Hospital Infantil Universitario de la Cruz Roja “Rafael Henao Toro”. Manizales, Colombia.
Fernando Valencia López*, Oscar Salazar Gómez, MD**,
Consuelo Cárdenas Zuluaga, MD**, Beatriz Arango de Samper, MD***
Resumen
Se estudia el caso de una niña de 6 años de edad, procedente del área rural del municipio de Chinchiná (Caldas), quien consultó por cuadro clínico consistente en ictericia de un mes de evolución, sin otros síntomas asociados.
Las pruebas de funcionamiento hepático mostraron un patrón obstructivo de la vía biliar y la ultrasonografía y tomografía axial computarizada abdominal, evidenciaron la presencia de masa en el hilio hepático, con dilatación de las vías biliares. Se tomaron muestras de la lesión tumoral por laparotomía, las cuales fueron reportadas como proceso inflamatorio, hamartoma mesenquimal y seudotumor inflamatorio. La paciente se manejó con un tubo sinfín para drenaje de las vías biliares, que fue factor determinante en la recuperación. Después de revisar las características clínicas, radiológicas y anatomopatológicas, se llegó a la conclusión que se trataba de un seudotumor inflamatorio.
Introducción
Los seudotumores inflamatorios que comprometen el hilio hepático son lesiones benignas, de etiología y desarrollo no muy claros, de difícil diagnóstico y extremadamente raros dentro de los reportes de la literatura mundial (14 casos); en la literatura colombiana no se encontraron descripciones sobre el tema. El caso que se presenta fue una lesión que por su ubicación y gran tamaño se tornó sintomática. El diagnóstico histológico fue difícil, por lo cual se correlacionó con los métodos imagenológicos y clínicos, para definir el diagnóstico más probable y pronosticar su comportamiento. Su localización lo hizo irresecable, por lo cual se inició manejo con tubo sinfín, antibióticos y esteroides, obteniéndose la regresión de la lesión tumoral.
Reporte del caso
Niña de 6 años de edad, procedente de la zona rural de Chinchiná (Caldas). Consultó por cuadro clínico de ictericia progresiva de un mes de evolución, sin otros síntomas asociados. Al examen físico se encontraba en regulares condiciones generales, ictérica y con hepatomegalia a 5 cm del reborde costal derecho, dolorosa a la palpación.
Los exámenes de laboratorio reportaron: bilirrubina total 16.4 mg/dl, bilirrubina directa 11 mg/dl, TGO 307, TGP 204, fosfatasa alcalina 2630, hemoglobina 12.6, VSG 90, amilasa sérica 129, proteína total 8.0, albúmina 4.6, TP 50/38, TPT 16/12 plaquetas 461.000, alfa feto proteína 5.5.
La ultrasonografía (figura 1) mostró una lesión de baja ecogenicidad de 2,8 x 2,6 cm, ubicada hacia la cabeza del páncreas, con dilatación de la vía biliar intra y extrahepática.

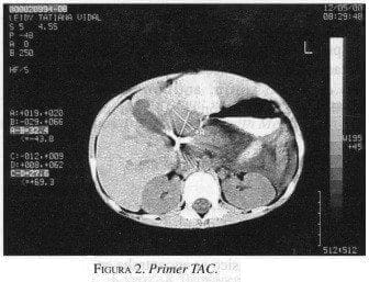
La tomografía axial computarizada (TAC) abdominal (figura 2) reveló una lesión intrahepática de baja atenuación, sólida, hacia el hilio hepático, mal definida y de 3,2 x 2,7 cm, con gran dilatación de las vías biliares intra y extrahepáticas.

Se decidió someter a la paciente a cirugía. Durante la laparoscopia se observó una masa subhepática de apariencia quística y la vesícula biliar con cambios de colecistitis crónica. Se tomaron biopsias de la lesión que reportaron proceso reparativo.
Se realizó colangiopancreatografia retrógrada endoscópica (CPRE), la cual mostró obstrucción del conducto hepático común hasta el hilio y su bifurcación por parte de la masa, dilatación de la vía intrahepática y conducto de Wirsung normal; y vesícula biliar excluida. Se efectuó papilotomía y se dejó un “stent” en el conducto hepático izquierdo por seis meses, mejorando el cuadro ictérico, pero persistiendo la masa en las vías biliares al ser evaluada por ecografía.
