Reporte de un Caso y Revisión de la Literatura
ROOSEVELT FAJARDO, MD*, LAURA KATTAH, MD**,
IVÁN ROJAS, MD***, OLGA LUCÍA JAIMES, MD****,
CARLOS FELIPE PERDOMO, MD*
Palabras clave: adenoma corticosuprarrenal; mielolipoma; enfermedades de la corteza suprarrenal; neoplasias de la corteza suprarrenal; hipertensión refractaria.
Resumen
El mielolipoma es un tumor poco frecuente, benignoy, generalmente, asintomático, cuyo hallazgo radiológico suele ser incidental. En ocasiones, puede ser sintomático, en especial cuando el tumor alcanza un gran tamaño y se manifiesta con dolor abdominal. Se ha encontrado correlación con causas de hipertensión secundaria por su asociación esporádica con feocromocitoma y aldosteronoma. Reportamos un caso de adenoma asociado a mielolipoma en un paciente con hipertensión de difícil manejo.
Introducción
El mielolipoma es un tumor poco frecuente, benigno y no funcional, compuesto histológicamente de tejido adiposo maduro, elementos hematopoyéticos variados y zonas de hemorragia y necrosis (1-3). Normalmente se encuentra localizado en la glándula suprarrenal, aunque también se puede encontrar en otros sitios diferentes. El tumor es, generalmente, asintomático por lo que se incluye en la categoría de los «incidentalomas» y, aunque suele ser hormonalmente inactivo, se ha descrito su asociación con trastornos endocrinológicos como la hiperplasia suprarrenal congénita, el síndrome de Conny el síndrome de Cushing, y también con el adenoma productor de catecolaminas y de aldosterona. Por esta razón, se deben tener en cuenta estos diagnósticos diferenciales en el estudio de la hipertensión secundaria o resistente al tratamiento.
Reportamos un caso de adenoma asociado a mielolipoma en un paciente con historia de hipertensión de difícil manejo y una masa suprarrenal.
Caso Clínico
Se trata de un hombre de 47 años que consultó por hipertensión arterial de difícil control, resistente al tratamiento a pesar del buen cumplimiento del mismo. Presentó dos episodios de crisis de hipertensión en el último año y, desde dos meses antes, disnea de medianos esfuerzos y dolor precordial opresivo irradiado a la región mandibular y al brazo izquierdo; ocasionalmente, estuvieron acompañados de diaforesis y palpitaciones.
Tenía antecedentes de hipertensión arterial de 10 años de evolución, manejada con diferentes esquemas de medicamentos y, últimamente, con enalapril, metoprolol, clonidina e hidroclorotiacida; además, con antecedentes de seminoma testicular derecho, manejado quirúrgicamente con orquidectomía derecha, vaciamiento ganglionar y 23 sesiones de radioterapia; también, psoriasis en gotas con compromiso articular e hiperuricemia. Fue fumador hasta hace 5 años, 60 paquetes al año por 32 años, y bebedor hasta hace 8 años, una vez a la semana hasta la embriaguez durante 15 años.
En el examen físico se encontró: talla de 1,65 cm y peso de 85 kg para un índice de masa corporal (IMC) de 31,2 kg/m2; presión arterial de 220 por 130 mm Hg sin otras alteraciones cardiopulmonares; fondo de ojo con arterias en hilo de plata y cruces arteriovenosos (++/++++); lesiones eritematosas descamativas y confluentes en la región occipital, y menores de 8 mm en el antebrazo derecho y en el dorso de la pierna izquierda.
