CAMILO DÍAZ RINCÓN, MD* , CRISTIAN GÓMEZ PAREJA, MD**
Palabras clave: vólvulo gástrico, hernia diafragmática, cirugía.
Resumen
Objetivo. Reportar un caso de estrangulación gástrica por vólvulo secundaria a hernia diafragmática de Bochdalek en un adulto.
Introducción. La hernia diafragmática congénita se presenta, aproximadamente, en 1 de 3.000 nacidos vivos y la hernia de Bochdalek (la más frecuente) se presenta en 1 de cada 5.000 nacimientos. En adultos, la hernia de Bochdalek es excepcionalmente rara, no sobrepasa el 10% del total de hernias diafragmáticas congénitas existentes. Por otra parte, el vólvulo gástrico es una patología infrecuente que, en la mayoría de los casos, se asocia a hernia diafragmática. Se han reportado, aproximadamente, 100 casos en la literatura de estrangulación gástrica por vólvulo secundaria a hernia de Bochdalek.
Caso clínico. Se trata de un paciente masculino de 41 años con cuadro clínico de dolor abdominal intenso, asociado a emesis y ausencia de deposiciones. Acudió al hospital con distensión abdominal, ruidos intestinales disminuidos y dolor a la palpación en epigastrio e hipogastrio. La radiografía de tórax y la tomografía abdominal evidenciaron una hernia diafragmática; no había antecedentes de trauma. Por presentar signos de irritación peritoneal, se decidió llevarlo a laparotomía exploratoria, en la que se encontró necrosis gástrica por la hernia. Se realizó gastrectomía subtotal con reconstrucción en Y de Roux y herniorrafia diafragmática con colocación de tubo de tórax, sin utilizar sutura mecánica. La evolución postquirúrgica fue satisfactoria.
Introducción
En 1848, Bochdalek describió por primera vez la hernia diafragmática, que ocurre a través de un defecto postero-lateral en el diafragma (1). Se trata de una alteración congénita que se origina entre la octava y la décima semana de vida fetal y se produce por falta del cierre o de la fusión de los elementos lumbares del espacio pleuroparietal durante el desarrollo del diafragma (2). En 1901, Aue realizó el primer tratamiento quirúrgico exitoso en un niño de 9 años (1) y Gross, en 1946, realizó el primer reparo en un recién nacido (3).
Este tipo de hernia es más frecuente en niños (90% en periodo perinatal) (4) y es la causa más importante (corregible quirúrgicamente) de dificultad respiratoria en el niño (5). La hernia diafragmática congénita se presenta en 1 de cada 2.500 a 4.000 nacidos vivos (6,7) y la hernia de Bochdalek (la más frecuente) se presenta en 1 de cada 5.000 nacimientos. Se asocia a un desarrollo pulmonar anormal, con hipoplasia bilateral, pero con mayor compromiso ipsilateral (8). En adultos, la hernia de Bochdalek es excepcionalmente rara (se cree que no sobrepasa el 10% del total de hernias diafragmáticas congénitas existentes). Es más frecuente en el lado izquierdo (70 a 90%) que en el derecho y sólo en 3% se presenta de forma bilateral.
Por otro lado, el vólvulo gástrico es otra forma rara de presentación clínica, hasta 1988 se habían reportado 350 casos. Puede presentarse como una urgencia quirúrgica, aunque los cuadros crónicos se manifiestan por síntomas inespecíficos (los más frecuentes son la disnea y el vómito) (9) que pueden ser tratados de forma electiva (10).
En el examen físico se observa asimetría abdominal con distensión del abdomen superior y el choque es una complicación tardía, por compromiso vascular. Se presenta en ambos sexos y a cualquier edad. El contenido de la hernia está ocupado en 80 a 81% por el estómago (11) pero no hay series de casos que reporten la estrangulación de esta víscera.
Los estudios radiológicos (como la radiografía de tórax y la tomografía computadorizada) constituyen buenos métodos de ayuda diagnóstica (12,13).
En el tratamiento de un paciente con un cuadro crónico, la vía de abordaje preferida es la torácica por las adherencias pulmonares existentes; en la mayoría de los casos, la hernia carece de saco herniario. Por el contrario, en el caso agudo, el abordaje debe ser abdominal para tratar posibles lesiones de los órganos intraabdominales (10).
Se presenta el caso de un paciente con necrosis gástrica por vólvulo, secundario a hernia diafragmática de Bochdalek, y se discute su diagnóstico y tratamiento.
Presentación del Caso Clínico
Se trata de un paciente masculino de 41 años de edad, con cuadro clínico de un día de evolución consistente en dolor abdominal generalizado e intenso, asociado a emesis postprandial y ausencia de deposiciones.
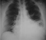
Acudió al Servicio de Urgencias del Hospital Universitario de La Samaritana en Bogotá (Colombia), a donde ingresó con distensión abdominal y disminución de los ruidos intestinales; no tenía antecedentes médicos, quirúrgicos ni de trauma. Se inició el manejo con líquidos endovenosos. El cuadro hemático fue normal y la ecografía abdominal demostró líquido libre en la cavidad peritoneal. Se tomó una radiografía de tórax (figura 1) que sugirió una hernia diafragmática.