Se decidió realizar laparotomía exploradora y se encontró una masa en el hilio hepático, dura, blanca, firme, de aspecto sarcomatoso, que involucraba la vesícula biliar, el segmento hepático cuatro y con adherencias al ángulo hepático del colon (figura 3). Las biopsias revelaron: “Tejido hepático que muestra un patrón nodular separado por bandas de tejido fibroso con algunos vasos sanguíneos y conductos biliares; en la periferia del mismo hay infiltrado inflamatorio y hepatocitos con cambios degenerativos y citoplasma con pigmento biliar, no se ve proceso neoplásico, la lesión puede corresponder a proceso reactivo o reparativo”.

Ante la evidencia clínica de una lesión tumoral que apareció histológicamente benigna, se ordena una segunda laparotomía; se tomaron otras biopsias de la lesión, cuyo reporte histológico describe nuevamente proliferación fibroblástica con presencia de células inflamatorias de tipo mononuclear, histiocitos, linfocitos y plasmocitos, tejido de granulación con granulomas de tipo cuerpo extraño, sin presencia de proceso neoplásico. La biopsia es enviada para consulta a otra institución, y es reportada como hamartoma mesenquimal.
Se realizó una tercera laparotomía, en la cual se retiró el “stent” y se colocó un tubo sinfín (figura 4), para realizar lavados y drenaje biliar en forma periódica y descomprimir la vía biliar. Se tomaron biopsias de la lesión que mostró “cápsula engrosada con proliferación fibroblástica y depósitos de fibrina en su superficie. Hay abscesos intraparenquimatosos que borran la histología en algunas áreas y en otras se ven nódulos de tejido hepático reactivo con gránulos de pigmento biliar en su citoplasma, rodeado por bandas de tejido fibroconectivo laxo con abundantes fibroblastos activos e hiperplásicos, existe infiltrado inflamatorio conformado por PMN eosinófilos, linfocitos y plasmocitos, no hay cambios sugestivos de malignidad. Fue reportada como seudotumor inflamatorio” (figura 5).
![]() |
![]() |
Durante el seguimiento la paciente presentó tres episodios de colangitis aguda, los cuales se manejaron con cefalosporinas de tercera generación. Asociado con el primer episodio, se utilizaron esteroides en forma parenteral.
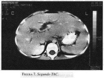
Dos años después la US (figura 6) y TAC (figura 7) de control demostraron regresión completa del tumor, persistiendo la dilatación moderada de la vía biliar; además se presentó salida accidental del tubo sinfín. A la fecha la paciente se encuentra asintomática.
![]() |
![]() |
Discusión
Los seudotumores inflamatorios o tumores miofibroblásticos inflamatorios del hígado fueron descritos por Pack y Baker, en 1953. La mayoría ocurre en escolares y adultos jóvenes y son más frecuentes en el sexo masculino, en una proporción de 3,5:1 (1). Se describe como una masa discreta localizada, de proliferación benigna de células inflamatorias con zonas de fibrosis, las cuales semejan clínicamente una neoplasia maligna; por lo regular pueden aparecer en el sistema broncopulmonar, pero también en cualquier órgano del sistema (2). Los pseudotumores inflamatorios del hígado son extremadamente raros, pocas veces comprometen el hilio hepático o el sistema biliar extrahepático, resultando en obstrucción de la vía biliar (3-5).
Los síntomas más frecuente incluyen fiebre, ictericia, dolor abdominal, vómito y pérdida de peso (6-9), o puede ser encontrado durante un examen de rutina. Es frecuente la anemia hipocrómica y los niveles elevados de inmunoglobulinas (8). Los niveles de alfa feto proteína son normales (6) y puede haber elevación de la PCR y alteración de las pruebas de función hepática (8). Se han reportado niveles de CA 19-9 elevados que podrían estar relacionados con colestasis (10).
