Reporte de un Caso y Revisión de la Literatura
Reporte de Caso
Jairo De La Peña Vargas, MD*. Hernando Miranda H. MD**. Angel G. Heredia C. MD**.
Ernesto Sánchez F. MD**. Ma. Virgilia Soto A. MD***. Luis Díaz R. MD****.
Pomponio Luján C. MD*****. Lesbia Rivera H. MD*****
Palabras clave: metástasis, carcinoma epidermoide, glándulas mamarias.
Resumen
Se presenta el caso de una paciente de 63 años de edad con antecedente de quemadura en miembro superior derecho durante la primera infancia, sin otros datos de importancia.
Presenta un tumor ulcero vegetante localizado en la cicatriz de la quemadura de un año de evolución, de 22 x 15 cm, fijo a planos profundos, acompañado de sangrado y adenomegalias axilares, histocitopatología demostró un carcinoma epidermoide moderadamente diferenciado.
En una revisión de rutina, seis meses subsiguientes a su tratamiento, se descubre un nódulo en el cuadrante superior externo de la glándula mamaria derecha, de 2 cm de diámetro, duro, móvil, irregular y no doloroso. La mastografía demostró una lesión nodular, de alta densidad, de contorno irregular, sin microcalcificaciones; el ultrasonido mamario confirmó una lesión sólida. Se estableció el diagnóstico de carcinoma epidermoide mamario Etapa clínica I por T1 No Mo.
Introducción
La glándula mamaria es un sitio poco frecuente de metástasis (1); así, en 1903, se reportó el primer caso de metástasis y hasta 1991 se habían publicado aproximadamente 300 casos de diferentes tumores metastásicos de la glándula mamaria (4-7,11), siendo los primarios más frecuentes leucemias, linfomas, neoplasias de ovario y sarcomas de partes blandas (2).
Las metástasis deben ser distinguidas clínica e histopatológicamente de las neoplasias primarias de la glándula mamaria, debido a las implicaciones en cuanto al tratamiento y pronóstico (4).
No se conocen factores predisponentes, y por supuesto, predomina en el sexo femenino; más común después de los 40 años; no existe predilección por uno u otro seno en específico. El signo más frecuente es la presencia de un tumor solitario, el cual por lo general tiende a ser superficial y la evolución puede variar en meses; los signos y síntomas son similares a los del carcinoma primario del seno. La mastografía puede mostrar una masa de densidad variable, con bordes regulares o irregulares, casi siempre con ausencia de microcalcificaciones, las cuales pueden presentarse ocasionalmente en el carcinoma de ovario metastásico del seno(9). Por lo general el ultrasonido demuestra una lesión hipoecoica poco o bien definida y mínimo reforzamiento posterior.
La importancia de este caso radica en su poca frecuencia, siendo este el primero que se diagnostica en la Unidad de Tumores Mamarios del Servicio de Oncología del Hospital General de México, donde cada año se tratan aproximadamente 500 nuevas neoplasias mamarias.
Caso Clínico
Paciente de 63 años de edad, de sexo femenino, con antecedentes de cicatriz por quemadura en miembro superior derecho durante la primera infancia; otros datos sin importancia.
Padecimiento actual: Tumor de un año de evolución insertado en la cicatriz antigua del miembro torácico derecho. Presenta una lesión ulcerovegetante que se extiende desde la mano hacia todo el antebrazo derecho, de aproximadamente 22 x 15 cm. Además, existe otra lesión subcutánea de aproximadamente 4 x 4 cm en el antebrazo, de consistencia dura y fija a las estructuras profundas; en la axila ipsilateral se palpa un conglomerado ganglionar de aproximadamente 6 cm de diámetro mayor, fijo a las estructuras profundas. La motilidad del miembro superior se encuentra disminuida y el resto de la exploración del cuello y las glándulas mamarias no mostró patología (figura 1).

Por la gran extensión de la lesión se decidió que la paciente era candidata a cirugía (desarticulación escápulo-humeral derecha), procedimiento que se realizó el 14 de febrero de 2000, su evolución postoperatoria fue satisfactoria y continuó su tratamiento con quimioterapia (5- fluoracilo) y radioterapia sobre la región axilar.