FIGURA 1. Radiografía de tórax. Ángulo costofrénico izquierdo obliterado por la presencia de líquido pleural; no se descarta hernia diafragmática.
Por lo anterior, se decidió solicitar una tomografía computadorizada de tórax (figura 2) que evidenció la distensión de la cámara gástrica con nivel hidroaéreo, sin paso del medio de contraste al intestino delgado o grueso, por lo que el Servicio de Radiología realizó inmediatamente un estudio de vías digestivas altas (figura 3) que concluyó la existencia de desviación de antro gástrico hacia la izquierda y sin paso del medio de contraste al resto de las asas intestinales.

FIGURA 2. Tomografía computadorizada de tórax y abdomen
A. Ascenso de asas intestinales delgadas junto con grasa del mesenterio, que ocupan la región basal del hemitórax izquierdo en localización paracardiaca.
B. Estómago de localización central, distendido, con sonda nasogástrica en el interior y nivel hidroaéreo; no se obtuvo opacidad de las asas intestinales delgadas ni del intestino grueso.

FIGURA 3. Vías digestivas altas. Adecuado paso del medio de contraste a través del esófago, sin presencia de hernia hiatal, cámara gástrica distendida y retraso en el vaciamiento gástrico, con desviación hacia la izquierda del antro pilórico; éste se controla, aproximadamente, una hora después, sin que se observe paso del medio de contraste hacia el duodeno. Se consideró como diagnóstico un síndrome pilórico.
Dos horas más tarde, se examinó nuevamente al paciente y se evidenciaron hallazgos compatibles con abdomen agudo, sin episodios de emesis y con imposibilidad para pasar la sonda nasogástrica. Se con- sideró un vólvulo gástrico secundario a la hernia y se decidió llevar de urgencia a las salas de cirugía, donde se encontró estrangulación gástrica, con necrosis del cuerpo y el antro del estómago por vólvulo (mesentérico) secundario a una hernia diafragmática de Bochdalek.
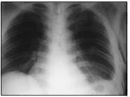
Se procedió a practicar gastrectomía subtotal con reconstrucción en Y de Roux y herniorrafia diafragmática con sutura de material no absorbible, paso de sonda con punta de tungsteno y colocación de tubo en el tórax izquierdo. Se obtuvo radiografía de tórax de control postquirúrgico (figura 4) con adecuada reexpansión pulmonar.

FIGURA 4. Radiografía de tórax (control postquirúrgico). Derrame pleural izquierdo escaso, con tubo de toracostomía cerrada en el hemitórax izquierdo, y enfisema subcutáneo; el aspecto anatómico de las estructuras está dentro de los límites normales.
Se inició por alimentación por sonda nasogástrica, por gastrostomía o por yeyunostomía al tercer día postoperatorio, con fórmula polimérica de alto contenido en nitrógeno, con adecuada tolerancia. Se inició la vía oral al séptimo día postquirúrgico y se dio salida al décimo día. La evolución fue adecuada en los controles posteriores.
* Cirujano general, Servicio de Cirugía General, Hospital Universitario de La Samaritana, Bogotá, D.C.
** Residente de cuarto año, Servicio de Cirugía General, Hospital Universitario de La Samaritana, Pontificia Universidad Javeriana, Bogotá, D. C.