Los medios diagnósticos más utilizados son la US, TAC, laparoscopia, CPRE, laparotomía y biopsia (11). La US puede demostrar una vía biliar intrahepática dilatada, una masa en el hilio hepático o un patrón de mosaico (8). La TAC de hígado puede evidenciar una lesión circunscrita o marginada, heterogénea, de baja densidad con dilatación de la vía biliar extra e intrahepática (10). Los angiogramas hepáticos pueden mostrar una lesión hipervascular, hipovascular o avascular (8). La CPRE no es siempre específica y puede sugerir un colangiocarcinoma (10).
Los seudotumores inflamatorios pueden ser de tamaño variable de 35 cm con bordes bien delimitados, de apariencia sólida, encapsulada (12), subcapsulares o intraparenquimatosos (13). Por su apariencia se requiere diagnóstico diferencial con colangiocarcinoma. Pueden aparecer como lesiones solitarias en el 60% de los casos y en el 30% como lesiones múltiples (8).
La apariencia histológica es variable; está compuesto de miofibroblastos con diversa cantidad de estroma colágeno, células inflamatorias de tipo linfocitos, plasmocitos e histiocitos y ocasionalmente formando granulomas. En algunos casos el diagnóstico histopatológico tiene dificultad (3, 6, 8, 11). La inmunohistoquímica puede confirmar el fenotipo miofibroblástico, ayudando a excluir otras lesiones especialmente malignas, que son vimentina positivos, desmina positivos e inmunonegativos para proteína P53 (5).
Es frecuente la confusión con un tumor maligno primario, colangiocarcinoma o carcinoma hepatocelular, sarcoma, enfermedad de Hodgkin y abscesos crónicos (3,6,8). Un importante componente inflamatorio y una adecuada interpretación histológica puede llevar a la sospecha del seudotumor (3, 14). Es muy importante excluir la presencia de malignidad.
La fisiopatología del seudotumor no es clara. Hay argumentos clínicos y biológicos que sugieren una reacción inespecífica inflamatoria con un microorganismo. Se han reportado casos de infección gastrointestinal (9), como también con presencia de Klebsiella pneumoniae y E. coli en el cultivo de estas lesiones, al igual que cocos Gram positivos o parásitos, virus de Epstein-Barr (15), hepatitis crónica C, VIH, tuberculosis, infecciones intraabdominales e infecciones micóticas sistémicas (3,8,13).
La presencia de flebitis obliterante portal sugiere la evidencia de microorganismos intestinales que viajan al parénquima hepático por la circulación portal (9). Las células plasmáticas policlonales que se encuentran en la lesión soportan la hipótesis de un proceso reactivo. Sin embargo, se han reportado casos de degeneración maligna en adultos (1, 16).
El manejo del seudotumor inflamatorio del hígado tiene rangos como el manejo conservador (7,8), basado en los muchos reportes de regresión espontánea en lesiones periféricas o asintomáticas (6), hepatectomía parcial por laparoscopia (17), resección hepática o trasplante hepático en tumores que comprometen el hilio o ambos lóbulos hepáticos (2, 3). Dentro del manejo conservador se ha incluido la administración de antibióticos, especialmente cefalosporinas de tercera generación y fluoroquinolonas (8), antiinflamatorios no esteroides, esteroides y el drenaje descompresivo de la vía biliar, si hay obstrucción en la misma (2).
Se han reportado nuevas técnicas quirúrgicas para el manejo de los seudotumores que comprometen el hilio hepático. Kaneko y col. (2) emplean actualmente la resección quirúrgica que se utiliza para el colangiocarcinoma hiliar, que incluye además embolización previa de la vena porta y resección hepática con lobectomía del caudado con buena respuesta (2).
Rara vez se menciona la historia natural del seudotumor; es excepcional su regresión espontánea para lesiones que comprometen el lóbulo hepático derecho, con un tiempo entre el diagnóstico y la regresión cercana a los cuatro meses (8). Se ha reportado la regresión espontánea de un seudotumor inflamatorio que se comportaba como un tumor maligno de la vía biliar (3), regresión completa en adultos con seudotumor inflamatorio después de la administración de AINES y tratamiento antibiótico respectivamente, recurrencias de seudotumores del sistema pancreatobiliar (5) o inclusive metástasis (18) y un caso de regresión de un seudotumor inflamatorio después de trasplante hepático por cirugía previa de atresia biliar (8).
Abstract
We report the case of a six year old girl referred from the rural area of Chinchina, Colombia, who presented with jaundice of one month duration, and no other symptomatology.