En una revisión de rutina se descubrió un nódulo en el cuadrante superior externo del seno derecho, que midió 2 cm de diámetro, de consistencia dura, móvil, irregular y no doloroso; el resto de la exploración mamaria y general no reportó ninguna patología. Se estableció el diagnóstico de Probable Carcinoma Mamario clasificado como etapa clínica I por T1 N0 M0. Se realizó mastografía, la cual demostró una lesión nodular de alta densidad, de contornos irregulares sin microcalcificaciones (figura 2).

El ultrasonido mamario demostró una imagen hipoecoica de 1,6 cm de diámetro, de bordes regulares y con poco reforzamiento posterior.
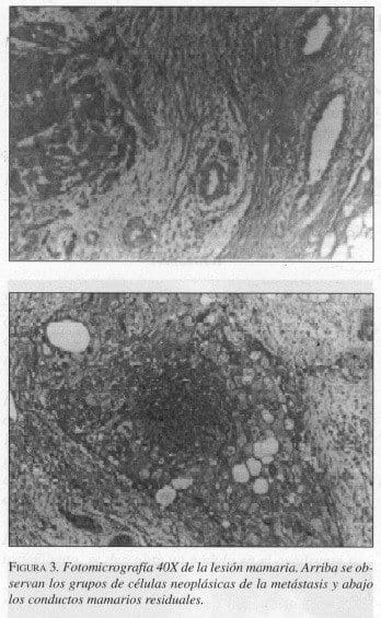
Se realizaron dos biopsias por aspiración con aguja fina, las cuales no fueron concluyentes para el diagnóstico histopatológico, por lo cual se practicó una resección local con márgenes amplios del nódulo mamario, el cual inicialmente fue reportado por histopatología como un carcinoma canalicular infiltrante con suma de Scarf Bloom Richardson de 7, grado histológico 3, grado nuclear 2 y mitosis 2. Se solicitó una segunda revisión debido a que el patólogo no estaba informado de la lesión primaria, y el diagnóstico definitivo fue de carcinoma epidermoide moderadamente diferenciado en la glándula mamaria. Macroscópicamente el tumor mamario midió 6 cm de diámetro y en su centro un nódulo de aproximadamente 1.5 cm, de bordes sobresalientes, rodeado por tejido mamario, de características normales y con márgenes de 2 cm; microscópicamente se observaron grupos de células neoplásicas con abundante queratina, características semejantes a la lesión primaria del miembro superior derecho (figura 3).

Para la lesión del brazo los estudios inmuno-histoquímicos reportaron reacción de inmunoperoxidasa indirecta positiva para CKHG, AEI-AE3, en un carcinoma epidermoide moderadamente diferenciado invasor de la piel del brazo derecho; para el tumor mamario estos mismos estudios reportaron reacción de inmunoperoxidasa indirecta positiva para CKHG, AEI-AE3 en las células neoplásicas y negativos para catepsina D, receptores hormonales RE y RPr y Cerb-2 neu en un carcinoma epidermoide querati-nizante moderadamente diferenciado metastásico del seno.
Discusión
La metástasis del carcinoma epidermoide de la piel de las glándulas mamarias son extremadamente raras, en especial debido a que estos tumores primarios de la piel son diagnosticados y tratados antes de su diseminación sistémica. Al revisar la literatura se encontraron solo dos casos de carcinoma metastásico epidermoide de la piel de la glándula mamaria reportados y publicados. El primero por Barry Tooms, del Hospital General de Massachusetts, en 1977 (11), sin aportar en su publicación más información sobre las características del tumor primario y solo mencionando que este tumor produjo una metástasis de la glándula mamaria. El segundo fue publicado por F. Basaran D. y cols, del Departamento de Radiología y Patología del Centro Médico Universitario en Ankara, Turquía, en 1996 (10); este caso tuvo como primario un carcinoma epidermoide bien diferenciado en la pared abdominal, resecado previamente a su presentación en la mama izquierda, con invasión a la piel, el cual fue estudiado con ultrasonido, mastografía y resonancia magnética.
El diagnóstico siempre debe ser histopatológico; por lo general es más difícil que el de un carcinoma primario, y debe obtenerse mediante una biopsia escisional o incisional representativa para un estudio definitivo. Además, siempre que se conozca una neoplasia extramamaria debe informársele al patólogo. Puede ser necesario realizar estudios inmunohistoquímicos y/o microscopía electrónica, para la confirmación diagnóstica.
