; 66: 329- 38.
5. BRADY SC, KLIMAN MR. Torsion of the greater omentum or appendices epiploicae. Can J Surg 1979; 22: 79-82.
6. RIOUX M, LANGIS P. Primary epiploic appendagitis: Clinical US and CT findings in 14 cases. Radiology 1994; 191: 523-526.
7. RAO PM, WITTENBERG J, LAWRASON JN. Primary epiploic appendagitis: evolutionary changes in CT appearances. Radiology 1997; 204: 713-717.
8. RAO P, NOVELLINE R, Case 6: Primary Epiploic Appendagitis. Radiology 1999; 210: 145-148.
9. VARELA C, MIGUEL F, ROSARIO R, et al. Procesos inflamatorios del tejido adiposo intraabdominal, causa no quirúrgica del dolor abdominal agudo: hallazgos en tomografía computada. Rv Chil Radiol 2004; 10: 28-34.
10. JHAVERI KS, HARISINGHANI MG, WITTENBERG J, SAINI S, MUELLER PR. Right-sided colonic diverticulitis: CT findings. J Comput Assist Tomogr 2002; 26: 84-89.
11. ESCALLÓN J, HIGUEROA J. Enfermedad diverticular. Experiencia en la FSFB, 1983-1990. Revisión de la literatura. Rev Colomb Cir 1992; 7 (1): 9-16.
12. LANE MJ, KATZ DS, ROSS BA, CLAUTICE-ENGLE TL, MINDELZUN RE, JEFFREY RB, Jr. Unenhanced helical CT for suspected acute appendicitis. AJR Am J Roentgenol 1997; 168: 405-409.
13. LANE MJ, LIU DM, HUYNH MD, JEFFREY RB, JR, MINDELZUN RE, KATZ DS. Suspected acute appendicitis: nonenhanced helical CT in 300 consecutive patients. Radiology 1999; 213: 341-346.
14. BRAINSKY A, SALAMANCA E, BONILLA E, VARÓN C, ROA J, DÍAZ D. Controversias en el manejo del plastrón y el absceso apendicular: reporte de un caso. Rev Colomb Cir 2004; 19 (3): 190-194.
15. ASTUDILLO R, SACOTO H, VÁSQUEZ F. Apendicitis aguda. Validez de la proteína C Reactiva Cuantitativa y la citología peritoneal y su diagnostico. Rev Colomb Cir 1998; 13 (4): 236-243.
16. SANABRIA A, HENAO C, BONILLA R. Diagnóstico de apendicitis aguda en un centro de referencia. Un enfoque basado en le evidencia. Rev Colomb Cir 2004; 19 (3): 190-194.
17. VAN BREDA VRIESMAN AC, LOHLE PN, COERKAMP EG, PUYLAERT JB. Infarction of omentum and epiploic appendage: diagnosis, epidemiology and natural history. Eur Radiol 1999; 9: 1886- 1892.
Correspondencia:
BEATRIZ MOLINARES ARÉVALO, MD
Correo electrónico: pipeybeatriz@hotmail.com
Medellín, Colombia