Liver function tests showed an obstructive biliary pattern and abdominal ultrasonography and CT scans showed a mass over the area of the hepatic hylum and dilatation of the biliary tree. Laparotomy was performed, and the histology was reported as inflammatory process, mesenchymal hamartoma, and inflammatory pseudotumor. Biliary drainage was mantained by an internal-external tube, which proved to be a determinant factor in the patient’s recovery. After reviewing all clinical characteristics, as well as the images and pathology studies, we concluded that the patient had a pseudoinflammatory tumor.
Referencias
1. Shek TWH, Ng IOL, Chan KW: Inflammatory Pseudotumor of the liver. Report of four cases and review of the literature. Am J Surg Pathol 1993; 17: 231-8.
2. Kaneko K, Hisami A, Watanabe T, et al: Aggressive preoperative management and extended surgery for inflammatory Pseudotumor involving the hepatic hilum in a child. Surgery 2001; 129: 757-60.
3. Levy S, Sauvanet A, Diebold D, et al: Spontaneous regression of an inflammatory pseudotumor of the liver presenting as an obstructing malignant biliary tumor. Gastrointestinal Surgery 2001, 53: 1549-52.
4. Henegan Mc: Inflammatory Pseudotumor of the liver.: a rare cause of obstructive jaundice and portal hypertension in a child. Pediatric Radiol 1984, 14: 433-5.
5. Coffin CM, Watterson J, Priest JR, et al: Extrapulmonary inflammatory myofibrolastic tumor (inflammatory pseudotumor): a clinicopathologic and inmunohistochemical study of 84 cases. Am J Surg Pathol 1995,19: 859-72.
6. Stringer Mark: Liver tumors. Seminars in Pediatrics Surgery 2000, 9: 196-208.
7. Hata: Inflammatory pseudotumor of the liver in children. J Pediatric Surg 1992, 27:1549-52.
8. Lykavieris, et al: Inflammatory pseudotumor after liver transplantation: case report. J Pediatric Gastro and Nutrition 2000, 31: 309-12.
9. Horiuchi R, Uchida T, Kojima T, et al: Inflammatory pseudotumor of the liver. Clinicopathologic study and review of the literature. Cancer 1990, 65: 1583-90.
10. Ogawa T, Yokoi H, Kawarada Y: A case of inflammatory pseudotumor of the liver causing elevated serum CA 19-9 levels. Am J Gastroenterol 1998; 93: 2551-5.
11. Bankole S, et al: Inflammatory pseudotumor of the liver in a child. Med. Trop. 1997,57: 269-72.
12. Heneghan MA, Kaplan CG, Priebe CJ, et al: Inflammatory pseudomotor of the liver: a rare cause of obstructive jaundice and portal hypertension in a child. Pediatr Radiol 1894; 14: 433-5.
13. Lykavieris P, Monique F, Jérome W, et al: Inflammatory pseudomotor after liver transplantation. J Pediatric Gastro and Nutrition 2000; 31: 309-12.
14. Grisen: Inflammatory pseudotumor of the liver: a case report. East Med J 1992, 69: 531-2.
15. Arber DA, Kamel OW, Van de Rijn, et al: Frequent presence of Epstein-Barr virus in inflammatory pseudotumor. Hum Pathol 1995; 26: 1093-8.
16. Pecorella I: Inflammatory Pseudotumor of the liver – evidence for malignidad transformation. Pathol Rest Pract 1999; 195: 115-20.
17. Seki S: Laparoscopic partial hepatectomy for inflammatory pseudotumor of the liver. Endoscopy 2001; 33: 294.
18. Sakai M: Inflammatory Pseudotumor of the liver: case report. J Pediatr Surg 2001, 36: 663-6.
Correspondencia:
Fernando Valencia López
Hospital Universitario San José.
Departamento de Cirugía.
Popayán, Colombia.
Correo electrónico:
Fernandovalencialopez@hotmail.com
* Residente III. Cirugía general. Universidad del Cauca, Colombia.
** Docente Departamento de Cirugía Pediátrica. Universidad de Caldas, Colombia.
*** Patóloga. Hospital Infantil Universitario de la Cruz Roja. Manizales, Colombia.



