A Propósito de un Caso
José A. Prieto, MD*.; Juan C. Angarita, MD***., Jorge Almario, MD**., José E. Guzmán, MD***.
Resumen
La histiocitosis de Células de Langerlhans o también conocido como Histiocitosis X es un grupo de enfermedades entre las cuales se encuentran comprendidas el Granuloma Eosinofílico, la enfermedad de Hand-Schuller y la Enfermedad de Letterer-Siwe. Clínicamente puede presentarse como lesiones líticas monofocales o como lesiones multifocales y diseminadas que comprometen órganos tales como: Bazo, Hígado, Pulmón, Sistema Gastrointestinal, Sistema Nervioso Central, etc.
Su cuadro clínico es variable y depende del sitio de afección. Desde el punto de vista otorrinolaringológico las manifestaciones más comunes suelen presentarse en el hueso temporal y por lo tanto aparecer como lesiones de oído medio o de áreas vecinas.
El objeto de este artículo es presentar el caso de un niño de 9 meses quién presenta un cuadro de Histiocitosis monofocal con lesiones óseas líticas del peñasco del temporal.
Palabra clave: Histiocitosis – Hueso temporal – Monofocal.
Introducción
La Histiocitosis de células de Langerhans o también conocida como HISTIOCITOSIS X es una lesión proliferativa no neoplásica secundaria posiblemente a defectos de la inmunoregulación, cuya etiología no es clara.
Sin embargo, se han identificado algunos factores de riesgo como pueden ser las infecciones urinarias durante la gestación, problemas alimenticios en la infancia y transfusiones sanguíneas en etapas tempranas de la vida.
Suele presentarse en forma localizada o sistémica e involucrar órganos tales como hueso, piel, mucosa oral, tejido retrorbitario, sistema nervioso central, ganglios linfáticos, hígado, brazo, pulmón y tracto gastrointestinal.
La forma localizada es más frecuente y aparece normalmente como lesiones óseas líticas únicas que afectan los huesos del cráneo especialmente.
La forma multifocal o diseminada es menos frecuente y suele tener un compromiso de varios órganos como los arriba mencionados.
Se considera una entidad relativamente rara y su incidencia en los Estados Unidos ha sido calculada en 5.4 por millón de niños por año, según Bhatia y cols. En 1997. Suele afectar niños y adultos pero es mucho más frecuente en niños de todas las edades. La edad promedio de diagnóstico es de 1.8 años con un rango entre 0.1 y 14.6 años.
l término Histiocitosis X ha sido utilizado para agrupar un espectro de 3 enfermedades de presentación clínica diferente y que a saber son: GRANULOMA EOSINOFILICO, ENFERMEDAD DE HAND-SCHILLER-CRISTIAN Y ENFERMEDAD DE LETTERER-SIWE; siendo esta última denominada como una forma diseminada de muy mal pronóstico clínico. La enfermeda de Han-Shuller-Christian se considera una forma multifocal y consta de una triada caracterizada por exoftalmos, diabetes insípida y granulomas o lesiones líticas óseas, presenta solamente en el 70% de los paciente con este diagnóstico. El granuloma eosinofílico es la forma más benigna y consiste en lesiones líticas óseas únicas que se localizan especialmente en los huesos del cráneo.
Pizzo y Poptack proponen una nueva clasificación de la Histiocitosis, la cual es publicada en práctica y principios de oncología pediátrica en 1997. Dichos autores proponen 3 clases: Clase I se involucra la histiocitosis X o de células de Langerhans (Granuloma eosinofílico, Enfermedad de Han Schuller-Christian y enfermedad de Letterer-Siwe. La clase II incluye un gran grupo de Histiocitosis no malignas en las cuales hay acumulación de células mononuclearres del tipo fagocífico entre las cuales se encuentran: La linfohistiocitosis Eritrofagocífica Familiar. La clase III incluye las Histiocitosis malignas entre las cuales podemos encontrar el Linforma Histiocítico, la Leucemia Monocítica Aguda y el Sarcoma Histiocítico.
La sospecha clínica es vital en el diagnóstico, sin embargo en todos los casos se requiere recurrir a estudios histopatológicos e inmunohistoquímicos que permiten llegar a un diagnóstico conclusivo de esta entidad.
El diagnóstico histológico se basa en la determinación de acumulación de Células de Langerhans; así mismo se encuentran infiltrados puros de histiocitos o infiltrados mixtos de histiocitos y eosinófilos. Rara vez se identifican histiocitos fagocíticos y la necrosis puede ser evidente.
En la microscopia electrónica es típico visualizar los gránulos de Birbeck; por otro lado la inmunohistiquímica es vital en el diagnóstico de Histiocitosis de Células de Langerhans siendo positiva para proteína S100-CD la (antígeno T6).
El tratamiento para Histiositosis de Células de Langerhans depende del compromiso de la enfermedad y puede ir desde resecciones quirúrgicas para lesiones localizadas, hasta la quimioterapia y la radioterapia para las formas multifocales o diseminadas.
La recurrencia es más frecuente en los casos multifocales y diseminados. Las secuelas se presentan en cerca del 64%, en un seguimiento de tres años.
Según reporta el estudio de Willis y Cols. 1996, el pronóstico de sobrevida a 5, 10 y 20 años, es de, 88% y 77% respectivamente, con un estimado promedio libre de enfermedad del 30% a 15 años.
Es importante tener en cuenta que existen algunos factores pronósticos que afectan la sobrevida de los pacientes y que deben ser tenidos en cuenta.
Dentro de estos factores se encuentran las formas diseminadas y localizadas y por otro lado la edad del paciente. Los niños menores de 2 años con formas localizadas tienen un mejor pronóstico que aquellos de la misma edad con forma diseminada.
Presentación del Caso Clínico
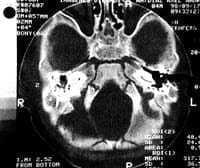
Se trata de un paciente de sexo masculino de 7 meses de edad, producto del primer embarazo de curso normal y parto vaginal normal. Quien presenta sintomatología de 2 meses y medio de evolución consistente en otalgía y otorrea serosanguinolenta derecha por lo cual recibió tratamiento médico, sin obtener resolución de su sintomatología. En vista de que no hay mejoría de su cuadro clínico se decide hospitalización para manejo con antibioticoterapia. Durante su hospitalización presenta parálisis facial derecha por lo cual se realiza Tomografia Axial Computarizada de hueso temporal, en la que se evidencia imagen de tejidos blandos a nivel de mastoides, antro mastoideo y epitímpano sin comprometer la cadena osicular (Fig. 1, 2, 3). Al examen físico inicial se encontró pequeña masa a nivel del piso del conducto auditivo externo.
![]() |
![]() |
![]() |
| FIGURA 1 | FIGURA 2 | FIGURA 3 |