En los estudios de laboratorio se encontró: ácido vanilmandélico, 7,3 mg/día (valores normales, 1,90 a 9,80); metanefrinas y normetanefrinas libres en plasma, 0,17 nmol/L (valores normales, 0,00 a 0,46) y 0,22 (valores normales, 0,00 a 1,09), respectivamente; cromogranina A<31 ng/ml (valor normal<160 ng/ml); sodio y potasio en orina de 24 horas, 97 mEq/L (valor normal, 40-220 mEq/día) y 20,1mEq/L (25-125 mEq/día), respectivamente; CK-MB, 18 UI/L (valor normal, 0-25 UI/L); CPK total, 8,7 U/L (valores normales, 24 a 195 U/L); troponina I, 0,014 ng/ml (valores normales, 0,0 a 0,3 ng/ml); electrolitos en sangre y función renal normales. No se hizo medición de la aldosterona por la posible alteración de los resultados, secundaria a los medicamentos que recibía en el momento.
En la tomografía abdominal se observó una lesión focal de 3,3 por 2,1 cm de diámetro en la glándula suprarrenal izquierda, con contenido graso y con componente excéntrico de tejidos blandos, lo que sugería un adenoma suprarrenal. Por último, se practicó un ecocardiograma en donde se encontró una fracción de eyección del 58%, dilatación ventricular moderada e hipertrofia concéntrica moderada, insuficiencia aórtica y mitral leve, e hipertensión pulmonar moderada.
Bajo la impresión diagnóstica de “adenoma suprarrenal en estudio” se presentó el caso clínico en la junta de decisiones quirúrgicas, en la que se decidió practicar suprarrenalectomía izquierda por laparoscopia. El paciente fue llevado a cirugía en la que se practicó suprarrenalectomía por laparoscopia con abordaje transperitoneal; el tiempo quirúrgico fue de 3 horas, no se presentaron complicaciones intraoperatorias ni posoperatorias.
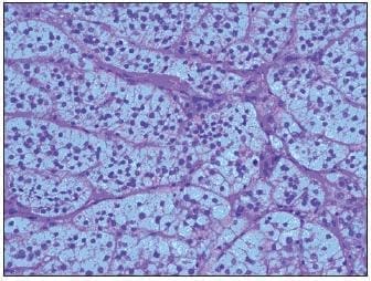
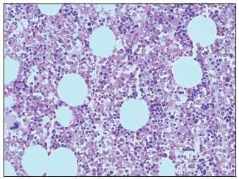
En el examen macroscópico (figura 1) se observó una glándula suprarrenal aumentada de tamaño, de 4 x 3 x 3 cm, con un peso de 9 g. Al corte se encontró una masa bien delimitada, de color pardo, de 2,6 x 2 x 2 cm, con áreas hemorrágicas. En el estudio histológico se observó un tumor constituido por dos componentes, el primero de ellos adenomatoso, formado por células epiteliales propias de la glándula que proliferaban formando estructuras acinares separadas por tabiques fibrosos delgados (figura 2), y un segundo componente de tipo mielolipomatoso, compuesto por elementos hematopoyéticos y tejido adiposo maduro que recuerdan la médula ósea normal (figura 3). No se observaron hallazgos sugestivos de neoplasia maligna, como necrosis, proliferación mitótica, pleomorfismo, invasión vascular o capsular. Estos hallazgos patológicos corresponden a un adenoma cortical asociado a mielolipoma.

FIGURA 1. Aspecto macroscópico de la masa suprarrenal.

FIGURA 2. Componente adenomatoso del tumor.

FIGURA 3. Interfase entre el componente adenomatoso y el mielolipomatoso.
El paciente evolucionó satisfactoriamente con cifras de presión arterial de 120 por 80 mm Hg, sin ninguna alteración cardiopulmonar. Se indicó su egreso con clonidina, nifedipino y metoprolol.
* Sección de Cirugía General, Departamento de Cirugía, Hospital Universitario, Fundación Santa Fe de Bogotá, Bogotá, D.C., Colombia.
** Estudiante, Facultad de Medicina, Universidad de los Andes, Bogotá, D.C., Colombia.
*** Interno, Universidad El Bosque, Hospital Universitario, Fundación Santa Fe de Bogotá, Bogotá, D.C., Colombia.
**** Médica patóloga, Departamento de Patología y Laboratorios, Fundación Santa Fe de Bogotá, Bogotá, D.C., Colombia.