El tratamiento del tumor metastásico de la glándula mamaria dependerá imperativamente del diagnóstico del tumor primario, ya que su manejo difiere en forma importante del carcinoma primario de la glándula mamaria; en el primer caso siempre es paliativo y sistémico (8). Algunos autores recomiendan solo la escisión local de la metástasis y solo excepcionalmente una mastectomía simple seguida de radioterapia.
En los aproximadamente 300 casos reportados de metástasis a la glándula mamaria, en su mayoría corresponden a linfoma, leucemias, neoplasia de ovario y sarcomas de partes blandas; todos ellos documentados, pero creemos que cuando se sospecha la posibilidad de una metástasis la glándula mamaria deben realizarse todos los estudios necesarios incluyendo los inmunohistoquímicos, para llegar a establecer correctamente el diagnóstico, y por la importancia de informar a los médicos patólogos la existencia de una lesión previa para que sean estudiados los especímenes por separado. Por lo general el tratamiento es paliativo y prioritariamente debe estar enfocado al tumor primario; el pronóstico dependerá de la naturaleza histológica del mismo y su respuesta a los diferentes tratamientos adyuvantes: quimioterapia y/o radio terapia.
Abstract
This is the case report of a 63 year old woman with history of a severe upper extremity burn sustained in infancy, without other pertinent antecedents.
The patient presented an ulcerated and fungating tumor over the burn scar, of one year of evolution, 22 x 15 cm in size, fixed to the deep muscular structures, with bleeding and axillary node enlargement. Histocytopathology revealed a moderately differentiated epidermoid carcinoma.
Six months after surgical treatment, the patient presented a mass over the external upper quadrant of the left breast, 2 cm in diameter, hard, mobile, irregular and not tender. Mastography revealed a nodular lesion of high density, of irregular borders, without microcalcifications. Histopathology revealed an epidermoid carcinoma stage I, T1, No, Mo.
Referencias
1. Charache H. Metastatic tumor in the breast. With a report of ten cases. Surgery 1953; 33: 385-90.
2. Sandison A.T. Metastatic tumours in the breast. Br J Surg 1959; 47: 54-58.
3. Harwood T.R. Metastatic carcinoma to the breast. JAMA 1971; 218: 97.
4. Hadju S.I. Cancers metastatic to the breast. Cancer. 1972; 29: 1691-95.
5. Van Ooijen B., Slot A., Henze-Logmans S.C., Wiggers T. Cervical cancer metastasising to the breast: report of two cases. Eur J Surg 1993; 159: 125-26.
6. Wets K.W., Rescorla F.J., Scherer L.R., Grosfeld J.L. Diagnosis and treatment of symptomatic breast masses in the pediatric population. J Ped Surg 1995; 30: 182-187.
7. Hanna N. N., O’Donnell K., Wolfe G.R.Z. Alveolar soft part sarcoma metastatic to the breast. J Surg Onc 1996; 61: 159-162.
8. Heningan C.A., Bur M., Donovan J.T. Fine-needle aspiration in the diagnosis of metastatic ovarian cancer to the breast. Case Report Gyn Onc 1997; 64: 533-540.
9. Feder J.M., Shaw E., Hogge J.P., Wilken J.J. Unusual breast lesions: Radiologic-patothologic correlation. RSNA 1999; 129: 673-76.
10. F. Basaran D., Baskan Ö., Aydingöz Ü., Tacal T., Firat P. Case report: squamous cell carcinoma of the skin metastasising to the breast-imaging findings. Br J Rad 1996; 69: 678-680.
11. Toombs B. D., Kalisher L. Metastatic disease to the breast: clinical, pathologic and radiographic features.Am J Roentgenol 1977; 129: 673-676.
Correspondencia:
Jairo de la Peña Vargas
Carrera 23 No 47-51 Consultorio 308
Correo electrónico: jairodelape@hotmail.com
Bogotá, Colombia.
* Unidad de Tumores Mamarios. Clínica San Pedro Claver y Clínica de la Policía.
** Unidad de Tumores Mamarios. Servicio de Oncología, Hospital General de México.
*** Servicio de Patología, U.N.A.M. Servicio de Oncología, Hospital General de México.
**** Unidad de Tumores Mixtos. Servicio de Oncología, Hospital General de México.
***** Unidad de Radioterapia. Servicio de Oncología, Hospital General de México.
Fecha de recibo: Noviembre 15 de 2002
Fecha de aprobación: Febrero 16 de 2003